Пн-чт: 08:00—17:00 (перерыв 12:00—13:00); пт: 08:00—15:45 (перерыв 12:00—13:00)
whatsapp telegram vkontakte email

Снимки мрт при туберкулезе костей

Обследование помогает получить снимки, на которых четко просматриваются изменения паренхиматозного и интерстициального характера. МРТ и КТ диагностирует пораженное состояние бронхиального дерева детей, а также патологии лимфатических узлов, затронутые туберкулезом.

Результаты снимков расшифровываются пульмонологом, радиологом или терапевтом.

Показания для проведения КТ и МРТ

КТ и МРТ не являются основными методами диагностики патологий. Обследования проводятся с целью диагностирования ранее выявленных заболеваний или для подтверждения предполагаемого диагноза: уточняют размер пораженной области, расположение патологии относительно других органов, контролируют динамику назначенной схемы лечения.

Показаниями для проведения компьютерной томографии, а также МРТ при туберкулезе служат:

  • Инфильтративные и другие изменения в легочной ткани, обнаруженные на снимке флюорографии или при рентгенографии
  • При пробе Манту или Диаскинтеста выявлено положительное значение
  • Проба показала положительное значение устойчивости мокроты к кислотоустойчивым микобактериям при бактериологическом посеве
  • Детальное изучение формы туберкулеза, размера пораженной области, изменение в легких
  • Наблюдение за результатами лечебной терапии.

Если проба Манту или бактериологическая проба показала отрицательный результат, а компьютерная томография или МРТ показывают изменения легких на снимках, это означает, что туберкулезного процесса в легких не выявлено. Искажение снимков говорит о развитии других заболеваний легких нетуберкулезной природы.

Выявление патологий

КТ и МРТ диагностики позволяют выявить такие патологии в полости легких как:

Расшифровка МРТ и КТ

Компьютерная томография, а также МРТ помогает выявить различные виды туберкулеза легких благодаря расшифровке снимков, например:

  • Увеличение внутригрудных и паратрахеальных лимфатических узлов более чем на 1 см в поперечной оси, инфильтрация тканей говорит о развитии туберкулеза внутригрудных лимфатических узлов
  • При милиарном туберкулезе снимок томографии поперечной оси показывает локализацию диффузных очагов размером 1-2 мм
  • Очаговый туберкулез характеризуется наличием на КТ или МРТ снимке уплотнительных узлов размером до 1 см по всему бронхиальному дереву, а также на его перегородках
  • Наличие уплотнения в верхней доле легкого, говорит о развитии инфильтративной формы туберкулеза
  • Если на снимке обнаружена полость с гладкой, ровной стенкой (каверна), с жидкостью или без нее, вокруг которой ткань легких уплотнена, то это свидетельствует о кавернозной форме туберкулеза.

Что предпочтительнее: МРТ или КТ диагностика

image Оба метода обследования показывают полную картину состояния дыхательного органа, что позволяет выявить туберкулез на первых стадиях заболевания.

С точки зрения безопасности МРТ диагностика считается более безопасной, т.к. при КТ обследовании человек облучается, а магнитное поле при томографии не оказывает подобного воздействия на организм.

С точки зрения точного отображения предпочтительнее компьютерная томография, т.к. она четче отображает легкие в движении при дыхании, нежели чем МРТ. Компьютерная диагностика позволяет определить структуру туберкулезного поражения и выясняет локализацию очага.

Недостатки томографии

КТ так же как и МРТ диагностика содержит некоторые недостатки. К минусам обследований относят:

  • Облучение. Доза возможного облучения составляет не менее 0,7 мЗв (при КТ);
  • Наркоз. При обследовании ребенка обязательным правилом является необходимость общего наркоза;
  • Запрещено проводить обследования беременным женщинам (при КТ);
  • Запрещено проводить МРТ людям с металлическими вставками в теле – имплантами, штифтами и т.д.;
  • Тяжелая переносимость диагностики людям с психологическими отклонениями психики и больным клаустрофобией;
  • Запрещено проводить КТ и МРТ людям с заболеванием щитовидной железы, сердечно-сосудистыми патологиями, больными астмой бронхов.

Методика проведения обследования легких

Процедура занимает 10-20 минут времени. Пациент не ощущает никакой боли.

Больной снимает с себя украшения, одежду до пояса, проходит в специальную комнату. Врач рентгенолог контролирует процесс из соседней комнаты, поддерживает связь при помощи переговорного устройства.

Пациенту необходимо лечь на стол томографа и по возможности не двигаться во время проведения процедуры. Врач, который проводит обследование, через пару минут просит задержать дыхание на вдохе, затем дышать глубоко, чтобы на вдохе отобразить легкие.

Томограф проводит обследование легких в разных плоскостях, проводя размазывание теней в продольной, поперечной оси грудной клетки.

После окончания процедуры компьютер обрабатывает снимки некоторое время и затем выдает заключение и снимки.

КТ и МРТ при туберкулезе достаточно затратное обследование. Поэтому диагностика назначается для подтверждения снимков флюорографии или рентгена.

Туберкулез – опасное заболевание, которое при несвоевременной диагностике имеет неблагоприятный прогноз. Раннее обследование патологий легких играет важную роль в проведении эффективного лечения. Первым методом, к которому прибегают врачи при подозрении на туберкулез легких или при профилактических осмотрах, является рентгенография.

Компьютерную и магнитно-резонансную томографию используют в качестве дополнительных вариантов обследования для определения расположения патологического очага, его размера и степени воспалительного процесса. Сравнивая КТ и МРТ, первый способ диагностики обладает более широкими возможностями выявления любых форм туберкулеза. МРТ при вышеупомянутом заболевании легких помогает дифференцировать патологию от других недугов: злокачественной и доброкачественной опухолей, воспалительных, паразитарных патологий и пр.

Палочка Коха, вызывающая туберкулез, может быть обнаружена в разных мягкотканных органах (печени, почках, мозге и др.) и костных структурах. Только при комплексной диагностике проводят дифференциацию патологии от других заболеваний, определяют степень, локализацию и тяжесть патологического процесса.

Симптомы туберкулеза

Клинические проявления разных болезней легких сходны. Основные симптомы, указывающие на необходимость комплексного обследования следующие:

  • затяжной кашель;
  • одышка;
  • боль в области груди, усиливающаяся при кашле, дыхании, физической нагрузке;
  • лихорадочное состояние;
  • общая слабость и пр.

Первоочередным в дифференциальной диагностике туберкулеза является прохождение флюорографии, пробы Манту, Диаскинтест, бакпосев мокроты на Микобактерии возбудителя заболевания. При сомнительных результатах вышеуказанных обследований, наличии положительных реакций анализов, характерных изменений в составе крови, мочи, мокроты, визуализации патологии в легких на рентгеновском снимке, показана компьютерная или МР-томография легких. Благодаря послойному сканированию интересующей области удается получить детальное изображение органа, обнаружить патологические очаги, определить границы и объем поражения.

Делают ли МРТ легких при туберкулезе?

Для того, чтобы получить полную картину заболевания, прибегают к дополнительным методам диагностики. МРТ при туберкулезе делают значительно реже, чем КТ легких.

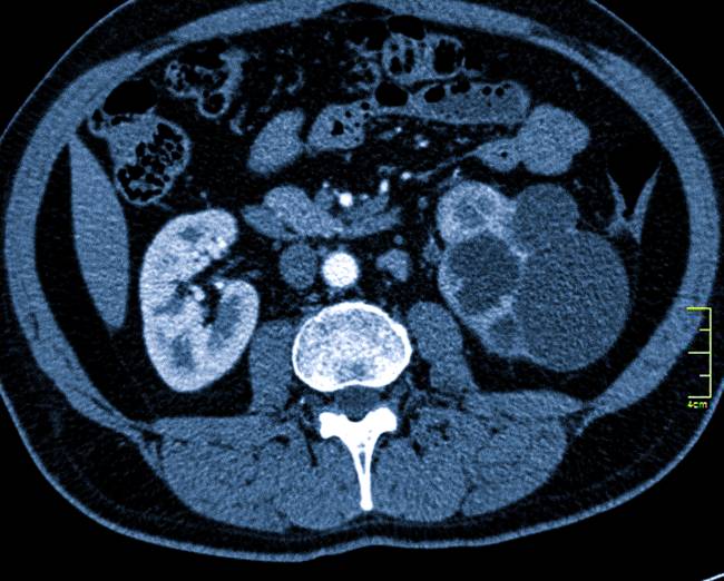
image Туберкулез почки

Во время обследования с помощью МР- и КТ-томографа врачи определяют:

  • распространенность изменений (один или множество очагов, полость, область инфильтрации и пр.);
  • локализацию поражения (сегмент легких, диссеминация, системное распространение);
  • тяжесть процесса (одно- или двухсторонний при локальных или диффузных изменениях);
  • фазу развития заболевания (инфильтрацию, распад, обсеменение, уплотнение, рассасывание, кальцификацию);
  • вид туберкулеза (первичный, вторичный, милиарный, кавернозный, опухолевый, инфильтративный и пр.)

МР-томография при туберкулезе играет важную роль при ранней диагностике изменений. Рутинный способ обследования пациентов не дает столь исчерпывающей информации о деталях течения патологического процесса. Отсутствие изменений в легких не означает отсутствия заражения. Следует продолжать поиски внелегочной формы туберкулеза при положительных результатах Манту или Диаскинтеста.

Благодаря магнитно-резонансной томографии при выявлении туберкулеза легких проводят:

  • раннюю диагностику заболевания. Процедура помогает выявить малейшие изменения в органе до широкого распространения возбудителя инфекции. Важно определить патологию на начальной стадии туберкулеза – от этого зависит скорость выздоровления;
  • корректировку лечения – с помощью обследования можно отследить динамику: прогресс или регресс заболевания. Данные визуализации позволяют судить об эффективности назначенной терапии;
  • определение результативности – МРТ показывает отсутствие патологических признаков туберкулеза легких по окончанию лечения. При рентгенографии не удается определить мельчайшие очаги.

Прибегая к томографии, можно значительно сократить вероятность рецидива заболевания.

Как проходит МРТ при туберкулезе легких?

Предварительной подготовки процедура не требует. Пациент проходит в специальную комнату, где расположен томограф, ложится на стол. Аппарат оснащен датчиками, которые улавливают отклик тканей организма на воздействие магнитного поля.

image Магнитно-резонансный томограф

Лаборант во время процедуры наблюдает за процессом из соседнего помещения, при необходимости корректирует действия больного. Специальная программа обрабатывает фотоснимки интересующей области и выводит смоделированное изображение на монитор. Общая продолжительность исследования составляет до 30 минут. Процедура безболезненна и безопасна.

Как выглядит туберкулез на снимке МРТ?

Туберкулез на КТ, как и на МРТ, диагностируют по основным признакам заболевания. Чаще других во время процедуры визуализируют на снимках:

  • уплотнение легочной ткани — один или несколько очагов поражения рядом с бронхами;
  • увеличенные лимфоузлы у корня легкого и средостения.

Только врач может распознать патологические очаги и вынести советующий диагноз.

Существует несколько форм туберкулеза:

  • первичный — заражение происходит почти всегда в детском возрасте, формируются единичные или множественные очаги гранулематозного воспаления вследствие проникновения возбудителя заболевания. Развивается первичный туберкулезный комплекс либо специфическое поражение внутригрудных лимфоузлов. Оба варианта определяют при использовании методов визуализации. Первичный туберкулез может также протекать в форме туберкулезной интоксикации у детей, когда нет четкой локализации процесса и не формируется гранулём с казеозным некрозом;
  • вторичный — возникает вследствие активации скрытых (остаточных) явлений первичной формы заболевания. Характерно распространение на лимфоузлы и бронхи, выход за пределы дыхательной системы. Выделяют несколько форм:
    • милиарный туберкулез характеризуется множественными очагами поражения (до 2 мм), локализованными во всех сегментах легких, часто обнаруживают патологии в печени, почках, кишечнике, селезенке, мозге, костях. Данный вид заболевания имеет неблагоприятный прогноз и высокую скорость прогрессии. Поэтому важна ранняя диагностика.

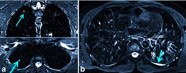
image Туберкулез на снимке МРТ (стрелками показаны очаги в паренхиме легких (а) и туберкулезный плеврит (b))

  • диссеминированная форма туберкулеза представлена множественными очагами, которые могут иметь разную форму, в том числе однородную правильную. На снимках МРТ наблюдают распространенность патологических признаков по всем отделам легких;
  • очаговый туберкулез локализован чаще в одном сегменте или доле. Поражение визуализируют в области бронхов и в междольковых перегородках. Размер очагов не превышает 1 см. Исходя из однородности структуры последних, врач делает вывод о давности процесса: при повышенной плотности заболевание существует длительное время;
  • инфильтративный туберкулез на МР-томографии характеризуется уплотнением легочной ткани с формированием полости, заполненной жидкостью в центре;
  • туберкулёма – образование, которое имеет плотную стенку, размером больше 1 см. Расположено чаще в верхних долях легкого. Для данной формы заболевания характерна неоднородность структуры очагов. На снимках могут быть обнаружены мягкотканные компоненты или поражения с включением кальция;
  • при кавернозном туберкулезе визуализируют гладкие полости размером 2-3 мм (каверны). В структуре последних часто выявляют содержимое (при не функционирующем дренирующем бронхе). При фиброзной форме туберкулём определяют измененную ткань легкого вокруг каверны по буллезно-фиброзному типу, т.е. с формированием воздушных пузырей и рубцов;
  • цирротический вариант заболевания возникает как следствие инфильтративного или кавернозного типов патологии. На снимках МРТ наблюдают буллезные очаги (воздушные полости), выраженные склеротические (рубцовые) изменения пораженных областей легкого, смещение средостения в сторону участка расположения патологического процесса;
  • туберкулезный плеврит — на изображениях обнаруживают жидкость в грудном отделе, которая часто не отличается от нормального секрета.

Важное значение при диагностике туберкулеза занимает проведение комплекса исследований, который позволяет выявить наличие патологически изменённых клеток в ткани легкого и в трахеобронхиальном дереве. Только имея полное представление о тяжести заболевания, специалист сможет назначить эффективную схему лечения.

В числе наиболее эффективных способов определения туберкулезного заболевания на ранних стадиях его развития является компьютерная томография. Первичный туберкулез на КТ легких отображается в виде разрастаний на корнях органов дыхания. Еще врач может заметить следы патологических изменений тканей.

Кому назначают процедуру

Поскольку компьютерная томография и МРТ считаются дорогостоящими диагностическими процедурами, их назначают только для подтверждения клинической картины после рентгеновского обследования. КТ показана пациентам, у которых были определены симптомы туберкулеза или поставлен данный диагноз.

Патология развивается на фоне деятельности палочки Коха. После попадания в организм она поражает не только органы дыхания, но и другие важные системы, в т.ч. печень, почки, мозг и костную ткань. Денситометрия и томография при туберкулезе – это лучшие способы определения локализации бактерий и подбора оптимального способа лечения.

Среди ключевых показаний к проведению процедуры следует выделить следующие:

  1. Следы жидкости в легких на снимке рентгена.
  2. Положительная реакция Манту.
  3. Необходимость исследовать клиническую картину инфильтративного туберкулеза, размеры очагового поражения и деструктивных изменений в органах грудной клетки.
  4. Подтверждение результатов анализов крови, мокроты или мочи.
  5. Отслеживание эффективности терапевтического курса.

Чтобы получить КТ грудной клетки, не нужно проводить подготовительные этапы. При выполнении контрастного обследования понадобится воздерживаться от еды и воды в течении 3 часов до диагностики.

Эксперты не советуют прибегать к методам компьютерной томографии при наличии патологий эндокринной системы, онкологических заболеваний кожи и бронхиальной астмы. Еще метод противопоказан пациентам с почечной недостаточностью и избыточной массой тела.

Если в теле установлены импланты, КТ тоже противопоказана.

К другим противопоказаниям следует отнести:

  1. Период вынашивания ребенка (подтвержденная или предполагаемая беременность).
  2. Период лактации (грудное вскармливание не считается критическим противопоказанием, но его нужно прекратить на 6 часов после облучения).
  3. Повышенный уровень сахара в крови.
  4. Почечная недостаточность.

Как проходит томография легких

В среднем КТ при туберкулезе длится 20 минут. При этом во время обследования пациент не испытывает болезненных ощущений, поэтому необходимость введения анестезии исключается. Чтобы на снимке были отчетливо видны все патологические изменения, а предварительные прогнозы подтвердились, обследуемому нужно раздеться до пояса, снять украшения и войти в кабинет. Процедура будет контролироваться из кабинета врача, а все команды будут подаваться с помощью специального разговорного устройства.

На время обследования пациент размещается горизонтально – любые движения запрещены. Через 2 минуты после сеанса пациент задерживает дыхание, а потом делает пару глубоких вдохов. В этот период на снимке будет отображаться состояние органов дыхания.

При выполнении тестов делают снимки с разных ракурсов и проекций. Потом специалист изучает результаты и составляет подробное описание.

Отличия МРТ и КТ

Несмотря на массу сходств, КТ и МРТ при туберкулезе легких являются разными диагностическими методами, которые отличаются принципом действия и степенью эффективности.

Магнитно-резонансная томография задействует аналогичный метод трехмерного сканирования органа, но с электромагнитными волнами. Под их воздействием тканевые структуры дают разный ответ, который передается на приемник, а потом на принимающее устройство. После обработки сигналов на экране отображается точный результат.

Компьютерная томография является высокоэффективным методом обследования, который задействует рентгеновские лучи, но отличается от классического рентгена измененным способом их фокусировки. Если при традиционном рентгене луч пропускается через тело и фокусируется на пленке или специальной пластине, в результате чего появляется двухмерный снимок, при КТ изображение получает объемный характер.

Это связано со специфическим устройством оборудования – в качестве источника рентгеновских лучей используется кольцеобразный контур со специальной кушеткой для пациента.

За счет подобной технологии обеспечивается целая серия снимков с разных ракурсов. Описание клинической картины, характеристика обнаруженной болезни и специфика возможных деструктивных поражений отображаются на компьютере. При этом у специалиста появляется возможность обнаруживать мелкие изменения.

Как выглядит туберкулез при томографии

Основные признаки туберкулеза, которые показывает компьютерная томография, представлены в виде одного или нескольких очагов уплотнения легочной ткани, которые находятся рядом с бронхами. Кроме этого, на снимке будут отображаться увеличенные лимфоузлы корня легкого и средостения. Если развивается диссеминированный туберкулез, врач заметит множество мелких очагов уплотнения.

С помощью томографии с внутривенным контрастированием можно найти следы туберкулезного поражения на ранних стадиях его развития. Еще компьютерная томография при туберкулезе определяет подозрение на инфильтративный туберкулез (КТ не выявляет его только на самых ранних стадиях, когда выявления при диагностике минимальны).

Своевременная компьютерная томография – это эффективный способ определить наличие туберкулезной палочки в организме и приступить к радикальному лечению.

Туберкулез костей возникает в результате гематогенного заноса микобактерий в костную ткань при генерализованном инфекционном процессе. Чаще всего туберкулезом костей заболевают дети – в период наиболее интенсивного роста. Поражаются туберкулезом кости, содержащие красный мозг и, как правило, туберкулезные изменения локальны – захватывают одну кость.При туберкулезе поражаться могут любые кости скелета – короткие и длинные, наиболее часто – кости конечностей (эпифизы плечевой, лучевой, большеберцовой, бедренной костей, кости стопы), позвонки, реже – кости черепа (свода и лицевого скелета).

Признаки туберкулеза костей и суставов на рентгенограммах

Туберкулез тазобедренного сустава (туберкулезный коксит)

Туберкулез тазобедренного сустава на рентгенограммах: слева – с локализацией очага в большом вертеле бедренной кости, справа – с вовлечением в процесс сустава целиком

Деструкция седалищной кости при туберкулезе

Туберкулез коленного сустава (туберкулезный гонит)

Туберкулезный гонит на рентгенограммах: видна выраженная деформация коленного сустава, признаки костной атрофии и остеопороза, контактная деструкция суставных поверхностей

Туберкулез голеностопного сустава

На рентгенограммах при туберкулезе голеностопного сустава очаг деструкции выявляется в таранной кости либо в большеберцовой кости (реже). Часто при данной локализации туберкулеза поражается не изолированно голеностопный сустав, а также подтаранный сустав и другие суставы стопы.Остеопоротические изменения костей плюсны и предплюсны, голеностопного сустава резко выражены.

Слева – участок деструкции локализован в пяточной кости, справа – в 1 плюсневой кости

Туберкулез плечевого сустава

Туберкулез локтевого сустава

Очаг деструкции при туберкулезе данной локализации можно обнаружить в локтевой кости, реже – в плечевой кости. Поражение лучевой кости при туберкулезе локтевого сустава нехарактерно, однако может иметь место при распространенной патологии. Очаги в костях по типу казеозного некроза сопровождаются периостальной реакцией, развитием костной атрофии и остеопороза – при хроническом течении.

Очаг деструкции локтевой кости при туберкулезе

Туберкулез лучезапястного сустава

Изменения при туберкулезе лучезапястного сустава могут быть выявлены рентгеновским способом как в лучевой кости, так и в костях запястья и в пястных костях.

Туберкулез лучезапястного сустава. На рентгенограмме виден участок деструкции лучевой кости, тотальное разрушение костей запястья

Туберкулезный спондилит (туберкулез позвоночника)

Туберкулезный спондилит – форма туберкулеза костей, которая наиболее часто встречается у детей в возрасте до 5 лет. Наиболее характерна для туберкулезного спондилита локализация очагов деструкции в грудных позвонках, затем – в поясничных, крестцовых и шейных. Поражение позвонков всегда множественное, локализация каверн у взрослых – по периферии, у детей – в центре тела позвонка (в связи с особенностями кровоснабжения). На рентгенограмме при туберкулезе позвонков можно выявитьнарушение их структуры и формы (позвонок становится клиновидным вследствие патологического перелома), а также изменения паравертебральной клетчатки (уплотнение и расширение ее за счет инфильтрации и отека), а также наличие паравертебральных натечников.

Признаки туберкулеза позвонка на рентгенограмме – слева. Данное состояние небходимо дифференцировать с неинфекционным спондилитом, компрессионным переломом тела позвонка, остеохондропатией Кальве (у детей) или Кюммеля (у взрослых). Справа – обызвествленный туберкулезный натечник в паравертебральной клетчатке

Получите мнение независимого врача по Вашему снимку

Пришлите данные Вашего исследования и получите квалифицированную помощь от наших специалистов

Туберкулезная инфекция — важная социальная и медицинская проблема. Причина заболевания — микобактериальная инфекция, провоцирующий фактор которой — низкий иммунный статус. Возможно поражение любого органа: легких, костей, мышц, средостения, желудочно-кишечного тракта. Преимущественно обнаруживаются легочные проявления.

Компьютерная томография (КТ) позволяет выявить туберкулез различной локализации — легких, лимфоузлов, костей, оценить распространенность процесса и контролировать лечение. Ранее рентгенография (флюорография) произвела революцию в диагностике этого заболевания.

Томографические методы сейчас еще больше расширили диагностические возможности.

Показания к КТ при туберкулезе

Компьютерная томография выполняется при обнаружении подозрительных изменений на рентгенограмме, которые нельзя трактовать однозначно.

  • КТ используется для выявления туберкулеза лимфоузлов средостения, которые трудно оценить при традиционной рентгенографии.
  • Поражение костей — еще одно показание.

Редко исследование выполняется по поводу микобактериальной инфекции другой локализации.

По сравнению с рентгенографией КТ позволяет получить целостную картину, одновременно оценивая очаги в легких, поражения скелета, и изменения лимфоузлов.

  • Этот метод исследования обладает лучшим разрешением. На КТ выявляется намного больше очагов, чем при рентгенографии.
  • Видны мелкие неплотные очаги, не достигающие даже миллиметра в диаметре. Улучшается точность диагностики.

КТ уступает рентгенографии (флюорографии) в быстроте и массовости. Хотя в последнее время и появляются идеи скрининговых КТ-исследований, все они далеки от воплощения. Инструментом массового обследования остается рентгенография (флюорография).

Внимание: ежегодно проходите флюорографию. Это исследование позволяет выявить грубые изменения и сориентироваться с дальнейшей тактикой. Большинство пациентов с туберкулезом легких не выполняли флюорографию несколько лет до обнаружения патологических изменений.

КТ-картина туберкулеза

Находки, обнаруживаемые при туберкулезе

Находки Описание
Инфильтрация Выглядит аналогично пневмонии иной этиологии, окончательный диагноз устанавливается при исследовании мокроты или серологическими методами, например, путем иммуноферментного анализа
Очаги Округлой или неправильной формы, 1-10 мм в поперечнике, часто с кальцинатами, полостями, обычно в верхних долях легких
Каверны Полости неправильной формы, 1-10 см, со стенками толщиной 1-5 мм, заполненные газом и (или) жидкостью; часто сочетаются с кальцинатами и фиброзом
Казеозный некроз Участок творожистого (казеозного) расплавления легочной ткани, крайне тяжелое осложнение инфильтративного туберкулеза
Фиброз Часто фиброзные изменения (тяжи, спайки) сочетаются с ателектазами, бронхоэктазами, кавернами, кальцинатами, туберкуломами, инфильтрацией (картина цирротического поражения)
Туберкулома Объемное образование, отграниченное плотной капсулой от здоровой ткани, содержащее казеозные массы в центре. Туберкулома возникает вследствие ограничения инфекционного процесса
Жидкость в плевральной полости Жидкостное содержимое появляется в грудной полости при раздражении (воспалении) плевры. При увеличении количества жидкости она сдавливает легкое, приводя к нарушению дыхания
Лимфаденопатия Увеличенные лимфоузлы неправильной, округлой или вытянутой формы, с нарушенной структурой, без жировых ворот
Поражение костей, суставов, мышц Участки деструкции костной ткани, преимущественно в позвонках, со скоплениями гноя в мягких тканях вблизи костей и суставов
Поражение других органов Поражения со стороны желудочно-кишечного тракта, мочевыделительной системы обнаруживаются редко, в основном случайно

К вероятным осложнениям относятся:

  • суперинфекция, например, колонизация грибками;
  • эмпиема — при туберкулезном плеврите;
  • фиброторакс — замещение фиброзной тканью;
  • фистулы — бронхо-плевральные, трахео-пищеводные;
  • бронхоэктазы — тракционные;
  • псевдоаневризма легочной артерии.

Учитывайте: осложнения характерны для запущенной инфекции. Если патология выявлена своевременно, риск осложнений минимален. Своевременно делайте флюрографию.

Варианты туберкулезной инфекции

Туберкулез многообразен. КТ-картина зависит:

  • от иммунного статуса пациента;
  • времени с момента инфицирования;
  • типа возбудителя;
  • локализации первичной инфекции.

Это заболевание нужно дифференцировать с пневмонией другой этиологии, саркоидозом, опухолями.

Примите во внимание: туберкулез может поражать любой орган, не только легкие. Часто поражаются кости, суставы, желудочно-кишечный тракт.

Изолированное поражение лимфоузлов обнаруживается редко. На КТ выявляются увеличенные лимфоузлы в средостении.

  1. Форма их округлая, вытянутая, или неправильная.
  2. Поперечный размер часто превышает 10 мм.
  3. Структура лимфоузлов может изменяться, в центре узла возникает некроз, приводящий к снижению плотности. После введения контраста центр лимфоузла его не накапливает.

Локализация инфильтративного процесса специфическая — верхние доли. Инфильтрация часто сочетается с очагами, кавернами, выпотом.

Инфильтративный туберкулез легкого

На изображении (КТ) определяются множественные участки инфильтрации в верхней доле слева (красные указатели) на фоне туберкулезного экссудативного плеврита (синяя стрелка).

Это тяжелая форма с выраженной интоксикацией и высокой летальностью.

  • Милиарный туберкулез на КТ характеризуется множественными мелкими очагами (несколько миллиметров в поперечнике) во всех отделах легких.
  • Очаги появляются и в других органах, т.к. инфекция разносится с током крови по всему телу, но в первую очередь вовлекаются легкие. Прогноз в этом случае неблагоприятный.

Милиарная и диссеминированная форма схожи, но в первом случае упор делается на размер очагов, во втором на их распространенный характер. Диссеминация означает неблагоприятный прогноз.

  • КТ показывает множественные очаги различного размера, разбросанные по всем отделам легочной паренхимы.
  • Могут обнаруживаться кальцинаты, инфильтративные изменения, плеврит.

Каверна — полостное образование, образовавшиеся в результате распада и некроза легочной ткани.

  • Каверна образована творожистыми массами изнутри, грануляциями и фиброзной тканью снаружи.
  • Возникает на фоне инфильтративного процесса или из туберкуломы при реактивации инфекции.
  • Может обнаруживаться изолированно или в сочетании с другими вариантами (инфильтративным, очаговым).

Кавернозный туберкулез

Для этого варианта характерно наличие каверны (одной или нескольких) на фоне выраженного пневмофиброза — спаек, тяжей, тракционных бронхоэктазов.

Часто является следствием массивной инфильтрации. Обычно указывает на более тяжелое течение исходного процесса. Может сочетаться с другими вариантами.

Финальный вариант с пневмофиброзом (множественные спайки), бронхоэктазами, эмфиземой, кавернами, остаточными участками инфильтрации, кальцинатами. Особенность — сохранение активности туберкулезного процесса.

Чаще всего пневмоцирроз развивается у пациентов с запущенным поражением или при неэффективности терапии.

При успешном лечении и при нормальном иммунном статусе происходит постепенное отграничение очага микобактериальной инфекции. Формируется туберкулома.

  • Она представляет собой скопление казеозных масс, отграниченное плотной капсулой. Почти всегда обнаруживаются кальцинаты.
  • Туберкулома не является целью терапии.
  • При прекращении лечения может произойти повторная реактивация инфекции с формированием каверны.
  • При благоприятных условиях туберкулома уменьшается в размерах, ее содержимое уплотняется, формируется кальцинат.

Специфическое воспаление дыхательных путей, обусловленное микобактериальной инфекцией. Самостоятельно практически не встречается, всегда связано с поражением иной локализации.

На поверхности трахеи и бронхов формируются участки воспаления, язвы. Затем могут появиться свищевые ходы. Эта форма может возникать вторично при дренировании туберкулезного абсцесса.

Плеврит — воспалительный процесс, практически всегда приводящий к появлению жидкостного содержимого в грудной клетке.

Плеврит является осложнением любого другого варианта туберкулеза с локализацией изменений вблизи плевры. Объем жидкости от нескольких миллилитров до литра и больше. Очень часто обнаруживаются внутрилегочные поражения.

Преимущественно поражаются позвонки, затем крупные суставы, например, тазобедренный. Выявляются участки деструкции (расплавления) костной ткани наряду с выраженной деформацией суставных поверхностей. В мягких тканях вблизи очага инфекции часто определяется гнойник (натечник) в виде скопления жидкости низкой плотности с более плотным ободком.

Альтернативные методы диагностики

Уникальность и ценность этой разработки для людей с болезнью туберкулез, заключается:

    40-70 мкЗВ за процедуру. На новых КТ доза составляет до 4000 мкЗВ, на старых до 20 000 мкЗВ. Разница очевидна.

    в низкой стоимости процедуры относительно КТ. Томосинтез сопоставим по цене с аппаратом флюорографом. Проблема в том, что аппараты не распространены по РФ, и не каждый сможет найти его в своем городе.

    Видео

    Очагово ИНФИЛЬТРАТИВНЫЙ ТУБЕРКУЛЕЗ ЛЕГКИХ на расшифровке КТ органов грудной клеткиОчагово ИНФИЛЬТРАТИВНЫЙ ТУБЕРКУЛЕЗ ЛЕГКИХ на расшифровке КТ органов грудной клетки

    Туберкулез — тяжелая и многогранная патология. Обнаружение заболевания — очень важная задача. Не менее важно точно определить распространенность процесса, выявить очаги инфекции, оценить динамику после лечения. Компьютерная томография помогает фтизиатрам в решении этих задач.

    Читайте также:

    Ссылка на основную публикацию
    Похожее