Пн-чт: 08:00—17:00 (перерыв 12:00—13:00); пт: 08:00—15:45 (перерыв 12:00—13:00)
whatsapp telegram vkontakte email

Как проявляется туберкулез костей у детей

Весь контент iLive проверяется медицинскими экспертами, чтобы обеспечить максимально возможную точность и соответствие фактам.

У нас есть строгие правила по выбору источников информации и мы ссылаемся только на авторитетные сайты, академические исследовательские институты и, по возможности, доказанные медицинские исследования. Обратите внимание, что цифры в скобках ([1], [2] и т. д.) являются интерактивными ссылками на такие исследования.

Если вы считаете, что какой-либо из наших материалов является неточным, устаревшим или иным образом сомнительным, выберите его и нажмите Ctrl + Enter.

Туберкулёзные поражения скелета у детей и подростков характеризуются обширными разрушениями костей и суставов, при отсутствии адекватного лечения ведущими к ранней и неуклонно прогрессирующей инвалидности. У большинства детей в возрасте до 7 лет анамнестические данные свидетельствуют о появлении первых признаков заболевания в первые 3 года жизни, однако диагноз был установлен в этом возрасте лишь в половине случаев.

Патогенез костно-суставных поражений, как правило, связан с лимфогематогенным распространением микобактерий по различным органам при первичном инфицировании. Аналогичен патогенез костных осложнений БЦЖ-вакцинации, когда в результате естественной диссеминации микобактерий штамма БЦЖ из места их парентерального введения формируются либо изолированные туберкулёзные очаги в костях (БЦЖ-остеомиелиты), либо развиваются множественные специфические поражения в разных органах и системах (БЦЖ-сепсис).

Симптомы и диагностика туберкулеза суставов у детей

Диагностику костно-суставного туберкулёза у детей проводят параллельно по двум направлениям:

  • определение активности и распространённости туберкулёзной инфекции;
  • определение распространённости локального поражения и его осложнений.

Оценку активности и распространённости туберкулёзной инфекции у ребёнка с костно-суставным туберкулёзом проводят в специализированных противотуберкулёзных учреждениях: устанавливают факт инфицирования МБТ, клиническую форму внутригрудного туберкулёза, степень чувствительности к туберкулину, выявляют другие органные поражения.

Диагностику локальных поражений костей и суставов проводят на основании клинических и лучевых методов обследования.

  • Клинически оценивают внешний вид поражённого отдела скелета, наличие абсцессов, свищей, величину деформаций, контрактур, степень ограничения функций органов, патологические неврологические симптомы.
  • Базовым методом лучевой оценки служит стандартная рентгенография поражённого отдела скелета в двух проекциях. Для уточнения диагноза используют специальные методики — рентгенотомографию, КТ, МРТ. Каждый из указанных методов применяют по показаниям в зависимости от локализации процесса и поставленных диагностических задач.

При наличии абсцессов, свищей, материала ранее проведённых операций или биопсий проводят бактериологическое, цитологическое и/или гистологическое исследование.

В клинической картине туберкулёзного остита ведущими бывают жалобы на умеренно выраженные транзиторные боли в конечности или суставе, умеренный отёк, хромоту (при поражении костей нижних конечностей), позднее присоединяются ограничение подвижности поражённой конечности, реактивный артрит. Общее состояние детей обычно не страдает, симптомы интоксикации выявляют либо при множественных костных очагах, либо при наличии активного внутригрудного туберкулёзного процесса. При рентгенологическом исследовании обнаруживают обширные деструктивные полости, обычно локализованные в эпиметафизах длинных трубчатых костей, сообщающиеся друг с другом через дефект росткового хряща и нередко сопровождающиеся периостальной реакцией. При оститах мелких трубчатых костей обычно поражён их диафиз, что рентгенологически проявляется его вздутием и массивной деструкцией (spina ventosa tuberculosa). Выявляемые при туберкулёзных оститах рентгенологические изменения часто становятся причиной ошибочного диагноза хронического остеомиелита либо опухоли и поводом к неадекватным оперативным вмешательствам, ведущим к формированию свищей. Правильный диагноз ставят либо по совокупности клинических, рентгенологических, лабораторных данных и туберкулиновых проб, либо по результатам гистологического исследования операционного материала.

Дифференциальная диагностика туберкулеза суставов у детей

Дифференциальный диагноз при различных поражениях костей и суставов имеет свои характерные особенности.

Дифференциальную диагностику туберкулёзных оститов проводят с очаговыми формами хронического гематогенного остеомиелита, костными опухолями (остеоид-остеомы, хондробластомы, гигантоклеточные опухоли), монооссальной формой фиброзной дисплазии, фиброзным кортикальным дефектом.

  • Очаговый хронический гематогенный остеомиелит встречают, как правило, у детей школьного возраста, начало заболевания сопровождается температурной реакцией, лабораторными изменениями (лейкоцитоз, повышение СОЭ). У детей младшего возраста хронизация остеомиелита происходит крайне редко.
  • Сходство клинической картины некоторых костных опухолей с туберкулёзным оститом обусловлено болевым синдромом и реактивным синовитом. Опухоли чаще встречают у детей школьного возраста, они отличаются упорными болями. Для хондробластом характерна эпифизарная локализация опухоли, очаг деструкции имеет нечёткие контуры и плотные включения. Остеоидная остеома на рентгенограммах и компьютерных томограммах выглядит как локальный очаг разрежения диаметром до 1-2 см на фоне остеосклероза и гиперостоза. Для гигантоклеточных опухолей типичны подростковый возраст, метафизарная локализация очага, его полициклическая структура, вздутие кости.
  • Диспластические процессы в кости (монооссальная форма фиброзной дисплазии, фиброзно-кортикальный дефект) обычно сопровождаются минимальными субъективными жалобами, их часто обнаруживают случайно при рентгенологическом обследовании.
  • Дифференциальную диагностику ревматоидного артрита и ворсинчатого синовита с первичным туберкулёзным синовитом проводят на основании бактериологического, биохимического и цитологического исследования синовиальной жидкости, а также гистологического исследования биоптата синовиальной оболочки. При поражении тазобедренного сустава дифференциальную диагностику также проводят с болезнью Пертеса.

Дифференциальную диагностику туберкулёза позвоночника у детей проводят с неспецифическими воспалительными поражениями, врождёнными пороками развития позвонков, дегенеративными и опухолевыми процессами. Для них характерен низкий уровень специфической аллергии по данным туберкулиновых проб, серологической и иммунологической диагностики.

  • Для хронического гематогенного остеомиелита позвоночника типичен подростковый возраст больных, в анамнезе — острое начало заболевания с выраженным болевым синдромом и температурной реакцией. При лабораторных исследованиях выявляют умеренный лейкоцитоз, повышение СОЭ, диспротеинемию. При рентгенографии обнаруживают менее глубокую, чем при туберкулёзе, контактную деструкцию тел II-III позвонков с остеосклерозом поражённых тел.
  • При неспецифических воспалительных процессах в позвоночнике при МРТ выявляют преимущественно изменение межпозвонкового диска (деформацию и исчезновение пульпозного ядра, отёк или дегенерацию диска) с усилением сигнала от тел контактных позвонков.
  • Среди пороков развития туберкулёзный спондилит обычно дифференцируют с врождёнными кифозами I типа, вызванными нарушениями формирования тел позвонков. Для аномалий характерно отсутствие анамнестических, клинических и лабораторных признаков воспаления, при лучевом исследовании выявляют нарушение формы позвонков при сохранении их чётких контуров, структуры и отсутствии реакции мягких тканей.
  • Среди дегенеративных заболеваний позвоночника у детей наиболее часто туберкулёзный спондилит дифференцируют с ювенильным остеохондрозом, обычно выявляемым в подростковом возрасте. Для дегенеративных процессов характерно отсутствие анамнестических, клинических и лабораторных признаков воспаления. На рентгенограммах, как правило, на значительном протяжении позвоночника выявляются разрыхлённость замыкательных пластинок тел позвонков, изменение их конфигурации, хрящевые узлы и грыжи Шморля.
  • Среди опухолевых и опухолеподобных заболеваний наиболее часто туберкулёзный спондилит дифференцируют с поражениями позвоночника при гистиоцитозе из клеток Лангерханса, гемангиоме, остеоидной остеоме, гигантоклеточных опухолях. Подозрение на опухолевый процесс всегда требует цитологического или гистологического подтверждения.

Туберкулез костей представляет собой опасное инфекционное заболевание, которое вызывает палочка Коха. Эта болезнь приводит к поражению костей и суставов, нарушает работу опорно-двигательного аппарата, затрагивает коленные чашечки и т. д. В запущенных случаях возникает паралич конечностей. Нужно знать симптомы и лечение такой патологии.

Причины

Костно-суставной туберкулез возникает, когда в организм попадает палочка Коха. Однако не во всех случаях микобактерии вызывают развитие заболевания. Появляется такое нарушение в том случае, если организм ослаблен под действием различных факторов, а возбудитель туберкулеза при этом находится в активном состоянии и готов усиленно размножаться.

К факторам, приводящим к развитию заболевания, относят:

  • повышенную нагрузку на кости и суставы;
  • наличие инфекционных заболеваний;
  • вывихи, переломы и другие травмы скелета;
  • недоедание;
  • нехватку микроэлементов и витаминов в рационе;
  • нахождение в условиях низкой температуры в течение длительного времени;
  • тяжелые условия труда;
  • контакт с больным активной формой туберкулеза;
  • низкий уровень жизни и нахождение в антисанитарных условиях.

Сначала патологический очаг возникает в легких, потом микобактерии начинают распространяться по кровеносным и лимфатическим сосудам, после чего попадают в кость. В первую очередь поражаются такие участки кости, которые хорошо снабжаются кровью. Это позвонки, эпифизарные отделы костей предплечья, голени, бедер и плеч. Первичный очаг в кости имеет наименование туберкулезный остит.

Многих интересует вопрос, туберкулез костей заразен или нет. Это заболевание заразно, т. к. палочка Коха передается воздушно-капельным путем. Выделяется она вместе с мокротой при кашле больного человека и оседает на различных поверхностях, предметах, продуктах. Большую опасность представляют предметы личной гигиены и вещи больного.

Классификация

Патологический процесс способен захватывать не только кость, но и сустав. Туберкулезный артрит имеет следующую классификацию по локализации патологических очагов:

  • Спондилит, или туберкулез позвоночника. Проявляется в виде сильного искривления спины и позвоночника. Заболевание нарушает работу ЦНС и приводит к появлению горба. Встречается такая форма заболевания у детей 2-4 лет.
  • Коксит, или туберкулез тазобедренного сустава. Провоцирует вывих тазобедренного сустава и деформацию длины конечностей.
  • Туберкулезный гонит. Патологический процесс поражает коленные суставы в детском возрасте (4-7 лет).
  • Омартрит – поражается плечевой сустав.
  • Оленит – болезнь затрагивает локтевой сустав. Развивается в подростковом возрасте. В запущенном состоянии вызывает абсцессы и натечные свищи.
  • Туберкулез стопы и голеностопных суставов. Патологический процесс приводит к сращиванию костей, нарушению двигательной функции и возникновению свищей.
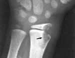
  • Туберкулез лучезапястных суставов. При такой редкой форме заболевания поражаются кости и сустав запястья.
  • Туберкулез трубчатых костей. Патологический процесс проявляется поражением фаланг пальцев и костных структур пясти. Такая форма заболевания наблюдается у детей младше 3 лет.
  • Туберкулез пяточной кости.

Симптомы

При туберкулезе костей симптомы патологии зависят от того, на какой стадии развития было выявлено это заболевание. На ранних этапах патология практически никак себя не проявляет, поэтому ее легко перепутать с другими болезнями.

К первым признакам инфекционного поражения костей у взрослых относят:

  • тяжесть в суставах конечностей, спине и области позвоночника;
  • быстрый упадок сил, сонливость, вялость;
  • общее недомогание;
  • повышение температуры тела;
  • проблемы со сном;
  • снижение аппетита.

Начальная фаза заболевания способна длиться от нескольких дней до нескольких месяцев. У детей признаки патологии на ранней стадии развития проявляются повышенной возбудимостью и раздражительностью.

При прогрессировании туберкулез костей и суставов симптомы имеет следующие:

Из-за боли в суставах и изменения их структуры нарушается походка, возникает косолапость, изменяется положение плеч. При появлении абсцесса кожный покров над пораженной костной тканью начинает воспаляться с образованием свищей и выделением гнойной массы. Повышается вероятность занесения в возникшую рану инфекции.

Признаки туберкулеза костей продолжают прогрессировать. У человека наблюдаются такие симптомы: сильная слабость, снижение массы тела, повышение температуры тела до +39…+40°C.

Болевой синдром начинает усиливаться, дискомфорт становится нестерпимым. Наблюдается усиление деформации, движения сильно ограничиваются.

При туберкулезе коленного сустава симптомы возникают такие же, как и при поражении других костей организма человека. В зависимости от того, насколько тяжело протекает заболевание, может наблюдаться атрофия мышц спины, деформация позвоночника, укорочение конечности, анкилоз или контрактура сустава.

Инфекционное поражение костей и суставов у детей симптомы имеет следующие: маленькие больные становятся несобранными, вспыльчивыми, теряют интерес к активным играм, появляется слабость, разбитость, сгорбленность. Такие признаки через некоторое время проходят, но позже снова появляются. Родители должны забеспокоиться, если ребенок стал косолапить, у него приподнялись плечи, появилась беспричинная хромота.

Диагностика

Благодаря диагностике можно определить туберкулез костей у ребенка и взрослого. Она включает в себя клинические, лабораторные и рентгенологические исследования.

При визуальном осмотре врач оценивает контуры, положение и объем пораженного участка. Во время диагностики специалисту важно определить, насколько плотная суставная сумка, имеются ли кожные складки, каковы цвет кожного покрова и температура тела. Также ему необходимо узнать, насколько сильно проявляется болезненность в результате пальпации пораженного очага. Кроме того, врач сравнивает длину здоровой и пораженной конечностей и состояние мышц.

Если болезнь поразила позвоночный столб, то объем движения в нем врач оценивает при наклоне корпуса назад и вперед. При туберкулезном процессе этой локализации нарушаются коленные рефлексы.

Собирая анамнез, врач составляет клиническую картину заболевания по следующим признакам:

  • положительная проба Манту;
  • перенесенные инфекционные болезни;
  • контакт с туберкулезным больным;
  • имеющиеся симптомы нарушений работы опорно-двигательного аппарата;
  • интоксикация организма.

Кроме того, специалисту нужно знать, когда появились первые признаки заболевания.

Чтобы выявить костный туберкулез, специалист направляет больного на рентгенограмму. С ее помощью определяют первые признаки заболевания – остеопороз. Возникает такая патология при вымывании кальция из костей и разрушении перегородок в костной ткани. Рентгенограмма выявляет образования в полости сустава, размытые контуры пораженной кости, неровную хрящевую поверхность, сужение суставной щели. Если имеется абсцесс, то проявляется он в виде тени около очага поражения.

Когда заболевание находится в активной стадии, то на снимках врач выявляет отсутствие суставных щелей, разрастание патологического очага, образование полостей с вкраплениями или белковым содержимым, разрушение трабекул. При прогрессировании туберкулез суставов поражает соседнюю костную ткань. В фазе затухания рентгенограмма обнаруживает восстановленные трабекулы, уменьшение остеопороза и атрофических явлений, четкие контуры кости.

Определяют заболевание при проведении проб с туберкулином. Также осуществляют бактериоскопическое исследование, но оно в большинстве случаев малоинформативно, т. к. палочку Коха обнаруживает редко. Чаще всего проводят цитологию, для которой забирают материал синовиальной жидкости, лимфоидной и костномозговой тканей.

Чтобы уточнить диагноз, осуществляют биопсию костной ткани. Если имеются признаки сдавливания спинного мозга, то врач направляет больного на КТ или МРТ. Общий анализ крови выявляет симптоматику воспалительного процесса: повышенную СОЭ, лейкоцитоз с увеличением концентрации нейтрофильных лейкоцитов.

Как лечить

При выявленном туберкулезе костей лечение в большинстве случаев длительное – 1,5-3 года. Назначая курс терапии, врач учитывает стадию развития заболевания, возраст пациента, состояние его иммунной системы, сопутствующие расстройства. Стандарты лечения направлены на общее укрепление и повышение сопротивляемости организма, а также на уничтожение палочки Коха. В этот период следует сбалансировано питаться и поддерживать необходимые условия проживания. Нужно чаще гулять на свежем воздухе, избегать стрессовых ситуаций и физических нагрузок.

Туберкулезный артрит предусматривает ортопедическое лечение, которое направлено на иммобилизацию пораженной части скелета. Если у больного диагностирован спондилит или коксит, то его укладывают в гипсовую кровать. Длительность иммобилизации зависит от выраженности и продолжительности активной фазы. Туберкулезный гонит предусматривает наложение шины на область колен. Для последней стадии болезни характерны различные деформации скелета, поэтому следует носить ортопедический аппарат или корсет.

Такое заболевание хорошо вылечивается антибиотиками на начальной стадии развития. Благодаря этим препаратам перестают размножаться микобактерии, устраняется воспалительный процесс, ускоряется выздоровление и снижается вероятность возникновения осложнений. Чаще всего врач назначает определенные медикаменты:

  • Стрептомицин;
  • Циклосерин;
  • Виомицин;
  • Канамицин;
  • Этамбутол;
  • Рифампицин;
  • Пиразинамид;
  • Изониазид.

Нередко вместе с антибиотиками используют гормональные средства (Гидрокортизон, Кортизон) и препараты химиотерапии (Этоксид, Этионамид, Фтивазид, Тубазид).

Туберкулезный артрит обязательно предусматривает проведение лечебной гимнастики. С ее помощью улучшается общее самочувствие, предупреждается вторичная деформация и атрофия мышц. При этом часть тела, которая находится в гипсе, должна быть неподвижной. В фазе затухания рекомендуется выполнять такие упражнения, которые направлены на воздействие пораженного органа.

Следует массажировать мышцы спины, ноги, ягодичные мышцы.

Запрещено подвергать массажу пораженные суставы. После затихания инфекции больной может выполнять упражнения, направленные на выработку правильной осанки и обучение правильной ходьбы.

При активной фазе воспалительного процесса происходит интенсивный распад белка. Поэтому в рацион необходимо включать продукты, богатые белком. Ежедневно больной должен употреблять 100-120 г этого вещества.

  • супы на рыбном или мясном бульоне;
  • отварная рыба;
  • мясо в виде паштета или котлет;
  • блюда из яиц.

В период выздоровления в меню включают больше молока и кисломолочных продуктов, содержащих кальций, необходимый для поврежденной кости. При лечении антибиотиками следует употреблять больше свежих овощей и фруктов.

Туберкулез суставов, который протекает в острой форме, предусматривает соблюдение постельного режима. Во время выздоровления нужно выполнять массаж и лечебную гимнастику. Больной должен много времени проводить на свежем воздухе и принимать солнечные ванны. Чаще всего лечение и реабилитационный период таких пациентов проходят в санаториях и специализированных диспансерах.

Хирургическое лечение применяют в том случае, если терапия консервативными методами костно-суставного туберкулеза оказалась неэффективной. Благодаря операции снимается воспалительный процесс, увеличивается движение в суставе и ускоряется выздоровление.

Прибегают к следующим видам оперативного вмешательства:

  • резекция, некрэктомия – полностью удаляют пораженные ткани;
  • аллопластика – восстанавливают поврежденные структуры;
  • эндопротезирование – устанавливают протез, если полость сустава или костная ткань полностью разрушена.

Чтобы не допустить развития туберкулеза костей у детей и взрослых, необходимо соблюдать личную гигиену, правильно питаться, своевременно лечить хронические нарушения и избегать контактов с больными туберкулезом.

image

Туберкулез костей – это специфическая инфекция, вызываемая палочками Коха, протекающая с поражением позвоночника или костей конечностей. Патология может диагностироваться в любом возрасте. Проявляется постепенно прогрессирующими болями, слабостью, утомляемостью. На заключительных стадиях боли становятся нестерпимыми, отмечается тяжелая лихорадка, развиваются деформации костей скелета. Диагноз выставляется на основании рентгенографии, томографии и других исследований. На начальных стадиях показана консервативная терапия: лекарственные препараты, ЛФК, массаж. При значительном разрушении костей проводятся операции.

МКБ-10

image

Общие сведения

Туберкулез костей – инфекционное заболевание, вызываемое туберкулезными микобактериями (палочками Коха). Поражает участки губчатого вещества с обильным кровоснабжением, сопровождается формированием очагов разрушения, абсцессов и свищей. Нередко становится причиной деформации пораженного сегмента, может вызывать контрактуры и укорочение конечности. При туберкулезе позвоночника возможно выраженное искривление позвоночника, образование горба, а в тяжелых случаях – и паралич конечностей.

Более чем в половине случаев страдает позвоночник. Второе место по распространенности занимает туберкулез крупных суставов нижних конечностей (коленного и тазобедренного). Сочетание с активным легочным туберкулезом наблюдается достаточно редко (примерно в 3% случаев), однако при проведении рентгенографии легких у больных выявляются характерные участки кальцинации в области лимфатических узлов или верхних долях легких (чаще правого). Лечение данной патологии осуществляют врачи-фтизиатры.

image

Причины

Туберкулез костей, как и другие формы туберкулеза, развивается при попадании в организм палочек Коха. При этом инфицирование микобактериями далеко не всегда приводит к развитию заболевания. Болезнь возникает в тех случаях, когда организм пациента ослаблен переохлаждениями, слишком тяжелым физическим трудом, другими инфекционными заболеваниями и неблагоприятными жизненными условиями, а микобактерии туберкулеза находятся в состоянии готовности к активному делению или состоянии размножения (как при активном туберкулезе).

Патогенез

Первичный очаг возникает в легких, затем микобактерии распространяются по лимфатическим и кровеносным сосудам и попадают в кость. Наибольшему риску подвергаются участки кости с хорошим кровоснабжением (позвонки, эпифизарные отделы бедренных костей, костей голени, плечевых костей и костей предплечья). В результате размножения палочек Коха в кости появляются небольшие бугорки-гранулемы. При увеличении гранулем костное вещество разрушается, формируются абсцессы, которые в последующем могут вскрываться наружу, образуя свищи.

Классификация

  • Позвоночник. Может страдать как один позвонок, так и несколько. В 60% случаев наблюдается поражение грудного отдела, в 30% – поясничного отдела.
  • Коленный сустав. Гонит — самое распространенное туберкулезное поражение суставов, чаще выявляется в подростковом возрасте.
  • Тазобедренный сустав. Коксит чаще развивается у детей, может стать причиной значительного укорочения конечности и формирования патологического вывиха тазобедренного сустава.
  • Голеностопный сустав и кости стопы. Сопровождается образованием длительно существующих свищей и каверн. Нередко приводит к анкилозу сустава вследствие сращения суставных поверхностей.
  • Плечевой сустав. Омартрит выявляется редко. Течение длительное, гнойный выпот в суставе обычно отсутствует.
  • Лучезапястный сустав. Еще одна редкая форма заболевания. Наблюдается поражение сустава и костей запястья, обычно двухстороннее. Часто сочетается с туберкулезом локтевого или коленного сустава.
  • Локтевой сустав. Оленит обычно развивается в юношеском возрасте. При запоздалом начале лечения образуются натечные свищи и абсцессы.
  • Трубчатая кость без поражения сустава. Встречается очень редко, обычно выявляется у детей, характерно поражение пястных костей и основных фаланг кисти.

Симптомы туберкулеза костей

Заболевание начинается исподволь, постепенно. Специфические симптомы на ранних стадиях отсутствуют. Пациентов беспокоит слабость, раздражительность, вялость, снижение работоспособности, ноющие или тянущие боли в мышцах и незначительное повышение температуры. У некоторых больных после физической нагрузки появляются неинтенсивные боли в пораженной части скелета, быстро исчезающие в состоянии покоя. Дети с туберкулезом костей становятся рассеянными, отказываются от подвижных игр. Поводом насторожиться для родителей должны стать приподнятые плечи, косолапость, внезапная сутулость или прихрамывание без предшествующей травмы. Иногда заметно, что ребенок бережет ногу, старается меньше на нее наступать, не прыгает на ней или подволакивает после длительной ходьбы.

Во второй фазе туберкулеза костей процесс распространяется за пределы кости или позвонка, симптомы становятся более яркими. Температура тела еще больше повышается, разбитость, вялость и слабость усиливаются. Появляются интенсивные боли в области поражения. При локализации очага в позвонке формируется нарушение осанки, околопозвоночные мышцы воспаляются, выбухают и становятся болезненными при пальпации. При поражении конечности сустав краснеет и отекает, возникает прогрессирующая деформация, отмечаются нарушения походки и хромота.

При дальнейшем прогрессировании туберкулеза костей состояние пациента еще больше усугубляется. Наблюдается выраженная общая слабость, повышение температуры тела до 39-40 градусов и потеря веса. Интенсивность болей нарастает, болевой синдром становится нестерпимым. Деформации усиливаются, движения еще больше ограничиваются. Исходом, в зависимости от тяжести и распространенности процесса, может стать ограничение подвижности, атрофия мышц спины, деформация позвоночника, деформация и укорочение конечности, контрактура или анкилоз сустава.

Диагностика

Для подтверждения диагноза назначают рентгенографию грудной клетки, рентгенографию пораженного сегмента и МРТ пораженного сегмента. На снимках грудной клетки больных, страдающих туберкулезом костей, выявляются кальцинированные первичные туберкулезные очаги в верхних отделах легких и внутригрудных лимфатических узлах. На рентгенограммах позвоночника или пораженных костей конечностей видны очаги разрушения и секвестры. В некоторых случаях удается заметить тени натечных абсцессов.

Выполняют туберкулиновые пробы, иногда проводят микробиологическое исследование содержимого свища или абсцесса для выявления палочек Коха. Иммунодиагностика туберкулеза позволяет выявить как активную, так и латентную инфекцию. В настоящее время с этой целью используется 2 вида IGRA-тестов: T-SPOT.TB и QuantiFERON.

При свищах или абсцессах осуществляют абсцессографию или фистулографию. В ходе исследования полость заполняют контрастным веществом, после чего делают серию снимков, позволяющих оценить размеры и конфигурацию абсцессов и свищевых ходов. Данная методика имеет большое практическое значение при подготовке плана оперативного вмешательства.

Лечение туберкулеза костей

Лечение комплексное, включает в себя диету, общеукрепляющие мероприятия и медикаментозную терапию. Больных направляют в специализированные центры, диспансеры и санатории. В активной фазе назначают постельный режим, в последующем рекомендуют больше бывать на свежем воздухе и принимать солнечные ванны, применяют массаж и лечебную физкультуру.

В активной фазе в организме пациента происходит усиленный распад белков, поэтому ему увеличивают количество пищи на 1/3 по сравнению с нормой и назначают легкоусвояемую диету с высоким содержанием белка, включающую в себя яйца, отварную рыбу, блюда из мясного фарша, супы на рыбном и мясном бульоне. В период выздоровления увеличивают количество молочных продуктов, в период проведения антибиотикотерапии рекомендуют употреблять большое количество свежих овощей и фруктов.

Пациентам с туберкулезом костей назначают антибактериальную терапию: этамбутол, пиразинамид, изониазид, рифампицин и другие препараты. При необходимости проводят хирургические вмешательства. Объем операции зависит от отсутствия или наличия свищей и абсцессов, а также от степени разрушения кости. Секвестры иссекают, свищевые ходы и полости абсцессов промывают растворами антибиотиков и антисептиков. При благоприятном течении полости со временем закрываются, при неблагоприятном – иссекаются хирургом.

При возникновении грубых дефектов и серьезных анатомических нарушений в позднем периоде проводят корригирующие и реконструктивные операции. На заключительном этапе осуществляют реабилитационные мероприятия, направленные на восстановление функции пораженного сегмента и возврат больного к нормальной жизни. В процессе реабилитации больных с туберкулезом костей применяют физиотерапевтические процедуры, массаж и лечебную физкультуру, проводят социальную и профессиональную реабилитацию.

Прогноз и профилактика

Прогноз для жизни при туберкулезе костей благоприятный. Использование комбинированных методов лечения и современных антибактериальных препаратов позволило свести летальность практически к нулю. Однако в отдаленном периоде у многих больных наблюдаются деформации пострадавшего сегмента той или иной степени выраженности. Половина пациентов с туберкулезом позвоночника выходит на инвалидность. У больных с очагами в костях конечностей часто сохраняется хромота, укорочение и деформация конечности, а также контрактуры различной степени выраженности.

Профилактика заболевания заключается в минимизации контактов с больными активным туберкулезом, предупреждении интоксикаций, травм и переохлаждений. Существенную роль играет улучшение общего уровня жизни и обеспечение социального благополучия. Родителям рекомендуют не отказываться от проведения плановых туберкулиновых проб детям. Следует серьезно относиться к неспецифическим симптомам (слабости, разбитости, незначительному повышению температуры), если они сохраняются в течение нескольких недель. Нужно обращаться к врачу при появлении постоянных болей в костях и мышцах, даже если эти боли слабо выражены.

Читайте также:

Ссылка на основную публикацию
Похожее