Пн-чт: 08:00—17:00 (перерыв 12:00—13:00); пт: 08:00—15:45 (перерыв 12:00—13:00)
whatsapp telegram vkontakte email

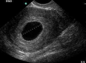
Плодное яйцо и желточный мешок есть а эмбриона нет

image

Две заветные полоски на тесте, высокий уровень ХГЧ – вот они заветные желания женщины, совершивший длинный путь к беременности. Некоторым возможно пришлось прибегнуть к помощи ВРТ.

Казалось бы, теперь только наслаждаться 9 месяцев своим статусом и готовиться к появлению нового члена семьи. Но, не все так радужно.

Последние годы увеличивается тенденция, что при проведении первых УЗИ обнаруживается плодное яйцо без эмбриона на раннем сроке беременности.

После естественного зачатия или оплодотворения в пробирке и последующей пересадки в матку зародыш начинает прикрепляться к эндометрию – происходит имплантация.

В процессе сложных реакций у эмбриона продолжается деление клеток, начинается их дифференциация.

С одной части буду формироваться органы будущего ребенка, а с другой образуются внезародышевые органы — амнион, хорион, аллантоис, желточный мешок, плацента.

Чем отличается плодное яйцо от эмбриона? Как было описано выше, эмбрион является составляющей частью плодного яйца. Простыми словами, зародыш буквально находится в мешочке, яйцевидной, овальной формы, из которого он питается. Благодаря ему, зародыш может развиваться и оставаться невредимым.

Что такое желтый мешочек в плодном яйце? Правильнее все-таки говорить не желтый, а желточный мешочек (мешок) – это особый и очень важный временный орган будущего ребенка.

Представляет собой отросток на брюшной стороне зародыша, содержащий желток.

На ранних сроках беременности он выполняет функции печени, продуцирует половые клетки для плода, активно участвует в обменных процессах и в дальнейшем редуцируется к концу первого триместра.

К сожалению, на определенном этапе сам зародыш может перестать развиваться, при этом плодное яйцо будет присутствовать. При этом у женщины сохраняются или нарастают все признаки беременности – токсикоз, набухание молочных желез, отсутствие менструации, перемены настроения, даже тест на беременность продолжает показывать две полоски.

Пустое плодное яйцо или отсутствие эмбриона фото:

Это является следствием того, что подобные ощущения прямо зависимым от гормонов, вырабатываемых оболочками плода, другими органами или вводимых внутрь, к примеру, если было проведено экстракорпоральное оплодотворение. Такая картина может сохраняться определенное время, женщина может не ощущать отсутствие эмбриона и никаких признаков того, что внутри нее произошли фатальные и необратимые изменения.

Определяется данная патология, на первом УЗИ, на 5-6 неделе беременности. Если нет эмбриона в плодном яйце на мониторе аппарата УЗ-исследования, то врачом выносится диагноз анэмбриония. В некоторых случаях рекомендуется пройти повторное исследование на 7-8 неделе или отследить динамику ХГЧ. Дважды подтвержденный плод без эмбриона является поводом к прерыванию беременности.

Не редко встречается такое явления как анэмбриония второго плодного яйца. Это значит, что у женщины могла быть двойня. На оставшийся зародыш, тот который замер не оказывает пагубного влияния при условии, что у второго нет патологий.

Околоплодное яйцо без эмбриона или плодное яйцо, как еще называют анэмбрионию, до сих пор остается не до конца изученной темой. Причины пустого плодного яйца без эмбриона разнообразные, и порой врачу очень сложно установить реальную картину такой ситуации.

ЖЕЛТОЧНЫЙ МЕШОК. Что такое желточный мешок и зачем его смотрят на УЗИ. Курганников А.С.ЖЕЛТОЧНЫЙ МЕШОК. Что такое желточный мешок и зачем его смотрят на УЗИ. Курганников А.С.

Основные виновники, почему плодное яйцо есть, а эмбриона нет:

  • наиболее часто это генетические иди хромосомные нарушения зародыша, неправильно формирующийся зародыш не выживет, согласно закону естественного отбора;
  • перенесенные острые инфекционные заболевания на первых неделях беременности, которые непосредственно повлияли на эмбрион;
  • радиоактивное или рентгеновское облучение;
  • негативное влияние алкоголя, никотина, наркотических веществ;
  • гормональные нарушения женщины, непосредственно влияющие на развитие зародыша.

Яйцеклетка в матке без эмбриона, хоть и оплодотворенная – это однозначно признак того, что беременность замерла. Но, для постановки такого диагноза и соответственно назначения дальнейшего лечения необходимо убедится в правильном подсчете срока беременности.

Нередкая причина того, почему узи не видит плодное яйцо как раз и является то, что исследование проводится слишком рано, на сроке, при котором фактически невозможно заметить зародыш.

Ответ на вопрос может ли эмбрион прятаться, не однозначен. При достаточном опыте специалиста и хорошей чувствительности аппарата УЗИ вероятность того, что по каким-то причинам эмбрион не был замечен мала. Для перестраховки можно самостоятельно попытаться сделать повторное УЗИ у другого врача, возможно в платном кабинете, подождав неделью-другую.

При условии отсутствия патологий размеры нормального плодного яйца постепенно увеличиваются. Так в среднем на 4 неделе можно визуализировать ПЯ до 5 мм, после 5 недели размер составляет 6-7 мм.

Существенно увеличение происходит на 6-7 неделе, размеры ПЯ достигают от 11 мм до 16-17 мм, а уже на сроке после 8 недель нормально плодное яйцо четко визуализируется и диаметр его равен 18-22 мм.

Принято считать, что если к сроку 8-9 недель плодное яйцо растет, а эмбриона не видно, то беременность не закончится удачно. До этого момента рано делать серьезные прогнозы. Ориентироваться на рост исключительно ПЯ не правильно. Так как плодное яйцо при анэмбрионии растет еще определенное время.

Такой размер практически невозможно определить с помощью УЗИ, даже самого широкого разрешения. А само ПЯ при этом может увеличиваться за счет того, что в нем продолжает скапливаться жидкость.

Поэтому, ответ на вопрос может ли расти плодное яйцо без эмбриона, положителен.

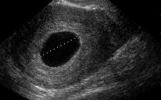
В ситуации, когда на УЗИ видно, что желточный мешочек есть эмбриона нет прогноз более благоприятный. Возможно, срок беременности не позволяет визуализировать сам эмбрион. В норме желточный мешок виден на УЗИ в период с 6 по 11 неделю беременности.

Касательно того, может ли быть желточный мешочек без эмбриона, то ответ зависит от того, что понимать, под словосочетанием нет зародыша.

Если его не видно, если он не развивается на момент, когда уже сформировался желточный мешок, но его размеры очень малы, то да – такая ситуация может быть.

Если желтое тело есть, а эмбриона нет (не путать с желтым телом яичника, речь идет о внезародышевом органе), то вероятность того, что эмбрион просто не разглядели — достаточно высока. Так как по сути желток обязан питать зародыш в первые три месяца. Одной из причин анэмбрионии является недоразвитость, ранняя редукция или полное отсутствие желточного мешка.

При диагностировании анэмбрионии единственный вариант лечения – это чистка (выскабливание или вакуумная аспирация).

Главный аргумент – задержка неразвивающегося организма в полости матки чревата для женщины серьезными последствиями. Эти процедуры малоприятны.

В таки дни необходимо обеспечить надежную психологическую поддержку женщине, ведь потеря даже еще полностью не сформировавшегося зародыша – это трагедия.

Начинается постепенно отслоение яйца, матка выталкивает нежелательный организм. Но, при достоверном отсутствии зародыша в ПЯ ждать когда организм сам очиститься не стоит.

Равно и как бежать после первого УЗИ на чистку.

Вариант, когда беременность есть, а плода нет, так называемая химическая беременность, с отсутствием зародыша не запрет для дальнейших попыток стать мамой. По статистике, большинство женщин раз побывавших в ситуации, если плодное яйцо в матке есть, а эмбриона нет, после проведенных дополнительных обследований нормально рожают.

ХГЧ. Пустое плодное яйцо (анэмбриония) @DrOlenaBХГЧ. Пустое плодное яйцо (анэмбриония) @DrOlenaB

Беременность через 2 месяца после анэмбрионии не рекомендована. Организм не успевает отойти от стресса. Специалисты советуют следующую попытку родить ребенка начинать через 5-6 месяцев после процедуры выскабливания.

Если же анэмбриония повторяется, то это служит сигналом к полному и тщательному обследованию обоих супругов.

Необходимо будет сдать тест на совместимость, на разные генетические аномалии, которые могут провоцировать развитие пустого ПЯ.

Еще одна довольно частая ситуация, когда эмбрион растет, а плодное яйцо нет. Врачи в таком случае ставят угрозу прерывания беременности, так как зародышу будет тесно в его оболочке, и он может замереть.

Может понадобиться определенное гормональное лечение для стимуляции роста ПЯ.

Но часто, ситуация когда плодное яйцо не растет, выравнивается со временем, через 1-2 недели мешок начинает интенсивно наверстывать упущенное.

Вынашивание беременности – достаточно непредсказуемая работа, особенно в последнее время. Влияние негативных факторов окружающей среды только начинает проявляться. По статистике, около 20% всех женщин сталкиваются с диагнозом анэмбриония. Но, отчаиваться и бить панику не стоит. Необходимо трезво оценивать ситуацию, проконсультироваться у нескольких специалистов и затем принимать решение.

image

Желточный мешок формируется из особой структуры – эндобластического пузыря – на 15-16 день развития эмбриона (или на 29-30 день от последней менструации).

В этот период женщина может еще не знать о своем изменившемся статусе, и только задержка менструации указывает на возможное зачатие ребенка. Желточный мешок развивается вместе с плодным яйцом и другими структурами зародыша по заданной природой программе.

Желточный мешок представляет собой замкнутое кольцо, расположенное внутри хориальной полости. Функционирует он недолго – всего 12-14 недель. В начале II триместра желточный мешок начинает уменьшаться в размерах. После 14 недель образование бесследно исчезает, выполнив все возложенные на него функции.

Желточный мешочек – временный (провизорный) орган, однако без него невозможно нормальное течение беременности и развитие эмбриона. На ранних стадиях размеры желточного мешка превышают размер эмбриона и амниотической полости. Желточный мешок активно растет с 6 по 12 неделю гестации, после чего постепенно уменьшается в размерах и полностью исчезает.

На 18-19 день от зачатия желточный мешок становится очагом кроветворения. В его стенках образуются участки эритропоэза, и формируются первые красные кровяные клетки. В дальнейшем здесь образуется разветвленная сеть капилляров. Первичные эритроциты, выходя из желточного мешка, попадают в кровеносную систему эмбриона и разносятся с током крови по всему организму.

С 28 дня от момента зачатия желточный мешок начинает выработку первичных половых клеток эмбриона. В дальнейшем половые клетки мигрируют из желточного мешка и попадают к закладкам гонад (половых желез).

4-5 неделя беременности – важный этап в развитии половой системы плода.

Со 2 по 6 неделю беременности желточный мешок выполняет роль печени для эмбриона. В стенках желточного мешка синтезируются важные белки и ферменты, необходимые для нормального развития всего организма.

В частности, здесь вырабатывается АФП (альфа-фетопротеин). В кровеносной системе плода АФП связывается с ПНЖК (полиненасыщенными жирными кислотами) и переносит их ко всем клеткам и тканям.

Также АФП подавляет иммунную реакцию на вновь синтезируемые белки, позволяя метаболическим процессам проходить в нужном ритме.

Маточная беременность раннего срока, плодное яйцоМаточная беременность раннего срока, плодное яйцо

Другие функции желточного мешка:

  • регуляция иммунной системы плода;
  • синтез гормонов;
  • создание условий для адекватного обмена веществ;
  • выведение продуктов обмена.

Все свои функции желточный мешок выполняет до тех пор, пока в организме плода не сформируются основные внутренние органы и не возьмут на себя эту работу. После 12 недель необходимость в желточном мешке отпадает. К началу II триместра от желточного мешочка остается лишь небольшое кистозное образование у основания пуповины.

При ультразвуковом исследовании трансвагинальным датчиком желточный мешок определяется с 6 по 12 неделю беременности. Допускаются незначительные отклонения (до 2 недель) в любую сторону. Отсутствие на УЗИ желточного мешочка – неблагоприятный признак, свидетельствующий о серьезных нарушениях в течении беременности.

При проведении УЗИ врач оценивает расположение, форму и размер желточного мешка. Размеры желточного мешочка будут зависеть от срока гестации.

Нормы желточного мешка по неделям:

Важно помнить: размер желточного мешка быстро меняется на ранних сроках беременности. Незначительные отклонения не должны пугать беременную женщину и не могут быть основанием для постановки серьезных диагнозов.

Если размер желточного мешочка не соответствует норме, врач должен внимательно осмотреть эмбрион, определить локализацию плодного яйца и другие параметры. При необходимости проводится повторное УЗИ через 1-2 недели.

Сроки для проведения УЗИ:

На сроке 6-7 недель проводится первое ультразвуковое исследование во время беременности. В ходе процедуры врач подтверждает факт наступления беременности и определяет ее срок.

Доктор обозначает расположение плодного яйца (в матке или за ее пределами), оценивает состояние и локализацию желточного мешка и хориона. Определяются размеры плода, их соответствие сроку беременности и размерам желточного мешочка.

В 6 недель также выслушивается сердцебиение эмбриона и оценивается его жизнеспособность.

Неблагоприятные симптомы:

  • отсутствие желточного мешка на сроке до 12 недель;
  • утолщение желточного мешка более 7 мм или уменьшение менее 2 мм;
  • изменение формы желточного мешка.

В комплексе с другими симптомами эти состояния могут указывать на высокий риск прерывания беременности в I триместре. Для уточнения диагноза может потребоваться дополнительное обследование на аппарате экспертного класса.

При проведении УЗИ врач может выявить такие состояния:

В норме желточный мешок определяется на УЗИ в период с 6 по 12 неделю. Отсутствие желточного мешка – неблагоприятный признак.

Если столь важный орган по каким-то причинам рассасывается раньше времени, эмбрион перестает получать необходимые для его развития вещества. Нарушается синтез гормонов и ферментов, прекращается выработка красных клеток крови.

При преждевременной редукции желточного мешка (до 12 недель) происходит самопроизвольный выкидыш. Сохранить беременность медикаментозными средствами не удается.

Отсутствие желточного мешка на УЗИ (с 6 по 12 неделю) считается одним из признаков регрессирующей беременности. Сердцебиение эмбриона при этом не определяется, его размеры не соответствуют сроку гестации. Лечение только хирургическое. При регрессирующей беременности проводится удаление плодного яйца и выскабливание полости матки.

Возможные варианты:

  • Желточный мешочек определяется в виде рудиментарного образования.
  • Размер желточного мешка не соответствует сроку беременности (меньше нормы).

Любая из этих ситуаций говорит о том, что началось преждевременное рассасывание желточного мешка.

Если на момент редукции мешочка внутренние органы плода еще не сформированы и не способны полноценно функционировать, происходит гибель эмбриона и самопроизвольный выкидыш.

В некоторых случаях сокращения матки и выкидыша после гибели эмбриона не происходит. Такое состояние носит название регрессирующая беременность.

Желточный мешок начинает формироваться в течение второй недели эмбрионального развития. Его полная визуализация на УЗИ происходит на 6 неделе. При нормальном развитии диаметр желточного мешка изменяется от 1 до 6 мм. Нормы размера желточного мешка по неделям указаны в таблице.

image

С оплодотворения яйцеклетки в женском организме начинается сложнейший процесс зарождения новой жизни. В первые недели самой важной единицей формирования плода становится желточный мешок, или пузырь.

Не будем принимать его за желтое тело, поскольку это совершенно разные структуры, которые появляются в начале гестации и работают одновременно.

Что такое желточный пузырь и каково его назначение во время вынашивания ребенка, читайте в статье. 

Прежде всего, обозначим отличительные черты желточного мешка и желтого тела. Это функциональные образования, которые совсем не долго существуют на ранних сроках беременности, но тем не менее представляют большую ценность для дальнейшего развития нового организма.

Под желточным мешком подразумевают не постоянный орган, расположенный по соседству с зародышем. Он формируется спустя 15 — 16 суток после оплодотворения, во время активного созревания тканей плаценты.

УЗИ при беременности до 11 недель беременностиУЗИ при беременности до 11 недель беременности

Желточное вещество зиготы обрастает эмбриональными клетками и в итоге приобретает вид округлой замкнутой структуры с тонкостенной мембраной.

Фиксируется она около брюшной части эмбриона, активно работает в первые дни его существования, а на УЗИ начинает четко просматриваться с 6 недели от момента оплодотворения.

Если говорить о диаметре этого специфического образования, то с 6 по 10 неделю в норме он составляет 5,5 мм. Чуть позже, начиная с 8 недели, желточный мешок уменьшается примерно до 2 мм. На 12 неделе ультразвук его уже не улавливает.

Как и желточный пузырь, этот орган возникает в самом начале беременности и присутствует временно. Образование появляется сразу после того, как готовая к оплодотворению женская клетка покидает фолликул. Материалом для формирования желтого тела становятся гранулезные клетки лопнувшего фолликула.

Если встреча женской и мужской клеток прошла успешно, желтое тело начинает развиваться при содействии хорионического гонадотропина. Эта структура живет на протяжении 10 — 12 недель после зачатия, а рассасываться начинает, как только созреет плацента.

Позже за сохранность маленького человечка будет отвечать плацента, поэтому необходимости в дополнительной защите больше не будет.

На заре беременности размеры желточного мешка превосходят амниотическую полость и сам зародыш. На данный момент от  этой структуры зависит будущее плода, поскольку она отвечает за ряд важнейших функций, которые обеспечивают нормальное развитие органов и структур нового организма:

  • восполняет отсутствие печени у малютки, синтезируя целый ряд необходимых веществ: альфа 2-микроглобулина, альфа-фетопротеина, трансферринов и пр.;
  • играет решающую роль в том, мальчиком или девочкой впоследствии станет эмбрион, поскольку направляет к нему первые клетки, отвечающие за половую принадлежность;
  • принимает участие в формировании иммунитета плода;
  • создает в своих тканях первые эритроциты и наращивает мельчайшую капиллярную сетку, на основе которой впоследствии образуется кровеносная система, откуда зародыш возьмет все, что ему понадобится для роста.

Когда желточный мешок при беременности пропадает, на теле эмбриона после него остается кистообразная отметка рядом с пуповинным канатиком.

Трансвагинальный датчик диагностического ультразвукового аппарата обнаруживает желточный мешок в период с 6 по 12 неделю внутриутробной жизни крохи. Возможны незначительные колебания этих сроков (плюс-минус 14 дней). Если специфическое образование не просматривается, врач воспринимает это как весомое свидетельство аномального развития гестации.

  • В ходе проверки диагност учитывает локализацию, форму и объемы желточного мешка. Размеры желточного мешка по неделям при беременности отображены в таблице:
  • По состоянию желточного мешка судят о том, нормально ли  развивается беременность на ранних сроках.

Одна из самых важных характеристик временного органа — быстрое изменение его параметров в начале гестации.

В связи с этим специалисты допускают несущественные отклонения от нормативных параметров и не спешат с вынесением неблагоприятных вердиктов.

Если размеры желточного мешка при беременности не совпадают с нормой, это повод повнимательнее присмотреться к зародышу, а также изучить расположение плодного яйца. Для получения дополнительных сведений будущую маму пригласят на повторное УЗИ.

Обычно ультразвуковое исследование проводят на таких сроках:

  • 6 — 7 недель;
  • 12 — 14 недель.

На первом УЗИ (6 — 7 недель) врач официально сообщает женщине о наступлении беременности и уточняет ее срок. В рамках данного исследования специалист изучает состояние и местоположение хориона и желточного мешка.

АНЭМБРИОНИЯ и замершая беременность. ЧТО ДЕЛАТЬ? Отвечает Доктор Гузов И.И.АНЭМБРИОНИЯ и замершая беременность. ЧТО ДЕЛАТЬ? Отвечает Доктор Гузов И.И.

Под прицелом ультразвукового датчика оказывается и сам плод: врач оценит его размеры, а также их соответствие сроку гестации и размерам желточного мешка.

На этом сроке уже можно прослушать биение сердца зародыша и оценить, насколько он жизнеспособен в целом.

С 12 по 14 неделю беременности будущие мамы в рамках УЗИ проходят первый скрининг, на котором вновь будут проинспектированы важнейшие составляющие беременности: плод — хорион — желточный мешок. Последний на данном этапе развития достигает своих наибольших размеров.

Впоследствии, когда желточное образование начинает постепенно растворяться, обнаружить его получается уже не всегда. После 14 недели беременности желточный мешок в норме не визуализируется.

Среди настораживающих признаков, при наличии которых пациентке показана дополнительная диагностика, отметим:

  • измененную форму желточного образования;
  • увеличение (более 7 мм) или уменьшение (менее 2 мм) толщины его мембран;
  • отсутствие специфического органа на сроке до 12 недель.

При наличии других неблагоприятных симптомов появляется риск самопроизвольного или искусственного прерывания беременности на ранних сроках. Чтобы уточнить диагноз, в некоторых случаях требуется дополнительная диагностика посредством аппаратуры экспертного класса.

На 8 неделе беременности с помощью УЗИ уже реально определить, сколько амниотических полостей сформировалось в матке. Возможны такие варианты:

  • в каждом плодном яйце присутствует один желточный мешок и один плод — тогда беременность классифицируется как дихориальная диамниотическая (рождается двойня с разной внешностью и даже полом), трихориальная амниотическая (разнояйцевая тройня) и т. д.;
  • в одном плодном яйце два желточных мешка и два плода с активным сердцебиением. Если амниотических полостей впоследствии будет больше, чем плацент, беременность классифицируют как монохориальную диамниотическую (родятся однополые однояйцевые близнецы очень похожие друг на друга), а если поровну — то монохориальной моноамниотической (однополые однояйцевые близнецы, похожие как две капли воды);
  • в одном плодном яйце 1 желточный мешок и 2 плода с активным сердцебиением — беременность соответствует типу монохориальной моноамниотической плацентации.

Если развитие эмбриона стартовало успешно, желточный мешок хорошо просматривается с 6 по 13 неделю гестации. В норме толщина мембранных стенок желточного мешка при беременности составляет 5 мм. Случается, что аппарат УЗИ не «видит» временный орган или, наоборот, желточный мешок обнаруживается, когда быть его уже не может. Такие явления можно объяснить так:

  • если с момента рождения зиготы прошло менее 6 недель, желточный мешок доступен глазу специалиста далеко не всегда. Практика доказывает, что до 6 недели гестации временного пузыря чаще всего не видно, однако присутствует плодное яйцо и хорошо прослушивается биение сердца (с 5 недели). Именно по этой причине возможны недоразумения;
  • если очертания желточного мешка не просматриваются с 6 по 12 неделю, возможно, вскоре подтвердится, что плод замер или произойдет срыв. В таких случаях беременной обязательно назначают повторное УЗИ, чтобы в достоверности результатов первой процедуры не было сомнений (все-таки технические ошибки никто не исключал);
  • показателем возможных осложнений является визуализация желточного мешка после 12 недели беременности. Обычно на данном этапе развития эмбриона временный орган начинает постепенно разрушаться, чтобы на 13 неделе освободить место для созревшего детского места. Если желточный мешок никуда не исчез до этого времени, риск выкидыша очень большой;
  • разрушение желточного мешка раньше положенного срока (до 12 недели гестации) также свидетельствует о сбое в течение беременности и, скорее всего, является предпосылкой ее прерывания;
  • в случае, если временный орган сформировался, а зародыша нет, говорят об анэмбрионии. В такой ситуации плодное яйцо пустое, несмотря на наличие желточного пузыря;
  • неправильная форма желточного мешка (например, волнистые края, неравномерная толщина мембран) все еще остается темой медицинских дискуссий. В основном ученые склоняются к мысли, что изменение формы свидетельствует о какой-либо дисфункции временного органа.

Параметры временного образования иногда бывают меньше нормальных показателей или, наоборот, превышают их.

https://youtube.com/watch?v=cl5o7_DZhQk

Это явление считают тревожным, но в то же время субъективным признаком, поэтому в обязанности врача входит его тщательная проверка и расшифровка.

Так, прежде чем говорить о наличии каких-либо нарушений, проводят тройной тест. В рамках этого тестирования изучают маркеры аномалий развития и хромосомных нарушений эмбриона.

Этот же тест актуален, когда желточный мешок «задержался» на своем месте слишком долго. Если подтверждается наличие какой-либо необратимой внутриутробной проблемы, беременность искусственно прерывают.

Слишком маленькие размеры временной структуры говорят о дефиците прогестерона. Ситуацию часто получается исправить при помощи медикаментозного вмешательства. Беременной назначают Дюфастон, Утрожестан и другие препараты прогестерона.

image

Две заветные полоски на тесте, высокий уровень ХГЧ – вот они заветные желания женщины, совершивший длинный путь к беременности. Некоторым возможно пришлось прибегнуть к помощи ВРТ.

Казалось бы, теперь только наслаждаться 9 месяцев своим статусом и готовиться к появлению нового члена семьи. Но, не все так радужно.

Последние годы увеличивается тенденция, что при проведении первых УЗИ обнаруживается плодное яйцо без эмбриона на раннем сроке беременности.

image

Желточный мешок – это зародышевый орган, содержащий запас питательных веществ для эмбриона. Желточный мешочек сохраняется на протяжении всего I триместра и самостоятельно рассасывается после 12 недель. Форма и размеры желточного мешка являются одним из важнейших показателей течения беременности на самых ранних ее сроках.

Желточный мешок формируется из особой структуры – эндобластического пузыря – на 15-16 день развития эмбриона (или на 29-30 день от последней менструации).

В этот период женщина может еще не знать о своем изменившемся статусе, и только задержка менструации указывает на возможное зачатие ребенка. Желточный мешок развивается вместе с плодным яйцом и другими структурами зародыша по заданной природой программе.

Желточный мешок представляет собой замкнутое кольцо, расположенное внутри хориальной полости. Функционирует он недолго – всего 12-14 недель. В начале II триместра желточный мешок начинает уменьшаться в размерах. После 14 недель образование бесследно исчезает, выполнив все возложенные на него функции.

Основная причина такого симптома – неправильное определение срока беременности. Это возможно при нерегулярном менструальном цикле (на фоне различной гинекологической патологии или у кормящих мам). В этой ситуации врачу следует оценить размеры эмбриона и пересчитать срок беременности с учетом имеющихся данных.

Важный момент: изменение размеров, формы или плотности желточного мешка имеет значение только в комплексе с другими ультразвуковыми показателями.

При выявлении любых отклонений следует оценить состояние эмбриона (локализация, размеры, сердцебиение). Если малыш растет и развивается в соответствии со сроком беременности, не никаких причин для беспокойства.

Изменения желточного мешка в данном случае считаются индивидуальной особенностью, не влияющей на течение I триместра.

Ссылка на основную публикацию
Похожее