Пн-чт: 08:00—17:00 (перерыв 12:00—13:00); пт: 08:00—15:45 (перерыв 12:00—13:00)
whatsapp telegram vkontakte email

Через сколько дней после зачатия на узи видно плодное яйцо

image

Желание поскорей узнать о беременности, заставляет женщин обращаться к специалистам ультразвуковой диагностики, чтобы подтвердить свои догадки.

Необходимость узнать о новом положении на раннем сроке может быть вызвана не только любопытством, но и необходимостью принимать определенные препараты.

УЗИ рекомендуется проводить одновременно с другими методами диагностики, что повысит точность результата.

Проведение исследования на ранних сроках необходимо женщинам при повторной беременности, если она стали мамой при помощи кесарева сечения не более года назад. Это позволит оценить риски и убедиться в прикреплении эмбриона на достаточном расстоянии от рубца.

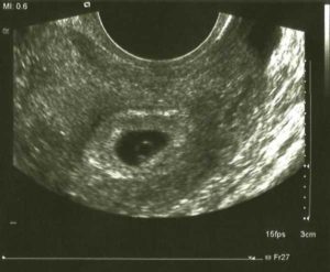
УЗИ – достоверный способ убедиться в том, что произошло прикрепление оплодотворенной яйцеклетки к стенке матки. В зависимости от срока, врач увидит только плодное яйцо или развивающегося в нем эмбриона.

Плаценты на ранних сроках еще нет, зато присутствует желтое тело, которое также хорошо видно специалистам.

Врач может увидеть место прикрепления плодного яйца в матке, от которого в будущем зависят особенности течения беременности.

Зачатие происходит после овуляции, когда яйцеклетка выходит в полость матки. Обычно это происходит на 14 дней с начала цикла, именно в этот период возможно оплодотворение.

На УЗИ зарождение новой жизни можно увидеть только при прикреплении зиготы к стенке матки, что происходит только на 7-10 день после зачатия. Часто врач на маленьком сроке видит в матке плодное яйцо, но не наблюдает в нем эмбриона.

Для точного определения наличия эмбриона рекомендуется обращаться на УЗИ не ранее, чем на 4-5 неделе акушерского срока, который соответствует периоду от первого дня последней менструации. Именно в этот период уже точно произошло прикрепление, и врач увидит изменения в полости матки.

При закреплении зиготы вне матки, определить это на УЗИ достаточно сложно. Даже самый чувствительный аппарат не способен идентифицировать зиготу в маточных трубах или других органах репродуктивной системы.

Подозрения на внематочную беременность возникает при одновременном выполнении следующих условий:

  • положительный тест, растущий уровень ХГЧ;
  • отсутствие эмбриона в матке;
  • дискомфорт в брюшной полости.

Через 4-5 недель после зачатия врач может обнаружить увеличение органа, в котором прикрепился эмбрион. В первые 2-3 недели после оплодотворения яйцеклетки увидеть на УЗИ замершую беременность невозможно.

Закрепиться оплодотворенная яйцеклетка может в любом месте: маточная труба, яичник или прямо на тканях брюшины.

Это серьезная патология, которая требует оперативного вмешательства и может угрожать жизни женщины.

УЗИ для определения беременности на ранних сроках рекомендуется делать не ранее 6 недели. Это объясняется тем, что в этот период уже появляется сердцебиение у плода и его нахождение в полости матки видно на любом аппарате.

Примерно с 4 акушерской недели врач может отметить наличие плодного яйца, изменившуюся структуру миометрия и другие косвенные признаки, указывающие на наступившую беременность.

Специалист может обратить внимание на расширившиеся сосуды матки, что необходимо для полноценного питания и роста зиготы.

УЗИ на ранних сроках делают по мере необходимости, вреда на плод исследование не оказывает. При необходимости контроля за развитием эмбриона, врач может рекомендовать пройти процедуру несколько раз с промежутком в неделю, что поможет принять решение о дальнейших действиях. Проведение контроля УЗИ в динамике требуется в следующих случаях:

  • обнаружение плодного яйца без эмбриона;
  • отсутствие сердцебиения после 6 недели;
  • видимые патологии желтого тела.

До появления сердцебиения точно определить наличие развивающейся беременности сложно. Именно в 4-5 недель акушерского срока чаще всего происходит самопроизвольное ее прерывание, вызванное патологиями эмбриона, несовместимыми с жизнью. На этом же сроке беременность замирает при нехватке гормонов, в частности прогестерона, которые помогают ей развиваться.

Через 4-5 недель после зачатия, когда акушерский срок более 6-7 недель, у эмбриона появляется сердцебиение. Сердечные сокращения подтверждают наличие беременности и ее развитие.

В исключительных случаях сердцебиение может появиться чуть раньше или позже, это зависит от периода, когда была овуляция и произошло зачатие.

Именно на этом сроке можно точно определить наличие эмбриона при помощи ультразвукового исследования и сделать первые его замеры.

Появление первичных половых признаков у плода начинается во втором триместре. Определяют пол ребенка обычно в 20 недель беременности и позже, когда вероятность ошибки минимальна. В первом триместре отдельные специалисты могут предположить половую принадлежность малыша по частоте сердечных сокращений, которая немного различается у плодов женского и мужского пола.

Беременность раннего срока.Беременность раннего срока.

Для определения беременности существует много способов, помимо ультразвукового исследования. Они применяются не только по отдельности, но и в дополнение к УЗИ, когда результат кажется специалисту сомнительным. Признаки зарождения новой жизни могут быть прямые и косвенные. К прямым показателям наличия беременности относится:

  • положительный тест на беременность;
  • уровень хорионического гонадотропина человека в крови у женщины выше 25 и продолжает расти;
  • на осмотре врач подтверждает увеличение размеров матки.

Косвенные признаки встречаются ни у каждой женщины, их появление не всегда связано с беременностью. Убедиться в развитии эмбриона можно, если вместе с одним из прямых признаков присутствуют следующие:

  • сонливость;
  • тошнота;
  • резкая смена настроения;
  • набухание груди и повышение ее чувствительности.

Определение беременности по УЗИ – достоверный способ узнать о своем новом положении. Для точных результатов необходимо дождаться подходящего срока, это позволит не только убедиться в наличии эмбриона, но и узнать о нормально развитии беременности. Исследование помогает определить зарождение новой жизни, а также предположить особенности течения беременности.

image

В настоящее время при первых подозрениях на беременность сразу же после аптечного теста на присутствие ХГЧ в моче женщины торопятся пройти ультразвуковое исследование, чтобы врач подтвердил признаки развивающейся беременности.

Всегда ли можно установить наличие беременности, поставить срок гестации и обнаружить аномалии в развитии плода на ранних сроках?

Для установления наличия и срока беременности врач проводит трансвагинальное УЗИ. Этот доступ позволяет лучше рассмотреть полость матки, достовернее измерить размер и оценить структуру плодного яйца.

Помимо визуализации самого плодного яйца врач обязательно оценивает все внутренние органы репродуктивной системы у женщины: матку, шейку, яичники, а также мочевой пузырь.

У худых женщин на ранних неделях плодное яйцо иногда бывает видно и с помощью трансабдоминального доступа.

Трансабдоминальное УЗИ

Начиная с 11-12 недели беременности строение плода, срок беременности и признаки нормального развития оценивают обычно с помощью трансабдоминального УЗИ.

На раннем сроке с 4 по 6 недели срок беременности устанавливают по диаметру плодного яйца. Для этого врач проводит измерение диаметра плодного яйца по его внутреннему контуру в 3 взаимоперпендикулярных плоскостях.

4 неделя беременности на УЗИ. Многоплодная беременность.

Нормальные значения копчиково-теменного размера (КТР) в зависимости от срока гестации (полные недели + дни), данные в миллиметрах, нижняя граница – 5-й перцентиль, верхняя граница – 95-й перцентиль.

УЗИ на ранних сроках беременности: когда делать, вредно ли, расшифровкаУЗИ на ранних сроках беременности: когда делать, вредно ли, расшифровка

На каждом определенном этапе развития в его строении появляются новые органы и структуры. Зная эти особенности врач может увидеть соответствует ли развитие плода возрастным нормам.

Трансвагинальное УЗИ покажет плодное яйцо в полости матки, когда наступят 4,5 – 5,0 недель беременности. Стоит отметить, что врачи считают продолжительность беременности с первого дня крайних месячных.

То есть не стоит сразу же торопиться на УЗИ, если задержка менструаций составляет 1 – 2 дня. Эхография может показать первые признаки гестации только спустя 3 – 5 суток задержки от даты ожидаемых месячных.

Вполне частой ситуацией является когда тест на беременность положительный, и женщина в этот же день идет на УЗИ, но врач при этом не видит беременности в полости матки. Почему такое может быть?

Яйцеклетка оплодотворяется сперматозоидами в фаллопиевых трубах, и оплодотворенная постепенно продвигается по ним к матке в течение нескольких суток. Примерно к 4 неделе от первого дня последней менструации зародыш достигает полости матки и имплантируется в эндометрий.

У некоторых женщин овуляция и соответственно оплодотворение происходит позже середины цикла, поэтому и зародыш достигает полости матки немного позже. В таком случае на УЗИ можно еще не увидеть признаки плодного яйца в матке, хотя тест на беременность будет положительным. В этой ситуации врач назначает повторное УЗИ через 7-10 дней.

Установлено, что при уровне ХГЧ в крови менее 1000-1200 МЕ/л плодное яйцо еще не видно на УЗИ. Его можно увидеть, когда ХГЧ достигает 1500-2000 МЕ/л.

Другой уже опасной ситуацией, из-за какой зародыш может быть не видно, является внематочная беременность. Плодное яйцо может локализоваться в трубах, полости живота. И если его размеры малы, врач не сможет увидеть его с помощью ультразвука.

Примерно спустя неделю после оплодотворения зародыш попадает в полость матки и начинает имплантироваться в ее слизистую оболочку – эндометрий.

В это время размеры плодного яйца пока еще очень малы, и разрешающая способность ультразвукового сканера не позволяет врачу увидеть признаки зародыша.

В ранние сроки, как и при стандартном гинекологическом УЗИ, измеряют размеры матки, яичников, шейки матки.

Специфическими показатели, которые обязательно определяются в первом триместре являются:

  • диаметр плодного яйца (с 4 по 6 неделю);
  • копчико – теменной размер (с 7 по 14 неделю);
  • диаметр желточного мешка;
  • размер желтого тела в яичнике.

Беременность 7 недель

В первые недели гестации по разным причинам могут возникать отклонения в созревании плодного яйца, которые в некоторых случаях приводят к угрозе или гибели плода.

Среди таких патологий с помощью ультразвукового обследования могут быть обнаружены следующие:

1. Аномалия прикрепления. В норме для благоприятного развития беременности зародыш должен имплантироваться в дне или средней трети полости матки. Если он прикрепляется в области нижней трети или внутреннего зева, то высок риск выкидыша.

2. Изменение формы плодного яйца. В норме оно имеет округлую конфигурацию. Вытянутая форма чаще всего является следствием повышенного тонуса матки и также угрожает выкидышем.

Маточная беременность раннего срока, плодное яйцоМаточная беременность раннего срока, плодное яйцо

Деформированное плодное лицо

3. Инфицирование плодного яйца. Проявляется трансформацией его формы на круглую и появлением в его полости взвеси.

4. Неразвивающаяся беременность. Она проявляется прекращением роста зародыша, исчезновением или деформацией в нем желточного мешка после 6 недели, отсутствием эмбриона после 7 недели, отсутствием сердцебиения у эмбриона, отсутствием динамики развития при контрольном исследовании через 7 дней.

Неразвивающаяся беременность по типу гибели эмбриона

Причинами отсутствия развития могут быть гормональная недостаточность, инфекции половых путей, грубые хромосомные аномалии эмбриона и другие.

Эта аномалия является критерием неразвивающейся беременности, но требует контрольного исследования через несколько дней, так как в редких случаях здоровый эмбрион начинает визуализироваться позже положенного срока.

Анэмбриония на УЗИ

6. Трофобластическая болезнь. Характеризуется развитием доброкачественной опухоли внутри плодного яйца. Причиной такой аномалии чаще всего являются воспалительные изменения в эндометрии.

Трофобластическая болезнь

7. Многоводие. Это повышенное накопление околоплодных вод в амниотической полости. На ранних сроках оно может привести к отслойке плаценты и смерти эмбриона.

Ультразвуковое исследование является неотъемлемым методом диагностики, когда у акушера-гинеколога возникают подозрения на наличие у женщины каких-либо осложнений беременности. УЗИ помогает при подозрениях на внематочную беременность, угрозу прерывания, выкидыш, замершую беременность.

В ранние сроки с помощью УЗД устанавливают точный срок беременности, число плодов, их жизнеспособность и наличие грубых аномалий развития.

Ультразвуковая диагностика помогает врачам установить беременность всего спустя несколько дней от задержки менструаций, а также наблюдать за правильным развитием эмбриона с самых ранних сроков.

Тем не менее не стоит самостоятельно еженедельно посещать кабинет УЗИ.

Это исследование в первые месяцы беременности должно проводиться по показаниям на основании каких-либо жалоб у беременной или подозрении на нарушения в развитии беременности.

image

При задержке начала менструации торопиться на УЗИ не стоит, так как его безвредность еще не доказана, особенно в первом триместре беременности. Поэтому будущей маме нужно знать, когда на УЗИ видно плодное яйцо. Срок предполагаемой беременности будет проще рассчитать, если женщина знает, на какой день цикла у нее происходит овуляция.

Плодным яйцом называются зародышевые оболочки и зародыш. Снаружи оно окружено хорионом – ворсистым слоем, который обеспечивает прикрепление к стенке матки и налаживает питание эмбриона от организма матери.

Будущий ребенок на УЗИ выглядит как округлое образование, к пятой неделе его размер составляет несколько миллиметров. После зачатия в матке яйцеклетка закрепляется на 6-10 день с момента оплодотворения и начинает стремительно расти.

В среднем каждый день размер увеличивается на 2 мм.

Сразу после прикрепления яйцеклетки в слизистой оболочке матки начинает вырабатываться хорионический гонадотропин человека (ХГЧ), гормон беременности, наличие которого и определяет тест на беременность. На таких ранних сроках делать УЗИ бессмысленно, так как никакая аппаратура еще ничего не показывает.

Самый ранний срок, когда можно достоверно увидеть беременность на УЗИ, – пятая неделя.

Хороший врач на качественной аппаратуре сможет рассмотреть плодное яйцо, эмбрион в нем (он будет выглядеть как маленькая темная полоска длиной 3-5 мм), околоплодные воды; измерить его, оценить форму и прослушать сердцебиение эмбриона. Многоплодную беременность с уверенностью можно будет увидеть на более поздних сроках – примерно на 8-9 неделе.

Если врач не может увидеть плодное яйцо УЗИ и нет других признаков, например утолщения слизистого слоя стенок матки, это может означать, что либо оплодотворения не произошло, либо срок еще слишком маленький. Но также отсутствие яйца в матке может означать, что оно прикрепилось в маточной трубе или где-либо еще, а внематочная беременность опасна для жизни женщины.

УЗИ при беременности до 11 недель беременностиУЗИ при беременности до 11 недель беременности

Причин для деформации может быть много. Самая частая – тонус матки. При отсутствии болевых, тянущих ощущений в животе и пояснице, кровянистых выделений и раскрытия шейки матки это состояние не является опасным – при расслаблении мышц плодное яйцо примет правильную форму.

Но если изменение формы сопровождается такими неблагоприятными симптомами, это означает непосредственную угрозу выкидыша и требует немедленного принятия мер.

Во многих случаях своевременная терапия может сохранить беременность и позволит женщине выносить и родить здорового ребенка.

Но может случиться и так, что деформация вызвана гибелью эмбриона (замершая беременность), анэмбрионией (отсутствием эмбриона в яйце) или опухолью, развившейся на хорионическом слое яйца. Такие опухоли бывают доброкачественные и злокачественные и ведут к гибели зародыша. В таких случаях женщине делают чистку и отправляют на реабилитацию.

В случае подозрений на патологию назначается повторное исследование с целью подтвердить или опровергнуть сомнения. Лучше всего пройти обследование у другого врача, так как ошибки на таком раннем сроке беременности случаются часто – по невнимательности врача, из-за некачественного оборудования либо из-за неправильно проведенной диагностики.

Также придется пройти УЗИ еще раз в том случае, если по каким-то причинам на первом обследовании не удалось прослушать сердцебиение эмбриона или срок не позволяет различить зародыш.

Делать УЗИ каждые 2-3 дня нежелательно, достаточно повторного исследования через 1-2 недели. Раньше этого срока ультразвуковое обследование назначают только при обоснованных подозрениях на внематочную беременность.

При нормально развивающейся беременности врач на первом УЗИ в 5 недель измерит СВД (средний внутренний диаметр) плодного яйца, КТР (копчико-теменной размер эмбриона), частоту сердечных сокращений и размер желточного мешка, который выполняет функции питания, кроветворения и обеспечения зародыша кислородом. На таком раннем сроке размеры будущего ребенка изменяются ежедневно, поэтому идти на ультразвуковое исследование лучше тогда, когда женщина уже становится уверенной, – в начале 5-6 недели, это позволит избежать лишних волнений и снизит риск врачебной ошибки.

Примерные нормы на пятой неделе беременности:

  1. Размер плодного яйца 18-40 мм в диаметре, форма округлая.
  2. Копчико-теменной размер эмбриона 1,5-4 мм.
  3. Частота сердцебиения 100-120 ударов в минуту.
  4. Диаметр желточного мешка 3-5 мм.

При отклонении от этих показателей врач назначит повторное обследование и дополнительные анализы на ХГЧ.

image

«На каком сроке УЗИ показывает беременность?» — это самый главный и волнующий вопрос для женщин. Возникает он в случае задержки менструации или симптомов, которые заставляют задуматься о беременности.

Но не стоит сразу бежать после первого дня задержки на УЗИ, так как оно все равно на таком сроке еще ничего вам не сможет показать. Тест тоже не будет информативным. Вам остается только немного подождать, чтобы узнать точно свое положение.

Но чтобы точно быть уверенной, что беременность наступила необходимо запомнить день зачатия. Оно может наступить через пару дней после полового акта. Вероятность зачатия становится меньше, если половой акт произошел позже предполагаемых сроков овуляции.

Время предполагаемого оплодотворения должно быть рассчитано. Для этого можно использовать калькулятор.

КОГДА УЗИ ПОКАЖЕТ БЕРЕМЕННОСТЬ

Оплодотворение яйцеклетки может осуществиться в день овуляции. Этот день наступает в середине цикла или сразу в течение нескольких суток после данного процесса. Яйцеклетка проникает в матку через маточные трубы. Происходит оплодотворение яйцеклетки только в том случае, если сперматозоиды смогут достичь цели.

В матке происходит внедрение этого слияние в слизистый слой. Зачатия не произойдет, если у женщины наблюдается непроходимость маточных труб. После зачатия может появится  тянущее ощущение внизу живота, как перед месячными. Теперь можно считать, что вы мама и в вашем животе живет плод или даже двойня.

Чтобы ультразвуковое исследование показало точные результаты беременности, необходимо придерживаться некоторых условий:

  • Достаточный срок. На маленьком сроке УЗИ не сможет увидеть плодное яйцо. Также на таком сроке нельзя определить, сколько у вас малышей – один или двойня. Это можно будет увидеть только с 10 недели с точностью до 90%.
  • Воспалительный процесс слизистой оболочки в матке должен отсутствовать. Если он есть, то плодное яйцо должно иметь значительные размеры. Аппарат видит только размеры больше 0,3 см. Количество обследований будет зависеть от состояния.
  • Выбор правильного метода диагностики. От него будет зависеть насколько обследование эффективное, также может ли оно определить – один плод и двойня. Чтобы определить с точностью до тысячных нужно делать УЗИ на 10-12 недели. Двойню рассмотреть можно без труда. Вероятность зачатия двойни практически нельзя вычислить, только если у вас есть генетическая предрасположенность. Если врач не на ранней неделе не смог определить беременность, это говорит о его отсутствии акушерского опыта. Врач видит беременность, начиная с 5-7 недели. Если есть сомнения, назначает через несколько дней после осмотра УЗИ.

НА КАКОЙ ДЕНЬ ЗАДЕРЖКИ ИССЛЕДОВАНИЕ ПОКАЖЕТ БЕРЕМЕННОСТЬ

Беременность можно увидеть, если задержка будет 5-7 дней. При условии, что УЗИ будет делать квалифицированный специалист на качественном оборудовании. Приблизительно срок беременности будет 3 недели. Самым информативным УЗИ считается на 9-11 день задержки.

В такой ситуации будет использоваться вагинальный датчик. На таких ранних сроках нельзя поставить диагноз – внематочная беременность, и определить, сколько плодов находится в матке.

Во время проведения исследования при помощи вагинального датчика врач должен быть осторожен, чтобы не повредить плодное яйцо.

Календарь беременности: 3 неделя беременности!Календарь беременности: 3 неделя беременности!

Когда женщина хочет  забеременеть, то использует калькулятор помогающий рассчитать день овуляции.

Через несколько дней после зачатия можно сделать тест на беременность, но вероятность увидеть положительный результат в такой ситуации меньше всего.

Насколько известно, также есть и тест на овуляцию, который послужит хорошим помощниками в данной ситуации. С ним вероятность забеременеть становиться больше. Они обладают точностью 100%.

ВИДЫ УЗИ ДЛЯ ОПРЕДЕЛЕНИЯ БЕРЕМЕННОСТИ

Существует несколько видов УЗИ, которые помогают определить беременность на ранних сроках (с точностью до 95%):

  • Трансвагинальное УЗИ. При таком исследовании используется датчик, который вводится во влагалище. Поможет определить беременность уже с третьей недели иногда еще на более ранних сроках.
  • Абдоминальное УЗИ. Датчик располагают на передней стенке живота. Результат сможет показать только на пятой недели беременности.

ПОДГОТОВКА К ИССЛЕДОВАНИЮ

Чтобы диагностирование беременности было эффективным, женщине рекомендуется предварительно подготовиться. За несколько дней до УЗИ необходимо исключить из рациона продукты, которые могут вызвать газообразование в кишечнике. Наличие газов мешает рассмотреть структуру матки и маточных труб.

Такая подготовка относится к любому виду исследования.

Когда вам было назначено трансабдоминальное УЗИ, в день обследования нужно наполнить мочевой пузырь за три часа, после чего нельзя ходить в туалет.

Когда женщина не может выдержать столько времени, то за час выпивается определенное количество воды, но не меньше, чем  0,5-1 литр негазированной жидкости. Во время обследования может возникнуть дискомфорт, чем больше будет выпито воды, и женщина будет терпеть, тем больше дискомфорт.

После УЗИ можно сходить в туалет. На пустой пузырь с большой точностью выяснить беременность не получится.

Перед трансвагинальным УЗИ рекомендуется опорожняться. За несколько дней перед процедурой лучше воздержаться от полового акта.

КОГДА НЕОБХОДИМО СДЕЛАТЬ УЗИ НА БЕРЕМЕННОСТЬ?

В первые дни задержки можно сделать предварительно тест на беременность и если появилась слабая полоска, то можно обратиться за консультацией к врачу и посетить УЗИ. Но перед УЗИ гинеколог назначает анализ ХГЧ. Если его уровень будет повышен, то вероятность беременности повышается в несколько раз (в таблице ниже представлены уровни ХГЧ на разных сроках).

Срок беременности с момента первого дня последнего менструального цикла (недели)Примерный уровень ХГч, мМЕ/мл250-3003-41500-50004-510000-300005-620000-1000006-750000-2000007-840000-2000008-935000-1400009-1035000-13000010-1130000-12000011-1227500-11000013-1425000-10000015-1620000-8000017-2115000-60000

Если у вас 8-15 дней задержки, наблюдаются боли и появились кровяные выделения, то необходимо пройти ультразвуковое исследование, которое может показать, что плодное яйцо отслаивается.

КАК ПРОВОДЯТ ИССЛЕДОВАНИЕ

Процесс проведения исследования будет зависеть от вида назначенного обследования.

  • Во время вагинального исследования пузырь должен быть пустым. Женщине необходимо оголиться ниже пояса. Принять положение лежа. Ноги сгибаются в коленях. Датчик вводится во влагалище, предварительно на него надевается презерватив. Помогает определить беременность с пятого дня задержки.
  • Во время абдоминального исследования датчик водится на поверхности низа живота. На кожные покровы наносится специальный гель, помогающий скользить по поверхности и не проникать воздуху под датчик. Воздух может делать помехи. Данный вид исследования используется дальше в течение всей беременности. Этим способом можно воспользоваться с седьмого дня задержки.

РАСШИФРОВКА ДАННЫХ

Расшифровкой данных ультразвукового исследования должен заниматься только квалифицированный специалист. На первом УЗИ специалист определяет:

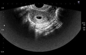
  • Наличие каплевидного или округлого гипоэхогенного образования, диаметр которого составляет 0,3-0,5 см. От срока зависит и размер.
  • Образование должно быть окружено тонкой оболочкой. Данное образование и есть плодное яйцо.
  • Наличие желтого тела.

УЗИ уже на более поздних неделях помогает определить, как развивается плод и есть ли него какие-либо пороки. Далее будут представлены таблицы с нормативными показателями.

Положительный тест на беременность и первое УЗИПоложительный тест на беременность и первое УЗИ

Нормативные показатели копчиково-теменного размера эмбриона/плода в зависимости от срока беременности

Нормативные показатели ЧСС плода в зависимости от срока беременности

Срок беременности в неделяхЧастота сердечных сокращений, уд/мин10170(161-179)11165(153-177)12162(150-174)13159(147-171)14157(146-168)

Нормативные показатели толщины воротникового пространства эмбриона/плода в зависимости от срока беременности

Срок беременности в неделяхТолщина воротникового пространства в мм5-й процентиль50-й процентиль95-й процентиль10-110,81,52,211-120,81,62,412-130,71,62,513-140,71,72,7

Развитие плода в зависимости от срока

Таблица средних размеров плода по УЗИ

ОШИБАЕТСЯ ЛИ ДИАГНОСТИКА?

Первое УЗИ на ранних сроках помогает узнать, если ли плод в матке и правильно он развивается или нет. Но бывают и такие случаи, когда данное исследование может ошибиться. Это может произойти, если на стенке матке образовалась гематома. Также может произойти ошибка с определение срока и пола ребенка, что очень часто случается.

Причины ошибок

В большинстве случаев причинами ошибок могут быть:

  • Если срок слишком маленький.
  • Если есть гематомы или иные образования в матке.
  • Устаревшее оборудование.
  • Неквалифицированный специалист.

Но стоит понимать, что вероятность ошибки составляет 1:10. В основном всегда можно при помощи ультразвукового исследования определить беременность и ее срок. Чтобы можно было наблюдать за развитием плода, протеканием беременности, во время всего периода лучше использовать калькулятор, который с точностью до недели и дня может определить, когда вам рожать.

источник http://uzilife.ru/uzi-pri-beremennosti/na-kakom-sroke-uzi-pokazyivaet-beremennost.html

image

Вопрос о том, когда на УЗИ видно плодное яйцо, волнует каждую женщину. Особенно этим озабоченны пары, которые хотят поскорее зачать малыша.

Поэтому ответ, через сколько дней и на какой неделе можно определить беременность, важен для многих. Но хотя в это период сомнений и сильно испытывается нервную систему, не стоит идти на УЗИ раньше времени.

Даже если тест на беременность положителен, если сделать ультразвук слишком рано, окажется, что на УЗИ не видно плодного яйца.

Беременность начинается после того, как яйцо оплодотворяется и начинает двигаться в сторону матки, чтобы закрепиться на её стенках. Хоть реально оплодотворение произошло, в это время нельзя сказать с уверенностью, беременна женщина или нет.

Поставить диагноз можно не раньше, чем яйцо закрепится на стенках матки и его клетки начнут выделять гормон ХГЧ, который можно будет обнаружить в крови или моче.

Другими словами, тест на беременность будет положительным только после оплодотворения яйцеклетки и имплантации яиц в матку.

Существует две разновидности тестов на беременность, способные определить на раннем сроке, нужно ли ожидать прибавления в семье или нет:

  • анализ мочи;
  • анализ крови.

Анализ мочи – это самый легкий тест, который можно сделать дома самостоятельно. Для этого надо окунуть в мочу специальные тест-полоски. Через несколько минут индикатор на полоске покажет, беременна женщина или нет. Стоит заметить, что тест-полоска ориентирована на определение наличия гормона ХГЧ. Если реагенты его обнаружат, это будет заметно.

Какие существуют анализы крови?1911

Недостатком этого теста является низкая чувствительность. Это значит, что он не всегда определяет беременность при ее наличии.

Хоть производители и уверяют, что он показывает точные результаты даже за два дня до предполагаемых месячных, на самом деле тест мочи, сделанный в это время, выявляет беременность только в 25% случаев. За день до ожидаемых месячных, полоски показывают беременность в 40% случаев.

Вот почему наилучшим временем для анализа будет конец третей недели после зачатия или седьмой день после задержки месячных при 28-ми дневном цикле. Для большей уверенности тест можно повторить спустя несколько дней.

ХГЧ. Пустое плодное яйцо (анэмбриония) @DrOlenaBХГЧ. Пустое плодное яйцо (анэмбриония) @DrOlenaB

Для определения беременности исследование крови более эффективный метод, чем анализ мочи.

Недостатком анализа крови является, что нужно дольше ждать результатов, поскольку сначала надо дойти до врача, а затем подождать, когда данные будут готовы.

Анализ крови на беременность может подтвердить зачатие через 3-4 дня после имплантации или через 9-10 дней после овуляции. То есть, еще до месячных. Но достоверным считается результат, когда анализ крови был сдан на 6-7 день после задержки.

Нередки ситуации, когда тесты на беременность как крови, так и мочи, бывают ложно-позитивными или ложно-негативными. Это может быть в следующих ситуациях:

  • Несоблюдение инструкции к тесту.
  • Женщина употребляет лекарства, содержащие ХГЧ.
  • В моче содержатся белки или кровь, искажающие результаты теста.
  • Во время менопаузы.
  • Присутствует киста яичника.
  • Внематочная (эктопическая) беременность.
  • Слишком раннее тестирование.

Кроме того, анализы мочи и крови вполне могут выдать ошибку во время тестирования, если тест просроченный, тестирование провели слишком рано или женщина не выполнила требования инструкции к тесту.

Ложноотрицательный результат возможен и тогда, если женщина много употребляет воды, из-за чего моча оказывается сильно разведена водой.

Это причина, по которой рекомендуют использовать утреннюю мочу для тестирования, которая более концентрированная.

Если тесты крови и мочи выдали положительный результат, необходимо пройти еще несколько обследований, чтобы узнать, действительно ли яйцо смогло оплодотвориться, – и наступила беременность. Прежде всего, это ультразвук. И тут возникают вопросы, что это такое, и когда можно увидеть эмбрион на УЗИ?

При этом возможна ситуация, когда позитивный тест, а на УЗИ не видно эмбриона. Причиной может быть выкидыш, который наступил до наступления месячных, и выделенную им кровь женщина приняла за месячные. Если в этот период был сделан тест, гормон ХГЧ не успел покинуть организм, а потому анализы его обнаружили.

На ультразвуковом исследовании проводится диагностический тест, использующий ультразвуковые волны для создания изображения плода, плаценты и матки, а также других органов, расположенных в тазовой области. УЗИ позволяет врачу получить ценную информацию о развитии беременности и здоровье ребенка.

Во время теста радиолог с помощью ультразвукового передатчика и приемника направляет высокочастотные звуковые волны через ткани матки, которые отражаются от тканей плода и улавливаются приемником.

Компьютер переводит полученные сигналы в видеоизображение, показывающее формы зародыша, размеры, позицию, движения.

Для исследования сердцебиения плода используется специальная разновидность УЗИ, названная в честь Доплера.

Но до определенного срока УЗИ обнаружить плод неспособно. Если говорить о том, во сколько недель можно определить беременность с помощью ультразвука, то плодное яйцо на УЗИ видно не раньше пятой-шестой недели.

Раньше этого срока на УЗИ еще не видно плодного яйца. До и на шестой неделе виден не эмбрион, а окружающий его желточный мешок, благодаря которому плод развивается.

Стандартный ультразвук проводится между 16-й и 20-й неделями беременности, когда на УЗИ видно эмбрион очень хорошо.

Поскольку все эмбрионы имеют приблизительно одинаковые размеры в первые недели беременности, это позволяет определить гестационный возраст плода и дату зачатия, проводя измерения.

В возрасте от 7 до 13 недель, измерив эмбрион от макушки до крестца можно установить его возраст с точностью до 3-4 дней.

3 неделя беременности болит живот через неделю после овуляции3 неделя беременности болит живот через неделю после овуляции

Если беременная имеет большие размеры чем обычно, это может говорить о близнецах или большем числе эмбрионов. На УЗИ это возможно разглядеть.

Стоит заметить, что эти сведения покажет уже гормон ХГЧ. Тогда как в первом триместре его количество каждые два дня возрастает в два раза, в случае многоплодной беременности его показатели будут выше во столько раз, сколько женщина ждет малышей.

В дальнейшем, ультразвук поможет определить точное количество плодов. Также врачи говорят сделать УЗИ на раннем сроке, если есть подозрение на внематочную беременность или смерть плода.

Слишком слабый рост гормона ХГЧ также подтверждает такую вероятность.

Если у женщины диабет, повышенное давление и другие заболевания, являющиеся осложнениями для беременности, врачи назначают делать УЗИ чаще, чем обычно. Это позволит вовремя заметить патологии в развитии ребенка и состоянии матери, принять меры.

УЗИ помогает своевременно обнаружить аномалии плода, для чего изучаются его параметры, которые должны соответствовать возрастным нормам.

Если виден эмбрион, но имеются подозрения, что он не растет или не развивается правильно, может быть назначен ультразвук или серия УЗИ для измерения некоторых частей тела эмбриона. Это оценивается по тому, как выглядит плодное яйцо.

Особенно это относится к измерению головы плода, длине костей и поперечному размеру поясницы.

Если ребенок больше или меньше ожидаемых размеров, велика вероятность того, что дата зачатия установлена неправильно. В этом случае измерения радиолога помогают определить её более точно. Иногда несоответствие размеров на УЗИ эмбриона может указывать на генетические аномалии, такие как синдром Дауна.

Во втором триместре ультразвук на сонограмме позволяет увидеть сердцебиение эмбриончика. Чтобы убедиться в том, что сердце плода здорово, радиолог замеряет количество сердцебиений в минуту.

Что показывает при беременности общий анализ крови?34537

Также радиолог определяет местонахождения плаценты. Если она покрывает шейку матки, это может вызвать кровотечения в более поздние сроки беременности.

Когда радиолог выявляет это на УЗИ, назначается повторное сканирование в третьем триместре, чтобы понять, покрывает ли еще плацента шейку матки, и если это так, предпринять определенные меры. Но это не значит, что в ожидании второго УЗИ нужно паниковать.

Только небольшое количество плацент, покрывающих шейку матки, до 20-й недели сохраняют такое же положение до родов.

Часто родителей интересует вопрос, можно ли определить пол будущего ребенка. При благоприятных обстоятельствах, на 18-ой неделе можно узнать, будет это мальчик или девочка. Но если в момент ультразвука малыш повернется спиной или не в ту сторону, определить пол не получится.

новоепопулярноеобсуждаемое

Ссылка на основную публикацию
Похожее