Пн-чт: 08:00—17:00 (перерыв 12:00—13:00); пт: 08:00—15:45 (перерыв 12:00—13:00)
whatsapp telegram vkontakte email

Могут ли на первом узи не увидеть двойню

image

Многоплодная беременность в наше время – явление нередкое. Двойняшки и близнецы в роду у мамы или папы, метод ЭКО – все эти факторы повышают шансы на рождение нескольких малышей. Сегодня определить, родится ли у будущей мамы двойня, можно уже на самых ранних сроках, и основной метод диагностики – УЗИ.

Еще несколько десятилетий назад узнать, сколько детей родится у мамы, можно было только на поздних сроках беременности.

Ориентирами служили слишком большой размер матки в сравнении с нормой, количество малышей при пальпации и прослушивание сердцебиения плода. Сегодня благодаря новейшему оборудованию ультразвук может показать, сколько эмбрионов в матке, уже в 5 недель.

В это время происходит имплантация эмбриона — оплодотворенная яйцеклетка становится полноценным эмбрионом и крепится к стенке матки.

Назначить ультразвуковое сканирование раньше обычного срока в 9-12 недель может только акушер-гинеколог. Обычно это происходит, когда при внутреннем исследовании на первых неделях врач обнаруживает стремительное увеличение матки.

Чтобы определить количество плодов на УЗИ 5-й недели, смотрят на следующие признаки:

  • количество плацент;
  • количество околоплодных пузырей;
  • количество частот сердечных тонов (прослушиваются ли 2 отдельных сердечка);
  • уточняются количество и размеры эмбрионов.

В 5 недель с большей вероятностью могут выявить двойню, если у мамы будут двуяйцевые близнецы. Когда ожидаются однояйцевые близняшки, диагноз «многоплодная беременность» обычно подтверждается лишь на 9-12-й неделях.

В отдельных случаях не видно двойню и во время первого планового скрининга. Так что, если есть подозрение на многоплодную беременность, рекомендуется провести 3D или новейшее 4D УЗИ. Объемное изображение при таком сканировании позволит точно разглядеть близнецов уже с 5-6-й недели.

Традиционно принято делить близнецов на однояйцевых и двуяйцевых. Первые (собственно близнецы) появляются из одной разделенной яйцеклетки и всегда одного пола. Вторые (двойняшки) развиваются их двух разных яйцеклеток. Они похожи как обычные братья и сестры и могут быть разного пола.

Ультразвук определяет разновидность двойни еще по одной классификации – в зависимости от количества плацент и амниотических (плодных) оболочек.

  • Бихориальная биамниотическая.
  • Монохориальная биамниотическая.
  • Монохориальная моноамниотическая.

У каждого из бихориальных двойняшек есть отдельная плацента и плодное яйцо, межплодовая перегородка состоит из нескольких слоев. Такие эмбрионы бывают двуяйцевыми или однояйцевыми. Последний вариант – только в случае, когда яйцеклетка разделилась надвое в первые трое суток беременности.

Монохориальные биамниотические близнецы бывают только однояйцевыми. У таких плодов разные амниотические оболочки, но одна плацента. Межплодовая оболочка представляет собой два слоя. Яйцеклетка делится на 3-8-е сутки.

Монохориальная моноамниотическая двойня – тоже однояйцевые близняшки. У них общая плацента и амниотическая оболочка, перегородки нет вовсе. В этом случае оплодотворенная яйцеклетка разделилась на 8-13-е сутки.

Увидеть двойняшек на мониторе при ультразвуке можно начиная с самых ранних сроков. В это время малыши только-только начинают оформляться, и на экране видно просто 2 темных пятнышка. Но у каждого из них уже есть маленькое сердечко, которое вполне реально услышать.

Если будущая мама впервые узнала о двойняшках на первом плановом ультразвуке в 9-11 недель, она может увидеть полноценных эмбрионов длиной в 4,5-4,8 см.

Малыши в это время уже двигаются, у них сформированы внутренние органы, появились пальчики. К 14-й неделе плоды уже достигают в длину 12 см – в это время мамин животик начинает активно расти.

В 12 недель длина каждого из близнецов – около 6 см, вес – приблизительно 8 гр.

Многоплодная беременность на УЗИ. Близнецы.Многоплодная беременность на УЗИ. Близнецы.

К 16-17-й неделе – время второго скрининга – будущие детки уже весят по 100 гр, у них появляется слух. На 20-й неделе необходимо второе плановое сканирование. На этом этапе беременности близнецы уже весят по 350 гр, иногда видно, что один из малышей бывает чуть крупнее другого. Ничего опасного в этом нет – после рождения дети быстро выровняются в весе.

В 32 недели требуется последний плановый ультразвук. Близняшки весят уже по 1600 гр: их рост замедляется, но ускоряется развитие. С этого момента детские организмы готовятся к преждевременным родам. На этом сроке уже можно узнать точное предлежание плодов и определиться с тактикой родов.

Впервые увидеть двойню на УЗИ можно уже на ранних сроках беременности, но далеко не всегда многоплодная беременность выявляется в 5 недель. В каком случае врач может не определить двойняшек при ультразвуке?

Основная причина – когда пациентка пропускает первый плановый скрининг и ультразвук проводится в поздние сроки. Еще один фактор – устаревшее оборудование.

В небольших городах и муниципальных больницах часто используют старые аппараты УЗИ, где длина ультразвукового луча всего 18 см.

В этом случае при сканировании полость матки просматривается не полностью и второго эмбриона врач может не заметить.

Для своевременной диагностики многоплодной беременности необходимо как минимум раз пройти ультразвуковое сканирование в хорошей клинике с современным оборудованием. Дополнительное исследование в другой больнице необходимо и в том случае, когда результаты обычного осмотра не совпадают с данными сканирования.

Многоплодная беременность почти в 40% случаев заканчивается преждевременными родами. Если будущая мама ждет двойняшек, требуется особая тактика ведения беременности, в том числе увеличивается количество УЗИ. Поскольку ультразвуковое сканирование признано самым безопасным методом диагностики, никаких последствий для мамы и будущих детей это не принесет.

Если процесс вынашивания протекает благополучно, со второго триместра необходимо появляться у врача раз в 2 недели, с третьего – раз в неделю. Ультразвуковое сканирование нужно проводить ежемесячно помимо плановых УЗИ на 20-24-й и 30-32-й неделях.

На каком сроке необходим последний ультразвук? Средняя продолжительность беременности при ожидании близнецов – 37 недель.

Обычно требуется госпитализация пациентки за 2 недели до установленного срока родов, и перед рождением малышей необходимо последнее сканирование.

image

Плановое УЗИ беременная женщина проходит трехкратно, по одному разу в каждом триместре. При развитии в полости матки нескольких эмбрионов, процедура проводится ежемесячно. Предрасположенностью к зачатию двух детей выступают следующие факторы: наследственность по линии матери, экстракорпоральное (искусственное) оплодотворение, анормальная маточная структура.

Женщин с такими показаниями, обычно, волнуют три основных вопроса:

  • На какой неделе ультразвуковая диагностика выявляет двойню?
  • Могут ли не увидеть двойню на УЗИ?
  • Какого пола дети, и когда это можно определить?

Существуют объективные сроки УЗД для установления многоэмбриональной беременности, но многое зависит от типа многоплодия. Поэтому временной диапазон определения количества эмбрионов, и возможные ошибки при обследовании, являются показателями индивидуальными.

Беременность двойней определяется по прослушиванию двух сердечных ритмов, наличию двух полых оболочек с околоплодными водами (плодный пузырь), и двух эмбриональных органов (плацента или «детское место»). Хорион – источник развития плаценты и амнион – околоплодный пузырь, дают название типам развития близнецов в утробе.

Каждый эмбрион располагается в персональном околоплодном пузыре и имеет своё «детское место». При таком типе развития, близнецы, чаще всего, бывают разнояйцевые, и определить двойню на ультразвуковой диагностике возможно уже на пятой неделе вынашивания детей, то есть при первом проведенном женщине скрининге.

При данном типе беременности наличие двух детей можно заметить не ранее, чем на 9-11 неделе, поскольку дети находятся в разных амниотических пузырях, которые расположены в одном «детском месте».

Схематический пример двойни первого (монохорильная диамниотическая) и второго (дихориальная диамниотическая) типа

Такую однояйцовую двойню УЗИ, как правило, не может показать на первом проведенном женщине скрининге. Эмбрионы соединены общей околоплодной оболочкой и расположены в одной плаценте. Дети данного типа вынашиваются тяжело, нередко с осложнениями.

Первое узи. Беременность двойней 5 недель. Первый триместрПервое узи. Беременность двойней 5 недель. Первый триместр

Можно ли называть близнецами любые два эмбриона в полости матки? Нет, нельзя. Близнецами является только однояйцевая двойня, образующаяся посредством деления одной оплодотворенной яйцеклетки на две. Такой вариант, чаще всего, присущ монохориальной диамниотической двойне. Дети, рожденные из одного яйца, всегда будут однополыми. Разнояйцевые малыши могут быть мальчиком и девочкой.

Может ли быть беременность, при которой скрининг на раннем сроке показал присутствие двух малышей, а на последующих ультразвуковых обследованиях второго эмбриона нет? Такое случается, когда прерывается развитие одного из эмбрионов. При этом он не замирает, а бесследно растворяется в плаценте.

Может ли УЗИ не показать беременность?

Ошибиться при постановке диагноза двойня, возможно, только при неблагоприятных условиях обследования. К таковым относятся:

  • игнорирование первого ультразвукового исследования самой женщиной;
  • устаревшая некачественная аппаратура, используемая для обследования беременной;
  • отсутствие необходимой квалификации у медицинских специалистов, которые не заметили наличия второго плода;
  • неправильное расположение эмбрионов в утробе, когда один малыш, как бы загораживает другого.

Последний вариант довольно редкий, и если на первом скрининге одного из детей не увидели, на последующих УЗ-обследованиях он обязательно будет просматриваться.

Если ультразвуковое исследование не показывало наличие двойни или произошла ошибка, по прошествии половины срока беременности, гинеколог выявит наличие двух младенцев и без УЗД.

Для этого имеются следующие признаки:

  • высокий (в два раза и более) уровень гормона хорионического гонадотропина человека (ХГЧ);
  • четкое прослушивание ритмичного биения двух сердечек при помощи стетоскопа;
  • определение на ощупь (две головы, два таза);
  • двойное шевеление в матке;
  • значительно увеличенный объем матки.

Ультразвуковое исследование лучше доверить проверенному специалисту высокой квалификации

В результате УЗ-исследования при моноплодной беременности, пол младенца можно установить во втором триместре. Идеальным для данной процедуры сроком считается 20-22-я неделя. При беременности двойней сроки сохраняются те же, но пара детей, нередко, прячется друг за друга, и медицинские специалисты не видят половых органов.

Поэтому дифференцировать детей в утробе по половому признаку бывает достаточно сложно. На сегодняшний день метод ультразвуковой диагностики при беременности является самым высокоинформативным. Распознать двойню на УЗИ удается в 98% случаев.

image

Определение двойняшек и близнецов осуществляется таким продуктивным методом исследования, как УЗИ. Этот вид обследования обеспечивает информацией о месте расположения ребенка, имеется ли многоплодная беременность и др.

Как правило, двое эмбрионов четко определяют на УЗИ с самых ранних недель — 5-7. Позже врач способен это определить и без применения ультразвуковой диагностики. Двойняшек можно выявить по такому признаку, как увеличенный размер матки, уже с ранних сроков, а медицинская диагностика с применением ультразвука покажет двух детей только на 1 скрининге — в 10-14 недель.

Двойняшки покажутся на УЗИ уже с 5 недели

Если во время осмотра на начальных неделях акушер-гинеколог отмечает больший размер матки, чем предполагаемый, врач назначает проведение ультразвукового обследования.

В таком случае УЗИ эмбрионов покажет наличие двойни уже на 5 неделе, особенно с применением высокочувствительных датчиков 3д-сканирования. Осмотр дает возможность определить двойняшек только на сроке 9-11 недель.

Может ли врач ультразвуковой диагностики ошибиться и не увидеть двойню? Да, такое случается.

Распространенными причинами ошибки являются: применение слишком старого аппарата УЗД, поздний осмотр (на последних неделях) или когда первое ультразвуковое сканирование было пропущено.

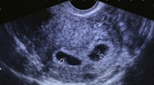
Следовательно, наличие двойняшек в утробе выявляется посредством ультразвука уже через месяц после зачатия, на снимке они выглядят как 2 образования темного цвета внутри полости матки (см. фото УЗИ-обследования двойни ниже).

  • УЗИ-диагностика двойни через 11 недель показывает немного уменьшенные для своего срока развития размеры первого и второго плода – примерно 4,2-4,8 см.
  • При обследовании на 12 неделе эмбрионы имеют длину по 6 см, а их вес составляет примерно 8 грамм.
  • На 20 неделе малыши имеют вес 350 грамм. Можно заметить, что один ребенок крупнее второго. Это происходит из-за кровяного шунта, по которому происходит постоянный сброс крови одному из двух плодов.
  • После 32-34 недель малыши набирают вес до 2 кг.

Увидеть двойню на УЗИ при беременности можно уже через месяц после зачатия. В этом случае специалист отметит на экране монитора два пятна черного цвета, которые хорошо просматриваются ультразвуком

Причины, косвенно влияющие на вероятное многоплодие:

  • беременной женщине более 35 лет;
  • наследственность по женской линии;
  • отклонения в структуре матки;
  • беременность в результате ЭКО;
  • беременность после отказа от оральных контрацептивных средств;
  • неестественная (искусственная) стимуляция овуляции.

Типы многоплодия:

  • по численности эмбрионов: двойня, тройня, четверня и т.д.;
  • по количеству оплодотворенных яйцеклеток;
  • по численности образованных плацент и амниотических оболочек.

Типы по численности оплодотворенных яйцеклеток:

  • Двуяйцевая: рождается при оплодотворении двух яйцеклеток. Характерно появление двух детей одинаковых или противоположных полов.
  • Однояйцевая (наличие близнецов). Зарождение однояйцевой двойни возникает при оплодотворении одной яйцеклетки. Малыши рождаются лишь одинакового пола.

Типы по количеству плацент и амниотических оболочек:

  • Бихориальная биамниотическая двойня – оба зародыша обернуты отдельными плацентой и амниотической оболочкой. Может быть развитие двуяйцевых и однояйцевых двойняшек, если дробление одной яйцеклетки будет через три дня после зачатия.
  • Монохориальная биамниотическая – эмбрионы разделены двумя амниотическими оболочками, но находятся в одной плаценте, перегородка между плодами имеет два слоя. Такая разновидность двойняшек будет именно однояйцевой при дроблении яйцеклетки в промежутке 3 и 8 дня после зачатия.
  • Монохориальная моноамниотическая – одна плацента и одна амниотическая оболочка для двух плодов, межплодовая оболочка не присутствует. Эта двойня – только однояйцевая, развивается при дроблении одной яйцеклетки с 8 по 13 день после зачатия.

Если врач видит двойняшек (независимо от типа, к которому они относятся), это всегда большой сюрприз для будущих родителей

Определить наличие двух (и более) детей в утробе без использования ультразвукового обследования возможно на поздних сроках или в момент родов при таких признаках:

  • увеличенный размер матки в сравнении с предполагаемым периодом беременности;
  • прощупывание дало двойное количество малых и больших частей туловищ при внешнем гинекологическом осмотре;
  • прослушивание сердечных тонов в разных частях живота.

Существует несколько способов выявления двоих малышей без УЗИ:

  1. Анализ крови на ХГЧ. Результат анализа определит показатели несколько завышенными. Это значит, что уровень гормона выше в пару раз, чем при вынашивании одного малыша. Так как границы этого гормона весьма большие, только врач может сделать вывод о возможной беременности двумя малышами.
  2. Прощупывание живота доктором и прослушивание сердечных тонов. Сердце бьется уже на 6 неделе, но услышать его можно только на ультразвуковом обследовании. Через живот прослушать его можно с 22 недели. Если специалисты сказали, что в разных участках матки различаются сердечные тона, имеющие непохожую частоту, и в промежутке есть область, где сердцебиения неслышно, – это прямой признак многоплодной беременность на ранних сроках, даже без применения ультразвука. При пальпации живота можно можно нащупать 2 большие части – это голова и таз. Если врачи сказали о том, что отчетливо прощупываются две головы и два таза, то вывод очевиден.
  3. Среди женщин есть примета, по которой якобы определяются двойняшки. Считается, что сильный токсикоз — явное тому подтверждение. В некоторых случаях это может совпадать, поскольку уровень токсинов повышается, когда женщина ожидает рождения двух деток.

Каким способом самостоятельно определить близнецов? Если визуально видно, что живот быстро растет и уже не соответствует размерным показателям своего срока, то это может быть свидетельством двух малышей.

Выявить многоплодную беременность можно и не прибегая к помощи ультразвука. Один из проверенных способов — прослушивание сердечного ритма

Специфика наблюдения включает следующие пункты, о которых говорят многие специалисты:

  1. Учащенные визиты к гинекологу: 2 раза в течение месяца до 30-ти недельного срока, 1 раз в 7-10 дней после 31 недели.
  2. Слежение за набором веса. При многоплодной беременности потребность организма в витаминах, минералах, калориях намного повышается. Прибавка в весе не должна превышать 20-22 кг.
  3. Необходимо принимать лекарства, содержащие железо, для предотвращения малокровия. Также прописываются поливитамины для употребления на протяжении всех 9 месяцев. Ограничение излишней физической активности, высыпание, часовой перерыв в деятельности в середине дня
  4. Контрольные наблюдения у гинеколога за изменениями в шейке матки.
  5. Регулярное ультразвуковое обследование для раннего обнаружения отставания внутриутробного развития.
  6. Периодический контроль за структурой и состоянием плаценты, объемом околоплодных вод.
  7. Превентивное употребление медикаментов против фетоплацентарной недостаточности (курантил, метионин), гестоза (магне В6), невынашивания (гинипрал, магне В6).

Многоплодие – большая нагрузка для женского организма. При этом чрезмерно повышается давление на кровеносную систему, пищеварение и дыхание, увеличивается риск экстрагенитальных заболеваний (в 6 раз). Главные типы осложнений:

  • усиление хронических болезней;
  • гестоз и общее ухудшение здоровья женщины (возникает на начальном сроке и проходит с тяжелыми осложнениями);
  • резкое снижение гемоглобина, вероятно появление анемии;
  • внутриутробное отставание в развитии одного или обоих плодов.

Ультразвуковая диагностика при многоплодной беременности проводится чаще, чем при вынашивании одного плода. Это связано с увеличением риска появления осложнений.

Обязательно приводится дополнительное ультразвуковое обследование перед родами, оно дает возможность определиться с предродовой подготовкой (так как часто можно увидеть неправильное положение двойняшек в утробе).

Если женщине сказали на УЗИ, что у нее двойня, нужно хотя бы один раз провести ультразвуковую диагностику в хорошо оборудованном медицинском заведении.

image

На ранних сроках при осмотре на кресле гинеколога отмечается больший размер матки, чем предполагается на данном этапе. На 5 неделе УЗИ уже показывает двойняшек, определяются сердцебиения плодов. Осмотр гинеколога может дать достоверный результат только на 9-11 неделе.

Бывают случаи, когда врач УЗИ-диагностики может ошибиться и не заметить двух или нескольких эмбрионов в полости матки. Чаще всего такое случается, если пропущено первое исследование или осмотр был произведен на поздних сроках.

Кроме того, играет роль возраст аппарата для проведения диагностики. Если обследование проводится на старом оборудовании, могут возникнуть ультразвуковые ошибки, и наличие второго эмбриона и желточного мешочка останется незамеченным.

К внешним признакам многоплодной беременности можно отнести:

  • увеличенный размер матки, который не соответствует сроку;
  • большой объем живота;
  • быструю утомляемость;
  • отеки ног.

Обнаружение нескольких признаков из списка позволяет врачу сделать предположение о развитии многоплодия.

Узи двойни, 10-11 недель | Twins Ultrasound (10-11 weeks)Узи двойни, 10-11 недель | Twins Ultrasound (10-11 weeks)

Присутствие нескольких плодов в утробе женщины также определяется при помощи:

  • анализа крови на ХГЧ, результатом которого станут показатели, в 2 раза превышающие норму при одноплодной беременности;
  • прощупывания живота: обнаруживаются две головы и два таза, а биение сердец прослушивается с разных сторон матки и имеет разную частотность.

Нередко многоплодная беременность завершается раньше предполагаемого срока. Роды при вынашивании двойни могут начаться на 36-37 неделе, а при тройне – на 33-34. Вследствие того что в матке происходило развитие нескольких плодов, они появляются на свет с меньшими показателями массы и роста по сравнению с детьми, родившимися при одноплодной беременности.

Двойняшки покажутся на УЗИ уже с 5 недели

Если во время осмотра на начальных неделях акушер-гинеколог отмечает больший размер матки, чем предполагаемый, врач назначает проведение ультразвукового обследования. В таком случае УЗИ эмбрионов покажет наличие двойни уже на 5 неделе, особенно с применением высокочувствительных датчиков 3д-сканирования. Осмотр дает возможность определить двойняшек только на сроке 9-11 недель.

Может ли врач ультразвуковой диагностики ошибиться и не увидеть двойню? Да, такое случается.

Распространенными причинами ошибки являются: применение слишком старого аппарата УЗД, поздний осмотр (на последних неделях) или когда первое ультразвуковое сканирование было пропущено.

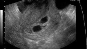
Следовательно, наличие двойняшек в утробе выявляется посредством ультразвука уже через месяц после зачатия, на снимке они выглядят как 2 образования темного цвета внутри полости матки (см. фото УЗИ-обследования двойни ниже).

  • УЗИ-диагностика двойни через 11 недель показывает немного уменьшенные для своего срока развития размеры первого и второго плода – примерно 4,2-4,8 см.
  • При обследовании на 12 неделе эмбрионы имеют длину по 6 см, а их вес составляет примерно 8 грамм.
  • На 20 неделе малыши имеют вес 350 грамм. Можно заметить, что один ребенок крупнее второго. Это происходит из-за кровяного шунта, по которому происходит постоянный сброс крови одному из двух плодов.
  • После 32-34 недель малыши набирают вес до 2 кг.

Увидеть двойню на УЗИ при беременности можно уже через месяц после зачатия. В этом случае специалист отметит на экране монитора два пятна черного цвета, которые хорошо просматриваются ультразвуком

image

Беременность сопровождается положительными эмоциями со стороны будущей мамы. Но счастье удваивается, когда диагностируется беременность двойней на УЗИ.

УЗИ в 2019 году делается на 4-5 недели. К этому времени приходит менструация. При появлении задержки месячных и положительных тестах женщина обращается к ультразвуковой диагностике. УЗИ метод определения зачатия считается наиболее информативным.

УЗИ не показывает двойню на ранних сроках: один малыш прячется за другим или у женщины будут близнецы, во втором случае оплодотворенная яйцеклетка разделится позже. Если сонолог на УЗИ сразу не увидел двойню, это не говорит о допущенной ошибке.

Количество плодов определяется на первом ультразвуковом скрининге в 12-13 недель. Врач определяет: число плацент, наличие или отсутствие специальной перегородки, сердцебиение плодов. Двойня на УЗИ по фото выглядит как 2 эмбриона с обособленным или совместным амниотическим мешком.

Разнояйцевая двойня на УЗИ

Первые симптомы беременности женщина ощущает уже после задержки. Беременная интересуется расположением будущего ребенка в матке. Разглядеть двойную беременность можно с 8 недели.

Моя беременность двойней / 1 триместр беременности двойнейМоя беременность двойней / 1 триместр беременности двойней

Если в матке одновременно прикрепилось несколько оплодотворенных яйцеклеток или развивается однояйцевая двойня, ультразвуковая диагностика зафиксирует несколько сердцебиений.

Однояйцевая двойня на УЗИ

Для достоверности определения ультразвуковое обследование повторяют на сроке 12 недель. Иногда второй эмбрион умирает из-за поглощения одного плода другим, инфекции и так далее.

Ультразвук фиксирует количество эмбрионов в конце первого месяца беременности. 5 неделя — время прикрепления эмбриона к стенке матки. Раннее УЗИ проводится с целью определения типа беременности: маточная или внематочная.

Заключение ультразвукового исследования о количестве развивающихся в утробе плодов устанавливается при выявлении числа плацент, околоплодных пузырей, частоты тонов сердцебиения. Сонолог исследует размер каждого эмбриона.

Смотрите видео об УЗИ на 12 неделе беременности, которое указывает на двойню:

Точный результат исследования гарантирует 3 Д УЗИ органов малого таза. Объемное изображение досконально показывает эмбрион и его состояние в первом триместре.

Без УЗИ определить двойню помогают признаки:

  1. Отчетливая вторая полоска на проверочном тесте. На ранних сроках показатель беременности бледный, практически незаметный. Это обусловлено минимальным количеством ХГЧ в начале беременности. Но когда в матке развиваются 2 плода, выработка гормона усиливается.
  2. Моментальный набор массы тела. Объем притока крови при двойне увеличивается из-за ускоренного роста матки.
  3. Сильный токсикоз, периодическое недомогание, повышение температуры тела. Большинство беременных двойней, тройней испытывают привычные симптомы беременности в двойном размере.
  4. Движения плодов ощущаются раньше 18 недели. Малышам при многоплодной беременности становится тесно: будущая мама отчетливо чувствует это.

Предрасположенность к многоплодной беременности, по-научному полиэмбриония, до конца не изучена. Но ученые биологи выявили ряд факторов, которые способствуют двойному и тройному оплодотворению:

  1. Процедура ЭКО. При искусственном зачатии у женщины стимулируют усиленную выработку яйцеклеток. Поэтому за один цикл сразу 2 яичника производят яйцеклетки. Разные сперматозоиды их оплодотворяют.
  2. Генетическая предрасположенность. Один из супругов родился близнецом или двойняшкой. Передается только по женской линии.
  3. Гормональные изменения в женском организме после 35 лет. Из-за этого овуляция происходит сразу в двух яичниках.
  4. Аномальное строение маточной полости.
  5. Высокий показатель гормона в крови, который стимулирует созревание фолликулов. Одновременно вырабатываются две и более яйцеклетки.

3Д УЗИ двойни

По большей вероятности забеременеть двойняшками возможно с помощью экстракорпорального оплодотворения. Процедуру проводят только по показаниям:

  • необъяснимое бесплодие на протяжении длительного периода;
  • женщине удалили маточные трубы;
  • есть генетические мутации, которые передаются по наследству;
  • нежизнеспособные или малоподвижные сперматозоиды у мужчины;
  • непроходимость в маточных трубах.

ЭКО не делается женщинам, которым 40 и больше лет. Во время процедуры врач забирает одну хромосому из спермы. Отцовская хромосома влияет на половую принадлежность ребенка. После женская яйцеклетка оплодотворяется мужским спермотозоидом, в котором заранее закладывается пол малыша.

Смотрите видео о том, как забеременеть двойней:

Часто оплодотворение происходит одновременно на нескольких яйцеклетках, так как одна из них может погибнуть. Но если выживают обе, получается беременность двойней или тройней.

Беременность двойней без стороннего вмешательства обусловлена генетической предрасположенностью:

  1. Двуяйцевые близнецы получаются, если оплодотворилась одна яйцеклетка двумя сперматозоидами или за один цикл созрели сразу две яйцеклетки.
  2. Однояйцевая двойня образуется при разделении яйцеклетки на две зиготы. Обе частички несут идентичный генный набор. Поэтому двойняшки рождаются одинаковыми.

Беременность двойней — всегда радость, но женщина должна быть готова к двойной нагрузке. Для беременных двумя и более плодами существуют специальные условия, которых они придерживаются на протяжении всего вынашивания. Двойняшки, тройняшки рождаются раньше, чем одиночные малыши.

› УЗИ ›

Определение наличия многоплодия на ранних сроках возможно лишь при помощи ультразвукового исследования. Но иногда возникает вопрос, могут ли на УЗИ не увидеть двойню.

На ранних сроках при осмотре на кресле гинеколога отмечается больший размер матки, чем предполагается на данном этапе. На 5 неделе УЗИ уже показывает двойняшек, определяются сердцебиения плодов. Осмотр гинеколога может дать достоверный результат только на 9-11 неделе.

Бывают случаи, когда врач УЗИ-диагностики может ошибиться и не заметить двух или нескольких эмбрионов в полости матки. Чаще всего такое случается, если пропущено первое исследование или осмотр был произведен на поздних сроках.

Кроме того, играет роль возраст аппарата для проведения диагностики. Если обследование проводится на старом оборудовании, могут возникнуть ультразвуковые ошибки, и наличие второго эмбриона и желточного мешочка останется незамеченным.

К внешним признакам многоплодной беременности можно отнести:

  • увеличенный размер матки, который не соответствует сроку;
  • большой объем живота;
  • быструю утомляемость;
  • отеки ног.

Обнаружение нескольких признаков из списка позволяет врачу сделать предположение о развитии многоплодия.

Узи двойни, 10-11 недель | Twins Ultrasound (10-11 weeks)Узи двойни, 10-11 недель | Twins Ultrasound (10-11 weeks)

Присутствие нескольких плодов в утробе женщины также определяется при помощи:

  • анализа крови на ХГЧ, результатом которого станут показатели, в 2 раза превышающие норму при одноплодной беременности;
  • прощупывания живота: обнаруживаются две головы и два таза, а биение сердец прослушивается с разных сторон матки и имеет разную частотность.

Нередко многоплодная беременность завершается раньше предполагаемого срока. Роды при вынашивании двойни могут начаться на 36-37 неделе, а при тройне – на 33-34. Вследствие того что в матке происходило развитие нескольких плодов, они появляются на свет с меньшими показателями массы и роста по сравнению с детьми, родившимися при одноплодной беременности.

Могут ли специалисты на УЗИ не увидеть двойни? Ссылка на основную публикацию

Ссылка на основную публикацию
Похожее