Пн-чт: 08:00—17:00 (перерыв 12:00—13:00); пт: 08:00—15:45 (перерыв 12:00—13:00)
whatsapp telegram vkontakte email

Замершая беременность на сроке 6 7 недель

image

Прекращение утренней тошноты и рвоты является признаком замершей беременности в первом триместре.

Однако женщины не всегда обращают внимание на данное явление, поскольку считают, что неприятные симптомы просто прошли, а организм адаптировался к появлению ребенка.

Как правило, токсикоз при замершей беременности заканчивается очень резко. Обычно данный признак проявляется не сразу после гибели плода, а спустя несколько дней или даже недель.

Отсутствие набухания молочных желез и гиперпигментации сосков – это еще один признак замершей беременности. Данные изменения в груди также носят резкий характер. Кроме того, к признакам замершей беременности относят единовременное прекращение выделения молозива, если оно секретировалось ранее.

Если беременная женщина следит за своей базальной температурой, то при ее снижении можно подозревать замершую беременность.

При гибели плода на градуснике отображается температура менее 37 градусов по Цельсию (обычно 36,4-36,9).

Однако по данному признаку замершей беременности в первом триместре нельзя точно поставить диагноз, поскольку возможно неверное измерение или погрешность термометра.

Появление схожих с менструальными болей в нижней части живота может говорить о замершей беременности. Однако данный симптом появляется через большой отрезок времени, иногда до нескольких недель после гибели эмбриона. Напротив, тянущие боли в нижней части живота, сопровождающиеся кровянистыми выделениями, чаще говорят о самопроизвольном выкидыше.

Появление мажущих влагалищных выделений с прожилками крови или красного цвета может являться симптомом замершей беременности. Но гораздо чаще данный признак говорит о начале самопроизвольного выкидыша.

При наличии инфекционного процесса в матке из-за распада мертвого плода у женщины наблюдается повышение температуры тела до субфебрильных значений (до 38 градусов). Однако если данный процесс начинает носить системный характер, возможна гипертермия до очень высоких значений (40-41 градус) и общее тяжелое состояние организма женщины.

Замершая беременность не является редким осложнением и может появиться у полностью здоровой женщины, поэтому при постановке данного диагноза не стоит сильно отчаиваться, поскольку вероятность следующего удачно вынашивания ребенка и последующих родов составляет 80-90%.

При понижении прогестерона из-за гибели плода уменьшается его влияние на организм женщины. У нее пропадает чувство усталости и сонливости. Данный признак замершей беременности является крайне недостоверным, однако при наличии других симптомов женщине следует пройти обследование.

При замершей беременности хорионический гонадотропин перестает увеличиваться после гибели плода, а затем он и вовсе начинает уменьшаться. Поэтому при подозрении на данную патологию следует проследить за динамикой ХГЧ, сдав повторный анализ через 2-3 дня.

При осмотре врач акушер-гинеколог измеряет объем матки. Во время замершей беременности наблюдается ее отставание в размерах, что может служить диагностическим критерием патологии. Однако данный признак невозможно использовать в первые недели гестацинного срока, поскольку в это время объем матки практически не отличается от ее габаритов до наступления зачатия.

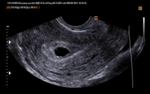
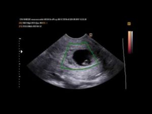
Во время ультразвукового исследования врач может обнаружить замершую беременность. Этот метод считается «золотым» стандартом при диагностике данной патологии. Отсутствие сердцебиений и отставание плода в размерах – главные симптомы замершей беременности при УЗИ.

При появлении субъективных симптомов замершей беременности следует немедленно обратиться к врачу для тщательной диагностики. Если при помощи анализа крови на ХГЧ и УЗИ данный диагноз будет подтвержден, проводятся мероприятия по удалению эмбриона из полости матки.

https://youtube.com/watch?v=NEP6OZbOQmk

Иногда врачи занимают выжидательную тактику, целью которой является самопроизвольное начало выкидыша. Когда этого не происходит, либо плод погиб достаточно давно и есть вероятность инфицирования матки, производится аборт. При сроке менее 8 недель беременности возможно применение искусственного выкидыша с помощью лекарственных средств.

На малых сроках гестации возможно применение вакуум-аспирации, наиболее безопасного метода хирургического аборта. На более поздних неделях беременности используется чистка полости матки. Данная процедура проводится под общим наркозом, полученные в ее результате материалы отправляют на гистологическое исследование.

Замершая беременность может произойти у любой, даже полностью здоровой женщины. Обычно она связана с врожденными аномалиями эмбриона, несовместимыми с жизнью, либо из-за повышенных эмоциональных и физических нагрузок.

В группу риска по данной патологии входят женщины старше 40 лет, имеющие невылеченную половую инфекцию, а также те, кто имеет в анамнезе аборты, либо привычную невынашиваемость.

Кроме того, повышены шансы развития замершей беременности у лиц с такими соматическими заболеваниями, как сахарный диабет, дисфункция щитовидной железы и тиреотоксикоз.

image

Каковы причины замершей беременности? Какие нужны исследования сразу после замершей беременности и перед планированием следующей? Узнайте ответы на эти и другие вопросы вместе с +Мамой

Если плод внезапно перестает развиваться и погибает – такое состояние в медицине называется замершей беременностью. Статистика показывает, что с подобным явлением сталкиваются около 15% женщин.

Замирание развития плода возможно на любом сроке беременности, но чаще это происходит в ранний период, в первом триместре.

Гибель эмбриона обычно заканчивается самопроизвольным выкидышем через одну-две недели после его смерти.

Однако, если погибший плод не покидает материнскую утробу, продукты распада его тканей становятся токсичными для женского организма. В этом случае для безопасности женщины необходимо провести медицинский аборт.

Эксперт: врач акушер-гинеколог высшей категории, к. м. н. Светлана Потапова.

На ранних сроках самостоятельно заметить замирание плода довольно сложно. Однако некоторые симптомы должны насторожить беременную.

  • токсикоз внезапно прекратился;
  • без причины долгое время держится повышенная температура тела;
  • ректальная температура понижена;
  • в матке чувствуются боли, похожие на ранние схватки;
  • выделения стали кровянистыми;
  • молочные железы прекратили увеличиваться;
  • общее ощущение слабости, озноб;

Если вы заметили у себя какие-то из этих признаков — срочно обратитесь к гинекологу. Перестраховка в данной ситуации будет более уместна, чем промедление и интоксикация.

Признаки интоксикации – резкая боль и развитие синдрома ДВС (диссеминированное внутрисосудистое свертывание – проблема, вызывающая трудно останавливаемое кровотечение).

Если организм беременной не способен отторгнуть умерший плод и самостоятельно произвести выкидыш, гинеколог назначит препараты для сокращения матки, чтобы очистить ее от продуктов распада.

  • генетические «поломки» – именно они становятся причиной замершей беременности чаще всего; как правило, отклонения возникают в первом триместре и не являются совместимыми с жизнью эмбриона;
  • образ жизни (неграмотное питание, злоупотребление алкоголем, курение, «зависание» за гаджетами и компьютером, неблагоприятная экология, гиподинамия);
  • гормональный сбой: либо недостаточное количество прогестерона (эмбрион удерживается в матке благодаря этому гормону), либо избыток мужского гормона андрогена. При планировании беременности подобные гормональные расстройства легко обнаружить и скорректировать;
  • АФС (антифосфолипидный синдром) — синдром, провоцирующий проблемы со свертываемостью крови. Из-за тромбозов или повышенного свертывания крови в сосудах снижается интенсивность формирования плацентарных сосудов, и плацента не выполняет свои функции. Обычно АФС диагностируется на 6 неделе беременности;
  • инфекции. Наибольшую опасность представляют краснуха и ЦМВИ (цитомегаловирусная инфекция, передается половым путем, при поцелуе, при пользовании общими предметами гигиены или посудой). Хотя плацента защищает плод от вирусов, при обострении болезни иммунитет снижается, происходит заражение эмбриона и его возможная смерть;
  • прием противопоказанных при беременности медицинских препаратов;
  • сильный стресс, подъем тяжестей.

Самым опасным периодом, в течение которого может произойти замирание развития плода, врачи считают8-ю неделю беременности.

  • женщины в возрасте после 35 лет;
  • беременные с сахарным диабетом в анамнезе;
  • женщины, пережившие аборты, выкидыши, внематочную беременность;
  • женщины с наличием аномалий в маточной полости.
  • гинекологический осмотр: врач может заметить проблемы с размером матки и установить пониженную ректальную температуру;
  • УЗИ: покажет прекращение сердцебиения плода. Не паникуйте раньше времени, если врач не услышал сердцебиение плода через стетоскоп — такое возможно при переднем расположении плаценты или наличии жировой прослойки на брюшной стенке;
  • анализ крови на ХГЧ (хорионический гонадотропин). При остановке развития плода уровень гормона ХГЧ будет понижен (при повторном замирании уровень гормона будет оставаться высоким в течение нескольких недель после умирания эмбриона).

Если гинеколог подтвердил диагноз замершей беременности, он назначает курс лечения:

  • на сроке замершей беременности до 8 недель назначаются препараты, провоцирующие выкидыш;
  • при необходимости освобождения полости матки от останков плода производится вакуумная аспирация;
  • выскабливание (медицинский аборт) проводится, если на УЗИ заметны остатки плодного яйца в полости матки.

Помимо признаков, характерных для замирания беременности в первом триместре, во втором триместре эти симптомы становятся более явными. Кроме того, к ним присоединяются и дополнительные:

  • изменение характера и цвета выделений. В норме выделения во втором триместре должны быть либо белесыми, либо прозрачными и при этом – не слишком обильными. При потемневших и более густых выделениях с вкраплениями крови следует срочно обратиться к гинекологу;
  • тупые и ноющие боли в нижней части живота;
  • выделение молозива из груди;
  • отсутствие шевелений плода на 18-20 неделе беременности. В день беременная должна ощущать около 10 шевелений с интервалами примерно в 2 часа; Если вы не ощущаете толчков плода около 3 часов, возможна ситуация, связанная с нехваткой кислорода (гипоксией): в этом случае вызовите скорую или обратитесь к гинекологу.

Мнение эксперта:

Замершая беременность совсем не обязательно повторится, поэтому данный диагноз женщине не следует воспринимать как «окончательный приговор».

Однако грамотную подготовку к предстоящей беременности провести необходимо. Строить планы на будущее можно не раньше, чем через 3 месяца, а лучше — через полгода. За это время ваш гинеколог сможет разобраться, почему произошла замершая беременность и устранить причины, вызвавшие такое состояние.

Следуя рекомендациям гинеколога, вы будете иметь хорошие шансы для нормальной беременности и родов: статистика показывает, что это происходит у 85% женщин. Поэтому не стоит надеяться случай, строить предположения и делать сомнительные выводы.

Современные методы лечения помогают большинству женщин справиться с проблемой замершей беременности.

Чтобы предотвратить повтор ситуации с замершей беременностью, гинеколог назначит обследование:

  • УЗИ
  • мазок из влагалища;
  • гормональное исследование;
  • гистологическое исследование;
  • генетическое исследование.
  • прежде чем планировать следующую беременность, дождитесь, пока организм восстановится в течение 6 месяцев: необходимо, чтобы слизистая оболочка матки и гормональный фон в организме пришли в норму;
  • обычно в восстановительном периоде врач назначает оральные контрацептивы — не только для предотвращения зачатия, а для восстановления организма после перенесенного гормонального стресса; контрацептивы помогут отрегулировать работу яичников, восстановят стабильный менструальный цикл;
  • пройдите обследование, назначенное гинекологом;
  • пролечите инфекционные заболевания, которые диагностировал гинеколог или терапевт;
  • откажитесь от курения, алкоголя, фаст-фуда, измените к лучшему кулинарные привычки, гуляйте на свежем воздухе, посещайте фитнес-тренировки для беременных, не увлекайтесь гаджетами и сидением за компьютером, избегайте стрессов;
  • если вы очень переживаете по поводу повтора ситуации с замершей беременностью или невынашивания беременности, посетите психолога.

image

Замершая беременность может случиться у каждой женщины. Статистика гласит, что каждая вторая беременность заканчивается замиранием плода, случается самопроизвольный аборт. Происходит это еще до задержки менструации, поэтому женщина о нем и не подозревает. Если же тест уже показывает беременность, то тогда вероятность того, что она перестала развиваться —20%.

Замершая беременность (ЗБ) –  это прекращение внутриутробного развития плода. Как правило, ЗБ случается в первом триместре, на сроке до 13 недель. Очевидно, что гибель плода подразумевает его отторжение, а значит, происходит самопроизвольный выкидыш. Если он не случился, то женщине выполняют процедуру по извлечению умершего плода.

Часто замершая беременность случается в первом триместре на 7–8 неделях.

На этом сроке плод развивается стремительно, матка увеличивается, что вызывает болевые ощущения у женщины. Также болит поясница. В том случае, если боли схваткообразные стоит обратиться к врачу.

Замершая беременность - симптомы, диагностика, причины и лечение.Замершая беременность — симптомы, диагностика, причины и лечение.

На 7 недели беременности женщины отмечают головную боль. Это происходит оттого, что в сосудах меняется объем крови. Поэтому рекомендуется больше времени проводить на свежем воздухе и больше отдыхать. Кости таза к 8 неделям начинают готовиться к предстоящим родам, поэтому возникают боли в области крестца.

На сроке 7–8 недель женщина может страстно желать избранника. Никаких ограничений относительно половых контактов на этом сроке нет, конечно же, если беременность протекает без патологий.

К 7–8 неделе беременности у женщин начинаются незначительные кровяные выделения. Это не означает, что есть угроза выкидыша, возможно причина – наличие заболевания.

Стоит помнить о том, что существует вероятность, что беременность не развивается.

Конечно, самостоятельно определить этот факт сложно, однако, нужно прислушаться к организму, он непременно подаст сигналы. Тревожным звоночком для беременной являются следующие признаки:

  • исчезновения всех признаков беременности: отсутствие тошноты, рвотных позывов, снижение чувствительности молочных желез;
  • сукровичные выделения из влагалища;
  • схваткообразные боли в области низа живота;
  • озноб;
  • несоответствие размера матки;
  • понижение базальной температуры тела.

Симптомы беременности ощущает каждая женщина. Когда плод перестает развиваться, большинство не догадываются об этом. Беременность уже давно не развивается, а девушка еще чувствует ее симптомы, так как организм уже начал приспосабливаться к инородному телу.

На сроке 7 недель женщине необходимо трепетно относиться к своему состоянию. Обязательным условием является слежка за характером влагалищных выделений. Если они мажущие и кровяные, потребуется осмотр гинеколога. Нередко на этом сроке при вероятности замершей беременности исчезает токсикоз.

Необходимо следить за базальной температурой. Это не основной симптом, но если она стала такой, какой была до беременности — есть повод посетить гинеколога.

В том случае, если плод перестал развиваться на 8 неделе, это непременно отразится и на температуре тела. Поэтому иметь градусник, находясь в «интересном положении» нужно обязательно и пользоваться им каждые два дня. Самым опасным признаком ЗБ является кровотечение. Если этот симптом присутствует, необходимо незамедлительно вызвать «Скорую помощь».

В том случае, если у беременной наблюдается какой-то из вышеперечисленных симптомов главное, вовремя обратиться за помощью к врачу. Возможно, наличие одного из симптомов для конкретной женщины — норма виду ее физиологических особенностей.

«Почему это случилось со мной?» — такой вопрос задает себе каждая девушка, столкнувшаяся с замершей беременностью. Гинекологи выявили ряд факторов, которые влияют на течение беременности:

  • наличие инфекция у будущей мамы;
  • резус-конфликт;
  • нарушение гормонального фона;
  • стресс;
  • дисбаланс в питании;
  • наличие вредных привычек;
  • генетическая предрасположенность;
  • ЭКО или искусственное оплодотворение.

Данную патологию на сроке 7 недель часто провоцирует наличие инфекций (ОРЗ, грипп) или других хронических заболеваний у матери.

Причиной замирания плода является наличие у беременной половых инфекций. Неполноценное питание, пагубные привычки также являются факторами, провоцирующими замирание плода.

Замирание может быть вызвано нехваткой какого-то гормона, участвующего в закреплении плода. В случае если у плода один резус, а у матери — другой, может возникнуть конфликт, поскольку организм матери будет вырабатывать антитела, а значит, плод не дополучит кислород.

Если в голове промелькнула мысль о возможном замирании плода, и есть причина так полагать, нужно посетить гинеколога. Игнорирование визита может стать причиной гибели не только плода, но и матери.

Установить вероятность ЗБ на 7-8 неделе можно при помощи анализа на ХГЧ (Хорионический гонадотропин человека). Когда беременность протекает нормально, этот показатель увеличивается в разы каждые два дня, соответственно, если беременность не развивается, то и показатель останется прежним.

Всего существует три варианта поведения женщины, если у нее обнаружилась замершая беременность: самопроизвольный выкидыш, медикаментозный выкидыш, удаление плода путем хирургического вмешательства. Все зависит исключительно от того на каком сроке она будет обнаружена.

https://youtube.com/watch?v=cl5o7_DZhQk

В первом триместре происходит снижение уровня гормонов, тогда происходит

Травматичным является чистка матки. Данную операцию проводят специалисты, они хирургическим путем удаляют плод. В том случае если чистку сделают хорошо, при правильном курсе восстановления, женщина имеет шанс забеременеть снова спустя 6–8 месяцев.

Выявить наличие патологии в домашних условиях можно при помощи теста Inexscreen. Приобрести тест можно в каждой аптеке, правда, стоит понимать, что он не поставит точный диагноз, а лишь: важно! определит, есть отклонения в протекании беременности или нет. А дальше уже все в ваших руках. Для того чтобы не волноваться за свое состояние и состояние малыша, следует показаться врачу-гинекологу.

Замершая беременность не приговор. Если однажды это несчастье случилось, это не означает что шанса стать матерью больше нет. Необходимо следовать всем рекомендациям специалиста: принимать антибиотики, обследоваться, беречь себя. После периода реабилитации и контрольного осмотра гинекологом, можно вновь задуматься о зачатии и вынашивании

image

К сожалению, не каждая беременность заканчивается родами. Иногда, при очередном обследовании, женщине сообщают, что беременности больше нет – она замерла. Как? Почему? Кто виноват? Что теперь будет? Как избежать повторения подобной ситуации в будущем? – эти и многие другие мысли роятся  в голове и не дают покоя.  

Замиранием называют один из видов невынашивания беременности. Оно происходит, когда плод перестает развиваться и погибает, при том, что начало беременности было таким, как и положено. 

Также о замирании беременности говорят в случае, если произошло зачатие и вслед за ним имплантация (то есть оплодотворенной яйцеклетке удалось прикрепиться), но развитие эмбриона по каким-то причинам не происходит. В этом случае формируются лишь внезародышевые органы, а ребенка в яйце – нет. Такое явление называется “пустым плодным яйцом”.

Как правило, замирание беременности наиболее часто происходит в первом триместре беременности. Тем не менее, оно может случится на любом этапе, даже за несколько недель до родов. 

Специалисты определили, что некоторые сроки беременности являются особо опасными для малыша, поскольку в это время он особенно уязвим. Такими названы 3-4 недели, 8-11 недели и 16-18 недели беременности. Один из самых критических периодов, когда существует наибольшая вероятность замирания, признана 8 неделя, когда у малыша формируются жизненно важные органы.

Причин такого явления – довольно много. Иногда врачам так и не удается установить, что именно вызвало замирание в конкретном случае. Среди наиболее частых причин выделяют:

  • генетические нарушения (на их долю приходится до 70% всех замерших беременностей);
  • гормональный сбой (если создается дефицит прогестерона или эстрогена, или наоборот — повышенное количество мужских половых гормонов (андрогенов));
  • ЭКО (практика показывает, что при беременности, наступившей в результате искусственного оплодотворения, риск замирания намного выше);
  • инфекционные заболевания (цитомегаловирус, краснуха, грипп)
  • заболевания, передающиеся половым путем (микоплазмоз, уреаплазмоз, хламидиоз, гонорея, сифилис и т. д.)
  • антифосфолипидный синдром (при этих нарушениях в капиллярах беременной женщины и в сосудах плаценты начинает сворачиваться кровь, образуются тромбы, что приводит к нарушению питания и дыхания эмбриона, вследствие чего он может погибнуть);
  • злоупотребление алкоголем, никотином, наркотиками;
  • стрессы, переутомление, подъем тяжестей.

Поначалу, особенно если замирание произошло в первом триместре, женщина не подозревает о своем состоянии.

На протяжении определенного времени (до отслойки плаценты) у нее сохраняются все признаки беременности: тошнота, нагрубание молочных желез, увеличивается матка. Далее они пропадают.

Но, имейте в виду, исчезновение симптомов вовсе не всегда означает, что случилось наихудшее, поэтому не впадайте в панику преждевременно. Первым тревожным звоночком могут стать выделения, но и по ним стопроцентно диагноз не ставят.  

Если какие-либо подозрения все же закрадываются, необходимо провести обследование  (УЗИ, анализ крови на ХГЧ). При ультразвуковом исследовании врач сможет сравнить размеры плода со сроком беременности и проследить наличие сердцебиения.

Что касается исследования крови на ХГЧ, то нужно знать, что положительный результат возможен даже в том случае, если плод погиб, поскольку  хорионический гонадотропин человека сыворотки крови имеет свойство сохраняться около двух-трех недель.

В большинстве случаев, если беременность замирает, то происходит самопроизвольный аборт. 

Из наиболее распространенных симптомов замершей беременности являются кровянистые выделения, схваткообразные или тянущие боли внизу живота, ухудшение общего самочувствия, озноб, повышенная температура тела. На более поздних сроках красноречивым является длительное отсутствие шевелений плода.

Признаки неразвивающейся беременностиПризнаки неразвивающейся беременности

В некоторых случаях при обнаружении замирания решают подождать, чтобы произошел самопроизвольный выкидыш. В других, если срок беременности меньше 8 недель, применяют медикаментозное прерывание.

Одна из наиболее часто проводимых манипуляций при замершей беременности – выскабливание полости матки, которое проводится под наркозом и по технике выполнения похоже на аборт. Иногда применяют вакуум-аспирацю.

Через 7-14 дней женщине проводят УЗИ, чтобы убедиться, в каком  состоянии находится матка. Какой именно метод чистки будет применен, решается индивидуально в каждом отдельно взятом случае.

Но одно известно однозначно: медлить нельзя, ведь продукты распада тканей погибшего плодного яйца начинают всасываться в кровь, а это, в свою очередь, приводит к отравлению женского организма и вызывает нарушения в системе свертывания крови. Также возможно  развитие воспаления матки.

image

Каждая женщина репродуктивного возраста может столкнуться в своей жизни с таким диагнозом как замершая беременность. Диагноз может повергнуть в шок, но, тем не менее, стоит внимательно понять, почему развивается патология и как ее побороть.

Почему замирает беременность, интересуются многие дамы. К большинству причин, провоцирующих замирание плода, врачи относят такие факторы:

  1. Перенесенные в период вынашивания плода инфекционные и вирусные заболевания.
  2. Заболевания крови и диагностирование резус — конфликта.
  3. Врожденная или приобретенная патология матки, частые аборты.
  4. Нарушение уровня гормонального фона и неправильное питание, употребление в рационе вредных продуктов.
  5. Постоянные стрессы и генетическая у женщины предрасположенность.
  6. Вредные и неблагоприятные условия труда, жизни, как и ранее проведенное ЭКО либо искусственное оплодотворение.

Помимо этого определенную опасность несет вредные привычки и перенесенные ранее инфекционные заболевания, патогенные микроорганизмы, ЗППП.

В группу риска попадают такие пациентки:

  1. Если возраст перевалил за отметку в 35 лет.
  2. Если ранее женщина делала аборты.
  3. Если ранее у нее диагностировали внематочную или же замершую беременность.
  4. При аномальном строении матки.

Признаки, которые указывают на патологию следующие:

  1. Кровянистые, реже с вкраплениями гноя выделения из влагалища, как и общая слабость, озноб.
  2. И повышение без видимых причин температуры тела.
  3. Ощущение тянущей боли в нижней части брюшины.
  4. Женщина не ощущает набухания и боли в молочных железах.
  5. Не ощущается шевеление на поздних сроках плода.

В первом триместре замирание может не показывать себя, позже — это может быть приступы боли в виде схваток, обильные выделения из влагалища, когда идет отслоение плаценты и отхождение плодного яйца. Да и резкое прекращение токсикоза — также признак, косвенно указывающий на замирание плода.

Наиболее опасным периодом в данном вопросе считается именно 8−9 недели вынашивания плода — на данном этапе развития эмбрион особо восприимчив к неблагоприятным факторам, которые могут спровоцировать замирание. В 1-м триместре особым вниманием стоит выделить период с 3 по 4 неделю, и как отмечалось ранее — 8−9 недели.

Признаки замершей беременности на ранних сроках замечает только каждая вторая женщина. Другие обращаются к врачу при невыносимых болях и странных выделений из влагалища.

Как отмечалось ранее, самым опасным периодом в отношении специалисты называют 3−4 и 8−9 недели течения срока.

Почему случается замершая беременностьПочему случается замершая беременность

На более поздних сроках патология может проявить себя, в особенности на 16−18 неделе.

Первая замершая беременность в первом триместре — это не повод, чтобы отказываться от дальнейших попыток зачать малыша.

Врачи могут ошибаться, но только при проведении визуального осмотра и на ранних сроках течения беременности, когда эмбрион замирает и прекращается его развитие.

На более поздних сроках вероятность врачебной ошибки мала, но даже в случае сомнений — для подтверждения или опровержения диагноза медики направляют на диагностику.

Тактика поведения медиков при данном диагнозе зависит от индивидуальных особенностей женского организма и течения беременности. В ряде случаев на ранних сроках замирания врачи рекомендуют подождать до самопроизвольного выкидыша, но чаще проводят — выскабливание матки, напоминающей по своей технике аборт.

Также в практике врачей применима и практика вакуум-аспирации. Спустя 1−2 недели врачи направляют пациентку на УЗИ — диагностику полости матки, определяя, насколько качественно проведено выскабливание или процедура аспирации, здорова и чиста ли полость матки.

Метод чистки определяет в индивидуальном порядке врач, но на протяжении периода реабилитации после процедуры требуется его наблюдение за здоровьем пациентки. Через сколько можно беременность после замершей беременности, расскажет лечащий доктор.

Перед последующим планированием у пациентки беременности — партнерам стоит сделать все необходимые прививки. Также стоит пройти обследование и при выявлении вылечить все ЗППП, укрепить иммунитет.

Симптомы замершей беременности во втором триместре или первом игнорировать нельзя. Своевременное реагирование на изменения организма позволяет спастись от сильного воспаления.

Если же результаты диагностики состояния здоровья женщины в норме — как такового лечения не требуется. Наилучшей защитой от замирания плода врачи называют ведение здорового образа жизни, отсутствие вредных привычек.

При диагностике патологического процесса, развитие событий может предусматривать:

  1. Выкидыш — чаще всего это случается на ранних сроках течения беременности, когда матка сама «выталкивает» умерший эмбрион.
  2. И оперативное вмешательство. Если этого своевременно не сделать — мертвый эмбрион будет разлагаться, провоцируя перитонит, воспаление и интоксикацию организма.

Помимо физических факторов, последствия могут носить и психологический окрас — стресс и понимание собственной неполноценности. Потому так важно на протяжении данного периода времени вести здоровый образ жизни, не злоупотреблять алкоголем и укреплять иммунитет.

Читайте о последствиях сахарного диабета при беременности

3 причины слишком густой спермы расписаны тут

Как сделать ЭКО бесплатно по квоте от Минздрава: https://hochu-detey.ru/reproduct/eko/besplatnaya-kvota-na-ehko.html

Новое зачатие врачи после замершей беременности рекомендуют планировать не ранее чем через 6−8 месяцев. За данный период стоит пройти обследование, вылечить все болезни и соблюдать правила профилактики замирания эмбриона.

Советов в вопросе лечения замирания эмбриона не существует. Как таковых причин патологии может быть немало. Потому в каждом отдельно взятом случае подбирается своя программа.

С целью диагностики причин патологического невынашивания плода женщинам врачи рекомендуют:

  1. Пройти лабораторное исследование на предмет инфекционных заболеваний и ЗППП.
  2. Сдать анализ крови на уровень гормонов в организме.
  3. Определить совместный с партнером кариотип совместимости.

Если показатели в норме, то лечения как такового не требуется и причины замирания плода стоит искать исключительно в генетическом сбое.

«Замершая беременность»

image

среда, июля 25, 2012 — 13:13

Невынашивание беременности — патология, при которой плод прекращает свое развитие и гибнет. Другое название этой патологии — замершая беременность. Ее разновидность – пустое плодное яйцо. В этом случае оплодотворение яйцеклетки происходит нормально, но дальше эмбрион не развивается.  

Специалисты до сих пор не могут назвать точные причины возникновения замершей беременности; на ранних сроках, как правило, это серьезные генетические нарушения у эмбриона (в 70% случаев).

На более поздних сроках замершая беременность (второй триместр и позже) может быть спровоцирована инфекционными заболеваниями женщины, травматическими воздействиями и т.п.

Замершая беременность. Причины замершей беременности. Симптомы замершей беременности.Замершая беременность. Причины замершей беременности. Симптомы замершей беременности.

Однако бывают случаи, когда беременность замирает без всяких видимых причин; у женщины может быть и две замершие беременности и 3 замерших беременности.

Но не стоит отчаиваться! Так же, как может произойти спонтанное зачатие после безуспешного лечения бесплодия, точно так же можно забеременеть после замершей беременности.

На ранних сроках (и в период планирования беременности) причины развития патологии могут быть следующие:

  • употребление никотина и алкоголя;
  • применение ряда лекарственных препаратов;
  • инфекционные заболевания (грипп, цитомегаловирус; особенно опасна краснуха); 
  • ЗППП (гонорея, сифилис, микоплазмоз и т.д.);
  • сахарный диабет; 
  • нарушение гормонального баланса (недостаток прогестерона или эстрогена); 
  • бурный иммунный ответ организма матери (в этом случае белки эмбриона воспринимаются как чужеродные, и на них идет иммунная атака); 
  • антифософолипидный синдром (образование тромбов в сосудах плаценты, вследствие чего нарушается питание зародыша, и он гибнет); 
  • работа на вредном производстве; 
  • поднятие тяжестей; 
  • регулярные стрессы. 
  • в возрасте после 35 лет; 
  • делавшие множество абортов; 
  • женщины, у которых ранее диагностировалась внематочная беременность; 
  • женщины с аномалиями развития матки; 

Самым опасным периодом считается восьмая неделя беременности. На этой стадии развития зародыш особенно восприимчив к тератогенным воздействиям, результатом которых может быть замерший плод. Беременность (неважно, первая или вторая замершая беременность) в таком случае прекращает развиваться.

Первый триместр (с 1 по 13 неделю) в целом более опасен для развития плода; особенно внимательными надо быть на 3-4 и 8-11 неделях.

Однако риск несет и второй триместр беременности (признаки замершей беременности будут указаны ниже), особенно 16-18 неделя.

Плод замер, и беременность далее не развивается. Однако на ранних сроках (в первый и даже во второй триместр беременности) признаки замершей беременности не всегда можно распознать. В домашних условиях никакой тест не покажет замершую беременность.

У разных женщин симптомы могут различаться, или замершая беременность вообще никак себя не проявляет на протяжении нескольких недель. Поэтому не стоит искать в Интернете про признаки замершей беременности; форум в данном случае будет не лучшим советчиком.

Приведенный ниже список не является однозначным показателем замершей беременности. Однако при возникновении симптомов, могущих указывать на замершую беременность (на ранних сроках) самым правильным решением будет обратиться к гинекологу:

  • внезапное прекращение токсикоза; 
  • схваткообразные боли; 
  • мажущиеся кровянистые выделения; 
  • прекращение набухания молочных желез; 
  • базальная температура при замершей беременности снижается; 
  • общая температура при замершей беременности может быть повышенной. 

Замершая беременность во втором триместре и замершая беременность на поздних сроках определяется по прекращению шевелений плода.

Как уже было сказано выше, если женщина находит у себя признаки замершей беременности — форум в Интернете, советы подруг и попытки самостоятельной постановки диагноза будут не лучшим выходом из ситуации.

Даже если понижена базальная температура (при замершей беременности это один из симптомов), если у женщины первая беременность – замершая эта беременность, или нет, может определить только врач-специалист.

Какими же методами ставится диагноз «замершая беременность» (во втором триместре или на ранних сроках и «замершая беременность на поздних сроках»)?

1.Анализ на ХГЧ.Уровень этого гормона при замершей беременности ниже, чем должен быть при нормальной беременности на таком сроке (первый или второй триместр) — таким образом, покажет тест замершую беременность. Однако необходимо иметь в виду, что высокий уровень ХГЧ может сохраняться и в течение нескольких недель после того, как наступила первая или вторая замершая беременность. Плод замер – но гормональный фон не изменился.

2. УЗИ.

Как распознать замершую беременность? Что делать если замершая беременность. Причины замершей.Как распознать замершую беременность? Что делать если замершая беременность. Причины замершей.

Если при ультразвуковом исследовании диагностирована замершая беременность, видео «показывает» отсутствие сердцебиения у плода.

3. Гинекологический осмотр.

Пониженная базальная температура при замершей беременности, соответствие размера матки сроку беременности – все это определяет врач. Также именно специалист-гинеколог назначает необходимое лечение после замершей беременности, назначает анализы после замершей беременности, определяет планирование беременности после замершей беременности.

Если женщине поставлен диагноз «замершая беременность», форум в Интернете вряд ли поможет в лечении; все назначения должен делать врач.

К сожалению, когда замирает беременность, речь идет уже не о сохранении плода, а о восстановлении здоровья женщины.

Прекративший развитие плод может вызвать интоксикацию организма, поэтому его необходимо удалить из матки.

Зачастую на самых ранних сроках у женщины происходит самопроизвольный аборт; бывает даже так, что женщина не подозревает о том, что у нее была замершая беременность, месячные приходят с незначительным запозданием.

  • Медикаментозный. Применяется на сроке меньше 8 недель. Назначаются препараты, вызывающие выкидыш.
  • Вакуум-аспирация (мини-аборт).

    Операция проводится как правило под наркозом с применением вакуумного отсоса, очищающего полость матки.

Бывает и так, что врачи занимают выжидательную позицию; если по какой-то причине случилась замершая беременность, лечение организм женщины производит самостоятельно, путем самопроизвольного аборта.

Но в любом случае необходимо наблюдение врача. Если самопроизвольный выкидыш не произошел, необходимо произвести чистку (выскабливание после замершей беременности) полости матки. Также выскабливание после замершей беременности необходимо, если через одну-две недели УЗИ показывает наличие остатков плодного яйца в матке.

Как можно забеременеть после замершей беременности? Когда беременеть после замершей беременности? Этот вопрос решается индивидуально в каждом конкретном случае – в зависимости от срока замирания беременности, общего состояния здоровья женщины, результатов обследований и т.д.

На вопрос, когда планировать беременность после замершей беременности, форум в Интернете вряд ли сможет дать однозначный ответ – только впечатления женщин, которым довелось перенести одну или даже две замерших беременности. По рекомендации врачей минимальный срок – выждать шесть месяцев.

Необходимо провести ряд профилактических мероприятий для того, чтобы исключить замирание плода в будущем.

Перед тем, как забеременеть после замершей беременности, рекомендуется сдать следующие анализы:

  • анализ крови на уровень гормонов (прогестерон и эстроген); 
  • мазок из влагалища на ЗППП; 
  • УЗИ органов таза; 
  • исследование тканей матки (гистология). 

После замершей беременности может быть необходимым также провести генетическое обследование на совместимость партнеров.

Как забеременеть после замершей беременности? Возможно ли это? Да, возможно! – заявляют врачи. Почему замирает беременность, в точности неизвестно до сих пор. Однако не одна женщина родила после замершей беременности; произвести на свет здорового ребенка – вполне реально.

Конечно, при необходимости (по результатам анализов) нужно пройти лечение. Перед планированием беременности рекомендуется сделать прививки от краснухи и ветряной оспы. Особенно это актуально для женщин, входящих в группу риска – в данном случае это работа в детских учреждениях, где легко можно заразиться этими болезнями.

Также следует пролечить заболевания, передающиеся половым путем, пройти общеукрепляющий курс витаминов, простимулировать иммунную систему. Схему лечения необходимо согласовать с лечащим врачом. А если все результаты анализов в норме, то лечение может и не потребоваться.

Самая лучшая защита от замирания плода – здоровый образ жизни при планировании беременности.

Беременность 7 недель , активное сердцебиениеБеременность 7 недель , активное сердцебиение

замершая беременность; диагностика; профилактика замершей беременности

Ссылка на основную публикацию
Похожее