Пн-чт: 08:00—17:00 (перерыв 12:00—13:00); пт: 08:00—15:45 (перерыв 12:00—13:00)
whatsapp telegram vkontakte email

Соскоб с языка на кандидоз

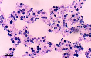
image Мазок с поверхности языка является довольно информативным анализом, так как с помощью него можно определить количество некоторых возбудителей в ротовой полости. Также по результатам можно понять, насколько здорова пищеварительная система у пациента. В зависимости от конкретной флоры на языке, будет видно, какая микрофлора преобладает в желудочно-кишечном тракте, так как все возбудители попадают через рот вовнутрь. Не стоит удивляться, если при наличии заболеваний желудка назначают соскобы с поверхности языка, потому что данный анализ действительно может рассказать о многом. При первых признаках грибкового поражения ротовой полости могут назначить обследование на микрофлору.

В каких ситуациях делают этот анализ чаще всего: глоссит, стоматит, гингивит, вирус иммунодефицита человека, тяжелые соматические патологии и различные состояния, связанные с падением иммунитета. Сдавать анализ нужно либо сутра натощак или через 2 часа после приема пищи или употребления питья. В противном случае результаты окажутся не информативными. Предварительно полоскать рот и чистить зубы также нельзя. При контакте с чистящими веществами многие микроорганизмы уничтожаются. Чаще всего соскоб с языка берут с целью распознания признаков жизнедеятельности грибков кандида. Благодаря соскобу можно выявить мельчайшие нити псевдомицелия грибков рода кандида.

Дело в том, что кандидоз ротовой полости может маскироваться под многие другие заболевания. К примеру, с молочницей часто путают стоматит, хейлит, гингивит и глоссит. Чаще всего болеют грибковыми поражениями новорожденные дети, так как их микрофлора организма и иммунитет в целом только начинает формироваться, а значит, болезни будут возникать часто, пока ребенок не вырастет и его организм не окрепнет. Если после проведения анализа под микроскопом отчетливо видны нитки псевдомицелия или почкующиеся клетки, то можно со 100% уверенностью ставить диагноз кандидоз. В такой ситуации обычные антисептические средства не помогут, нужно использовать только противогрибковые медикаменты местного или системного действия, в зависимости от распространенности и запущенности заболевания.

Почему возникает молочница во рту

image Так как детский организм сильно восприимчив к различным патологиям, то основная причина появления грибка во рту – недостаточная гигиена груди матери в период грудного вскармливания. Если же ребенок находится на искусственных смесях, то результатом появления грибка является отсутствие должной стерилизации сосок и бутылочек. Важные факторы, влияющие на предрасположенность к инфекционным и грибковым заболеваниям: плохой иммунитет из-за недоношенности ребенка, дисбактериозы (нарушение целостности кишечной микрофлоры) из-за приема антибактериальных средств, авитаминозы или прохождение плода по зараженным родовым путям матери.

Чтобы собрать соскоб, достаточно сделать пару простых манипуляций. С помощью специального шпателя или обычной ватной палочки лаборант проводит по поверхности языка несколько легких движений, чтобы содержимое слюны точно зацепилось за заборный материал. После забора полученный материал отправляется в специальную металлическую емкость для отправки на лабораторные исследования. Матерям не нужно беспокоиться за ребенка, мазок не причинит никакого дискомфорта новорожденному. Чем раньше проводится забор, тем быстрее будет выявления причина заболевания, и тем быстрее ребенок поправится.

Для каких анализов еще может потребоваться соскоб с поверхности языка

Мазок с поверхности рта может проводиться не только для выявления возбудителей, но и на определение желчных кислот. Чтобы провести анализ, нужно применить диагностический метод цветной тонкослойной хроматографии. Чтобы результат диагностики был достоверным, нужно проводить исследование натощак сутра перед завтраком без предварительного питья или употребления лекарственных средств. После забора (процедура простая и такая же, как и вышеописанная), собранный материал помещается в специальную пробирку и заливается этиловым спиртом. Далее заборный материал плотно закупоривается и оставляется на несколько часов специально для того, чтобы все вещества между собой хорошо растворились.

Затем следует процедура выпаривания с помощью водяной бани ровно до того момента, пока объем жидкости не уменьшится в 2 раза. Затем требуется хроматографическая пластина, ее нужно прогреть в сушилке на протяжении часа, затем на пластину наносится капля исследуемого вещества, которое отправляется в сушилку, а затем оно охлаждается и проявляется. Потом можно полученное исследовать, если есть отдельные пятна, то желчные кислоты присутствуют в больших количествах.

В процессе диагностики различных заболеваний могут назначить такой анализ, как соскоб с языка. Мы разберемся, для чего он выполняется, какую предоставляет информацию о состоянии организма и как проводится.

Когда такой анализ могут назначить?

В первую очередь соскоб назначается для диагностики полости рта и состояния системы пищеварения. Если в ЖКТ поселились патогенные микроорганизмы, они обязательно обнаружатся и на языке. Показаниями для проведения данного анализа являются:

  • гингивиты;
  • глосситы;
  • стоматиты;
  • соматические патологии;
  • дефицит иммунитета;
  • ВИЧ.

Чтобы анализ был успешным, нужно придерживаться несложных правил:

  1. Его лучше сдавать до завтрака.
  2. Можно сдавать спустя пару часов после трапезы.
  3. Перед забором материала нельзя чистить зубы, полоскать рот, проводить антимикотическое лечение.

В первую очередь соскоб назначается для диагностики полости рта и состояния системы пищеварения.

Важно! Плотный белый или желтый налет на языке – это прямое показание для соскоба. Дополнительные показания – запах изо рта, дискомфорт и ощущение жжения, трещины в углах рта и на поверхности губ.

Кандидоз

Чаще всего соскоб назначается в том случае, если есть подозрение на инфицирование грибком Кандида. Именно он провоцирует развитие молочницы. Полученный материал исследуется под микроскопом. При этом выявляются очень тонкие нити, которые образует псевдомицелий Кандида.

Молочница – распространенное поражение полости рта. Оно может спровоцировать гингивит, хейлит, стоматит, глоссит. Очень часто от такого поражения страдают новорожденные.

Причин заражения новорожденных много:

  • неправильная гигиена матери, которая кормит ребенка грудью;
  • недостаточная стерилизация пустышек и сосок;
  • недоношенность;
  • инфицирование во время прохождения родовых путей;
  • слабая иммунная система;
  • лечение антибиотиками;
  • авитаминоз;
  • дисбактериоз.

Чаще всего соскоб назначается в том случае, если есть подозрение на инфицирование грибком Кандида.

А еще кандидоз слизистых часто появляется, если во рту есть протезы. Они темнеют, покрываются налетом. Во рту могут поселяться две формы грибка Кандида – дрожжевые и псевдомицелий. Благоприятной для него становится достаточно кислая среда (рН 5,8-6,5). При этом грибок становится источником ряда ферментов и органических кислот. Они настолько сильные, что способны разъесть даже пластмассу.

Потому для акриловых протезов они представляют реальную угрозу. Грибковый налет также обнаруживается на протезном ложе. Если протез из металла, то его обладатель при заражении грибом Кандида начинает чувствовать жжение, привкус во рту металла, жалуется на парестезию, запах изо рта.

Если у обладателя протеза появился грибок, то начнут проявляться следующие симптомы:

  • краснеет и отекает слизистая под протезом;
  • появляются папилломы;
  • пересыхает во рту;
  • ощущается жжение.

Полученный материал исследуется под микроскопом.

Все это напоминает механическое повреждение или картину при аллергии. Чтобы избежать подобных сюрпризов, нужно обеспечить качественную гигиену как полости рта, таки протезов. Чаще всего грибок можно найти на небе, языке, в уголках рта. Язык при этом начинает покрываться налетом, а в углах рта могут быть трещины.

Технология проведения соскоба на кандидоз

За 2 часа до процедуры нельзя пить, есть, чистить зубы, полоскать рот и принимать лекарства. Чтобы получить самые информативные результаты, лучше всего сдавать этот анализ прямо утром, сразу после сна. Взятый материал будет отправлен на лабораторное исследование. Его будут тщательно рассматривать под микроскопом.

Нужно взять специальный шпатель для поверхности языка или простую ватную палочку и несколько раз тщательно провести по языку. Взятый материал нужно положить в стерильную колбу и отправить в лабораторию. Ребенок при этом никакого дискомфорта не почувствует.

Для высокоточного анализа материал берется утром.

Как проводят соскоб на желчные кислоты?

Подобный соскоб позволяет также провести анализ на желчные кислоты. Качество анализа обеспечивается высокотехнологичной тонкослойной хроматографией.

Для подобного высокоточного анализа материал берется утром. Больной не должен при этом успеть поесть, попить или принять лекарства.

Не стоит бояться этой несложной процедуры. Она заключается лишь в том, что в лаборатории при помощи обычной чайной ложки с языка аккуратно снимается накопившийся за ночь налет. Затем материал помещается в пробирку, заливается этиловым спиртом и оставляется на время под плотно закрытой крышкой. Все компоненты должны раствориться.

Потом материал выпаривается на водяной бане. Он должен в два раза уменьшиться в объеме. А прогретую хроматографическую пластинку наносят лишь одну каплю полученного экстракта. Потом пластина вновь подсушивается, охлаждается и проявляется. Если желчных кислот немного, линия получится сплошной, а вот при высокой их концентрации образуются плотные пятна.

Чтобы лечение было эффективным и быстрым, нужно выявить заболевание на его ранних стадиях. Если врач назначил соскоб, не нужно откладывать эту процедуру. Она абсолютно безболезненна и безопасна. При этом такой анализ очень информативный.

Если в полости рта появляется белый налет, это может свидетельствовать о заболеваниях органов пищеварительного тракта или избыточной активности грибка, который провоцирует такую болезнь, как кандидоз языка. Ей подвержены все возрастные группы – от новорожденных до пожилых людей, поэтому знать основные признаки и факторы риска должен каждый. Почему возникает это заболевание и можно ли вылечиться самостоятельно?

Что такое кандидоз на языке

Существует несколько нарушений в работе внутренних органов и систем, которые идут рука об руку с кандидозом языка. Некоторые врачи считают эту болезнь предвестницей сахарного диабета, поскольку для активности и размножения грибка Candida идеально подходит среда, развивающаяся на фоне активного употребления богатой на простые углеводы пищей. Сопровождаться недуг может и:

  • Кандидозным хейлитом – обсеменение грибковыми спорами слизистой оболочки губ и кожи вокруг них, после чего патогенный микроорганизм проникает в рот.
  • Гингивитом – воспаление десен, при котором повышается число патогенных микробов и нарушается состав микрофлоры, что делает грибок Candida активным.
  • Микотическими заедами – появляются на фоне нарушенного прикуса, создают мелкие травмы, через которые в ткани может проникнуть грибок.
  • Дисбактериозом – нарушение микрофлоры кишечника при отсутствии лечения может провоцировать проблемы с микрофлорой полости рта.

Причины заболевания

Переход гриба из категории условно-патогенного в категорию опасного преимущественно происходит на фоне общего снижения иммунитета, что провоцирует ничем не сдерживаемое размножение микрофлоры. В группу риска попадают груднички, пожилые люди, лица с ВИЧ. Дополнительно в списке причин недуга находятся:

  • Беременность – провоцирует колебания гормонального фона, влияющие на состояние микрофлоры.
  • Нехватка витаминов группы В, аскорбиновой кислоты.
  • Высокое психологическое напряжение – депрессия со стрессом подтачивают иммунитет.
  • Травмирование слизистых оболочек полости рта, особенно дёсен (зачастую у лиц с зубными протезами) – происходит нарушение защитного барьера, что помогает грибку попасть внутрь, чтобы запустить воспалительный процесс.
  • Прием гормональных препаратов, особенно оральных контрацептивов – изменяется состояние микрофлоры, гормонального фона.
  • Длительное лечение антибиотиками, иммуносупрессорами – тоже негативно воздействует на иммунитет.
  • Лучевая терапия, химиотерапия – по аналогии с медикаментозным лечением влияют на состояние защитных сил организма.

Симптомы кандидоза

Классическим признаком молочницы, затронувшей ротовую полость, врачи называют образование белесого налета, который может обложить слизистую полностью, а может появиться только в отдельных местах. Однако кандидоз имеет несколько форм, одна из которых зачастую протекает совсем без присутствия творожистых масс. Среди дополнительных симптомов можно отметить и наличие болевых ощущений или дискомфорта во время употребления пищи, но полную клиническую картину нужно изучать для каждой формы отдельно.

Если детям свойственна преимущественно псевдомембранозная форма, которая всегда является острой, то у взрослых кандидоз языка может оказаться хроническим и выражаться несколькими способами. Врачи проводят следующую классификацию этого заболевания по его признакам:

  • Псевдомембранозный – размягчение поверхности языка, гиперемия слизистых оболочек, покрытие плотным белесым налетом внутренней стороны щек, нёба. Не исключено чувство жжения, боль при приеме пищи.
  • Гиперпластический – появление папул и бляшек, которые имеют неправильную форму и могут образовывать группы, срастаясь между собой. Локализация – внутренняя сторона щек и язык. Полость рта становится сухой, дискомфорт присутствует постоянно.
  • Острый атрофический – покраснение поверхности языка и уголков губ, истончение эпителия, атрофирование сосочков языка, отёк. Количество типичного для болезни налета минимально, локализуется он на периферии. Редко диагностируются случаи повышения температуры.
  • Хронический атрофический – сухость каймы губ и слизистых оболочек, гиперемия последних, появление налета, болевых ощущений и жжения.

По данным медицинской статистики у новорожденных кандидоз языка наблюдается чаще, чем у детей старших возрастов или у взрослых. Преимущественно это обуславливается несовершенством иммунной системы, но проблема может усугубиться и передачей грибка от матери (при родах или во время кормления малыша), что повышает его количество в детском организме. Заболевание протекает в острой форме, поэтому имеет следующие симптомы:

  • нарушение сна;
  • плаксивость;
  • появление во рту белых крупинок, количество которых постепенно увеличивается, они полностью перекрывают поверхность языка;
  • образование кровоточащих язв, которые доставляют малышу дискомфорт.

Диагностика

Для постановки диагноза­ простого осмотра и изучения истории болезни мало – ориентируясь на жалобы пациента, стоматолог сможет составить только первичную картину. Однако для подтверждения гипотез потребуется проведение лабораторных исследований бактериологического материала и изучение степени обсеменения слизистых рта. Причина тщательной диагностики кроется в схожести симптомов кандидоза и красного лишая, афтозного стоматита и еще нескольких инфекционных стоматологических заболеваний.

Первичным анализом является сдача крови на ПЦР – полимеразную цепную реакцию. Данный анализ дает абсолютно точный результат, который можно узнать в тот же день. Удобство заключается и в простоте чтения итогов: если отметка положительная, возбудитель присутствует и активен, если нет – отсутствует. Дополнительно потребуется сдать анализы крови на грибок Candida, а при хроническом кандидозе и на уровень сахара, чтобы исключить диабет.

Обязательной диагностической процедурой при подозрениях на молочницу является взятие соскоба с языка и последующее лабораторное изучение материала. За 2 ч до визита к врачу нельзя пить и употреблять пищу, желательно утром не проводить и чистку зубов. Забор материала проводится специальным шпателем, после полученную субстанцию в колбе передают в лабораторию, где она будет изучена под микроскопом. Вариантов результата всего 2:

  • Не обнаружено – недуг отсутствует.
  • Обнаружено – присутствует специфичный фрагмент ДНК.

Лечение у взрослых

Терапия должна быть местной и внутренней: последняя предполагает общее укрепление иммунитета и прием антимикотических препаратов, которые используются и наружно. Дополнительно в схему местной терапии вводят полоскания ротовой полости, меняющие pH микрофлоры. Не исключено, что придется воздействовать на сопутствующие заболевания, проводить профилактику бактериальных инфекций, которые могут развиться на фоне кандидоза. В общую терапевтическую схему входят:

  • местные и наружные антимикотики;
  • полиеновые антибиотики;
  • иммуностимуляторы;
  • глюконат кальция;
  • витамины группы В;
  • источники железа.

Кандидоз языка и еще несколько стоматологических заболеваний на большинстве стадий, кроме последней, с образованием бляшек и присоединением бактериальной инфекции, можно лечить через использование наружных средств. Они подавляют активность грибка, предотвращают проникновение микроорганизмов в ткани. Пользоваться с этой целью можно как противогрибковыми мазями (губы, кожа вокруг), так и растворами для полоскания. Врачи советуют:

Когда степень тяжести молочницы на языке делает местную терапию не результативной, врачи подключают к основной схеме один или несколько системных препаратов, относящихся к группе антимикотиков. Они будут воздействовать на грибок во всем организме, купируя его активность и предотвращая размножение. Среди многообразия противогрибковых лекарств способностью влиять на представителей рода Candida обладают только:

Особенности лечения у детей

Общая схема борьбы с недугом полости рта у малышей почти та же, что у взрослых – начинают лечение с местной противогрибковой терапии, по необходимости подключают системные препараты. В тяжелом случае используют антибиотики, но под контролем врача. Основные моменты:

  • Полоскания проводят раствору марганцовки, перекиси водорода, соды.
  • Слизистые периодически обрабатывают Люголем, раствором серебра.
  • В качестве противогрибковых средств применяют Флуконазол, Низорал, Дифлюкан.

Чем лечить молочницу на языке

Точную схему использования наружных и местных лекарственных средств от кандидоза должен составить врач, ориентируясь на особенности организма и степень развития заболевания. В ряде случаев хватает приема таблеток Нистатина и полоскания антисептиками, а тяжелая молочница на языке у взрослых может потребовать нескольких антимикотических лекарств в сочетании с антибиотиками. Самые эффективные препараты можно рассмотреть в таблице:

Соскоб с языка

В каких случаях сдают соскоб с языка?

Как правило, при:

  • стоматитах,
  • глосситах,
  • гингивитах,
  • вич-инфекции,
  • иммунодефицитах,
  • тяжелой соматической патологии.

Очень важно сдавать анализ утром до завтрака или спустя два часа после еды и питья. Разумеется недопустим забор материала после полоскания ротовой полости, чистки зубов и антимикотической терапии.

Самым распространенным анализом является соскоб с языка на кандиды. Соскоб с зыка представляет собой микроскопическое исследование для выявления нитей псевдомицелия грибов рода кандида.

Молочница ротовой потолости может проявляться в форме стоматита, хейлита, глоссита, гингивита. Заболеванию наиболее предрасположены новорожденные дети.

Кандидоз ротовой полости – этот диагноз может быть поставлен врачом в случае обнаружения признаков наличия грибов рода кандида в соскобе с языка. В материале под микроскопом должны обнаружиться нити псевдосицелия или почкующиеся клетки.

Соскоб с языка может проводиться и для анализа на желчные кислоты. Для проведения качественного анализа применяется цветная тонкослойная хроматография. Забор материала происходит в утреннее время до завтрака, питья, приема медикаментов с помощью чайной ложки необходимо провести по поверхности языка в области скопления налета.

Материал помещают в пробирку, куда затем добавляют этиловый спирт, плотно закрывают и оставляют на несколько часов для того, чтобы все компоненты полученного материала успешно растворились.

Теперь можно выпаривать материал посредством водяной бани до тех пор, пока объем не уменьшится вдвое. Берется хроматографическая пластина, ее прогревают в сушильном шкафу на протяжении часа, наносят на пластину каплю спиртового экстракта и вновь отправляют в сушильный шкаф, после чего охлаждают и проявляют. Для этого ее необходимо опустить в разгоночную жидкость до определенного уровня. В составе разгоночной жидкости присутствуют уксусная кислота, толуол, вода. После полного пропитывания пластину просушивают и с помощью спиртового раствора молибденовой кислоты, которую наносят пульверизатором, проявляют и вновь помещают в сушильный шкаф на пару минут.

Отдельные пятна на пластине свидетельствуют о высокой концентрации желчных кислот, сплошная линия присутствует в случае невысокой концентрации.

Анализ естественных языков — Иван СмирновАнализ естественных языков — Иван Смирнов

Когда такой анализ могут назначить?

В первую очередь соскоб назначается для диагностики полости рта и состояния системы пищеварения. Если в ЖКТ поселились патогенные микроорганизмы, они обязательно обнаружатся и на языке. Показаниями для проведения данного анализа являются:

  • гингивиты;
  • глосситы;
  • стоматиты;
  • соматические патологии;
  • дефицит иммунитета;
  • ВИЧ.

Чтобы анализ был успешным, нужно придерживаться несложных правил:

  1. Его лучше сдавать до завтрака.
  2. Можно сдавать спустя пару часов после трапезы.
  3. Перед забором материала нельзя чистить зубы, полоскать рот, проводить антимикотическое лечение.

Важно! Плотный белый или желтый налет на языке – это прямое показание для соскоба. Дополнительные показания – запах изо рта, дискомфорт и ощущение жжения, трещины в углах рта и на поверхности губ.

Поведение Медведева и Обамы в забегаловке. Анализ языка телаПоведение Медведева и Обамы в забегаловке. Анализ языка тела

В каких случаях назначают исследование

Соскоб на грибок назначают пациентам, у которых врачи заподозрили развитие дерматологического заболевания. К такому выводу приводит обнаружение специфических симптомов, которые выдают течение патологического процесса, вызванного грибковой инфекцией. В данном случае речь идет о шелушении кожного покрова, его воспалении и появлении болезненных высыпаний.

Анализ на изучение соскоба с кожи в большинстве случаев назначается после визуального исследования проблемного участка на теле человека. Результаты лабораторной диагностики могут подтвердить или опровергнуть предположения медика касательно заболевания, которое тревожит больного.

Исходя из всего вышесказанного, можно утверждать, что анализ, при котором делается соскоб с кожи для его дальнейшего исследования в лабораторных условиях, предназначен для выполнения следующих задач:

  1. Проверка предположений врача касательно диагноза;
  2. Определение наличия у пациента грибкового поражения организма;
  3. Составление полной картины органического нарушения.

Анализ кожного эпителия можно проводить взрослым и детям. Соскоб на грибок с поверхности кожи совершенно безопасен для людей разных возрастных групп. После назначения врач расскажет, где сдать анализ и после получить его результат.

Лекция 1. Анализ данных на R в примерах и задачахЛекция 1. Анализ данных на R в примерах и задачах

Как выглядит молочница на языке­ – фото

При кандидозе пищевода происходит поражение слизистой дрожжеподобными грибами Cаndida. Заражение может произойти от контакта обсеменных грибками пищевых продуктов или от человека, болеющего молочницей.

При ослабленном иммунитете или тяжелом иммунодефиците грибы начинают интенсивно размножаться, поражая внутренние органы. Заболевание обязательно надо лечить, так как оно может привести к серьезным осложнениям. К таким относятся образование язв и прорыв разрыхленной оболочки пищевода.

Перед тем как лечить кандидоз пищевода, следует выяснить причины болезни и установить точный диагноз. В комплекс мероприятий обязательно включают противогрибковые препараты. Для избавления проявлений молочницы врач сам подбирает лекарства и рассчитывает дозировку в зависимости от тяжести поражения. Лечение предусматривает обязательную коррекцию микрофлоры.

При угнетенной функции иммунной системы, назначаются иммуномодуляторы и проводится поддерживающая терапия. Можно проводить лечение кандидоза пищевода народными средствами, но только под наблюдением врача.

При поражении слизистой, у больного затрудняется глотание, может беспокоить боль при глотательных движениях. Чтобы снять воспаление и усилить эффект от приема противомикозных препаратов, можно пить отвары коры дуба, календулы, ромашки.

Хорошо снимает воспаление и убирает неприятные ощущения в области пищевода отвар тысячелистника и зверобоя. Если осложняется вторичной инфекцией кандидоз пищевода, лечение травами обязательно должно быть в комплексе с препаратами традиционной медицины.

Для того чтобы не раздражать стенки пищевода при кандидозе и не вызывать боль при глотании, пища должна быть перетертой. Категорически запрещено перчить и солить еду. При интоксикации организма при кандидозе полезно принимать отвар овса.

Он содержит в себе полезные аминокислоты и витамины группы В, которые способствуют выведению токсинов и заживлению стенок пищеварительного тракта. Для его приготовления понадобится 5 стаканов овса неочищенного.

Как лечить кандидоз языка? Молочница языка у взрослых лечится с применением нескольких методов:

  • Медикаментозное лечение, при котором используются препараты общего и местного действия.
  • Полоскания проблемной зоны.
  • Диета и уход.
  • Лук и чеснок являются натуральными антисептиками. Их измельчают до состояния кашицы и втирают в язык дважды в день.
  • Масляные аппликации, для которых применяют оливковое или облепиховое масла. При этом марлевую салфетку с лечебным средством кладут на проблемное место на четверть часа, это снимает боль, замедляет размножение грибов, заживляет ранки и язвочки. Такие процедуры практикуют в течение двух недель.
  • Яблочный уксус нормализует кислотность, во время болезни ежедневно пьют по ложке этого средства.

При первых проявлениях молочницы языка необходимо обращаться к стоматологу. Если болезнь уже затронула всю ротовую полость, то помочь может только миколог и инфекционист.

Также часто кандидоз языка возникает на фоне развивающегося дисбактериоза, который проявляется в результате интенсивной терапии антибактериальными препаратами, глюкокортикостероидами, иммунодепрессантами. Причины заболевания:

  • хронические воспалительные заболевания полости рта (язвенный стоматит, лишай);
  • механическое травмирование тканей;
  • гиповитаминозное состояние организма;
  • функциональные нарушения печени;
  • диспротеинемия;
  • недостаток калия в плазме крови;
  • нарушения в работе щитовидной железы;
  • развитие раковых клеток в организме человека;
  • беременность и период грудного вскармливания;
  • злоупотребление алкогольными и табачными изделиями.

Помимо вышеперечисленных факторов, кандидоз языка может развиться в результате контакта с носителем инфекции. В частности, споры грибов передаются через поцелуй, использование общих столовых приборов.

дрожжеподобного грибка Candida Albicans. Молочница языка является разновидностью грибковой инфекции, а возбудитель её считается условно-патогенным, поскольку он присутствует в составе микрофлоры здорового человека. Для его перехода в класс опасного нужен толчок извне.

Существует несколько нарушений в работе внутренних органов и систем, которые идут рука об руку с кандидозом языка. Некоторые врачи считают эту болезнь предвестницей сахарного диабета, поскольку для активности и размножения грибка Candida идеально подходит среда, развивающаяся на фоне активного употребления богатой на простые углеводы пищей. Сопровождаться недуг может и:

Читайте также:

Ссылка на основную публикацию
Похожее