Профилактические медицинские осмотры работающих в силикозоопасных производствах, регулярность которых предусмотрена законодательными положениями, создают реальную основу для изучения СТБ в его динамическом развитии, последовательности возникновения признаков и течения по различным клиническим формам и вариантам заболевания.
Господствующим является представление, что СТБ как профессиональное заболевание в своем развитии есть силикоз, осложненный туберкулезом. Такое представление находится в полном соответствии с сущностью понятия об осложнении, т. е. второй болезни, патогенетически связанной с основной. Однако ряд особенностей клинических проявлений, течения и прогноза при СТБ выходит за пределы привычного представления об осложнении, и в первую очередь это относится к необычно высокой частоте сочетания силикоза и туберкулеза. Вероятно, во всей общей клинике нет аналогичного примера заболевания, которое возникало бы столь часто от воздействия двух противоположных по своей природе этиологических факторов, таких как неживая природа — кварцсодержащая пыль и живой микроорганизм — микобактерии туберкулеза (МБТ).
Известно, что силикоз осложняется не всеми клиническими формами туберкулеза, но в каждой из них имеются общие особенности, отличные от туберкулеза, возникшего на непылевом легком.
В дальнейшем под влиянием самых различных причин такой фиброзный каркас может быть недостаточно сдерживающим, в конечном итоге может возникнуть активация туберкулезного процесса и наступить второй период его течения — прогрессирующий. В подобных случаях клиническая картина обогащается дополнительными признаками, свойственными активному туберкулезному процессу. Возникают диссеминированные формы легочного СТБ. Такая диссеминация может возникнуть из СТБ-бронхоаденита или туберкулезного процесса в собственно легочной паренхиме. Процесс распространяется обычно лимфогенным путем, но может ограничиваться и железисто-легочной формой. Его особенностью является то обстоятельство, что в этом периоде сохраняется олигобациллярность и относительная, по сравнению с туберкулезом, редкость кровотечения. К тому же во втором периоде СТБ возникает неуклонное прогрессиро-вание, и, в отличие от туберкулеза, при котором обычно возможно клиническое излечение, при СТБ наблюдается лишь временная стабилизация.
Наряду с туберкулезным процессом при СТБ может отмечаться прогрессировать собственно фиброзной ткани. Силикотические узелки обладают оппозиционным ростом и слиянием, постепенным замещением интерстициальной соединительной ткани легких фиброзом, что и способствует возникновению конгломератов. Такие конгломераты могут развиваться в виде одиночных образований типа силиком или охватывать значительные зоны легочной паренхимы. Как показывают исследования (Панфилова, 1968; Зислин, 1971; Нодов, 1958; Афонин и соавт., 1982; и др.), в процессе формирования таких массивных образований особое значение приобретает туберкулезная инфекция. В 70—90 % и более подобных случаев регистрируется ее соучастие. Такая повышенная частота туберкулеза в формировании конгло-меративного СТБ побудила некоторых авторов (Mavrogordato, 1931; Irvine, 1929) отвергнуть вообще возможность развития силикоза III стадии.
Клинические проявления конгломеративного СТБ, особенно в первом периоде, также нередко протекают субъективно инаперцептно. При этом в зависимости от преобладания фиброзного или туберкулезного процессов прогноз определяется либо признаками легочного сердца, либо активностью туберкулеза.
Существенные различия по сравнению с туберкулезом на интактном легком выявляются при СТБ и в отношении рецидивов и обострений, о чем будет изложено в соответствующей главе. Здесь важно лишь отметить, что эти особенности течения при СТБ есть проявления еще недостаточной изученности внутренних закономерностей патологического процесса.
Выше уже указывалось на те морфологические, ростовые, ферментативные и другие изменения возбудителя туберкулеза при воздействии на него кварцсодержащей пыли, которые сохраняют свою вирулентность в СТБ-очагах. Важно также отметить, что позитивный па-томорфоз заметно сказался не только на проявлениях туберкулеза, развившегося на интактном легком, но и на СТБ. В какой-то мере произошло сближение клинических проявлений между этими двумя формами. Однако особенности СТБ, которые отмечались выше, сохраняют все свое значение.
Общепринятой классификации кониотуберкулеза до настоящего времени еще нет. Объясняется это тем обстоятельством, что туберкулез правомерно рассматривается, как уже указывалось, в качестве заболевания, осложняющего кониотический процесс и потому входящего в классификацию пиевмокониозов, в раздел осложнений. Понятно, что любое осложнение в виде самостоятельной клинической классификации выделять нецелесообразно. В то же время в целях единообразия при оформлении диагноза в практической деятельности врача, учитывая различные клинические формы туберкулезного осложнения при силикозе и варианты его течения, правомерно было представить группировку СТБ.
Становится понятным, что при стремлении вычленить отдельные клинические формы СТБ логично было воспользоваться существующей классификацией пиевмокониозов (1976) и туберкулеза (1974) с целью приспособить его варианты к этим официально утвержденным классификациям. Однако при этом важно было не утратить те особенности СТБ, о которых указывалось выше.
При силикотуберкулезе подлежит освещению СТБ-бронхоаденит, очаговый, диссеминированный, инфильтра-тивный, фиброзно-кавернозный СТБ, силикотуберкулема, особенно конгломеративная форма.
Следует отметить, что осложненный туберкулезом силикоз приобретает новые качества вследствие тесного взаимопроникновения двух патологических процессов столь различной этиологии, что и находит свое объяснение в особенностях его клинического течения. В проблеме СТБ остается неясным вопрос об особенностях проявления и течения СТБ, столь отличных от силикоза и туберкулеза, развившегося на непылевом легком.
Подробно освещен механизм повреждающего действия кварцевой пылинки, поглощенной макрофагом. Можно предположить, что одной из возможных причин особенностей клиники и течения СТБ являются изменившиеся свойства макрофага. М. М. Авербах и соавт. (1974) утверждают, что неповрежденный макрофаг способен полностью разрушить МБТ при их немассивном внедрении в организм. Поврежденный же макрофаг не в состоянии проявить такое действие, но изменяет присущие возбудителю морфологические ростовые, вирулентные и ферментативные свойства. Столь измененная МБТ, попадая в новые для нее условия избыточного образования фиброзной ткани, вероятно, и обусловливает указанные выше клинические проявления и течение СТБ.
Таковы особенности различных вариантов и форм СТБ, которые представлены в таблице, дифференцированной по клиническим формам, стадиям силикоза и характеристике процесса (см. гл. VI, табл. 8).
СИЛИКОЗ ЛЁГКИХ (пылевые фиброзы). Это профессиональное заболевание, связанное с вдыханием силикатной пыли. Под влиянием механических и биологических воздействий происходит постепенное развитие периваскулярного и перибронхиального фиброза. Наиболее агрессивной из всех видов пыли является силикатная пыль, в которой в значительном количестве определяется двуокись кремния – SiO2 . При антракозе, асбестозе, сидерозе и других пылевых фиброзах развивается процесс как и при силикозе, но только медленнее и в менее выраженной степени. В анамнезе у больных силикозом отмечается работа на шахтах, рудниках, в качестве пескоструйщиков, реже на силикатных, стекольных заводах и т.д.
Различают три стадии силикоза.
В I стадии помимо изменений легочного рисунка определяют единичные узелковые тенеобразования, располагаются они преимущественно в краевых частях средних и нижних отделов лёгких. Тени корней расширены и бесструктурны. Лёгкие несколько эмфизематозно вздуты. При I стадии силикоза иногда больной отмечает сухой и кашель, реже небольшую одышку при физическом напряжении. Температура, СОЭ, гемограмма — в норме. Данные физикального обследования скудные, иногда определяют сухие или мелкопузырчатые хрипы, как при бронхите или эмфиземе.
Во II стадии на фоне мелкоячеистого рисунка видны множественные мелкие узелковые тенеобразования, разбросанные довольно равномерно в обоих легочных полях на всём их протяжении, но больше в средне-нижних отделах. Контуры их чёткие. Элементы легочного рисунка как бы исчезают. Расширенные тени корней лёгких представляются как бы обрубленными от своих ветвей (симптом «обрубленного корня»), в дальнейшем могут подвергнуться сморщиванию. При переходе процесса во П стадию больной начинает ощущать выраженную одышку, больше выражен кашель, иногда боли в груди. Одышка медленно постепенно нарастает, развивается дыхательная недостаточность I-II степени.
В III стадии силикоза происходит слияние узелков, усиленное развитие соединительной ткани. При этом на рентгенограмме определяется наличие крупных фокусных образований, наряду с выра- женным фиброзом лёгких. В лимфатических узлах корня иногда можно обнаружить обыз- вествление по их наружному краю (симптом «яичной скорлупы»). В III стадии, когда фиброз и эмфизема увеличивается, развивается легочно- сердечная недостаточность.
II стадия силикоза, а особенно III — очень часто осложняется туберкулёзом — силикотуберкулёз. При силикозе чаще всего развивается очаговая, реже другие формы туберкулеза легких. Помимо этого, встречаются силикотуберкулезный бронхоаденит, узловой и так называемый массивный силикотуберкулез.
В отличие от туберкулёза, очаги при силикозе локализуются в латеральных частях средних отделов легочных полей, верхушечные области либо вовсе свободны, либо очаги находятся в них в небольшом числе. Очаговые тени при силикозе более интенсивны чем при диссеминированном туберкулёзе, контуры их более чётки
В то же время, в отличие от туберкулёза, во II-Ш стадии неосложнённого силикоза симптомы интоксикации не выявляются. Если к одышке, выраженному кашлю присоединяются симптомы интоксикации: повышение температуры, озноб, поты, похудание, повышение СОЭ, умеренный лейкоцитоз, лимфопения, уменьшение уровня альбуминов и нарастание глобулинов, то можно думать о развитии силикотуберкулёза. При этом рентгенологическое исследование позволяет выявить, наряду с силикозом, изменения, характерные для туберкулёза: наличие туберкулёзных очагов, инфильтратов, полостей распада. У большинства больных в мокроте обнаруживают БК.
Чаще силикоз осложняется инфильтративным туберкулёзом. В настоящее время установлено, что силикоз бывает «ранним» и «поздним». «Ранний» силикоз развивается у отдельных лиц при работе на пылевых предприятиях даже в течение нескольких месяцев. «Поздний» — развивается после работы на соответствующем 14 предприятии спустя несколько лет, может диагностироваться и после прекращения работы, связанной с пылью — через 2-5 лет.
В течении силикотуберкулеза можно условно выделить две фазы. Первая — чаще при очаговом туберкулезе — инапперцептиая и мало отличающаяся от неосложненного силикоза. Самочувствие больных в этот период может быть удовлетворительным, температура нормальной или субфебрильной, другие, признаки интоксикации отсутствуют или слабо выражены, физические изменения в легких — скудные.
Во второй фазе, соответствующей обострению туберкулезного процесса, протекающего в виде инфильтративной формы, а тем более с образованием деструкции в легочной ткани, общее состояние больных заметно ухудшается, появляются симптомы интоксикации, наступает похудание, усугубляются нарушения функции внешнего дыхания.
Как в первой, так и во второй фазе болезни бацилловыделение может не наблюдаться.
Для диссеминированного туберкулеза, образующегося на фоне силикоза, характерна довольно типичная рентгенологическая картина.
В этих случаях туберкулезные очаги более полиморфны. Они располагаются преимущественно в верхних отделах легких, а под влиянием туберкулостатической терапии подвергаются более или менее выраженной инволюции. При хроническом диссеминированном туберкулезе очаги, как правило, различной плотности, определяются плевральные изменения, иногда отмечаются признаки цирроза легких. Недавно возникшие эластичные каверны на фоне узелкового силикоза имеют чаще неправильную округлую форму и выявляются более четко только на томограмме. Фиброзно-кавернозный туберкулез характеризуется наличием оформленных каверн с выраженными, фиброзными стенками. Однако следует иметь в виду возможность развития силикотических каверн, которые возникают в толще силикотических узлов. Они имеют неправильную щелевидную форму с неровными внутренними ландкартообразными очертаниями. Как правило, в них не виден уровень жидкости. В большинстве случаев формирование таких каверн связано с влиянием туберкулезной инфекции. Клинически при фиброзно-кавернозном туберкулезе отмечаются симптомы интоксикации, физические изменения в легких, часто имеет место бацилловыделение. Заживление каверн наблюдается редко даже при рациональной антибактериальной терапии. При этом на месте отдельных полостей могут образоваться силикотуберкуломы.
Силикотуберкулезный бронхоаденит проявляется симптомами интоксикаций, нередко пышными туберкулиновыми реакциями, увеличением размеров внутригрудных лимфатических узлов, иногда с полициклическими контурами. При этом образуются ателектазы отдельных сегментов легкого. Из прикорневых лимфатических узлов процесс может распространяться в легкие, где образуются перисциссуриты или лобиты. При бронхоскопии в этих случаях обнаруживают не только пылевые пятна, но и бронхонодулярные свищи, реже другие туберкулезные изменения.
При узловом силикотуберкулезе в легких определяются отдельные или множественные фокусные образования различной величины и формы, иногда распространяющиеся на весь сегмент и локализующиеся чаще в нижних, реже в верхних долях легкого. К этой группе относятся и силикотуберкуломы, которые формируются в результате слияния отдельных очагов и уплотнения инфильтратов, реже при заполнении каверн. В отличие от туберкулом и казеом в них, помимо элементов творожистого некроза, имеется значительная прослойка специфической грануляционной ткани, много коллагеновых волокон и пыли. Силикотуберкуломы обычно не имеют слоистого строения. При прогрессировании они подвергаются распаду с образованием деструкции. Клиническая симптоматология узлового силикотуберкулеза сравнительно скудная. При этом наблюдаются нерезко выраженные признаки интоксикации, ускоренная РОЭ, положительные туберкулиновые реакции.
Массивный силикотуберкулез соответствует далеко зашедшей форме силикоза с образованием выраженного фиброза. Диагноз присоединившегося туберкулеза в этих случаях становится достоверным при появлении интоксикации, сдвига в гемограмме, ускоренной РОЭ, а тем более бацилловыделения, а также при обнаружении признаков распада легочной ткани. Туберкулостатическая терапия при данной форме процесса оказывает обычно лишь симптоматический эффект.
Для установления диагноза силикотуберкулеза, как и других видов кониотуберкулеза, важны документальные подтверждения производственного стажа работы с пылью и санитарно-гигиеническая характеристика условий труда. Весьма важная роль принадлежит особенностям картины рентгенологически определяемых изменений в легких и некоторым отмеченным выше чертам клинического течения болезни. Туберкулинодиагностика в таких случаях имеет относительное значение, так как пышные туберкулиновые реакции могут наблюдаться и при неосложненном силикозе. Кроме того, при пылевых заболеваниях, как и при туберкулезе, в последние годы отмечается тенденция к снижению специфической чувствительности организма. Известное дифференциально-диагностическое значение сохраняет белково-туберкулиновая проба Рабухина—Иоффе. (белково-туберкулиновая проба А. Е. Рабухина и Р. А. Иоффе (основана на изменении состава белковых фракций сыворотки крови после введения 5- 20 ТЕ) — все это различные модификации подкожной пробы Коха.)
Силикотуберкулез не является простым сочетанием двух заболеваний, так как в таких случаях возникает состояние, которое нередко значительно отличается по своим проявлениям как от туберкулеза, так и от силикоза и характеризуется своеобразными закономерностями течения и исхода. Частота осложнений силикоза туберкулезом зависит от степени выраженности и формы запыления легких и в известной мере от агрессивности пылевого фактора. Чем тяжелее протекает силикоз, тем чаще он сочетается с туберкулезом (по литературным данным, почти в 60— 70 %). Наиболее часто туберкулез осложняет узелковую форму силикоза у пескоструйщиков, горнорабочих рудников по добыче золота и других металлов с большим содержанием кварца в породе, у рабочих производства динасовых огнеупоров, фарфорщиков. В других профессиональных группах, в частности у рабочих литейных цехов (обрубщики, стерженщики, выбивщики и др.), у шахтеров рудников с меньшим содержанием кварца в породе силикотуберкулез встречается реже. Определенную роль играют, кроме того, условия жизни и уровень инфицированности туберкулезом работающих. В связи с проведением обширных оздоровительных мероприятий на производствах, улучшением жилищно-бытовых условий, повышением культурного уровня населения заболеваемость силикотуберкулезом в последние годы закономерно снижается. Тем не менее и теперь удельный вес кониотуберкулеза в структуре заболеваемости и болезненности туберкулезом составляет от 0,5 до 1,7%.
В этиологии кониотуберкулеза некоторые исследователи в последние годы придают значение не только микобактериям человеческого, бычьего и редко птичьего типов, но и атипичным штаммам микобактерий, при заражении которыми развивается своеобразный патологический процесс— микобактериоз. Этому способствует, по мнению Gemez-Rieux и соавт. (1965), Konetzke (1971) и др., вдыхание пыли, что позволило выделить особую форму болезни у шахтеров-угольщиков — пневмокониомикобакте-риоз. Однако сообщения о таких видах легочной патологии в СССР пока еще единичны (Н. М. Макаревич, 1973).
Патогенез силикотуберкулеза сложен. При этом обычно происходит обострение туберкулезного процесса в послепервичных легочных очагах или во внутригрудных лимфатических узлах, из которых он распространяется на легочную паренхиму в результате аденогенного рассеивания микобактерий. В таких случаях клиническая картина болезни может походить на первичный туберкулез.
До последнего времени нет общепринятой классификации силикотуберкулеза. Практически для его характеристики пользуются чаще всего классификацией силикоза с учетом клинико-рентгенологической формы туберкулеза легких. Такая рабочая классификация предложена К. П. Молокаповым, А. М. Рашевской, Н. М. Кончаловской, Н. А. Сенкевич, Т. Н. Калитиевской (1970).
При силикозе чаще всего развивается очаговая, реже другие формы туберкулеза легких. Помимо этого, встречаются силикотуберкулезный бронхоаденит, узловой и так называемый массивный силикотуберкулез.
В течении силикотуберкулеза можно условно выделить две фазы. Первая — чаще при очаговом туберкулезе — инапперцептиая и мало отличающаяся от неосложненного силикоза. Самочувствие больных в этот период может быть удовлетворительным, температура нормальной или субфебрильной, другие, признаки интоксикации отсутствуют или слабо выражены, физические изменения в легких — скудные. Во второй фазе, соответствующей обострению туберкулезного процесса, протекающего в виде инфильтративной формы, а тем более с образованием деструкции в легочной ткани, общее состояние больных заметно ухудшается, появляются симптомы интоксикации, наступает похудание, усугубляются нарушения функции внешнего дыхания. Как в первой, так и во второй фазе болезни бацилловыделение может не наблюдаться.
Фиброзно-кавернозный туберкулез характеризуется наличием оформленных каверн с выраженными, фиброзными стенками. Однако следует иметь в виду возможность развития силикотических каверн, которые возникают в толще силикотических узлов. Они имеют неправильную щелевидную форму с неровными внутренними ландкартообразными очертаниями. Как правило, в них не виден уровень жидкости. В большинстве случаев формирование таких каверн связано с влиянием туберкулезной инфекции.
Клинически при фиброзно-кавернозном туберкулезе отмечаются симптомы интоксикации, физические изменения в легких, часто имеет место бацилловыделение. Заживление каверн наблюдается редко даже при рациональной антибактериальной терапии. При этом на месте отдельных полостей могут образоваться силикотуберкуломы.
Силикотуберкулезный бронхоаденит проявляется симптомами интоксикаций, нередко пышными туберкулиновыми реакциями, увеличением размеров внутригрудных лимфатических узлов, иногда с полициклическими контурами. При этом образуются ателектазы отдельных сегментов легкого. Из прикорневых лимфатических узлов процесс может распространяться в легкие, где образуются перисциссуриты или лобиты. При бронхоскопии в этих случаях обнаруживают не только пылевые пятна, но и бронхонодулярные свищи, реже другие туберкулезные изменения.
Силикотуберкулез – пневмокониоз, вызванный вдыханием кварцевой пыли и осложненный туберкулезом легких. Присоединение или активация туберкулезной инфекции сопровождается ухудшением течения силикоза: подъемом температуры, нарастанием интоксикации, усилением одышки, появлением кашля с мокротой гнойного характера, кровохарканьем, прогрессирующим снижением веса. Силикотуберкулез диагностируется с учетом профессионального и фтизиатрического анамнеза, рентгенологической и эндоскопической картины, исследования мокроты на микобактерии, туберкулиновых проб. Лечение силикотуберкулеза проводится противотуберкулезными химиопрепаратов по тем же принципам, что и лечение туберкулеза.
МКБ-10
Общие сведения
Силикотуберкулез — туберкулез органов дыхания, развивающийся на фоне кварцевого пневмокониоза. Известно, что у лиц, страдающих силикозом, туберкулез возникает в 3-7 раз чаще, чем у лиц без его проявлений. По данным фтизиатрии и пульмонологии, наиболее часто туберкулезная инфекция отягощает течение узелкового силикоза II-III стадии, реже – интерстициальной формы пневмокониоза. Так, если узелковый силикоз I стадии осложняется туберкулезом легких у 15-20% пациентов, то II стадии уже у 25-30% больных, а III стадии — в 60-70 % случаев. При этом в ранней стадии в большинстве случаев возникает очаговый или инфильтративный туберкулез легких, а в поздних – фиброзно-кавернозная или диссеминированная форма. Для силикотуберкулеза характерно утяжеление течения как силикотического, так и туберкулезного процессов.
Причины силикотуберкулеза
Развитие силикотуберкулеза связано с реактивацией старых очагов туберкулезной инфекции в легких и внутригрудных лимфоузлах или массивным повторным заражением больных силикозом. Условиями, способствующими возникновению туберкулеза на фоне силикоза, являются: большой стаж работы с кварцевой пылью, узелковый или интерстициальный силикоз второй-третьей стадии, снижение общего и ослабление специфического противотуберкулезного иммунитета.
Силикотуберкулез чаще всего встречается у лиц определенных профессиональных групп: пескоструйщиков, рабочих золотодобывающих горнорудных комплексов, шахтеров-угольщиков, рабочих литейных цехов. Большую роль в заболеваемости силикотуберкулезом играют жилищно-бытовые условия, уровень инфицированности туберкулезом в коллективе, условия труда. В этиологии силикотуберкулеза наибольшее значение имеют микобактерии человеческого и бычьего типа, меньшее — птичьего типа и атипичные штаммы.
Классификация
По степени активности туберкулезного компонента различают активную и неактивную стадии заболевания; по наличию/отсутствию бацилловыделения – открытую (МБТ+) и закрытую (МБТ-) форму. При формулировке диагноза также учитывается фаза туберкулезного процесса: инфильтрация, распад, обсеменение, уплотнение, рассасывание, обызвествление. С учетом клинико-рентгенологической картины выделяют силикотуберкулез:
- с разграничиваемыми формами туберкулеза (инфильтративный, очаговый, кавернозный, диссеминированный туберкулез легких)
- без разграничения форм (силикотуберкулезный бронхоаденит, силикотуберкулома, конгломеративный и деструктивный силикотуберкулез).
Клиническое течение силикотуберкулеза проходит два периода. Во время первого из них выраженные клинические признаки отсутствуют. Во втором периоде на первый план выходят признаки, обусловленные прогрессированием туберкулезной инфекции (интоксикация, появление микобактерий в мокроте, изменения в гемограмме и на рентгенограмме).
Симптомы силикотуберкулеза
На присоединение туберкулеза к силикотическому фиброзу указывает резкое ухудшение течения кварцевого пневмокониоза. В большинстве случаев силикотуберкулез манифестирует постепенно, примерно у трети пациентов – остро, у 10% протекает бессимптомно.
Нарастание туберкулезной интоксикации при силикотуберкулезе сопровождается подъемом температуры тела, слабостью, ночной потливостью, ухудшением аппетита, потерей веса. Отмечается усиление одышки, появление кашля с мокротой слизисто-гнойного или гнойной характера. В отличие от неосложненного силикоза, при микст-инфекции чаще возникает кровохарканье. Больные силикотуберкулезом обычно выглядят на несколько лет старше своего паспортного возраста.
Патогномоничным признаком служат постоянные боли в груди, свидетельствующие о фибропластических процессах в париетальной плевре. При остром начале силикотуберкулеза часто ошибочно выставляется диагноз гриппа, пневмонии или абсцесса легких. Течение силикотуберкулеза нередко осложняется легочным кровотечением, спонтанным пневмотораксом, ателектазами легкого, эмфиземой, легочным сердцем. В поздних стадиях диагностируется сердечно-легочная недостаточность.
Диагностика
Все пациенты с установленным силикозом должны находиться на учете у профпатолога или пульмонолога; в случае присоединения туберкулезного процесса возникает необходимость в консультации пациента фтизиатром. Для диагностики силикотуберкулеза первостепенное значение имеет профессиональный контакт с кварцсодержащей пылью, а также фтизиатрический анамнез (перенесенных в прошлом туберкулез или контакт с бацилловыделителями). Подтверждающие методы:
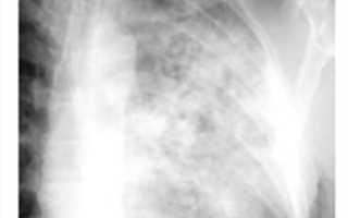
- Рентгенография легких. При силикотуберкулезе может отражать различную картину: на фоне диффузного крупно-сетчатого фиброза и типичных для силикоза симметричных узелковых высыпаний в средних и нижних долях появляются туберкулезные очаги, инфильтраты, силикотуберкуломы, каверны, преимущественно расположенные в верхушечных областях.
- Бронхоскопия. Помогает визуально определить пылевую пигментацию и признаки туберкулезного поражения слизистой бронхов. Достоверность диагноза подтверждается при обнаружении МБТ в мокроте или промывных водах бронхов.
- Специфические пробы и тесты. Важнейшим подтверждающим критерием силикотуберкулеза служат положительные туберкулиновые пробы, а также результаты иммунологических методов — квантиферонового теста, анализа T-SPOT.
Дифференциальную диагностику осуществляют с силикозом, саркоидозом, идиопатическим фиброзирующим альвеолитом, злокачественными опухолями легких. В сложных случаях диагноз устанавливается только после диагностической торакотомии или назначения пробного противотуберкулезного лечения.
Лечение силикотуберкулеза
Прогноз
Течение силикотуберкулеза большей частью неблагоприятное, заболевание влечет за собой инвалидизацию пациента. Прогноз заболевания зависит от стадии силикоза, формы туберкулеза, сопутствующих нарушений. Любые осложнения силикотуберкулеза являются факторами, отягощающими прогноз. Все больные силикозом должны получать противотуберкулезную химиопрофилактику.
Заболевание группы пневмомикозов, развивающееся при длительном вдыхании кварцевой пыли, которое осложняется туберкулезом. Когда туберкулезная инфекция активируется, течение силикоза ухудшается. Наблюдаются высокая температура, нарастающая интоксикация, одышка, кашель с гнойной мокротой, кровохарканье и похудение. Для установления и подтверждения диагноза, доктор собирает анамнестическую информацию, анализирует клинические проявления, проводит физикальный осмотр и направляет больного на дополнительные обследования. В рамках диагностики могут выполнять рентгенографию, туберкулиновые пробы, бронхоскопию, мультиспиральную компьютерную томографию. Пациенту назначают курс противотуберкулезных препаратов – изониазида, рифампицина, пиразинамида и этамбутола. Лекарства могут вводить внутривенно, внутриплеврально и аэрозольно. Медикаментозную схему могут дополнять глюкокортикоидами, бронхолитиками, актиоксидантами и антигипоксантами. Нередко применяют оксигенотерапию. Прогноз напрямую связан со стадией первичной болезни, формой туберкулеза и сопутствующими нарушениями. Недуг может протекать в форме силикотуберкулезного бронхоаденита, силикотуберкуломы, конгломеративного и деструктивного силикотуберкулеза, инфильтративного, очагового, кавернозного и диссеминированного туберкулеза легких.
Причины силикотуберкулеза
Заболевание развивается при реактивации старого туберкулезного очага или массивном повторном заражении пациента, страдающего силикозом. Вероятность образования недуга повышается при продолжительном контакте с кварцевой пылью, узелковом и интерстициальном силикозе средней степени, сниженном общем иммунитете, ослабленном специфическом противотуберкулезном иммунитете. В группу риска входят рабочие горнодобывающей, машиностроительной, судостроительной и металлургической промышленностей.
Симптомы силикотуберкулеза
Когда силикоз осложняется туберкулезной инфекцией его течение резко ухудшается. Наблюдается постепенно нарастающая симптоматика. В некоторых случаях патология имеет латентное течение. Признаками недуга являются: высокая температура, слабость, повышенное потоотделение в ночные часы, плохой аппетит, снижение массы тела. Как правило, усиливается одышка и возникает кашель с гнойной мокротой. Возможно развитие кровохарканья. Кроме того заболевание проявляется постоянными болями в области грудной клетки. Болезнь могут ошибочно диагностировать как грипп, пневмонию или абсцесс легких. Возможны такие осложнения как: легочное кровотечение, спонтанный пневмоторакс, ателектазы легкого, эмфизема, легочное сердце. На последних стадиях характерно нарастание сердечно-легочной недостаточности.
Диагностика силикотуберкулеза
Пациенту необходима консультация специалистов пульмонологического, профпатологического и фтизиатрического профилей. Для установления и подтверждения диагноза, доктор собирает анамнестическую информацию, анализирует клинические проявления, проводит физикальный осмотр и направляет больного на дополнительные обследования. В рамках диагностики могут выполнять рентгенографию, туберкулиновые пробы, бронхоскопию, мультиспиральную компьютерную томографию. Недуг дифференцируют от силикоза, саркоидоза, идиопатического фиброзирующего альвеолита, злокачественных новообразований легких. В некоторых случаях проводят диагностическую торакотомию.
Лечение силикотуберкулеза
Пациенту назначают курс туберкулостатических препаратов – изониазида, рифампицина, пиразинамида и этамбутола. Как правило, необходим более длительный курс химиотерапии, чем при обычном туберкулезе. Лекарства могут вводить внутривенно, внутриплеврально и аэрозольно. Медикаментозную схему могут дополнять глюкокортикоидами (преднизолон), бронхолитиками, актиоксидантами и антигипоксантами. Нередко применяют оксигенотерапию. По показаниям возможно оперативное вмешательство. Дополнительно врачи корректируют сердечно-легочную недостаточность.
Профилактика силикотуберкулеза
Пациентам, страдающим силикозом, назначают профилактический курс противотуберкулезных химиопрепаратов.
Читайте также:
