Пн-чт: 08:00—17:00 (перерыв 12:00—13:00); пт: 08:00—15:45 (перерыв 12:00—13:00)
whatsapp telegram vkontakte email

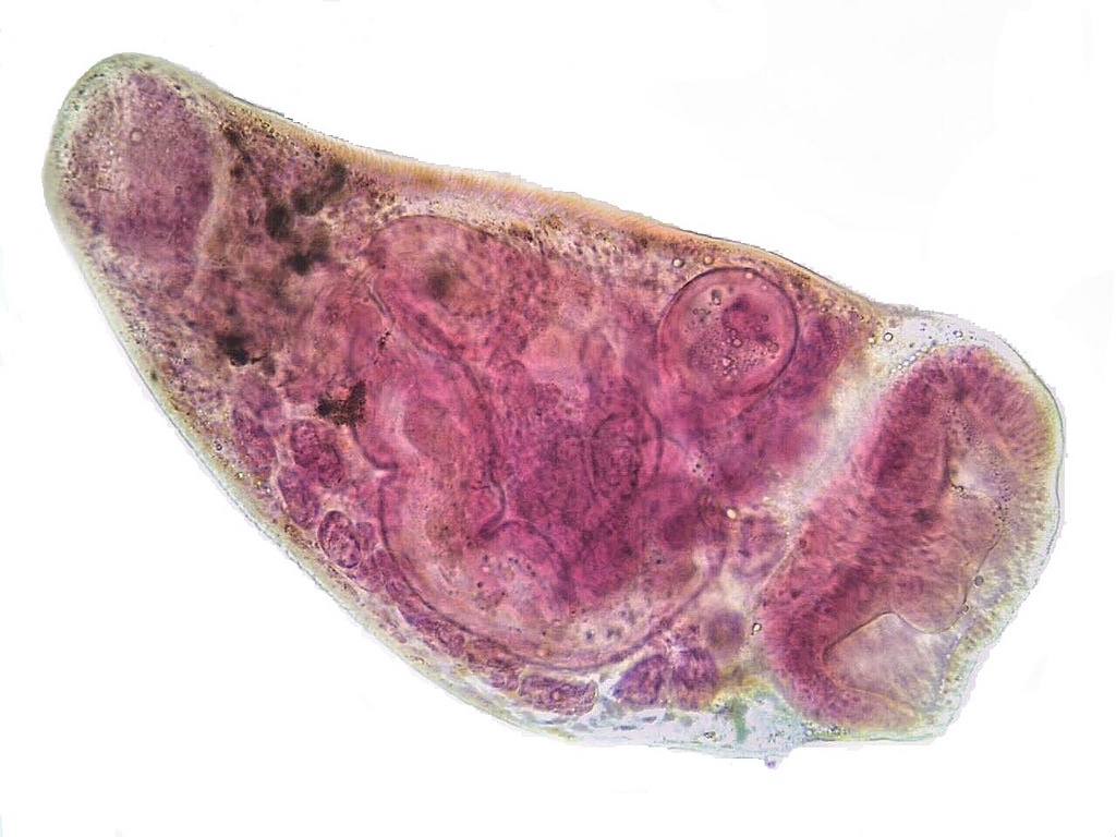
Особенности строения связанные с паразитическим образом жизни печеночного сосальщика

Класс Сосальщики Trematoda. Класс Сосальщики включает около 4000 видов. Все они паразиты. Форма тела большинства сосальщиков листовидная. В процессе адаптации к паразитизму выработались мощные присоски — органы прикрепления. Многие сосальщики, кроме того, имеют мелкие шипики, покрывающие все тело и облегчающие им прикрепление к хозяину. Мелкие виды имеют пищеварительную систему в форме мешка или двух слепо замкнутых каналов. У крупных видов пищеварительная система сильно разветвлена и наряду с собственно пищеварением выполняет также транспортную функцию, перераспределяя по организму продукты пищеварения. В остальном сосальщики повторяют организацию плоских червей.

Сосальщики резко обособлены от других плоских червей своеобразием жизненного цикла, в котором имеет место закономерное чередование поколений, способов размножения и хозяев (рис. 20.2). Половозрелая стадия всегда паразитирует в организме позвоночных животных. Выделяемое яйцо для успешного развития обычно должно попасть в воду. Из него выходит личинка — мирацидий, — снабженная светочувствительными глазками и ресничками, с помощью которых она свободно перемещается. Личинка обычно способна активно отыскивать промежуточных хозяев, используя фото-, гео- и хемотаксис.

Мирадиции попадают в организм брюхоногого моллюска определенного вида, строго специфичного для данного сосальщика. Здесь личинка превращается в материнскую спороцисту — стадию, претерпевшую в связи с паразитизмом наиболее глубокую дегенерацию. В ней развиты почти исключительно органы женской половой системы, благодаря которым она размножается партеногенетически. В результате этого образуются многоклеточные редии, которые также способны к партеногенезу. Таким образом, возможно формирование нескольких поколений редий. Последнее из них генерирует церкариев, покидающих организм моллюска и свободно плавающих в поисках основного ил В первом случае церкарий либо самостоятельно внедряются в кожу хозяина, либо, инцистируясь на растениях, оказываются проглоченными травоядными животными или человеком. Во втором случае церкарий отыскивают животных, использующихся основными хозяевами для питания, и образуют в них покоящиеся стадии — инцистированные метацеркарий. Церкарий в отличие от мирацидиев не обладают хемотаксисом, а использование только гео- и фототаксиса, а также инцистирование на траве не позволяют им находить специфичных хозяев. Поэтому основная масса церкариев погибает либо не найдя хозяев вообще, либо попав в организмы таких видов, развитие в которых невозможно. После проникновения инвазионных стадий сосальщиков в основного хозяина они мигрируют у него в организме и находят тот орган, где достигнут половой зрелости и будут обитать всю последующую жизнь.

Отсутствие свободноживущих видов в классе Сосальщики на фоне общего примитивизма их организации, сложный цикл развития, в котором участвуют специфические промежуточные и основные хозяева, огромная плодовитость, достигающаяся разными способами размножения, и сохранившаяся связь с водной средой обитания свидетельствуют о древности паразитического образа жизни этих организмов. Среди хозяев сосальщиков наиболее специфичными являются именно моллюски: для каждого вида паразита, обитающего на стадии мариты нередко у нескольких видов основных хозяев, первым промежуточным хозяином практически всегда является только один вид улиток.

Это означает, что на протяжении эволюции между сосальщиками и моллюсками возникли наиболее совершенные взаимные адаптации. Моллюски были, вероятно, первыми и единственными хозяевами сосальщиков еще в период, предшествующий возникновению позвоночных. Об этом свидетельствует также сохранившийся в цикле развития сосальщиков партеногенез — рудиментарная форма полового размножения, — проходящий именно в организме моллюсков. Наряду с этими чертами в цикле развития имеются такие признаки, которые указывают на рекапитуляции свободного образа жизни: обязательный выход яиц во внешнюю среду и наличие активно плавающих расселительных стадий с органами чувств — мирацидиев и церкарий.и второго промежуточного хозяина.

Печеночный сосальщик Fasciola hepatica (рис. 20.3) — возбудитель фасциолеза. Тело паразита листовидное, передний конец клювообразно оттянут. Матка невелика и розеткой располагается позади брюшной присоски. Кзади от матки находятся сильно разветвленные семенники, яичники, желточники и ветви кишечника. Яйца крупные, желтовато-коричневого цвета. Фасциолез встречается чаще в странах с теплым влажным климатом.

Schistosoma haematobium — возбудитель мочеполового шистосоматоза. Самец длиной до 1,5, а самка — до 2,0 см. Поверхность тела мелкобугристая. Яйца очень крупные, размером до 0,16 мм; на конце находится длинный шип.

Schistosoma japonicum — возбудитель японского шистосоматоза. Этот паразит по размерам не отличается от Sch. haematobium, но поверхность его тела совершенно гладкая. Яйца более округлые, чем у описанных видов, а шип, расположенный на боковой поверхности, имеет очень малые размеры.

Кошачий сосальщик Opisthorchisfelineus — возбудитель описторхоза. Длина тела до 13 мм. Характерная особенность—два хорошо окрашивающихся лопастевидных семенника на заднем конце тела. Яйца длиной 26—30 мкм, с крышечкой

Легочный сосальщик Paragonimus westermani— наиболее часто встречающийся возбудитель парагонимоза. Кроме него известно еще пять видов сосальщиков, чаще паразитирующих у животных, но поражающих также и человека. Легочные сосальщики имеют необычную для сосальщиков форму тела: они напоминают семя апельсина и имеют размеры до 12 мм. Яйца до 0,118 мм длиной

Не нашли то, что искали? Воспользуйтесь поиском:

image

Последнее обновление — 17 февраля 2020 в 22:37

Время на чтение: 5 мин

Сосальщик печеночный – паразит, обладающий листовидным телом. Гельминт поселяется в органах животных и людей, куда попадает с загрязненной водой, Взрослая особь, которую еще называют двуусткой кошачьей, вырастает в длину до 5 см. Любимое место обитания печеночного сосальщика – поджелудочная и самая большая железа организма хозяина, черви закрепляются к стенкам желчных протоков специальными присосками.

Размножение паразита

Гельминты часто меняют хозяев, что защищает особи от гибели, вызывают у человека фасциолез, при котором нарушаются метаболические процессы, изменяется состав крови. Органы чувств у печеночного сосальщика отличаются простотой, поскольку двуустка ведет паразитический образ жизни.

Яйца гельминта из кишечника животного или человека направляются во внешнюю среду, в воде из них выползают личинки с ресничками, проникающие внутрь прудовика, где превращаются в спороцисту. В таком мешочке образуется несколько генераций зародышей, последние из которых обитают на дне пруда продолжительное время.

Внимание! Инфицирование гельминтами происходит, когда человек пьет грязную воду, употребляет сырую или сушеную рыбу, купается в озере или пруду.

Приспособленность к паразитизму

Заражение печеночным червем, питающимся тканями хозяина, происходит редко. Способствует выживанию плодовитость двуустки. Особи откладывают большое количество яиц путем бесполого размножения, у новых зародышей деление происходит неоднократно. Печеночный сосальщик приспосабливается к жизни благодаря присутствию:

  • большого количества элементов крепления;
  • кожного покрова, препятствующего перевариванию;
  • упрощенному строению органов чувств.

У паразита цикл развития связан с частой сменой хозяев, гермафродитной половой системой. Из яиц гельминта выходят личинки с глазком и выделительными органами.

Особенности тела и фиксации сосальщика

Молодое поколение двуустки кошачьей приспособлено к обитанию во внешней среде, взрослые особи комфортно себя чувствуют в желчных протоках животных и людей. Покровы тела печеночного сосальщика препятствуют растворению и перевариванию паразита желудочным соком хозяина, выделяют азот, обеспечивают газообмен.

image Особенности тела

В головной части тела червя находится удлиненный хоботок, 2 присоски – брюшная и ротовая, обладающие кольцевыми и радиальными мышцами. С их помощью особь закрепляется к стенкам органов, откладывает яйца, которые вместе с желчью отправляются в кишечник, а из него с каловыми массами выходят наружу.

Органы чувств у сосальщика печеночного

image

У личинок гельминтов, живущих в воде, присутствуют миниатюрные глазки с одной линзой и кожные рецепторы. У взрослых особей нет зрительного органа, ресничного эпителия, но иногда по бокам головной части тела формируются наросты. Эти придатки зоологи относят к органам чувств печеночного сосальщика.

Один из важных элементов нервной системы представляет собой окологлоточное кольцо, от которого отходят продолговатые крепкие стволы, разветвляющиеся на большое количество боковых отростков, идущих по телу гельминта. По сравнению с нервной системой органы чувств у сосальщика печеночного упрощены.

Кожно-мускульный мешок гельминта покрыт тегументом, складчатая поверхность которого обладает ребристой структурой. Тела клеток эпителия погружаются в паренхиму, соединяются с цитоплазматическим слоем при помощи тяжей. Кольцевые и продольные мышцы мешка сокращаются, и сосальщик передвигается.

Вследствие перекрестного оплодотворения, при котором двуустки соединяются парами, мужские яйцеклетки направляются в матку, где образуются яйца, покрытые плотной оболочкой. В женском органе кошачьей двуустки выживает большое количество яиц, паразиты очень плодовиты. Для сосальщика характерны 2 половые системы, мужскую представляют парные семенники, от которых отходит 2 семяпровода, направляющиеся в семяизвергательный канал.

Женская система состоит из и одного яичника с яйцеводом, впадающим в оотит. В нем открываются протоки, вырабатывающие желточные клетки, а также отходит канал, через который выводится лишняя сперма, поступающая из семяприемника. Если органы чувств у печёночного сосальщика простые, то женская половая система имеет сложное строение. Матка, набитая множеством яиц, заполняет большую часть паренхимы. Сперматозоиды проникают в вагину, попадают в оотит, затем направляются в семяприемник, где происходит оплодотворение.

Через кожные покровы круглый червь всасывает полезные компоненты из тела животного или человека. По сравнению с упрощенными органами чувств печеночного сосальщика пищеварительная система более развита. У гельминта есть и глотка, и 2 присоски, и кишки, что помогает паразиту лакомиться тканями и кровью своего хозяина.

Важно знать! Двуустка разрушает печень человека, иногда попадает в молочные железы, легкие доходит до мозга. Продолжительное присутствие червя в организме чревато снижением иммунитета, подверженность болезням.

Пищеварительная система печеночного сосальщика имеет 2 отдела, средний представляет собой кишку со слепыми отростками. Из глотки и пищевода состоит передний канал. Непереваренные остатки тканей теплокровного животного или человека поступают в ротовое или анальное отверстия, откуда выходят наружу.

Строение пищеварительной системы сосальщика печеночного помогает гельминту переваривать вещества внутри кишечника или всасывать питательные компоненты через покровы тела.

Для поддержания жизнедеятельности черви расщепляют гликоген паренхимы, в результате анаэробного обмена сложные соединения распадаются на простые компоненты. Мочевая кислота вызывает интоксикацию организма человека или животного. Выделительная система у печеночного сосальщика состоит из мелких канальцев, которые пронизывают все тело. Ток жидкости в них появляется вследствие мерцаний ресничек, что располагаются в полости. Главный крупный выделительный канал проходит посредине тела паразита.

image

В передней части располагается окологлоточное кольцо, откуда идут продольные нервные стволы, соединяющиеся поперечными перемычками. Их концы разветвляются и попадают в тегумент. В заднем участке тела сливаются 3 пары стволов, что выходят из мозгового ганглия. Нервная система сосальщика печеночного похожа на решетку и пролегает через все тело.

Пространство, которое остается между внутренними органами гельминта, заполняется соединительной тканью, состоящей из большого количества клеток. В паренхиме накапливаются питательные вещества, которые участвуют в обменных процессах паразита. У круглого червя нет кровеносных сосудов, дыхательной системы, но по всему телу проходят ветвистые каналы, заканчивающиеся в паренхиме клетками с ресничками. В протонефридиях, выполняющих функции органов выделения, располагаются отверстия, через которые у сосальщика происходит контакт с внешней средой.

Паразит размножается на каждой стадии своего развития. Личинки гельминта свободно плавают в воде, передвигаться им помогают реснички, глаза не дают затеряться в незнакомой среде. Взрослая особь крепится к желчным протокам, достает питательные вещества из тканей хозяина. Органы чувств у сосальщика печеночного, ведущего паразитическую жизнь, утрачивают свои функции.

При попадании в организм человека гельминт приспосабливается к новой среде до 2 месяцев, и признаки заражения не появляются. По истечении инкубационного периода у пациента:

  • растет температура:
  • чувствуется недомогание;
  • возникает тошнота.

В хронической стадии фасцилеоза увеличивается печень, повреждаются желчные пути. Отсутствие лечения болезни заканчивается циррозом или гепатитом.

Совет: Следите за своим здоровьем, вовремя обращайтесь к врачу и будьте здоровы!

Печёночный сосальщик (цикл развития)Печёночный сосальщик (цикл развития)

Наш организм является домом для множества других живых существ. И если лактобактерии, которые живут в нашем тонком кишечнике, приносят человеку пользу (участвуют в расщеплении сложных белков и даже синтезируют для нас некоторые витамины), то другие организмы могут стать совсем не желательными соседями. Именно к ним относятся дигенетические сосальщики, а попросту одна из разновидностей плоских червей. Многие из них вызывают довольно опасные заболевания – трематодозы, которые могут привести даже к летальному исходу. О дигенетических сосальщиках, как паразитах человека и домашних животных, и пойдет речь в этой статье.

Систематическое положение

Класс дигенетические сосальщики (Digenea) насчитывает около 7 тысяч видов и относится к типу плоских червей (Plathelminthes). В некоторых классификациях они относятся к одному из подклассов сосальщиков или трематод (Trematoda):

  • Моногенные сосальщики (Monogenea) – в основном наружные паразиты холоднокровных рыб, амфибий и рептилий.
  • Аспидогастреи (Aspidogastrea) – наружные или внутренние паразиты моллюсков.

image

Эти плоские черви хоть и ведут паразитический образ жизни, но развиваются без смены хозяев.

  • И, собственно, дигенетические сосальщики – внутренние паразиты (эндопаразиты) теплокровных животных и человека, которые являются для них окончательными хозяевами. То есть организмом, в котором паразит размножается половым путем.

Эндопаразиты и их хозяева

К классу дигенетических сосальщиков относятся кровяные, печеночные и легочные облигатные (обязательные) паразиты. Все они имеют сложные циклы развития с наличием стадии, которая развивается в промежуточном хозяине, и обязательное развитие в окончательном хозяине.

Отличительная черта строения дигенетических сосальщиков – плоское листовидное тело и наличие 2 или 3 присосок, которыми половозрелый паразит прикрепляется к тканям хозяина. Размеры паразитов варьируются от микроскопических до 30 миллиметров. Из известных более чем 4 тысяч видов дигенетических сосальщиков порядка 40 видов – это паразиты, окончательным хозяином которых могут быть домашние животные и человек.

Морфология и физиология

Особенности строения дигенетических сосальщиков связаны с их паразитическим образом жизни. Для половозрелой особи характерны следующие черты строения тела:

  • Как у всех плоских червей, у них отсутствует полость тела. Наружные покровы имеют сложное строение и называются тегументом. В его составе вещества, которые препятствуют воздействию на паразита желудочного сока хозяина.
  • Пищеварительная система начинается с ротового отверстия, где расположены кольцевые мышцы – присоски. Через глотку пища попадает в желудок, обычно разветвленный на 2 части. Анального отверстия нет.
  • Эти полостные паразиты не имеют органов дыхания и ведут анаэробный образ жизни. Эта особенность строения дигенетических сосальщиков связана с их эндопаразитизмом, хотя личиночные стадии некоторых имеют органы, обеспечивающие поступление кислорода.
  • Выделение продуктов метаболизма происходит посредством мерцательных клеток и заканчивается отверстиями на поверхности тела.
  • Нервная система и органы чувств не развиты или развиты слабо.
  • Половозрелые особи чаще гермафродиты, хотя встречаются и раздельнополые представители. Половая система – один яичник и два семенника.

Конечно, данная характеристика дигенетических сосальщиков кратко обрисовывает общую систему их организации.

Сложный жизненный цикл

В цикле развития дигенетических сосальщиков присутствует смена хозяев. Промежуточный хозяин – чаще моллюски, в теле которых личинка (мирацидий с ресничками) развивается и растет. В теле окончательного хозяина размножение дигенетических сосальщиков происходит половым путем. Оплодотворение может быть как перекрестным, так и самооплодотворение в случае гермафродитной взрослой особи.

Половозрелый паразит откладывает сотни тысяч яиц, которые попадают в водоем или на сушу. Из яйца выходит мирацидий, задача которого попасть в организм промежуточного хозяина. Заражение окончательного хозяина происходит при поедании зараженных животных (моллюсков или пресноводных рачков).

Печеночные сосальщики

Эти эндопаразиты живут в печени и желчных протоках. Из данной группы заслуживают характеристики дигенетические сосальщики 3 видов:

  • Печеночная двуустка (Fasciola hepatica) – вызывает заболевание человека фасциллез, характеризуемое печеночными коликами. Взрослые паразиты – гермафродиты, с мясистым листовидным телом, длина – до 3 см, ширина – 1,3 см. Яйца из печени по желчным протокам попадают в кишечник и затем в окружающую среду. Попав в пресный водоем, из яйца выходит мирацидий, который внедряется в тело улитки. После нескольких превращений тело улитки покидает хвостатая личинка – циркарий, который превращается в цисту (адолескарий – неподвижную форму, прикрепленную к водорослям) и способен долгое время сохранять свою жизнеспособность. Человек и животные заражаются, выпив воду с адолескариями или съев траву с ними.
  • Китайский печеночный сосальщик (Clonorchis sinensis) – вызывает клонорхоз со сходными с фасциллезом симптомами. Жизненный цикл этого паразита схож с печеночным сосальщиком, но тут присутствует два промежуточных хозяина – улитка и рыба, в теле которых церкарий превращается в цисту. Человек и животные заражаются, употребив в пищу зараженную рыбу.
  • Двуустка кошачья (Opisthorchis felineus) – вызывает заболевание описторхоз. Две трети случаев заражения этим паразитом приходится на жителей России. Именно поэтому об этих трематодах дадим более подробную информацию.

Обитатель рек Сибири

Кошачью двуустку называют еще сибирской, так как проблема описторхоза особенно актуальна для Западной и Восточной Сибири и Приднепровья. Этот печеночный паразит может жить в поджелудочной железе и печени кошек, собак и человека, которые и становятся окончательными хозяевами. В жизненном цикле кошачей двуустки два промежуточных хозяина – улитки и рыба (карп, карась, плотва, линь, чебак, лещ, жерех). Жизненный цикл и стадии развития аналогичны всем печеночным сосальщикам.

Заражение человека происходит при употреблении в пищу малосоленой, недостаточно термически обработанной рыбы. Кроме того, при использовании ножа, разделочных досок при очистке и разделке речной рыбы церкарии остаются на предметах и могут быть занесены на другие продукты питания и послужить источником заражения. Удивительно, но продолжительность жизни этого взрослого паразита может достигать 15-25 лет.

Кровяные сосальщики

Эти паразиты называются шистосомами и вызывают заболевание шистосоматоз. Представители дигенетических сосальщиков, которые паразитируют в кровяном русле:

  • Schistosoma haematobium и Schistosoma mansoni – распространены в Африке.
  • Schistosoma japonicum – распространены в Японии, Тайвани и Филиппинах.

Промежуточный хозяин – улитки. Церкарий проникает через кожные покровы в кровяное русло основного хозяина, мигрируют в вены брюшной полости, там раздельнополые паразиты размножаются половым путем, а яйца откладывают либо в кишечник (болезнь Мансона и Катаямы), либо в мочевой пузырь (египетская гематурия).

Легочные сосальщики

Это представители рода Paragonimus, а болезни – парагонимозы. Возбудителей более 10 видов, которые встречаются на Дальнем Востоке, Китае, Филиппинах, Африке и Центральной и Южной Америке.

Промежуточных хозяев два – моллюск и ракообразные (раки и крабы). Окончательный хозяин – теплокровные животные и люди, которые съели зараженных ракообразных. В теле окончательного хозяина трематоды локализуются в бронхах, где образуют фиброзные капсулы. Могут мигрировать в легкие и даже в головной мозг.

Биологическая устойчивость трематод

Такие сложные жизненные циклы приводят к массовой гибели личинок. Кроме того, четкая избирательность в выборе промежуточного хозяина, а иногда и двух, также не способствует биологическому прогрессу вида. Однако узкая специализация и деградирование некоторых жизненных функций, длительная устойчивость личиночных стадий и цист во внешней среде и в большинстве довольно долгий срок жизни паразита поддерживают эволюцию трематод уже миллионы лет. Кроме того, взрослая особь трематоды продуцирует сотни тысяч яиц. Именно такая высокая плодовитость сохраняет этих паразитов как биологический вид.

Симптоматика заражения трематодами

Организм основного хозяина реагирует на заражение паразитами интоксикацией на яды, выделяемые червями и аллергическими реакциями на их токсины. Стоит посетить врача, если появляется хотя бы один симптом из перечисленных:

  • Общий упадок сил, слабость и сонливость без видимых физических нагрузок.
  • Повышение температуры тела на протяжении длительного периода.
  • Появление аллергических реакций – крапивницы или зуда.
  • Увеличение печени, селезенки и болезненные ощущения в брюшной полости.
  • Длительные расстройства желудочно-кишечного тракта.
  • Желтушность кожи и потеря веса.

Инкубационный период большинства трематодозов составляет 90-120 дней с момента заражения. И именно такой период необходимо проанализировать для выявления путей заражения паразитами.

Диагностика и лечение трематодозов

Основной метод диагностики – изучение каловых масс на присутствие яиц трематод. Кроме того, может быть проведен общий биохимический анализ крови на присутствие печеночных ферментов. Для диагностики легочных сосальщиков проводят рентген легких и анализ мокроты. Если существует подозрение на шистомоз, назначают анализ мочи, где по выявленным яйцам диагностируется тип сосальщика.

Своевременное лечение не даст развиться хроническим формам гельминтозов. В лечении основное направление – применение антипаразитарных препаратов в зависимости от вида возбудителя. При описторхозе применяют «Празиквантел», «Цезол», «Дронит». При клонорхозе – «Акрихин». Для лечения фасциллеза используется «Хлоксил», а при парагонимозе – «Бильтрицид».

После дегельминтизации обязательна восстановительная и реабилитационная терапия в зависимости от степени и локализации пораженных органов. Однако стоит помнить, что лекарства должен подбирать исключительно врач. Самолечение в данном случае может не только не дать результата, но и привести к самым негативным последствиям. Трематоды – это опасные паразиты, и важно вовремя обнаружить их присутствие и начать своевременное и адекватное лечение.

Что советует народная медицина

В народной практике имеется несколько рецептов борьбы с трематодами. Но подходить к их применению необходимо осторожно, так как большинство из них основано на природных ядах, которые при неосторожном употреблении могут привести к отравлению. Кроме того, перед применением народных средств необходимо проконсультироваться с врачом.

Для избавления от этих паразитов народная медицина советует принимать полынь в виде настойки, которая продается в аптеках. Принимать ее следует 3 раза в день по чайной ложке. Сочетать с принятием слабительных средств.

Еще одно эффективное средство – сухие семена кориандра. Принимают их 8 дней по схеме – 0,5 грамм в первый день, 1 грамм – на второй, и по 1,5 грамм – остальные дни. По такой же схеме можно принимать и сухие цветы черной гвоздики.

Автор статьи Азбукина Н.В.

Класс Сосальщики (Trematoda).

Жизненный цикл печеночного сосальщика

Важно помнить, что не все сосальщики являются гермафродитами. Например кровяная двуустка – это раздельнополый организм, другое его название – шистосома. Этот паразит распространен в тропических странах, взрослая особи (по-другому – марита), раздельнополы, живут вместе. Более крупный самец держит самку у себя на брюшном желобке. Паразитируют в крупных венах, выделяя каждые 10 мин яйцо с шипами в кровоток. Яйца повреждают стенку мочевого пузыря и выходят вместе с мочой. Также яйца могут застрять в мелком сосуде, тогда они вызывают кровоизлияния и нарывы и выходят наружу вместе с гноем. Это очень трудноизлечимое заболевание, в мире им болеет примерно 200 млн человек.

Самец (крупный) и самка (мелкая) шистосомы

Жизненный цикл шистосомы

Класс ленточные черви (Cestoda).

Именно этих червей и называют в обиходе глистами и гельминтами. Также взрослые особи этих червей встречаются в основном поодиночке в организме хозяина, поэтому их называют солитерами (от фр. le solitaire — одинокий). Тело состоит из трех типов члеников: головки (сколекса), на котором расположены присоски или крючья. По наличию крючьев этих червей разделяют на вооруженных и не вооруженных, например, бычий цепень – невооруженный, а свиной – вооруженный. Затем идет шейка и длинное тело, состоящее из члеников – проглоттидов. Каждый членик – гермафродитный, но имеет разную степень развития женской и мужской половых систем. После того как произойдет оплодотворение и членик наполнится яйцами, он оторвется и будет выведен через заднюю кишку хозяина. Длина тела солитеров может достигать 30м. Основным хозяином цепней является человек, а промежуточным – крупный рогатый скот или свиньи. Из яйца выходит онкосфера – личинка с крючьями, она пробуравливает стенку кишечника, попадает в кровоток и оседает в печени, мышцах, мозгах. Затем онкосфера окружается пузырьком, становится финной. В таком состоянии человек и заражается ими, если употребит плохо прожаренное мясо. Стоит отметить, что свиной цепень более опасен для человека не только потому, что он вооруженный, но и потому, что яйца могут развиваться и в организма человека, если попадут через ротовое отверстие в кишечник (это связано с тем, что человек и свинья имеют сходные физиологические и биохимические особенности), и онкосферы могут осесть в мышцах и головном мозге, что очень опасно.

Еще одним опасным ленточным червем является эхинококк. Он мелкий, размером всего 5 мм. Основным хозяином являются псовые, а промежуточным – человек и крупный рогатый скот. Финны эхтнококка образуют большие пузыри, в которых образуются дочерние, как матрешка. Обычно финны оседают в печени, в более тяжелом случае – в мозге человека. Обычно их удаляют операционным путем. От хирурга требуется большое мастерство, так как если задеть этот пузырек, то финны разнесутся по всему организму и осядут в разных органах.

Жизненный цикл эхинококка

Следующий представитель ленточных червей обитает в тонкой кишке человека (окончательный хозяин), вызывает дифиллоботриоз, сопровождающийся болями в животе, анемией. Заражение происходит при употреблении рыбы, не прошедшей термическую обработку, а также сырой щучьей икры. Яйца, попадая в водоем, сохраняют жизнеспособность до 6 месяцев. Для развития ресничная личинка, вылупляющаяся из яйца должна быть проглочена водным рачком циклопом. В циклопе она трансформируется в процеркоида. Когда циклопа съедает рыба, паразит оседает у нее в мышцах и превращается в плероцеркоида, имеющего сколекс для прикрепления. Затем при плохой термической обработке рыбы паразит может попасть в кишечник человека, где трансформируется в половозрелую особь.

Жизненный цикл широкого лентеца

Класс Моногенеи (Monogenea)

Это плоские черви, имеющие на заднем конце тела прикрепительный диск – гаптор. Обычно обитают на коже и жабрах рыб и земноводных. Имеют присоски на переднем конце тела, которыми прикрепляются к хозяину во время питания. Жизненный цикл без смены хозяев, расселительная стадия – реснитчатая личинка онкомирацидий. Могут вызывать массовую гибель рыб, например, от удушья, когда они сотнями поселяются на жабрах. Интересным представителем является Monogenea gyrodactilys, которая представляет собой настоящую матрешку: внутри взрослой особи есть яйцо с эмбрионом, внутри которого развивается еще одно яйцо!

Класс Цестодообразные (Cestodaria)

Раньше представителей этого класс объединяли с цестодами (у них также отсутсвует пищеварительная система), однако впоследствии их выделили в отдельный класс, так как они имеют нерасчлененное тело, единичную половую систему, личинка имеет 10 крючков, а не 6, как у онкосферы цестод. Паразитируют на остеровых рыбах и химерах.

Читайте также:

Ссылка на основную публикацию
Похожее