Пн-чт: 08:00—17:00 (перерыв 12:00—13:00); пт: 08:00—15:45 (перерыв 12:00—13:00)
whatsapp telegram vkontakte email

Куда госпитализировать туберкулезных больных с нетуберкулезной патологией

В этой статье мы поговорим о том, когда необходима госпитализация при туберкулезе, в том числе принудительная, а также о том, как именно лечат это заболевание в стационаре.

image

Когда необходима госпитализация

Госпитализация больного с опаснейшим заболеванием туберкулезом в Российской Федерации осуществляется в следующих случаях:

  • больные с первичной формой туберкулеза (при рецидивах и обострениях);
  • пациенты из населенных пунктов в которых нет возможности оказывать амбулаторное лечение;
  • люди с сопутствующими патологиями в тяжелой форме;
  • при наличии факторов различного характера, когда обязательной является дифференциальная диагностика и прочие продолжительные и специфические обследования;
  • призывники по направлению военно-призывной комиссии;
  • когда нужно постоянное (24-часовое) медицинское наблюдение;
  • по эпидемиологическим показаниям (очаги воспаления первой и второй группы);
  • если существует риск летального исхода.

Самой распространенной формой легочного воспаления является инфильтративный туберкулез. Он наблюдается в 80% случаев. Лечат недуг комплексно: медикаментозное лечение, каждый день необходима лечебная физкультура, физиотерапия и правильное питание больных туберкулезом. При тяжелой форме заболевания бывает необходимо хирургическое вмешательство. Сколько дней больной туберкулезом должен принимать препараты точно не известно (лечение может затянуться от 3 месяцев до полугода и дольше). Поэтому, вопрос о том, сколько времени понадобится пациенту принимать медикаменты, решает только фтизиатр по ходу лечения.

image

Принудительная госпитализация

Принудительная госпитализация больных туберкулезом применяется согласно Федеральному Закону к пациентам:

  • с открытыми формами заболевания, которые многократно нарушали стационарный порядок;
  • которые умышленно уклоняются от диагностики и лечения недуга.

По решению суда такие больные обязаны отправится в стационар для лечения туберкулеза в принудительном порядке.

Представьте ситуацию, часть больных с открытой формой отказалась ложиться в больницу. В день один инфицированный может заразить около 20 человек. Заболевание начнет активно распространяться. Именно поэтому в некоторых случаях нужна принудительная госпитализация.

Решение принимается судом по месту нахождения туберкулезного диспансера, в котором больной стоит на учете. Заявление о госпитализации подается в суд руководителем диспансера. У пациента есть права и обязанности и он может отказаться от госпитализации при туберкулезе. Однако еси патология заразна, а человек отказывается ее лечить и госпитализироваться, то после решения суда это будет сделано насильно.

Принудительное лечение туберкулеза. Утро с Губернией. GuberniaTVПринудительное лечение туберкулеза. Утро с Губернией. GuberniaTV

Диагностика

Для того чтобы установить диагноз и назначить эффективное лечение необходим сбор мокроты на туберкулез и другие методы диагностики. Правила сборы мокроты следующие:

  • собирается в специальной комнате с хорошей вентиляционной системой;
  • сбор обязательно осуществляется с открытыми окнами — если отсутствует специальная комната, его осуществляют на открытом воздухе;
  • вход в комнату посторонним лицам строго запрещен, медицинские работники должны заходить в помещение только с респиратором — это необходимо, чтобы не заболеть туберкулезом;
  • до отправки анализа в клиническую лабораторию, его необходимо хранить в специальной холодильной камере — срок хранения составляет неделю.

image

Лечение в стационаре

Правовой статус гражданина диктует: лечение туберкулеза гарантируется и происходит в соответствии со всеми принципами законности, с соблюдением всех прав, бесплатности и общедоступности. Туберкулезные диспансеры в обязательном порядке должны иметь соответствующие лицензии.

Инфицированные туберкулезной палочкой с асоциальным поведением не могут проходить лечение туберкулеза в стационаре долго. Отказываются от госпитализации, нарушают режим туберкулезного учреждения, покидают диспансер на продолжительный срок. Последствием этого может стать приобретение устойчивости микробов-возбудителей к лекарственным препаратам. Именно поэтому существует дневной стационар.

Цели лечения в стационаре

Задача интенсивного лечения в следующем:

  • устранить проявления признаков болезни;
  • не дать бактериям-возбудителям распространяться по организму и размножаться (это способствует приостановлению выделения бактерий в окружающую среду);
  • предотвратить развитие устойчивости к лекарственным препаратам;
  • устранить или уменьшить возможность развития воспаления в инфицированном органе;
  • исключить возможные деформации в тканях.

Госпитализация может быть также элементом подготовки к операционному вмешательству. К моменту ее завершения специалист определится с необходимостью и возможностью операции.

Наблюдение в туберкулезном диспансере предусматривает следующее:

  • полная изоляция;
  • контроль специалиста при лечении;
  • регулировка применения противотуберкулезных средств в зависимости от реакции организма;
  • здоровый полноценный рацион;
  • соблюдение строго режима;
  • соблюдение всех рекомендаций и назначений специалиста.

Эффективным лечение будет тогда, когда пациент будет получать следующее:

  • индивидуальный подход;
  • комплексность применения лекарственных средств (необходимым количеством считается минимум четыре препарата);
  • комбинированность терапии, которая сочетает в себя сразу несколько методик;
  • непрерывность;
  • продолжительность;
  • поэтапность;
  • постоянный контроль и уход за больными.

Сколько лечится туберкулез

Современная медицина смогла добиться более быстрого процесса лечения туберкулеза легких и других органов. Именно поэтому продолжительность лечения туберкулеза легких в стационаре сократилось до 2-3 месяцев в период интенсивной терапии. Сроки доведения курса до конца при амбулаторном лечении составляют полгода и больше.

Методы

Основным методом лечения госпитализированного является химиотерапия. Она состоит из целого комплекса препаратов:

  • рифампицин (R);
  • пиразинамид (Z);
  • изониазид (H);
  • стрептомицин (S);
  • этамбутол (Е).

image

Если создать правильный курс приема медикаментов, то через несколько недель больной перестает распространять инфекцию и становится безопасным для окружающих людей. Наступает стабильное состояние, но даже если пришла ремиссия, прекращать химиотерапию нельзя. Иначе это может вызвать устойчивость недуга.

Каждый больной, кто лежал в туберкулезном диспансере подтвердит, что круглосуточный стационар оказывает благоприятное воздействие на ход заболевания.

Важно помнить, что недуг излечим. Чем раньше вы начнете терапию, тем проще будет избавиться от инфекции. Лечение лучше проходит под наблюдением высококвалифицированных специалистов. Под их строгим контролем эффективность возрастает в разы.

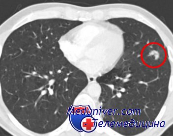
Весьма актуальной является задача организации дальнейшего медицинского обслуживания больных с нетуберкулезной патологией, выявляемых в результате комплексного дифференциально-диагностического обследования туберкулезными учреждениями. Наиболее сложной является организация лечения больных с опухолями легких и хроническими воспалительными заболеваниями. Здесь существуют самые разноречивые мнения.

Одни высказываются за передачу наблюдения и лечения больных с неспецифическими воспалительными заболеваниями легких противотуберкулезному диспансеру, другие придерживаются диаметрально противоположной позиции, предлагая передавать всех больных с нетуберкулезной патологией в ведение поликлиник. Мы считаем, что тесный и деловой контакт флюорографической службы и туберкулезных учреждений позволит увеличить процент больных, выявляемых Бранней стадии заболевания.

В Центральной туберкулезной больнице за последние 5 лет прооперировано 174 больных но поводу рака и 128—по поводу хронических неспецифических пневмоний, абсцессов и ограниченных бронхоэктазов. При злокачественных заболеваниях 95% оперированных выписано в удовлетворительном состоянии; при неспецифических воспалительных заболеваниях легких— 96%.

image

Активная хирургическая деятельность по лечению хронических неспецифических воспалительных заболеваний легких и рака легкого у больных, находящихся в туберкулезных стационарах, по нашим данным, ни в коей мере не снизила активности в хирургическом лечении больных туберкулезом.

Пневмоперитонеум, как метод профилактики некоторых послеоперационных осложнений и рецидивов, после частичных резекций легкого у больных туберкулезом, по предложению академика АМН СССР проф. Л. К. Богуша, применяется нами с 1962 года. За 10 лет пневмоперитонеум применен в 452 случаях, в том числе у 324 больных с распространенными формами туберкулеза легких, которым произведена частичная резекция легкого.

Работая в условиях Андижанской области (УзССР), где больные с распространенными формами составляли около 30% всех контингентов туберкулезных больных, мы столкнулись с необходимостью применять хирургическое лечение у больных с распространенными процессами. Из 986 резекций, произведенных за 10 лет в хирургическом отделении, 56% операций произведено у больных с распространенным туберкулезом.

Под подозрением в туберкулезе

Использование властью инструментов принуждения никогда не вызывает особого восторга, и медицина в этом плане не исключение. Поэтому вокруг разъяснений Верховного суда касательно принудительного лечения лиц, больных туберкулезом, также поднялся не всегда адекватный информационный шум. Однако на деле не всё так страшно; более того, одобренные ВС меры помогут бороться с заболеванием, которое, увы, вновь становится частым гостем в российских городах.

Применение судебной недобровольной процедуры в отношении третьей категории лиц (без диагностированного туберкулеза) вызывает острые дискуссии в обществе.

Принудительная госпитализация для лечения — серьезное действие, и поэтому для него должно быть веское основание медицинского характера, подчеркнул президент Лиги защитников пациентов Александр Саверский. По его мнению, госпитализировать людей без подтвержденного диагноза недопустимо.

— Для госпитализации в любом случае должны быть определенные основания медицинского характера. Просто так, на основании какого-то подозрения, госпитализировать человека, конечно, нельзя! И отказ от прохождения медицинского обследования на ту или иную болезнь не может считаться достаточным медицинским основанием, — считает Александр Саверский.

Сложность правоприменительной практики заключается в отсутствии ясности, что считать обоснованным подозрением в заболевании человека туберкулезом.

Злостные уклонисты и нарушители

Еще несколько важных пояснений касаются соблюдения врачебной тайны и безопасности для участников судопроизводства. Судебные слушания должны быть закрытыми. Чтобы обезопасить свидетелей, представителей инстанций и суда, в процессе можно использовать средства видеоконференции. С той же целью допускается организация выездных судебных заседаний в соответствующих медицинских организациях при условии соблюдения безопасности нахождения судьи, секретаря судебного заседания и других участников разбирательства. В случае неявки лица без уважительной причины на заседание, где решается вопрос о госпитализации и обследовании, возможно рассмотрение дела в его отсутствие.

Пленум указал, что во время разбирательства суды должны оценивать историю болезни, заключения комиссий врачей медицинской противотуберкулезной организации (диспансера).

Суды также обязаны установить срок, в течение которого может осуществляться госпитализация. В этом вопросе судья должен опираться на консультацию специалиста. Длительность госпитализации исчисляется с момента помещения в стационар. Если позже становится очевидно, что срок лечения недостаточен, медучреждение может обратиться с иском в суд повторно.

Расходы, связанные с недобровольной госпитализацией (судебные, медицинские и иные) могут быть взысканы с ответчика (больного туберкулезом), если он не освобожден от их уплаты по закону.

Первоначально в проекте постановления разрешались и вопросы уплаты госпошлины, но от этого разъяснения в итоге отказались.

— Участники группы согласились с позицией о том, что данный вопрос нуждается в прямом законодательном решении, — сообщила судья Верховного суда Ольга Николаева.

Так ли страшен большой

Носители скрытой формы туберкулеза, как правило, сами достаточно устойчивы к заболеванию и опасности для общества не представляют, рассказал заместитель директора по науке Центрального НИИ туберкулеза (ЦНИИТ) Владимир Еремеев.

— Существует понятие латентного туберкулеза, и, в принципе, такие люди достаточно устойчивы к заболеванию — открытой формой заболевают от 5% до 10% из числа инфицированных. Поэтому профилактическое лечение латентных форм туберкулеза в России непопулярно — это в большей степени характерно для стран с более высокой эпидемиологической нагрузкой,— подчеркнул он.

Ученый напомнил также, что в России проводится обязательный скрининг на выявление заболевания, в частности, среди школьников. В отдельных регионах, труднодоступных местностях заболевших может быть больше, но в целом по стране ситуация не вызывает опасений, добавил он.

— Больной латентной формой туберкулеза не опасен для окружающих. До тех пор, пока болезнь не перешла в активную форму. Есть лишь вероятность, что один из десяти, находящихся в группе риска, в течение жизни может заболеть, — отметил Владимир Еремеев.

Совсем недавно, в ноябре, на Камчатке судебным приставам пришлось исполнять решение суда о принудительном доставлении в медицинский стационар 38-летнего местного жителя, отца троих детей. Мужчина болен туберкулезом, но отказывается лечиться.

Противотуберкулезный диспансер является учреждением закрытого типа. На первичный прием в диспансер направляются:

  • 1) больные туберкулезом и лица, подозрительные на заболевание туберкулезом, из поликлиник и больниц, медико-санитарных частей и здравпунктов, учебных заведений и детских учреждений, военкомата;
  • 2) больные туберкулезом и подозрительные на туберкулез, выявляемые при массовых осмотрах населения;
  • 3) лица, имеющие контакт с бактериовыделителями.

Для эффективности работы диспансера важное значение имеет правильная организация отбора лиц, направляемых в диспансер из общих лечебных учреждений, а также четкое заполнение медицинского документа, с которым эти лица приходят в диспансер. В этой выписке должны быть указаны дата и характер начала заболевания основные жалобы и симптомы, результаты физикального исследования. Хорошо организованные поликлиники и больницы производят до направления в диспансер рентгенологическое и лабораторное исследование, сообщают данные анализов мокроты, крови и мочи, а при направлении детей и подростков — также результаты биологических проб и сведения о вакцинации и ревакцинации.

  • 1) иногда в больнице или поликлинике врачу удается распознать наличие туберкулезного заболевания, в таких случаях больной направляется в диспансер для взятия на учет и лечения;
  • 2) в большинстве случаев врач поликлиники (больницы) высказывает лишь подозрение на туберкулез, а уточнение диагноза имеет место в диспансере;
  • 3) если же врач поликлиники обнаруживает у больного какие-либо изменения в легких, не имея ясного мнения ни об их этиологии, ни о степени их активности, он направляет пациента в диспансер для консультации.

Определенный интерес имеет вопрос обоснованности направления больных в диспансер. Если диагностическая работа в поликлинике находится на недостаточно высоком уровне (например, вследствие неудовлетворительной организации работы лаборатории или рентгеновского кабинета либо недостаточной подготовки врачей по фтизиатрии), то диспансер оказывается перегруженным из-за большого числа необоснованных направлений. Такая ситуация является сигналом для усиления совместной работы диспансера с врачами соответствующего учреждения Вместе с тем не рекомендуется побуждать врачей поликлиник к соблюдению чрезмерных ограничении в отношении направления больных в диспансер, так как подобная тактика может привести к снижению качества работы по выявлению туберкулеза и других легочных заболеваний.

Имея на руках соответствующее направление, больной обращается в регистратуру диспансера, где на него чаполняется индивидуальная карта амбулаторного больного, после чего он направляется к участковому фтизиатру; до осмотра больного участковая сестра измеряет у него температуру тела, производит измерение роста и массы тела. Желательно, чтобы первичные больные осматривались участковым фтизиатром в день их первого прихода в диспансер. Если у впервые направленного больного обнаруживается заболевание туберкулезом, то на него заполняется диспансерная история болезни, а также контрольная карта диспансерного наблюдения контингентов противотуберкулезных учреждений и он поступает на учет в диспансер для наблюдения и лечения. Одновременно участковый фтизиатр посылает врачу, направившему больного (с курьером, по почте или при очередном посещении поликлиники) выписку с указанием диагноза, клинической формы и фазы туберкулезного заболевания и намеченного плана лечения, что дает возможность участковому врачу поликлиники иметь сведения о всех больных туберкулезом на участке и сделать соответствующую отметку в истории болезни. Это имеет практическое значение, так как участковый терапевт, назначая больному лечение по поводу заболеваний нетуберкулезной этиологии, учитывает наличие туберкулеза, который может служить противопоказанием к тем или иным методам лечения. Кроме того, при обращении больного туберкулезом легких по поводу заболевания другого органа, терапевт имеет основание заподозрить, что эта новая болезнь имеет туберкулезную этиологию.

Участие фтизиатра в выявлении и распознавании неспецифических заболеваний легких стало особенно значительным в ходе широкого развития флюорографии. При массовых флюорографических осмотрах населения выявляется много заболеваний органов грудной клетки нетуберкулезной этиологии, их число обычно значительно превышает количество диагностируемых при флюорографии случаев туберкулеза.

При разработке вопроса о методах и средствах борьбы с неспецифическими заболеваниями легких была признана целесообразной диспансеризация больных некоторыми формами хронических заболевании легких в противотуберкулезных учреждениях. На диспансерный учет могут быть взяты: больные со слизисто-гноиным или обструктивным хроническим бронхитом, развившимся на фоне посттуберкулезных изменении; больные бронхиальной астмой легкого среднетяжелого течения при наличии посттуберкулезных изменении в легких или активного туберкулеза; больные с бронхоэктазиями, особенно излеченные от туберкулеза; больные саркоидозом органов дыхания; больные аллергическими альвеолитами и другими диффузными болезнями органов дыхания. Больные, взятые на учет в противотуберкулезные учреждения, могут составить 15—20% всех больных заболеваниями органов дыхания. Это послужило одной из причин возникновения идеи интеграции фтизиатрии и пульмонологии и реорганизации противотуберкулезных диспансеров в легочные. Такая тенденция сформировалась в результате наблюдающегося снижения заболеваемости туберкулезом. Однако органы здравоохранения справедливо считают полную интеграцию преждевременной: пульмонология является обширной областью медицины (соотношение впервые выявленных больных туберкулезом и нетуберкулезными заболеваниями легких составляет 1 : 12—16) и подобная реорганизация чревата опасностью отвлечения противотуберкулезных диспансеров от их прямых задач, а это может повлечь за собой замедление темпов снижения заболеваемости туберкулезом. На данном этапе фтизиатрам надлежит широко помогать общей медицинской сети в области пульмонологии, особенно по линии диагностики, без изменения профиля диспансера как специализированного противотуберкулезного учреждения.

Несмотря на закрытый характер диспансерных учреждений, они не должны отказывать в обследовании больных, обратившихся в диспансер по собственной инициативе, особенно при наличии в диспансере стационарного флюорографа.

В соответствии с пунктом 2 статьи 10 Федерального закона «О предупреждении распространения туберкулеза в Российской Федерации» больные заразными формами туберкулеза, неоднократно нарушающие санитарно­противоэпидемический режим, а также умышленно уклоняющиеся от обследования в целях выявления туберкулеза или от лечения туберкулеза, на основании решений суда госпитализируются в специализированные медицинские противотуберкулезные организации для обязательных обследования и лечения.

Решение о госпитализации принимается судом по месту нахождения медицинской противотуберкулезной организации, в которой больной туберкулезом находится под диспансерным наблюдением.

Заявление о госпитализации подается в суд руководителем медицинской противотуберкулезной организации, в которой больной туберкулезом находится под диспансерным наблюдением.

Участие прокурора, представителя медицинской противотуберкулезной организации, в которой больной туберкулезом находится под диспансерным наблюдением, больного туберкулезом, в отношении которого решается вопрос об обязательных обследовании и лечении, или его законного представителя в рассмотрении заявления о госпитализации обязательно.

При этом возникает вопрос : вправе ли прокурор обратиться в суд с заявлением о принудительной госпитализации лиц, страдающих заразными формами туберкулеза, неоднократно нарушающих санитарно­противоэпидемический режим, а также умышленно уклоняющихся от рбследования в целях выявления туберкулеза или от лечения туберкулеза?

Уклонение от лечения лиц, страдающих заразными формами туберкулеза, подвергает опасности жизнь и здоровье других граждан, т.е. затрагивает их права, свободы и законные интересы.

В связи с чем, согласно ч. 1 ст. 45 Гражданского процессуального кодекса Российской Федерации прокурор вправе обратиться в суд с заявлением в защиту прав, свобод и законных интересов неопределенного круга лиц.

Таким образом, для обеспечения конституционных прав граждан на охрану жизни и здоровья прокурор на основании ч. 1 ст. 45 ГПК РФ может обратиться в суд с заявлением о принудительной госпитализации лиц, страдающих заразными формами туберкулеза, в защиту прав неопределенного круга лиц в целях предупреждения распространения инфекционного заболевания.

Однако нормами Гражданского процессуального кодекса Российской Федерации не установлен порядок рассмотрения указанных заявлений. В связи с этим и, исходя из положений ч. 4 ст. 1 ГПК РФ о возможности применения судами норм процессуального права по аналогии закона, заявление прокурора подлежит рассмотрению в порядке, предусмотренном для рассмотрения дел о принудительной госпитализации гражданина в психиатрический стационар и о принудительном психиатрическом освидетельствовании (глава 35 ГПК РФ).

Согласно пункту 4 Порядка диспансерного наблюдения за больными туберкулезом, утвержденного постановлением Правительства Российской Федерации от 25 декабря 2001 года N 892, решение о необходимости диспансерного наблюдения принимается комиссией врачей, назначаемой руководителем лечебно-профилактического специализированного

противотуберкулезного учреждения в порядке, устанавливаемом Министерством здравоохранения и социального развития Российской Федерации.

Соответствующие правила утверждены приказом Минздрава России от 21 марта 2003 года N 109 «О совершенствовании противотуберкулезных мероприятий в Российской Федерации» (в редакции от 29 октября 2009 года), а также Порядком оказания медицинской помощи больным туберкулезом, утвержденным приказом Минздрава России от 15 ноября 2012 года N 932н (зарегистрирован Минюстом России 07 марта 2013 roflaN 27557).

Как предусмотрено пунктом 3.10 Санитарно-эпидемиологических правил СП 3.1.1295-03, введенных в действие постановлением Главного государственного ранитарного врача Российской Федерации от 22 апреля 2003 года N 62, диагноз — туберкулез подтверждает комиссия врачей противотуберкулезного учреждения и принимает решение о необходимости диспансерного наблюдения (в том числе госпитализации, наблюдения и лечения в условиях дневного стационара) за больным туберкулезом.

О принятом решении больного информируют письменно трехдневный срок со дня постановки на диспансерный учет.

Из приведенных норм следует, что в случае необходимости больные туберкулезом подлежат госпитализации в специализированные медицинские учреждения в установленном порядке. Положений, обязывающих эти медицинские учреждения исполнять судебные акты о принудительной госпитализации, приведенные нормы не содержат.

Ввиду отсутствия федерального закона, в соответствии с которым судебный акт о принудительной госпитализации больного туберкулезом в медицинское учреждение подлежал бы исполнению медицинским учреждением, в силу прямого указания части 1 статьи 5 Федерального закона от 2 октября 2007 года N 229-ФЗ «Об исполнительном производстве» исполнительный документ подлежит исполнению должностными лицами Федеральной службы судебных приставов.

Согласно частям 1, 8 статьи 30 Федерального закона «Об исполнительном производстве» судебный пристав-исполнитель по заявлению взыскателя в трехдневный срок со дня поступления к нему исполнительного документа выносит постановление о возбуждении исполнительного производства либо об отказе в возбуждении исполнительного производства, при наличии предусмотренных в Законе оснований.

по обеспечению участия прокуроров в гражданском процессе

Туберкулезный диспансер оказывает поликлинический учет и наблюдение, стационарное лечение туберкулеза, амбулаторную помощь. Клиники лечения туберкулеза есть в каждом административном центре. Стационар противотуберкулезного диспансера занимается лечением больных в условиях постоянного нахождения в отделении. Существует перечень показаний для госпитализации больных. Главное из них – это контроль медперсонала за приемом медикаментов. От правильного соблюдения дозировок и сроков приема лекарственных препаратов зависит эффективное лечение туберкулеза в диспансере.

Решение о госпитализации принимается администрацией учреждения, лечащим врачом и заведующим отделением в индивидуальном порядке по строгим показаниям. В прошлом веке стандартом было лечение туберкулеза в клинике, особенно впервые выявленного. Сейчас вопрос пересмотрен под влиянием страховой медицины и этических вопросов, касающихся прав человека.

Особенности протекания туберкулеза

Стационарное лечение туберкулеза подразумевает нахождение пациента в карантинном режиме фтизиатрического отделения. Для больных и их родственников, считающих заболевание приговором, важно знать: чтобы вылечить туберкулез лечение в стационаре — необходимость. Клиники лечения туберкулеза пытаются для каждого пациента найти оптимальный вариант, и если нет показаний к госпитализации, назначают амбулаторный режим химиотерапии. Туберкулезный диспансер контролирует курс лечения.

Фото 1. Общая палата туберкулезного стационара.

Заболевание в своем развитии проходит последовательные этапы.

Микобактерии попадая в дыхательные пути, направляются в легкие. Там они оседают и формируют первичный очаг. Инфекция с током лимфы распространяется на регионарные лимфатические узлы. Клинически все это проявляется в виде воспаления узла – лимфаденита и сосуда – лимфангита. У большинства людей иммунная система способна дать отпор и ограничить дальнейшее инфицирование. Очаг склерозируется и кальцинируется. Но есть постоянный риск, что благоприятные условия для развития микобактерий дадут толчок к формированию туберкулеза. Инфекция протекает без выраженной симптоматики. Только должное обследование может выявить болезнь на ранних стадиях.

Фото 2. Нездоровая худоба — признак возможного туберкулеза.

Пациент чувствует туберкулезную интоксикацию:

Большинство людей не обращают внимания на малозаметные симптомы. Инфекционное заболевание становится диагностической находкой на рентгенограмме легких. Профилактическое ежегодное обследование – это скрининг туберкулеза.

Если болезнь не была диагностирована в раннем периоде, то постепенно она переходит в открытую форму. Бактериовыделение происходит с мокротой, мочой, калом, кровью. Это зависит от органа, пораженного процессом. Наиболее опасны в эпидемиологическом плане легочные формы туберкулеза. С диагнозом открытый легочной туберкулез стационар – единственное место для лечения. Причины — изоляция больного и оказания квалифицированной помощи в случае необходимости.

Фото 3. Наличие качественной аппаратуры помогает отслеживать состояние больного и корректировать лечение.

Существует латентная форма инфекции, при которой туберкулезные бактерии находятся в очагах, но болезнь не развивается. Скрытый туберкулез лечения в стационаре не требует, так как нет бацилловыделения.

Показания для стационарного лечения

Фото 4. Алкоголики, наркоманы, бездомные — частые жертвы туберкулеза.

Пациенты противотуберкулезного диспансера делятся на две большие группы:

  1. Больные, которые ведут асоциальный образ жизни: алкоголики, наркоманы, лица без определенного места жительства, бывшие заключенные. Люди нуждаются в медицинской помощи. Надеяться на добросовестный прием лекарств нет смысла. Пациенты с диагнозом туберкулез легких лечение в стационаре проходят принудительно под строгим контролем.
  2. Заболевшие со средним и высоким социальным уровнем. Категория больных, которые заинтересованы в скорейшем выздоровлении. За период лечения туберкулеза в диспансере они могут потерять работу, пережить психоэмоциональный стресс, так как контингент отделений состоит преимущественно из социально неблагополучных больных. Разлука с семьей и детьми усугубляет душевное состояние. В этом случае нецелесообразно проводить длительную стационарную терапию. Только до прекращения бацилловыделения, если оно было. Противотуберкулезные средства при закрытой форме инфекции выдаются в амбулаторном режиме. Эпидемиологическую опасность пациенты для окружающих не представляют.

Госпитализация в стационарное отделение осуществляется по абсолютным медицинским и эпидемиологическим, а также социальным показаниям.

Фото 5. В туберкулезном диспансере у врача есть возможность наблюдать за ходом лечения пациента.

Наличие медицинских показаний к госпитализации:

  • остро протекающие формы болезни (милиарный туберкулез, казеозная пневмония, туберкулезный менингит);
  • сильная интоксикация, которая обуславливает тяжелое состояние больного;
  • необходимость в специфических манипуляциях в условиях стационара (внутрикавернозное введение лекарств);
  • открытая форма процесса;
  • большая распространенность поражения инфекционным заболеванием;
  • мультирезистентный туберкулез;
  • случаи, при которых необходима дополнительная диагностика.
  • неинфицированные дети в семье бацилловыделителя.

По социальным причинам госпитализируют больных без определенного места жительства, отбывающих срок наказания в местах лишения свободы, людей с алкоголизмом и наркоманией, которые отказываются по собственной воле получить помощь.

Фото 6. Заключенные обязательно проходят лечение от туберкулеза в специальных диспансерах.

Относительные показания к госпитализации в стационар:

  1. Непродолжительные по сроку периоды госпитализации по причине корректировки дозы получаемого лечения;
  2. Больные с сопутствующей патологией, требующей лечения в условиях туберкулезного диспансера и возрастные пациенты.

Читайте также:

Ссылка на основную публикацию
Похожее