Пн-чт: 08:00—17:00 (перерыв 12:00—13:00); пт: 08:00—15:45 (перерыв 12:00—13:00)
whatsapp telegram vkontakte email

Крошатся зубы во время беременности

image

Период вынашивания ребенка – это время глобальной «перестройки» женского организма. Не все изменения благоприятно воздействуют на состояние здоровья будущей мамы. Во время беременности многие женщины сталкиваются с тем, что у них крошатся зубы. В чем причина этого неприятного явления и как исправить ситуацию – об этом следует поговорить подробно.

Нередко во время беременности женщины отмечают, что зубы начинают крошиться без видимых причин. Для развития плода необходим кальций, но, вопреки распространенному мнению, запасы этого элемента не восполняются за счет зубного ряда будущей мамы.

Однако для периода беременности характерны значительные изменения гормонального фона, кроме того, часто обостряются стоматологические заболевания. Эти и другие причины могут приводить к тому, что зубы крошатся, сыпятся или ломаются.

Если родители беременной женщины имеют стоматологические проблемы, то не стоит ожидать, что у нее самой будут идеально здоровые зубы.

Доказано, что на здоровье зубов значительное влияние оказывает наследственность – этот фактор определяет даже толщину эмали, которая защищает зубы от повреждений.

Для периода гестации характерно обострение многих патологий в организме женщины, поэтому могут проявиться и проблемы с зубами.

ЧИТАЕМ ТАКЖЕ: от чего могут начать крошиться зубы?

Зачастую зубы у беременных ломаются из-за недостатка витаминов.

Причины гиповитаминоза могут носить внешний характер (в рационе присутствуют малонасыщенные витаминами или содержащие антивитаминные ферменты продукты, нарушаются правила их хранения, обработки, приготовления, беременная принимает лекарства, препятствующие усвоению витаминов) или быть внутренними (ряд патологий системы пищеварения или низкокалорийная диета).

Недостаточное количество фтора, кальция и других микроэлементов, необходимых для поддержания здоровья зубов в период вынашивания ребенка – еще одна распространенная причина их разрушения. К дефициту микроэлементов приводят те же причины, которые вызывают гиповитаминоз – несбалансированный рацион, питьевая вода низкого качества, прием некоторых медикаментозных средств.

Расстройство метаболизма, приводящее к разрушению зубов, может выступать в качестве симптома серьезной патологии.

Обмен веществ у беременной женщины может нарушаться при развитии гипо- или гипергликемии, сахарного диабета, панкреатита, почечной или печеночной недостаточности и других заболеваний.

В любом случае самостоятельное лечение неэффективно и даже опасно – следует обратиться к специалисту.

Перечисленные выше причины считаются самыми распространенными, но привести к тому, что у беременной женщины начнут крошиться или ломаться зубы, могут и другие факторы. Их сущность заключается в воздействии на зубную эмаль, разрушение которой делает зуб беззащитным перед патологическим влиянием окружающей среды:

ЧИТАЕМ ТАКЖЕ: безопасно ли удаление зуба при беременности?

  • стоматологические заболевания (например, кариес);
  • пренебрежение гигиеной полости рта;
  • стрессовые ситуации.

Всем известны необычные пищевые предпочтения беременных женщин, и они не всегда соответствуют рекомендациям по правильному питанию. Избежать многих проблем поможет сбалансированный рацион, который должен включать в себя достаточное количество белковой пищи, жиров, углеводов, витаминов и микроэлементов.

Укрепить и защитить жевательные органы будущей мамы можно с помощью применения специальных зубных паст. Они помогают снизить чувствительность, притупляют ощущение тошноты при ежедневной чистке (полезно для страдающих от токсикоза), обладают реминерализирующим эффектом и препятствуют процессу вымывания кальция.

Почему крошатся зубы во время беременностиПочему крошатся зубы во время беременности

ЧИТАЕМ ТАКЖЕ: почему тошнит от зубной пасты при беременности и что делать?

Витаминотерапия показана всем беременным женщинам вне зависимости от наличия или отсутствия у них стоматологических проблем. По данным исследований, от недостатка трех и более витаминов страдают около 70% будущих мам вне зависимости от возраста, финансовых возможностей и социального положения. Профилактический прием витаминных комплексов рекомендуется с первых месяцев гестации.

Лекарственные препараты, содержащие кальций, беременные могут принимать только по назначению врача и под его строгим контролем. В большинстве случаев будущим мамам прописывается прием:

  • Глюконата Кальция;
  • Кальцемина;
  • Кальция Д3 (производитель ФК «Никомед»);
  • биологически активной добавки к пище — Кальций Актив.

Избежать возникновения стоматологических проблем в период вынашивания ребенка поможет соблюдение профилактических мероприятий:

  • следует регулярно посещать стоматолога и обращаться к специалисту при первых признаках недомогания;
  • принимать витаминные комплексы;
  • правильно и сбалансированно питаться;
  • тщательно ухаживать за полостью рта (регулярная чистка зубов, полоскания, использование зубной нити);
  • своевременно лечить стоматологические заболевания;
  • избегать стрессовых ситуаций.

image

Беременность – прекрасный и сложный период, когда организм матери максимально отдает все полезные вещества плоду для полноценного развития. Поэтому беременной нужно продумать рацион так, чтобы жизненно важных элементов, поступающих с продуктами питания, было достаточно двоим.

Одним из важных для обоих элементов становится кальций. Он нужен, чтобы у ребенка формировалась костная система, а также для обменных процессов. Ребенок потребляет кальций в огромном количестве, поэтому при нехватке его в рационе у матери ломаются ногти, секутся волосы, кровоточат десны, крошатся зубы. Почему так сильно портятся зубы и что делать, когда они крошатся, можно узнать из статьи.

Существует ряд факторов, из-за которых у женщины, вынашивающей ребенка, могут выявиться стоматологические проблемы. Это наследственность, дефицит витаминов и минералов, скудный рацион, нарушенный обмен веществ, кариес, плохая гигиена рта, стрессы, другие факторы.

Одной из главных причин считается наследственность. Когда у родителей зубы плохие, это зачастую передается детям. Такое состояние сложно корректировать, поскольку причина скрывается на генетическом уровне. Остается только предпринимать меры профилактики, чтобы не допустить осложнений. Наследственные факторы определяют толщину эмали, ее состав.

Нехватка важных витаминов провоцируется внешними, внутренними факторами. К внешним относят потребление бесполезных продуктов, обедненных полезными веществами, а также содержащими ферменты, разрушающими витамины.

Кроме витаминов, организму нужны микроэлементы, минералы. Для зубов наиболее важными являются фтор, кальций. Причины, по которым наблюдается их дефицит, те же, что и при нехватке витаминов – неправильное питание, а также плохое качество питьевой воды, прием лекарственных препаратов определенной группы.

Почему крошатся зубы? Как с этим бороться?Почему крошатся зубы? Как с этим бороться?

Нарушенный обмен веществ, из-за которого зубы крошатся, может сигнализировать о серьезных болезнях. В частности, речь может идти о сахарном диабете, гипер- или гипогликемии, недостаточности почек или печени, других патологиях. Самодиагностикой, а тем более – самолечением – заниматься не стоит, это чревато опасными последствиями. Поэтому важно вовремя обратиться к врачу для выявления причин.

Испытываете ли волнение перед визитом к стоматологу?ДаНет

Наличие даже одного зуба, пораженного кариесом, в начале беременности, вполне может привести к тому, что за период вынашивания пострадает много зубов.

Кариес распространяется в условиях сниженного иммунитета, ослабленной эмали достаточно быстро.

Поэтому на первый план выходят профилактические меры, своевременное посещение стоматолога, санация ротовой полости, контроль над состоянием зубов, десен, слизистых.

Гигиена играет важную роль в поддержании здоровья зубов. Многие выполняют чистку нерегулярно, считая ее скучным, ненужным занятием. И напрасно.

Есть определенные правила – сколько чистить зубы, как двигать щеткой, какую пасту использовать, чтобы процедура была эффективной.

Пренебрегая правилами, беременная создает благоприятную среду для размножения болезнетворных бактерий. Итогом станут болезни десен, зубов, кариес, разрушение эмали.

Стрессы негативно влияют на весь организм, нарушают ритм работы всех органов, меняются физические, химические реакции.

Перечисленные выше факторы – наиболее распространенные из тех причин, по которым зубы при беременности крошатся.

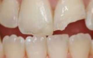
Заподозрить ослабление эмали на ранней стадии, пока еще зубы не раскрошились, можно по нескольким признакам. Перечислены симптомы, при выявлении которых необходимо посетить стоматолога, предпринять меры, чтобы предотвратить стоматологические проблемы:

  • форма зубов меняется. Поначалу незаметные для глаз разрушения эмали влияют на форму коронки зуба – она становится округлой, как бы стачиваясь, укорачиваясь,
  • изменение цвета. Разрушению эмали предшествует пожелтение зубов. Это говорит о том, что покрытие ослабло, покрыто трещинами, приобрело пористость, впитывает красители из пищи, напитков,
  • появление трещин. Если на поверхности появляются трещины, значит, скоро можно ожидать сколов, разрушения коронки,
  • чрезмерная чувствительность. При употреблении сладкого, горячего либо холодного может возникать дискомфорт, даже боль. Это говорит о том, что эмаль ослабленная, истонченная, может крошиться.

Заметив у себя перечисленные выше изменения, нужно сразу посетить стоматолога. Врач выявит причины проблемы, даст рекомендации, по необходимости проведет лечение, безопасное для мамы, плода.

Среди рекомендаций, упоминаемых стоматологами, будут:

  • кулинарные предпочтения во время беременности могут меняться, не всегда они сообразовываются с рекомендациями по правильной диете. Исключить возможные проблемы можно, если скорректировать меню – добавить нужное количество жиров, углеводов, белков, не забыв про микроэлементы, витамины. Важно налегать на продукты с кальцием – овсянку, сардины, капусту, сою, кунжут, лосося, твердые сыры, бобовые, орехи и кисломолочные продукты. Плохо сказываются на состоянии зубов сладости, включая липкие конфеты, карамель. Они долго остаются на эмали, создавая среду для бактерий. Кислые напитки нужно свести к минимуму, они разъедают ослабленную эмаль. Речь идет о вине, соках. Также вредным будет частое употребление газированной воды,
  • специальные пасты, рекомендованные стоматологами, укрепят,защитят эмалевое покрытие. Они снижают чувствительность, при регулярном применении способы устранить тошноту от токсикоза. Такие пасты предотвращают вымывание кальция, насыщают эмаль минералами,
  • прием витаминов обычно требуется всем беременным, вне зависимости от стоматологических проблем. Статистика показывает, что нехватка нужных микроэлементов выявляется у 70% беременных, поэтому обязательным становится курс витаминов, минералов, рекомендованный лечащим врачом – он учтет текущее состояние будущей матери, подберет нужный состав микроэлементов для конкретной ситуации. Самостоятельно принимать препараты с кальцием нельзя, избыток так же вреден, как и дефицит. Врач может выписать в определенной дозировке Кальцемин, Кальций Д3 и аналоги.

Выше перечислены способы улучшения состояния зубов, когда эмаль уже начала портиться, крошиться. Но можно не допускать такого опасного состояние, если заняться заранее профилактикой. Следующие меры приостановят патологический процесс:

  • отказаться от курения. Помимо того, что это вредно для плода, никотин активно разрушает эмаль зубов матери,
  • пересмотреть рацион. Обогатить меню свежими фруктами, овощами, полезными продуктами. В то же время снизить объем бесполезных, вредных,
  • гулять ежедневно – укреплять иммунитет,
  • правильно ухаживать за полостью рта, обязательно чистить зубы по утрам и вечерам, а после каждого перекуса ополаскивать аптечным средством, отваром трав либо простой водой, чтобы вымыть остатки еды,
  • применять подходящую по жесткости щетку, специализированную пасту, которая защитит от конкретных проблем.

Помимо перечисленных мер, нужно бывать на профилактическом осмотре у стоматолога, вовремя выявляя проблемы, устраняя их на раннем этапе.

image

Осознание того, что в животике поселился самый дорогой человечек – твой малыш, приравнивает беременность к маленькому чуду. С каждым днем кроха становится больше и крепче, вместе с этим изменяется самочувствие беременной.

Ребенку для полноценного развития требуются питательные вещества и микроэлементы, которые он черпает из организма матери.

Именно поэтому рацион питания на время гестации должен быть составлен так, чтобы жизненно необходимых веществ, поступающих с пищей, хватило «на двоих».

Одним из наиболее важных для роста ребенка микроэлементов является кальций. Он принимает непосредственное участие в построении скелета малыша, участвует в обменных процессах организма.

Можно ли лечить зубы во время беременности?Можно ли лечить зубы во время беременности?

Кальций плоду необходим в большом количестве, поэтому недостаточное его поступление в организм беременной женщины может проявляться в виде ломкости волос и ногтей, кровоточивости десен и крошения зубов.

Что делать, если крошатся зубы при беременности? Почему при беременности так портятся зубы? Наши рекомендации помогут вам справиться с данной проблемой и сохранить красивую улыбку.

Основной причиной того, что при беременности крошатся зубы, является недостаточное поступление кальция в организм женщины. Даже прием минеральных комплексов и соблюдение рекомендаций стоматологов не гарантируют крепкое здоровье зубов на протяжении всего периода развития беременности по неделям.

У одной беременной раскрошились несколько зубов, а у другой за все девять месяцев не возникло ни единого повода для посещения стоматолога. Почему так происходит? Причина может быть индивидуальной и кальций здесь не при чем.

Если у ваших родителей проблемы со здоровьем зубов начали возникать еще в молодом возрасте, рассчитывать на крепкие зубы все же не стоит. В данном случае кариес и крошение зубов при беременности специалисты объясняют наследственной предрасположенностью.

Многие из нас регулярно посещают стоматолога, зная, к чему может привести запоздалый визит к врачу. Другие же, рассчитывая на собственные силы организма, наведываются к стоматологу крайне редко. В результате крохотный участок кариеса за некоторое время может распространиться на весь зуб и привести к его потере.

ВАЖНО! Необходимо тщательно следить за здоровьем своих зубов и посещать стоматолога не реже, чем один раз в полгода.

Правильный уход за полостью рта повышает шансы на сохранение здоровой и красивой улыбки после беременности. Во время гестации в организме женщины происходит гормональная перестройка, на фоне которой часто возникает так называемый «гингивит беременных».

Данное состояние проявляется чрезмерной кровоточивостью десен и характерно для периода с 3 по 7 месяц гестации. Когда кровоточат десны, будущая мамочка может начать чистить зубы реже обычного, чтобы снизить симптоматику.

[stextbox id=’info’]

Уход за полостью рта в недостаточном объеме приводит к развитию кариеса, вследствие чего и крошатся зубы при беременности.

[/stextbox]

ВАЖНО! Если вы заметили, что ваши десны начали кровоточить, обратитесь за помощью к стоматологу, который посоветует, с помощью каких средств, ввашем случае, необходимо ухаживать за полостью рта. 

Крошатся зубы при беременности? Причина может быть в обострении хронического заболевания. Чаще всего к этому приводят: нарушение обмена веществ (сахарный диабет), заболевания щитовидной железы, остеопороз, артрит и т.д. Избежать разрушения зубов в этом случае поможет консультация специалиста и лечение заболевания.

Стресс занимает одну из лидирующих позиций среди причин, почему крошатся зубы при беременности. Женщина в период гестации эмоционально лабильна, что объясняется изменением гормонального фона. Раздражительность, плаксивость, обидчивость – «верные спутники» будущей мамы. А если ко всему этому добавить проблемы дома или на работе, стресс беременной обеспечен.

Если при беременности крошатся несколько зубов, причиной их повреждения чаще всего является механическое повреждение. Открывание бутылок пива зубами и щелканье орехов – действия, не свойственные беременным женщинам, а вот случайный удар зубом во время еды о кружку или стальную ложку вполне возможен.

В отличие от наших соотечественников, французские специалисты уверены, что беременность и нехватка кальция в зубах никак между собой не связаны. По мнению европейских стоматологов, крошение зубов во время беременности происходит по причине гормональной перестройки. Так как этих изменений не избежать, специалисты рекомендуют наладить питание и обеспечить тщательный уход за зубами.

Самый дельный совет при крошении зубов во время гестации – немедленно посетить стоматолога. Чем быстрее вы обратитесь за помощью, тем больше шансов сохранить свои зубы. К тому же, врач-стоматолог даст правильные рекомендации, которые помогут избежать повторного крошения зубов при беременности.

Избежать крошения зубов при беременности поможет посещение стоматолога в профилактических целях задолго до зачатия. Устранение очагов кариеса и воспаления десен помогут пережитьгестационный период без особых потерь.

Лечение зубов при беременности. 🤰 Безопасное лечение зубов при беременности в клинике НоваДент. 12+Лечение зубов при беременности. 🤰 Безопасное лечение зубов при беременности в клинике НоваДент. 12+

Беременность – не повод отказаться от услуг стоматолога. Если зубы нуждаются в лечении, не стоит откладывать терапию на послеродовый период, за это время патогенные бактерии, которые вызывают кариес, могут распространиться по всему организму.

Включить в рацион питания продукты, богатые кальцием (кисломолочные продукты, молоко, сыр и т.д.).

Принимать витаминно-минеральный комплекс для беременных, например,«Прегнавит»,«Прегнакеа»,«Элевит»и т.д.

Чистить зубы необходимо дважды в день, в утренние часы и перед сном. Кровоточивость десен не являетсяпротивопоказаниемдля чистки зубов.

Чего делать не следует:

  • Терпеть зубную боль. Любые болевые ощущения провоцируют выработку гормонов стресса, которые способны вызвать прерывание беременности или преждевременные роды.
  • Использовать «по старинке» мышьяк для уничтожения нервных окончаний зуба. К счастью, сейчас существует множество других лекарственных средств, с помощью которых можно «убить» нерв более безопасным путем.
  • Удалять в период беременности зубы мудрости.

Сбалансированное питание, ежедневный уход за ротовой полостью, регулярное посещение стоматолога, избегание стрессовых ситуаций помогут сохранить здоровье зубов даже в такой непростой периоддля организма, как беременность.

Крошащиеся зубы – актуальная стоматологическая проблема современных детей. С такой неприятностью сталкиваются всё больше родителей, в панике бросаясь от стоматолога к стоматологу. Если этот процесс начался, то он практически необратим, но болезнь можно предотвратить. При правильном уходе и питании постоянные зубы с большой вероятностью могут быть абсолютно здоровыми.

Эмаль – это самая твердая ткань в организме, которая непрерывно подвергается механическим, термическим и химическим нагрузкам. Причин ее разрушения много и их все можно разделить на две группы: кариозные и не кариозные.

Чаще всего именно кариес разрушает зубы, причем у детей это происходит очень быстро — за несколько месяцев белоснежные молочные зубки могут превратиться в черные «пеньки».

Бутылочный кариес – проблема первых лет жизни, когда из-за использования   бутылочки с молочной смесью или сладкими жидкостями в ночное время создается благоприятная атмосфера для увеличения количества бактерий, приводящих к развитию кариеса и разрушению эмали зубов.

Часто зубы разрушаются из-за нехватки минералов в эмали: кальция, калия, фосфора, магния, которые попадают в организм с пищей.

Основные не кариозные причины, по которым крошатся молочные зубы:

Гипоплазия эмали – это серьезная проблема, при которой слой эмали на зубе может отсутствовать полностью или частично из-за аномальных процессов, которые формируются еще при закладке зачатков зубов. Причиной является сложная беременность, стрессы, вредные привычки и недостаток витаминов организме будущей матери.

Визуально гипоплазия эмали выглядит как борозды на эмали, сквозь которые просвечивает дентин. Такие зубы не защищены и более подвержены физической и химической нагрузке.

[stextbox id=’alert’]

Флюороз – заболевание, которое развивается вследствие избытка фтора в организме. Зубы ребенка покрыты яркими белыми пятнами. К такой проблеме приводит питьевая вода, с повышенными нормами содержания фтора.

[/stextbox]

Также к не кариозным поражениям можно отнести:

  • плохое питание (нехватка важных веществ);
  • недостаток жирорастворимых витаминов;
  • высокий уровень фитиновой кислоты;
  • чрезмерное употребление сахара;
  • избыток фтора в организме;
  • дефекты эмали или ее отсутствие;
  • наследственность;
  • прием антибиотиков во время беременности матери;
  • плохая гигиена полости рта;
  • привычка грызть все подряд – карандаши, ручки, игрушки, орехи, конфеты-леденцы;
  • проблемы внутриутробного развития;
  • низкое качество питьевой воды;
  • травмы челюстей, полученные в результате падения.

Что делать, чтобы предотвратить крошение/разрушение зубов:

  • обеспечить качественную гигиену полости рта;
  • ограничить количество сладостей в детском рационе;
  • научить ребенка чистить зубы и полоскать рот после приема пищи;
  • водить малыша на профилактические осмотры к стоматологу.
  • Группа А – сливочное масло, желток, субпродукты, рыба, рыбий жир;
  • Группа D – свинина, лосось, желток, говяжья печень, рыбий жир;
  • Группа Е – мясные субпродукты, орехи, семена, зеленые овощи;
  • Группа К – печень, желток, масло, орехи, семена, брокколи.

Что касается малышей, то необходимо, по возможности, исключить ночные кормления, приучить пить ночью воду. Также можно использовать ксилит – содержащие салфетки для обработки зубов, если такие кормления все-таки присутствуют.

Чтобы остановить разрушение зубов специалисты рекомендуют укреплять эмаль с помощью реминерализующих средств:

  • фторирование – периодическое покрытие растворами, содержащими фтор и другие полезные микроэлементы;
  • искусственное насыщение поверхности эмали кальцием и другими минералами – запечатываются дентинные канальцы и увеличивается плотность эмали;
  • озонирование – уничтожение бактерий в пораженных тканях зуба без травмирования мягких тканей, помогает остановить разрушение и вылечить кариес на начальной стадии;
  • пломбирование дефектов зубов;
  • протезирование – разрушающийся зуб закрывается коронкой, чтобы изолировать от агрессивных сред и остановить крошение.
  • герметизация фиссур – запечатывание жевательной поверхности моляров специальным пломбировочным материалом;

Подходящий способ лечения выбирает стоматолог, в зависимости от состояния зубов и возраста пациента.

УКРЕПИТЕ ЗУБЫ, и остановите КАРИЕС / рецепт ТИБЕТСКИХ МОНАХОВУКРЕПИТЕ ЗУБЫ, и остановите КАРИЕС / рецепт ТИБЕТСКИХ МОНАХОВ

Если зубки уже начали разрушаться/крошиться или появились первые признаки кариеса (пятна на эмали, изменение ее цвета), не откладывайте визит к дантисту. Это тот случай, когда время имеет значение!

image

  • Сущность проблемы и основные симптомы
  • Причины патологии

Для полноценного развития ребенку в животике необходим строительный материал: кальций, белок, фтор и другие полезные компоненты. Конечно, он получает их исключительно из организма матери, в результате чего ее собственное здоровье может незначительно пострадать.

В первую очередь нехватка витаминов отражается на состоянии ротовой полости. Многие мамы отметили, что начали портиться зубы во время беременности, а визиты к стоматологу значительно участились. Какими же симптомами сопровождается ухудшение состояния зубов? Какие объективные причины влияют на их здоровье?

Известно, что минерал кальций обеспечивает построение костной и хрящевой ткани, опорно-двигательного аппарата и мышечной системы человека. Для своего формирования кроха черпает кальций из материнского организма, что приводит к ухудшению состояния ее костной системы, зубов, ногтей и даже волос.

Как правило, эти патологии наблюдается в период 6-10 неделя беременности, а также на 12, когда происходит активная закладка ротовой полости ребенка.

Примечательно, что окончательное формирование зачатков молочных зубов происходит только на 20 неделе, а к этому моменту состояние полости рта женщины оставляет желать лучшего.

Какие же симптомы отмечает беременная:

  1. повышается чувствительность эмали к температурным, пищевым (кислые и сладкие продукты), механическим (чистка зубов) раздражителям;
  2. ломаются и крошатся зубы во время беременности, могут начать выпадать;
  3. ускоряется образование мягкого желтого налета, который быстро превращается в твердый зубной камень;
  4. учащаются случаи кариеса, гингивита, пульпита;
  5. появляется кровоточивость и связанные заболевания (пародонтоз, пародонтит);
  6. мучает зубная боль;
  7. воспаляются десневые карманы, могут возникнуть кисты и абсцессы.

Если начальный кариес или твердый налет можно легко лечить у стоматолога, то серьезные инфекции требуют медикаментозной терапии, которая абсолютно не полезна для ребенка. Также существует риск, что воспалительные процессы через кровь распространяются на плод и могут повлиять на его формирование.

Именно поэтому врачи рекомендуют с первых недель беременности приобрести специальную пасту для будущих мам (например, Прегнадент). Такие средства содержат ценные витамины С, Е и D, кальций и фтор, экстракты лечебных трав.

Все мамы должны знать, почему крошатся зубы при беременности, чтобы можно было предотвратить эту проблему.

  • Дефицит кальция. Минерал трудно усваивается в натуральном виде, а в синтетическом еще дольше. Прием витаминных добавок, к сожалению, не гарантируют достаточное поступление микроэлемента в организм, поэтому до 20 недели здоровье зубов может «беспричинно» ухудшаться. Все осложняется токсикозом, ведь вместе с не переваренной пищей из организма уходят и полезные компоненты. Организм считает первоочередным обеспечение формирования малыша, поэтому уверенно «забирает» материал у мамы даже ей в ущерб.
  • Изменение секреции слюны. Гормоны влияют на работу слюнной железы, в результате чего уменьшается кислотность ее секрета. Ранее кислота разъедала болезнетворные организмы в ротовой полости, выполняя роль антисептика. Щелочная слюна обладает меньшими защитными свойствами.
  • Падение иммунитета. Для того чтобы клетки организма не атаковали чужеродное тело (плод) иммунитет женщины в первом триместре снижается. В результате даже «невинный» кариес активизируется с двойной силой, поражая уязвимые участки.
  • Наследственные факторы. Ученые отмечают, что если в семейном анамнезе отмечается плохое состояние зубов у родных, то и беременной на их здоровье не стоит рассчитывать. Это знание позволит будущей маме заранее провести хорошую профилактику заболеваний.
  • Плохая гигиена. Многие женщины боятся стоматологов, а при беременности и вовсе обходят кабинет врача стороной. Отсутствие профессиональной чистки приводит к увеличению площади налета и, как следствие, количества патогенной микрофлоры.
  • Период гестации. С 3 по 7 месяц беременности наблюдается уязвимый период для будущей мамы, когда возникает риск «гингивита беременных». Женщины отмечают повышенную кровоточивость десен, что вынуждает ее реже ухаживать за полостью рта, дабы не травмировать поврежденную ткань. В результате в ранки попадает инфекция, а патогенная микрофлора активно атакует чувствительную эмаль.
  • Сопутствующие болезни. Иногда крошатся зубы во время беременности по причине заболеваний эндокринной (сахарный диабет, патологии щитовидки) и опорно-двигательной (артрит, артроз, остеомиелит, остеопороз и т. д.) систем.

Будущей маме важно помнить, что беременность – не повод игнорировать стоматолога. Регулярная гигиена рта в домашних условиях, увы, не обеспечивает потребности «беременного» организма. Врачи рекомендуют приходить на профилактический осмотр каждый триместр.

image

Беременность – прекрасный и сложный период, когда организм матери максимально отдает все полезные вещества плоду для полноценного развития. Поэтому беременной нужно продумать рацион так, чтобы жизненно важных элементов, поступающих с продуктами питания, было достаточно двоим.

Считаю, что на визитах к стоматологу всё же можно существенно сэкономить. Конечно я говорю об уходе за зубами. Ведь если тщательно ухаживать за ними, то до лечения действительно может и не доходить дело — не потребуется. Микротрещинки и небольшой кариес на зубах можно убрать обычной пастой. Как? Так называемой пломбирующей пастой. Для себя выделяю Denta Seal. Попробуйте и вы.

Одним из важных для обоих элементов становится кальций. Он нужен, чтобы у ребенка формировалась костная система, а также для обменных процессов. Ребенок потребляет кальций в огромном количестве, поэтому при нехватке его в рационе у матери ломаются ногти, секутся волосы, кровоточат десны, крошатся зубы. Почему так сильно портятся зубы и что делать, когда они крошатся, можно узнать из статьи.

image

Сияющие глаза, пышная грудь и округлый живот выдают беременную женщину. Будущая мама, вынашивая под сердцем ребенка, приобретает особую женственность и магнетизм. Беременная ассоциируется с самым прекрасным, что есть на Земле.

Во время беременности женский организм полностью перестраивается, все органы и системы работают в усиленном режиме. Мало кто догадывается, что за привлекательной внешностью скрыта масса проблем, в том числе связанных с зубами и деснами.

Беременность – это сложный период для женского организма. Увеличивается объем циркулирующей крови, меняется кислотно-щелочной баланс во рту, стимулируется выработка гормонов, необходимых для успешного вынашивания малыша.

Активно развивающийся в утробе ребенок нуждается в витаминах и минералах, которые при нехватке он может вытягивать из организма матери. Такие изменения во многом влияют на состояние зубов – они крошатся и нередко выпадают. У беременных женщин повышается риск развития стоматологических заболеваний, в числе которых:

ЧИТАЕМ ТАКЖЕ: что делать, если зуб начинает крошиться?

  • гингивит (воспаление десен);
  • периодонтит (воспаление периодонта);
  • пародонтит (воспаление пародонта, в запущенных случаях приводящий к выпадению зубов);
  • кариозное поражение зубов;
  • гемангиомы и гранулемы (доброкачественные опухоли).

Если до момента зачатия у женщины имелись стоматологические заболевания, то во время беременности состояние ротовой полости в силу ряда факторов только ухудшится. Эндокринная система для того, чтобы женщина смогла выносить и родить ребенка, начинает активную выработку гормонов. Уже на самых ранних сроках беременности меняется гормональный фон, подавляется иммунитет.

Почему крошатся зубы у взрослого человека?Почему крошатся зубы у взрослого человека?

Естественная иммунодепрессия позволяет материнскому организму «смириться» с присутствием плода (чужеродного организма с точки зрения хромосомного набора).

Это состояние не обходится без вреда для здоровья. Бактерии, населяющие ротовую полость, не встретив должного сопротивления, начинают активно размножаться.

Кариес и заболевания десен стремительно прогрессируют, зубы портятся, ломаются и даже выпадают.

Благодаря этому минералу формируются кости, мышечная система, зрительные и слуховые органы.

Если концентрация ионизированного кальция в крови снижается, то минерал постепенно начинает вымываться из костей и зубов беременной женщины.

Незначительная потеря кальция ведет к быстрому истончению эмали. Не в силах противостоять патогенным микроорганизмам, защитная ткань теряет свою функцию, зубы крошатся и выпадают.

У многих женщин во время беременности отмечается токсикоз. Это состояние редко приводит к рвоте. Несварение и нарушение обмена веществ из-за интоксикации не лучшим образом сказывается на здоровье зубов.

При наличии хронических заболеваний ЖКТ гормон прогестерон ухудшает их течение. Снижается тонус гладкомышечных органов, в том числе матки. Нередко у беременных появляется изжога, вздутие, тошнота и отрыжка.

Кислота, попадая из желудка на поверхность зубов, разрушает эмаль.

Частым спутником беременных является анемия. Чем ниже гемоглобин, тем хуже кровоснабжение органов и тканей. Зубы получают меньше питательных веществ. Веганство, сыроедение и приверженность другим нерациональным диетам не позволяют женщине полноценно питаться, в результате может развиваться авитаминоз, анемия и гиперацидные состояния.

По возможности нужно ограничить потребление сладких и мучных изделий, так как углеводы – лучшее питание для бактерий, населяющих ротовую полость.

Не зря говорят, что лучше предотвратить болезнь, чем потом долго лечиться. Чтобы ни один зуб не выпал, женщине, которая только планирует беременность, следует тщательно следить за здоровьем ротовой полости.

Ни одна зубная щетка и паста не поможет избавиться от всех бактерий, населяющих полость рта, поэтому важно на этапе подготовки к беременности посетить стоматолога. Врач санирует ротовую полость, а при необходимости вылечит больные зубы и проведет профессиональную чистку зубов. Также будущей матери неплохо бы покрыть зубы специальным лаком.

Готовясь к предстоящей беременности, женщине нужно укреплять иммунитет. Для этого она должна включать в свой рацион продукты, богатые витаминами, макро- и микроэлементами. Повысить иммунные силы организма можно, если делать специальные физические упражнения. Также будущим мамам рекомендуется чаще бывать на свежем воздухе.

Чтобы сохранить зубы и десны здоровыми, будущая мама должна соблюдать гигиену полости рта и тщательнее следить за состояние зубов и десен. Беременной женщине необходимо:

  • дважды в день проводить качественную чистку зубов;
  • процедуру всегда начинать с одного и того же места;
  • очищать поверхность каждого зуба, стараясь ни одного не пропустить;
  • удалять частички пищи из межзубных промежутков при помощи флоссов.

В период беременности предпочтение лучше отдавать зубным пастам с высоким содержанием фтора и кальция. При воспалении десен лучше использовать противовоспалительные средства или растворы для полосканий на основе травяных настоев и отваров.

Если интоксикация не позволяет женщине качественно почистить зубы, справиться с инфекцией помогут специальные ополаскиватели. Если чистка зубов спровоцировала рвоту, необходимо прополоскать рот водой. Спустя некоторое время нужно доделать начатое, так как кислота из желудка повреждает эмаль.

Еда должна приносить максимальную пользу и матери и ребенку, поэтому питание должно быть сбалансированным. Чтобы не допустить разрушения зубов во время беременности, женщине стоит потреблять продукты, богатые кальцием (рекомендуем прочитать: чем полоскать ротовую полость при беременности, если наличествует больной зуб?). Первое место в этом списке занимают:

ИНТЕРЕСНО: как можно сохранить зубы во время беременности?

  • сыры и молочные продукты;
  • яйца;
  • кунжут;
  • зелень;
  • капуста;
  • шоколад и пр.

Некоторые вещества замедляют всасывание минерала, поэтому лучше избегать комбинации продуктов, богатых кальцием, с:

  • черной смородиной;
  • щавелем;
  • шпинатом;
  • кофе и чаем.

Магний тоже играет не последнюю роль – этот минерал полезен для сосудов и хорошо сочетается с кальцием. Магния много в молоке, картофеле, бананах, орехах и сое. Настоящей сокровищницей витаминов и минералов являются зародыши пшеницы.

https://youtube.com/watch?v=LezDHr9ZBTM

Также не стоит забывать о витаминах группы В, С, Е и прочих, которые женщина должна получать из пищи. Многие специалисты считают, что прием витаминных комплексов может принести куда больше вреда, чем пользы. Нередко плод перенасыщается полезными элементами, а плацента быстро стареет, что приводит к преждевременным родам.

Ссылка на основную публикацию
Похожее