Пн-чт: 08:00—17:00 (перерыв 12:00—13:00); пт: 08:00—15:45 (перерыв 12:00—13:00)
whatsapp telegram vkontakte email

Фото узи 4 недели беременности двойня

image

kurs-na-dvojnyu.ru · 12.10.2019

Каждая будущая мама двойни или тройни ощущает себя особенной. Это невероятное чувство, когда ты знаешь о том, что внутри тебя бьется несколько крохотных сердечек.

Двойня на ранних сроках беременности незаметна постороннему взгляду. Но внутри мамы в это время происходят самые важные процессы. Организм женщины полностью перестаивается под будущих деток. А у зародышей формируются органы и скелет.

Этой статье мы расскажем о том, какие есть симптомы многоплодной беременности до задержки месячных и как выглядит и чувствует себя двойня на ранних сроках беременности.

Внешне двойня на ранних сроках беременности не отличается от одного плода. Но заподозрить, что вы носите под сердцем двух детей, можно уже в первый месяц после зачатия.

Есть ряд симптомов беременности двойней на ранних сроках, которые могут косвенно указать на это. Они связаны с ощущениями мамы при беременности двойней. Симптомы могут появиться у женщин еще до задержки месячных.

Одна из причин тянущих болей внизу живота — тонус матки. При многоплодной беременности это частое явление. Ведь матка растягивается очень быстро, чтобы дать необходимое пространство для эмбрионов. Орган работает на пределе возможностей и женщина ощущает тянущие или покалывающие боли в животе, как при месячных.

Это частое явление у женщин в «интересном положении». Причина запора – прогестерон. Гормон подготавливает женский организм к зачатию. А после создает условия для развития зародышей.

Но тот же гормон нарушает перистальтику кишечника, что приводит к запорам. При естественной многоплодной беременности прогестерон вырабатывается больше (по верхней границе нормы или выше).

Поэтому запоры возникают чаще.

Прогестерон при двойне может быть в пределах нормы, идти по верхней границе или быть повышенным.

Прогестерон заставляет меняться молочные железы, подготавливая их к лактации. Этот процесс начинается с первого месяца беременности. Женщина замечает, что грудь наливается или побаливает.

При здоровой многоплодной беременности прогестерон вырабатывается больше нормы. Поэтому процессы в молочной железе происходят быстрее.

Ощущения в груди будущая мама может заметить уже в первую неделю после зачатия.

Врачи начинают отсчет беременности с первого дня последних месячных. Овуляция и возможность зачатия происходит в середине цикла, то есть примерно на 8-18 день, в зависимости от длины цикла. 

Первые 2 недели беременности — женщина не беременна!

Получается, что первые 2, а то и 3 недели женщина вообще не беременна. Хотя формально эти дни тоже приписывают к беременности. Эту систему отсчета называют акушерским сроком.

Реальный возраст зародышей на 2 недели меньше. Но во всем мире за основу принят именно акушерский срок, т.к.

Овуляция — это момент созревания женской яйцеклетки. Только в период овуляции можно забеременеть. Это происходит примерно в середине цикла. Посмотрите на таблицу и отсчитайте нужное количество дней от первого дня вашей последней менструации. Например, при продолжительности цикла 28 дней овуляция наступит на 12-16 день от начала последних месячных.

Во время овуляции полностью созревшая яйцеклетка готова встретиться со сперматозоидом. В некоторых случаях в организме женщины созревает несколько яйцеклеток. Каждая из них потенциально готова в будущем превратится в зародыша.

Природа придумала 2 варианта зарождения двойни

Первое узи. Беременность двойней 5 недель. Первый триместрПервое узи. Беременность двойней 5 недель. Первый триместр

Есть другой вариант. Яйцеклетка одна, но после оплодотворения она расщепляется на две или три идентичные части. Они будут развиваться самостоятельно и станут эмбрионами. Так происходит в организме женщины при естественном зачатии двойни или тройни.

В течение недели после слияния сперматозоида и яйцеклетки, будущие зародыши продвигаются по трубам в полость матки. Там они закрепляются и продолжают свое развитие.

При ЭКО женщина принимает препараты, стимулирующие развитие яйцеклеток. Их извлекают и оплодотворяют искусственно. На 2-3 неделе месячного цикла их подсаживают обратно будущей маме. Проходит еще 2 недели. И, если зародыши закрепились на стенке матки, в этот момент начинается настоящая беременность.

На 2 акушерский месяц происходит активное развитие эмбрионов. У них закладываются все внутренние органы и нервные клетки.

Стук сердца слышен с 5 недели

Одним из первых появляется сердце. В начале 5 акушерской недели оно начинает самопроизвольно сокращаться. У эмбрионов появляется своя группа крови. Развивается мышечная система, малыши уже могут непроизвольно двигаться. К концу 2 месяца (8 акушерская неделя) зародыши еще очень маленькие, около 1,5 см.

Эмбрионы начинают походить на маленьких людей. Голова растет очень быстро и занимает треть длины плода. Активно развивается мозг. За 1 минуту в нем формируется 2,5 миллиона нервных клеток. К моменту рождения их будет 100 миллиардов.

С 12 акушерской недели зародышей называют плодами. К концу 3 месяца малыши выросли до 5-6 см.

Таблица размеров плода в 1 триместре. В первые 12 недель у двойни и тройни обычно нет отставания от показаний по размерам.

Пока двойняшкам, тройняшкам и даже четверняшкам уютно в утробе матери. Они не подозревают о существовании друг друга. Но скоро малышам предстоит борьба за выживание.

В случае разнояйцевой двойни эта борьба не слишком жестокая. У каждого малыша образовалась своя плацента, и питание поступает обособлено.

У однояйцевых близнецов все серьезней. Их объединяет одна плацента, которая является поставщиком питательных веществ. При этом один ребенок может «объедать» другого.

Не редко акушеры ставят разные сроки развития плодов. Например, один малыш развит по норме. А второй отстает на 1-2 недели. На последних сроках разница в развитии у двойни может достигать 4 недель.

При первом осмотре в 4-6 недель гинеколог не сможет определить количество плодов. Это видно на УЗИ только с 8 акушерской недели беременности (при условии хорошего аппарата у врача). До этого срока невозможно точно сказать многоплодная у вас беременность или нет.

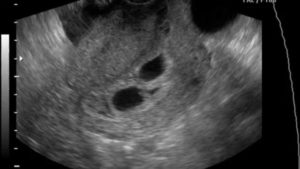
Фото УЗИ двойни на ранних сроках беременности, 8 недель

В 8 акушерских недель (или 6 недель от момента зачатия) обычно используют трансвагинальный способ УЗИ. Аппарат вводят внутрь, чтобы лучше разглядеть эмбрионы. На мониторе видны два или три темных пятна. Врач измеряет длину зародышей и фиксирует несколько сердцебиений.

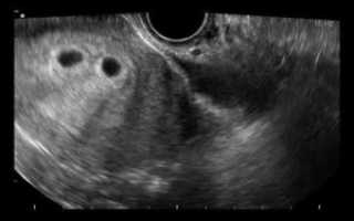
Фото беременности двойней на ранних сроках, 12 недель

УЗИ многоплодная беременность, четверняшки, 12-13 недель

В 12 — 14 недель все беременные проходят первый скрининг. Женщин, ожидающих двойню или тройню, отправляют на исследования как можно раньше. На 10-11 акушерской неделе.

УЗИ проводят скрининговым методом. То есть аппарат водят по животу, чтобы не повредить зародыши. На этом сроке уже видно количество плацент и плодных пузырей.

В 10-12 недель врач может определить вид беременности:

Дихориальная – диамниотическая (ди-ди) — каждый плод находится в своем мешочке (амнионе), у каждого своя отдельная плацента.

Монохориальная – диамниотическа (моно-ди) — у детей одна плацента на всех. Но они разделены друг от друга, так как у каждого зародыша свой плодный пузырь.

Монохориальная – моноамниотическая (моно-моно) — одна плацента и один плодный пузырь на всех. Дети не отделены друг от друга.

Двойня на ранних сроках беременности, 16 недель

Беременность 5-6 недель, двойня 5-6 недель. УЗИ (29-10-17)Беременность 5-6 недель, двойня 5-6 недель. УЗИ (29-10-17)

Второе скрининговое УЗИ проводят с 18 по 20 неделю. При многоплодной беременности женщине могут назначить исследование уже на 16 акушерской неделе. На этом сроке виден пол будущих детей.

В первом триместре все эмбрионы растут примерно с одинаковой скоростью, без отставания от норм развития. Начиная с 4 месяца плодам может не хватать свободного места в животе матери, а также питательных элементов. Поэтому во 2 и 3 триместрах беременности двойняшки часто отстают от норм развития своих сверстников.

При рождении разнояйцовых двойняшек один ребенок почти всегда весит больше другого. Это зависит от эффективности плаценты, которая помогала питаться каждому из детей.

image

Беременность часто сопровождается положительными эмоциями со стороны будущей мамы. Но счастье удваивается, когда диагностируется беременность двойней на УЗИ.

УЗИ в 2019 году делается на 4-5 недели. Обычно к этому времени приходит менструация. Но при появлении задержки месячных и положительных тестах женщина обращается к ультразвуковой диагностике. Данный метод определения зачатия считается наиболее информативным.

УЗИ не показывает двойню на ранних сроках: один малыш прячется за другим или у женщины будут близнецы. Поэтому, если сонолог на УЗИ сразу не увидел двойню, это не говорит о допущенной ошибке.

Количество плодов определяется на первом ультразвуковом скрининге в 12-13 недель. Врач определяет: число плацент, наличие или отсутствие специальной перегородки, сердцебиение плодов. Двойня на УЗИ по фото выглядит как 2 эмбриона с обособленным или совместным амниотическим мешком.

Первые симптомы волшебного состояния женщина ощущает уже после задержки. Беременная интересуется расположением будущего ребенка в матке. Разглядеть двойную беременность можно с 8 недели.

Если в матке одновременно прикрепилось несколько оплодотворенных яйцеклеток или развивается однояйцевая двойня, ультразвуковая диагностика зафиксирует несколько сердцебиений.

Для достоверности определения ультразвуковое обследование повторяют на сроке 12 недель. Иногда второй эмбрион умирает из-за различных причин: поглощение одного плода другим, инфекции и другое.

Ультразвук фиксирует количество эмбрионов в конце первого месяца беременности. 5 неделя — время прикрепления эмбриона к стенке матки. Раннее УЗИ проводится с целью определения типа беременности: маточная или внематочная.

Заключение ультразвукового исследования о количестве развивающихся в утробе плодов устанавливается при выявлении числа плацент, околоплодных пузырей, частоты тонов сердцебиения. Сонолог исследует размер каждого эмбриона.

Смотрите видео об УЗИ на 12 неделе беременности, которое указывает на двойню:

Точный результат исследования гарантирует 3 Д УЗИ органов малого таза. Объемное изображение досконально показывает эмбрион и его состояние в первом триместре.

Беременность двойней в 2019 году ничем не отличается от другого времени. Без УЗИ определить двойню помогают признаки:

Отчетливая вторая полоска на проверочном тесте. На ранних сроках показатель беременности бледный, практически незаметный. Это обусловлено минимальным количеством ХГЧ в начале беременности. Но когда в матке развиваются 2 плода, выработка гормона усиливается.

3 неделя беременности болит живот через неделю после овуляции3 неделя беременности болит живот через неделю после овуляции

Моментальный набор массы тела. Объем притока крови при двойне увеличивается из-за ускоренного роста матки.

Сильный токсикоз, периодическое недомогание, повышение температуры тела. Большинство беременных двойней, тройней испытываю привычные симптомы беременности в двойном размере.

Движения плодов ощущаются раньше 18 недели. Малышам при многоплодной беременности становится тесно, поэтому будущая мама отчетливо чувствует это.

Предрасположенность к многоплодной беременности, по-научному полиэмбриония, до конца не изучена. Но ученые биологи выявили ряд факторов, которые способствуют двойному и тройному оплодотворению:

Процедура ЭКО. При искусственном зачатии у женщины стимулируют усиленную выработку яйцеклеток. Поэтому за один цикл сразу 2 яичника фоликулируют и производят яйцеклетки, которые затем оплодотворяются сперматозоидами.

Генетическая предрасположенность. Один из супругов родился близнецом или двойняшкой. Передается только по женской линии.

Гормональные изменения в женском организме после 35 лет. Из-за этого овуляция происходит сразу в двух яичниках.

Аномальное строение маточной полости.

Высокий показатель гормона в крови, который стимулирует созревание фолликулов. Одновременно вырабатываются две и более яйцеклетки.

По большей вероятности забеременеть двойняшками возможно с помощью экстропорального оплодотворение. Но процедуру проводят только по показаниям:

необъяснимое бесплодие на протяжении длительного периода;

женщине удалили маточные трубы;

есть генетические мутации, которые передаются по наследству;

нежизнеспособные или малоподвижные сперматозоиды у мужчины;

непроходимость в маточных трубах.

ЭКО не делается женщинам, которым 40 и больше лет. Во время процедуры врач забирает одну хромосому из спермы. Отцовская хромосома влияет на половую принадлежность ребенка. После женская яйцеклетка оплодотворяется мужским спермотозоидом, в котором заранее закладывается пол малыша.

Смотрите видео о том, как забеременеть двойней:

Часто оплодотворение происходит одновременно на нескольких яйцеклетках, так как одна из них может погибнуть. Но если выживают обе, получается беременность двойней или тройней.

Беременность двойней без стороннего вмешательства обусловлена генетической предрасположенностью:

Двуяйцевые близнецы получаются, если оплодотворилась одна яйцеклетка двумя сперматозоидами или за один цикл созрели сразу две яйцеклетки.

Однояйцевая двойня образуется при разделении яйцеклетки на две зиготы. Обе частички несут идентичный генный набор. Поэтому двойняшки рождаются одинаковыми.

image

Беременность сопровождается положительными эмоциями со стороны будущей мамы. Но счастье удваивается, когда диагностируется беременность двойней на УЗИ.

УЗИ в 2019 году делается на 4-5 недели. К этому времени приходит менструация. При появлении задержки месячных и положительных тестах женщина обращается к ультразвуковой диагностике. УЗИ метод определения зачатия считается наиболее информативным.

УЗИ не показывает двойню на ранних сроках: один малыш прячется за другим или у женщины будут близнецы, во втором случае оплодотворенная яйцеклетка разделится позже. Если сонолог на УЗИ сразу не увидел двойню, это не говорит о допущенной ошибке.

Количество плодов определяется на первом ультразвуковом скрининге в 12-13 недель. Врач определяет: число плацент, наличие или отсутствие специальной перегородки, сердцебиение плодов. Двойня на УЗИ по фото выглядит как 2 эмбриона с обособленным или совместным амниотическим мешком.

Моя беременность двойней / 1 триместр беременности двойнейМоя беременность двойней / 1 триместр беременности двойней

Разнояйцевая двойня на УЗИ

Ультразвук фиксирует количество эмбрионов в конце первого месяца беременности. 5 неделя — время прикрепления эмбриона к стенке матки. Раннее УЗИ проводится с целью определения типа беременности: маточная или внематочная.

Заключение ультразвукового исследования о количестве развивающихся в утробе плодов устанавливается при выявлении числа плацент, околоплодных пузырей, частоты тонов сердцебиения. Сонолог исследует размер каждого эмбриона.

Смотрите видео об УЗИ на 12 неделе беременности, которое указывает на двойню:

Точный результат исследования гарантирует 3 Д УЗИ органов малого таза. Объемное изображение досконально показывает эмбрион и его состояние в первом триместре.

По большей вероятности забеременеть двойняшками возможно с помощью экстракорпорального оплодотворения. Процедуру проводят только по показаниям:

  • необъяснимое бесплодие на протяжении длительного периода;
  • женщине удалили маточные трубы;
  • есть генетические мутации, которые передаются по наследству;
  • нежизнеспособные или малоподвижные сперматозоиды у мужчины;
  • непроходимость в маточных трубах.

ЭКО не делается женщинам, которым 40 и больше лет. Во время процедуры врач забирает одну хромосому из спермы. Отцовская хромосома влияет на половую принадлежность ребенка. После женская яйцеклетка оплодотворяется мужским спермотозоидом, в котором заранее закладывается пол малыша.

Смотрите видео о том, как забеременеть двойней:

Часто оплодотворение происходит одновременно на нескольких яйцеклетках, так как одна из них может погибнуть. Но если выживают обе, получается беременность двойней или тройней.

image

Беременность двойней – это настоящее чудо, которое случается далеко не с каждой мамой, в то время как желающих иметь двух похожих друг на друга деток в избытке.

По статистике, которая разнится от страны к стране, доля молодых мам, которые рожают двоих или больше малышей за один раз, составляет около 1 процента от общего числа. В зависимости от страны может либо быть немного ниже, либо доходить до полутора процентов.

Близнецы – это любые детки, зачатие которых произошло в близкий по времени момент.

При этом не всегда зачатие обоих малышей происходит единовременно, не редки случаи, когда вторая яйцеклетка оплодотворяется в течение недели после первой, что не мешает в исключительных случаях развиваться сразу двум, или даже трем малышам. Двойняшка, тройняшка – это лишь уточнение количества братиков и сестричек.

Беременность двойней

Однако, близнецы делятся на однояйцевых и разнояйцевых — здесь разница достаточно серьезна:

  1. Однояйцевые близнецы – это результат деления одной оплодотворенной клетки на две, которые впоследствии должны отделиться, прежде чем закрепиться на матке матери. Если это происходит в первые три недели после зачатия, оба плода получат по собственной плаценте для питания, если же это произойдет позже, то плацента будет одна. В таком случае оба малыша будут получать необходимые питательные вещества через одну плаценту, к которой будет крепиться сразу две пуповины.
  2. Разнояйцевые близнецы всегда развиваются отдельно, имеют собственную плаценту, менее похожи друг на друга, в то время как связь между однояйцевыми родственниками чрезвычайно сильна. Причина кроется, как считают ученые, в абсолютно одинаковом наборе генов, так как оба малыша, по сути, выходят из одной клетки. Разнояйцевые же близнецы похожи между собой не более, чем обычные брат с сестрой.

Также узнай, что такое ротавирусная инфекция при беременности.

Беременность двойней имеет немного другое течение, в сравнение с обычной. Так, живот при беременности двойней растет интенсивнее, и, зачастую, довольно быстро начинает опережать свой срок, по сравнению с обычной беременностью. Это может стать одним из признаков беременности двойней.

Маточная беременность раннего срока, плодное яйцоМаточная беременность раннего срока, плодное яйцо

Однако сюда в большей степени относят быстрое увеличение матки, что при наблюдении у врача становится заметно на ранних неделях, примерно на 6-8. Согласитесь, если на 6 неделе у вашей любимой животик больше на 3 сантиметра, чем это случается при одноплодовой беременности, вы вряд ли это заметите, да и она тоже, особенно если двойней это первая беременность.

Будущая мама двойняшек

С точки зрения размера лучше судить на более поздних сроках, когда на 10 неделе ваша избранница становится обладательницей прекрасного животика, свойственного скорее для 14 недели беременности.

Однако на этом этапе всегда уже доподлинно известно о наличии как минимум двух малышей, и, в принципе, не редки случаи, когда признаки беременности двойней грамотный доктор замечает немногим позже пятой недели.

Он отправляет мамочку на обследование, чтобы пронаблюдать на УЗИ беременность двойней, так как это самый надежный способ определения данного интересного, редкого факта. Также возможно диагностировать эту особенность с помощью анализа крови, однако он не такой точный, поэтому используется нечасто.

Если говорить о преимуществах беременности двойней, достаточно взглянуть на фотографии счастливых мам и отцов, которые обнимают своих одинаковых детишек. Да, какого-то глобального списка достоинств ждать не стоит: плюс всего один, но зато какой:

  • малыши, будь-то двойняшки или близнецы, всегда будут хорошо ладить друг другом, сводя на нет все возможные ссоры в зародыше. Ревности у таких малышей друг к другу тоже нет, что нередко встречается у других детей разного возраста, когда старший ребенок ревнует к младшему, за то, что тот получает немного больше внимания родителей;
  • впоследствии, когда малыши подрастут, соперничества между ними также не возникнет, это и понятно — зачем соперничать с тем, кто всегда был рядом, с кем ты делил все, в том числе материнскую любовь на протяжении первых 9 месяцев жизни в мамином животике?
  • особенно сильно все эти родственные чувства выражены, конечно же, у однояйцевых близнецов, которые, зачастую, чувствуют состояние своей второй половинки даже на расстоянии;
  • ну и, конечно же, самым приятным для родителей моментом станет наблюдать, как два одинаковых ребеночка с их глазами резвятся и играют вместе.

По статистике, беременность после двойни имеет значительно больше шансов опять стать многоплодовой, и двойней на этот раз может не ограничиться. Конечно, это не значит, что вторая беременность непременно завершится двойней, но шансы на это будут значительно выше, чем первый раз, так как организм начинает приспосабливаться к одновременному вынашиванию двух плодов.

Обычно узнать, что у вас двойня наверняка, можно довольно быстро. УЗИ способно точно ответить на ваш вопрос уже на 5-6 неделе — обычно на этот момент малыши уже по размерам достигают нескольких сантиметров, и их вполне можно рассмотреть.

Рождение мальчиков

Примечательно, что раньше 4-х недель в принципе мало кто делает УЗИ, так как, зачастую, о своей беременности девушки узнают после задержки, которая происходит на четверную неделю после близости с мужчиной. Только после этого следует тесты на беременность и походы на УЗИ, чтобы впервые увидеть на фотографиях узи беременность двойней.

Как уже говорилось, беременность двойней – это более сложный процесс, который проходит тяжелее, как для малышей, так и для мамы. Рассмотрим понедельные изменения в организме, которые будут наиболее заметны будущей маме при беременности по неделям двойней, сопровождающимися фото живота:

  • с 1 по 5 неделю;
  • 6 неделя;
  • с 7 по 10 неделю;
  • с 11 по 13 неделю;
  • с 14 по 25 неделю;
  • 26 – 30 недели;
  • 31- 36 недели.

Возможны неприятные ощущения в области ребер, связанные с внушительным животиком. Пора переходить на постоянное наблюдение к врачу, и все закончится родами долгожданной двойни.

Что происходит с мамой и ребёнком на 4 неделе беременности? 1 месяц беременности. Первый триместр.Что происходит с мамой и ребёнком на 4 неделе беременности? 1 месяц беременности. Первый триместр.

Здоровые малыши

Роды, как и беременность двойней, проходят тяжелее, чем у остальных, и на это есть целый ряд причин.

  1. Во-первых, положение двух или более плодов часто непредсказуемо, поэтому естественные роды удаются не всегда, хотя такие случаи встречаются. Но даже при видимом отсутствии тревожных фактов при беременности, в конечном итоге все же приходится делать кесарево сечение. Однако сегодня это не так страшно, и бояться этого не стоит.
  2. К возможным осложнения при родах также относят спутывание пуповин, что нередко доставляет врачам дополнительные хлопоты. Все это служит причиной к госпитализации мам, вынашивающих двойню, заранее, чаще всего, за 3-4 недели для родов, чтобы тщательно изучить организм матери, и приготовиться ко всем возможным развитиям ситуации.

Однако общего положительного впечатления от родов двойни не способно затмить ни одна из проблем, через которые приходится проходить молодым мамам. Это мы еще не рассматривали подробно общий дискомфорт, утомляемость и прочее от вынашивания сразу нескольких малышей. Но отзывы о беременности двойней исключительно положительные.

Ждем двойняшек!

В роду нашем такого раньше не было. Сейчас уже 19-я неделя, лежала в больнице, но так тянуло домой, что ни кушать не хотелось, ни спать. Зато дома стало намного лучше. Еще всех предупреждаю, что двойни рождаются немного раньше срока, так что будьте осторожны, не носите тяжестей.

Мои близняшки.

Сколько всего пережила 22 июля! Этот день стал днем рождения моих двух дочек, Ани и Вероники.

Все началось с того, что начало тошнить от привычных продуктов, еще голова кружилась, но я же не первый раз рожаю, и раньше такого не было! Решила провериться у доктора, он успокоил, сказал, что все хорошо, а уже позже, на 7 неделе узнала, что будет двойня! Первое время был легкий шок, а потом радость, которая со мной и сейчас.

Узнай для чего нужны бускопан свечи при беременности.

  • Как отходят воды у беременных
  • Во сколько недель начинает шевелиться ребенок
  • Опасна ли ветрянка при беременности
  • Вредно ли красить волосы хной во время беременности
  • Симптомы внематочной беременности и возможные последствия
  • Можно ли по базальной температуре определить беременность на ранних сроках

Информация, опубликованная на сайте Sberemennost.ru только для чтения и предназначена лишь для ознакомления. Посетители сайта не должны использовать их в качестве медицинских рекомендаций!

image

Определение двойняшек и близнецов осуществляется таким продуктивным методом исследования, как УЗИ. Этот вид обследования обеспечивает информацией о месте расположения ребенка, имеется ли многоплодная беременность и др.

Как правило, двое эмбрионов четко определяют на УЗИ с самых ранних недель — 5-7. Позже врач способен это определить и без применения ультразвуковой диагностики. Двойняшек можно выявить по такому признаку, как увеличенный размер матки, уже с ранних сроков, а медицинская диагностика с применением ультразвука покажет двух детей только на 1 скрининге — в 10-14 недель.

Двойняшки покажутся на УЗИ уже с 5 недели

Если во время осмотра на начальных неделях акушер-гинеколог отмечает больший размер матки, чем предполагаемый, врач назначает проведение ультразвукового обследования.

В таком случае УЗИ эмбрионов покажет наличие двойни уже на 5 неделе, особенно с применением высокочувствительных датчиков 3д-сканирования. Осмотр дает возможность определить двойняшек только на сроке 9-11 недель.

Может ли врач ультразвуковой диагностики ошибиться и не увидеть двойню? Да, такое случается.

Старое оборудование не способно на качественную визуализацию, так как протяжность излучаемого ультразвукового сигнала не достаточна для сканирования на последних месяцах.

Следовательно, наличие двойняшек в утробе выявляется посредством ультразвука уже через месяц после зачатия, на снимке они выглядят как 2 образования темного цвета внутри полости матки (см. фото УЗИ-обследования двойни ниже).

  • УЗИ-диагностика двойни через 11 недель показывает немного уменьшенные для своего срока развития размеры первого и второго плода – примерно 4,2-4,8 см.
  • При обследовании на 12 неделе эмбрионы имеют длину по 6 см, а их вес составляет примерно 8 грамм.
  • На 20 неделе малыши имеют вес 350 грамм. Можно заметить, что один ребенок крупнее второго. Это происходит из-за кровяного шунта, по которому происходит постоянный сброс крови одному из двух плодов.
  • После 32-34 недель малыши набирают вес до 2 кг.

Увидеть двойню на УЗИ при беременности можно уже через месяц после зачатия. В этом случае специалист отметит на экране монитора два пятна черного цвета, которые хорошо просматриваются ультразвуком

Причины, косвенно влияющие на вероятное многоплодие:

  • беременной женщине более 35 лет;
  • наследственность по женской линии;
  • отклонения в структуре матки;
  • беременность в результате ЭКО;
  • беременность после отказа от оральных контрацептивных средств;
  • неестественная (искусственная) стимуляция овуляции.

Типы многоплодия:

  • по численности эмбрионов: двойня, тройня, четверня и т.д.;
  • по количеству оплодотворенных яйцеклеток;
  • по численности образованных плацент и амниотических оболочек.

Типы по численности оплодотворенных яйцеклеток:

  • Двуяйцевая: рождается при оплодотворении двух яйцеклеток. Характерно появление двух детей одинаковых или противоположных полов.
  • Однояйцевая (наличие близнецов). Зарождение однояйцевой двойни возникает при оплодотворении одной яйцеклетки. Малыши рождаются лишь одинакового пола.

Типы по количеству плацент и амниотических оболочек:

  • Бихориальная биамниотическая двойня – оба зародыша обернуты отдельными плацентой и амниотической оболочкой. Может быть развитие двуяйцевых и однояйцевых двойняшек, если дробление одной яйцеклетки будет через три дня после зачатия.
  • Монохориальная биамниотическая – эмбрионы разделены двумя амниотическими оболочками, но находятся в одной плаценте, перегородка между плодами имеет два слоя. Такая разновидность двойняшек будет именно однояйцевой при дроблении яйцеклетки в промежутке 3 и 8 дня после зачатия.
  • Монохориальная моноамниотическая – одна плацента и одна амниотическая оболочка для двух плодов, межплодовая оболочка не присутствует. Эта двойня – только однояйцевая, развивается при дроблении одной яйцеклетки с 8 по 13 день после зачатия.

Если врач видит двойняшек (независимо от типа, к которому они относятся), это всегда большой сюрприз для будущих родителей

Определить наличие двух (и более) детей в утробе без использования ультразвукового обследования возможно на поздних сроках или в момент родов при таких признаках:

  • увеличенный размер матки в сравнении с предполагаемым периодом беременности;
  • прощупывание дало двойное количество малых и больших частей туловищ при внешнем гинекологическом осмотре;
  • прослушивание сердечных тонов в разных частях живота.

Существует несколько способов выявления двоих малышей без УЗИ:

  1. Анализ крови на ХГЧ. Результат анализа определит показатели несколько завышенными. Это значит, что уровень гормона выше в пару раз, чем при вынашивании одного малыша. Так как границы этого гормона весьма большие, только врач может сделать вывод о возможной беременности двумя малышами.
  2. Прощупывание живота доктором и прослушивание сердечных тонов. Сердце бьется уже на 6 неделе, но услышать его можно только на ультразвуковом обследовании. Через живот прослушать его можно с 22 недели. Если специалисты сказали, что в разных участках матки различаются сердечные тона, имеющие непохожую частоту, и в промежутке есть область, где сердцебиения неслышно, – это прямой признак многоплодной беременность на ранних сроках, даже без применения ультразвука. При пальпации живота можно можно нащупать 2 большие части – это голова и таз. Если врачи сказали о том, что отчетливо прощупываются две головы и два таза, то вывод очевиден.
  3. Среди женщин есть примета, по которой якобы определяются двойняшки. Считается, что сильный токсикоз — явное тому подтверждение. В некоторых случаях это может совпадать, поскольку уровень токсинов повышается, когда женщина ожидает рождения двух деток.

Каким способом самостоятельно определить близнецов? Если визуально видно, что живот быстро растет и уже не соответствует размерным показателям своего срока, то это может быть свидетельством двух малышей.

Выявить многоплодную беременность можно и не прибегая к помощи ультразвука. Один из проверенных способов — прослушивание сердечного ритма

Специфика наблюдения включает следующие пункты, о которых говорят многие специалисты:

  1. Учащенные визиты к гинекологу: 2 раза в течение месяца до 30-ти недельного срока, 1 раз в 7-10 дней после 31 недели.
  2. Слежение за набором веса. При многоплодной беременности потребность организма в витаминах, минералах, калориях намного повышается. Прибавка в весе не должна превышать 20-22 кг.
  3. Необходимо принимать лекарства, содержащие железо, для предотвращения малокровия. Также прописываются поливитамины для употребления на протяжении всех 9 месяцев. Ограничение излишней физической активности, высыпание, часовой перерыв в деятельности в середине дня
  4. Контрольные наблюдения у гинеколога за изменениями в шейке матки.
  5. Регулярное ультразвуковое обследование для раннего обнаружения отставания внутриутробного развития.
  6. Периодический контроль за структурой и состоянием плаценты, объемом околоплодных вод.
  7. Превентивное употребление медикаментов против фетоплацентарной недостаточности (курантил, метионин), гестоза (магне В6), невынашивания (гинипрал, магне В6).

Многоплодие – большая нагрузка для женского организма. При этом чрезмерно повышается давление на кровеносную систему, пищеварение и дыхание, увеличивается риск экстрагенитальных заболеваний (в 6 раз). Главные типы осложнений:

  • усиление хронических болезней;
  • гестоз и общее ухудшение здоровья женщины (возникает на начальном сроке и проходит с тяжелыми осложнениями);
  • резкое снижение гемоглобина, вероятно появление анемии;
  • внутриутробное отставание в развитии одного или обоих плодов.

Ультразвуковая диагностика при многоплодной беременности проводится чаще, чем при вынашивании одного плода. Это связано с увеличением риска появления осложнений.

Обязательно приводится дополнительное ультразвуковое обследование перед родами, оно дает возможность определиться с предродовой подготовкой (так как часто можно увидеть неправильное положение двойняшек в утробе).

Если женщине сказали на УЗИ, что у нее двойня, нужно хотя бы один раз провести ультразвуковую диагностику в хорошо оборудованном медицинском заведении.

Ссылка на основную публикацию
Похожее