Пн-чт: 08:00—17:00 (перерыв 12:00—13:00); пт: 08:00—15:45 (перерыв 12:00—13:00)
whatsapp telegram vkontakte email

Дифференциальная диагностика туберкулемы и периферического рака легкого

Дифференциальную диагностику приходится проводить с острыми и хроническими воспали­тельными процессами, абсцессами, туберкулёзом лёгких, другими шаровидными образованиями (доброкачественные опухоли – внебронхиальные, эхинококковые кисты, ретенционные кисты, туберкуломы).

Абсцесс лёгкого до прорыва в бронх приходится дифференцировать от периферического рака без распада (редко). Но иногда абсцесс лёгкого напоминает периферический рак. Отличие: до прорыва в бронх абсцесс даёт однородную тень овальной или округлой формы. Нечёткие контуры тени (при остром абсцессе), при периферическом раке тень неоднородная, контуры бугристые, более или менее чёткие, клиники нет. При абсцессе – анамнез, соответствующая клиническая картина. Динамика при абсцессе под влиянием лече­ния.

Прорвавшийся абсцесс лёгкого с периферическим раком с распадом. Для дифференциальной диагностики имеет значение характер наружной и внутренней стенок полости, толщина стенок полости, состояние окружающей лёгочной ткани.

При периферическом раке — бугристость контуров самого образования, просветление в центре имеют неправильную форму, стенка толстая или неравномерной толщины, окружающая лёгочная ткань не измене­на или изменена мало. При абсцессе лёгкого вначале после прорыва в бронх, пока не отторгнуты некротические массы, внутренняя стенка полости может быть неровной, как и при периферическом раке, но она быстро очищается и внутренняя стенка становится ровной – это характерно для абсцесса лёгкого. Нередко при абсцессе и наружная стенка ровная, т.е. для абсцесса характерна быстрая динамика под влиянием лечения (быстрая динамика картины полости) и в конечном итоге равномерная тол­щина стенки. Что касается горизонтального уровня жидкости, то он может быть и при периферическом раке, при не­ясности – биопсия.

Инфильтративный туберкулёз в фазе распада и периферический рак с распадом. При туберкулёзе полость с довольно чёткими внутренними и наружными контурами, очаги отсева рядом с инфильтратом или в других участках лёгких, данные бактериологического исследования.

При инфильтративном туберкулёзе без распада (если он в виде узла) – туберкулёзный фон, верхняя доля, динамика при лечении, туберкулёзные палочки.

С шаровидной формой хронической пневмонии

Иногда невозможно отличить от рака. При шаровидной пневмонии неправильно-округлая форма тени наблюдается только в одной проекции, в другой проекции они принимают форму треу­гольника или менее округлую форму. Периферический рак в обеих проекциях сохраняет более или менее правильную шаровидную форму.

Структура тени при хронической пневмонии неоднородная (как и при периферическом раке), на фоне её могут определяться множественные мелкие полости распада неправильной формы, полости располагаются не в центре, а эксцентрично. Наружные контуры при шаровидной пневмонии нечёткие и неровные, может быть лучистость контуров, как и при ПР. Эта неровность и лучистость обуслов­лена фиброзными тяжами, но тяжи грубые, так как окружающая лёгочная ткань склеротически изменена. Иногда даже наблюдается и бугристость контуров, как при периферическом раке.

Наружные контуры тени у периферического рака более чёткие. На фоне ракового узла нет просвета бронха. При бронхографии раковая полость распада не контрастируется, при хронической пневмонии контрастируется.

Шаровидные пневмонии чаще инфарктного гнезда, тромбоэмболического характера. Если есть серьёзные основания думать о пневмонии, то можно лечить 30 – 40 дней, а если нет динамики, то необходимо бронхологическое обследование.

С острой пневмонией. Клиника, быстрая динамика, быстрое уменьшение и увеличение. Доброкачественные внутрилёгочные (внебронхиальные) опухоли.

Среди доброкачественных опухолей преобладают гамартохондромы, реже аденомы. Аденомы выглядят как гамартохондромы, без обызвествления. Доброкачественные опухоли отличаются от периферического рака следующими признаками. Чаще они были одиночны. Правильная форма – шаровидная или овоидная, грушевидная. Контуры чёткие — ровные или волнистые. Структура однородная, может быть известь при гамартомах. Нет распада. Отсутствуют изменения плевры и в лёгких, лёгочный рисунок вокруг нормальный. Нет дорожки, нет л/узлов. Нет увеличения или медленное увеличение. Если нет уверенности, что это малый рак или доброкачественная опухоль, то лучше не ждать, а оперировать.

Туберкуломы – это свежие инфильтраты или казеоз с капсулой. Туберкулома никогда не быва­ет в передних сегментах (3, 4, 5) или бывает редко. При периферическом раке локализация любая. В большинстве случаев туберкуломы имели (на операциях) неправильно-округлую форму. Неровные, волнистые контуры. В 27 % они сочетались с зубчатостью. Преобладают чёткость и нечёткость контуров. В 96 % случаев структура туберкулом была неоднородная из-за наличия казеоза, деструкции, фиброза, извести.

Обызвествление туберкуломы может быть беспорядочным, скорлупообразным, возможно в центре и по периферии. Полость распада может быть центральной, но чаще по периферии (эксцентрично), там, где идёт дренирующий бронх.

Рак, как правило, не обызвествляется, но опухоль может развиваться на месте старых туберкулёзных очагов, тогда можем увидеть обызвествления, но это исключительно редко. Очаги обыз­вествления могут быть также вокруг туберкуломы, но этот признак не нужно очень оценивать, так как рак часто встречается на фоне старого туберкулёза, как уже говорилось. Дорожка при туберкулезе грубая. Вы­ражен деформирующий бронхит.

Они имеют воспалительный генез и относятся к хроническим лёгочным заболеваниям. Это осложнения туберкулеза или воспалительного процесса. В большинстве случаев протекает бессимптомно.

Ретенционная киста – это расширенные бронхи, проксимальный отрезок которых облитерирован, склерозирован, периферические отделы бронхов заполнены жидкостью (слизь с примесью крови). Если бронх не облитерирован, а резко сужен, то образуется воздушная киста.

Форма ретенционной кисты зависит от уровня облитерации бронха, количества жидкости, состояния окружаю­щей лёгочной ткани и бывает округлой, веретенообразной, с пальцеобразными выступа­ми. Небольшой размер ретенционной кисты всегда совпадает с направлением бронхиальных ветвей данного участка лёгкого. Контуры чёткие, волнистые. Структура однородная и неоднородная, нередко фиброз в окружающей лёгочной ткани.

Периферический рак и ограниченный фиброз.

Без данных анамнеза их различать трудно. Важна динамика процесса, предыущие исследования. Контроль над лечением острой пневмонии для выявления рубцовых изменений.

Не нашли то, что искали? Воспользуйтесь поиском:

a. пробная терапия и динамическое наблюдение

b. бронхоскопия с катетербиопсией по Фриделю или катетеризационная биопсия под местной анестезией, трансторакальная игловая биопсия легкого, диагностическая торакотомия*

c. бронхоскопия с биопсией слизистой со срочным цитоморфологическим исследованием

d. все ответы правильные

7.24. Наиболее существенными рентгенологическими признаками, позволяющими отличать гамартохондрому от туберкулемы, являются:

a. резкий контур шаровидной тени, характер кальцинации и отсутствие распада*

b. неоднородная структура тени и характер окружающего фона

c. локализация, а также наличие или отсутствие распада

7.25. Наиболее существенными, отличительными рентгенологическими признаками ретенционной кисты от туберкулемы можно считать:

a. локализацию тени

b. гомогенную структуру тени и четкие контуры

c. форму и локализацию тени по ходу ветвления бронхов*

7.26. Основными отличительными рентгенологическими симптомами аспергиллемы от туберкулемы можно считать:

a. симптом «серпа», симптом «погремушки»*

b. наличие уровня в полости

c. четкость контура тени

d. нечеткость контура тени

7.27. Проникновению противотуберкулезных химиопрепаратов в очаг инфекции при туберкулеме препятствует:

a. перифокальное воспаление

b. специфическая грануляционная ткань

c. фиброзная капсула*

d. все перечисленное

7.28. Проникновение противотуберкулезных химиопрепаратов в инфекционный очаг практически не происходит при туберкулеме легкого:

a. в период ремиссии процесса и при стационарном варианте его течения*

b. в фазе инфильтрации

c. в фазе распада и обсеменения

7.29. Основными показаниями к хирургическому лечению при туберкулеме легкого являются:

a. при стационарном течении заболевания туберкулемы средних и крупных размеров; сопутствующие заболевания, повышающие риск обострения заболевания; необходимость в ускоренной трудовой реабилитации больного

b. наличие множественных туберкулем в одной доле легкого

c. прогрессирующее течение заболевания, замедленные темпы регрессии процесса в ходе химиотерапии и невозможность проведения полноценной химиотерапии

d. все ответы правильные*

7.3. К казеозным относятся все перечисленные варианты туберкулем, кроме:

7.30. Поводом для проведения оперативного лечения больных с туберкулемой легкого является:

a. неэффективность химиотерапии при этой форме туберкулеза

b. медленные темпы репарации в ходе лечения и невозможность определить прогноз заболевания как при стационарных туберкулемах, так и при туберкулеме с регрессирующим течением заболевания в ходе химиотерапии*

c. неблагоприятное течение заболевания при этой форме туберкулеза

d. обнаружение микобактерий туберкулеза

e. эффект от специфического лечения

7.31. Туберкулема образуется в результате:

a. быстрой инкапсуляции казеозного очага

b. слияния множества казеозных очагов в один конгломерат, окруженный капсулой

c. периодических вспышек перифокального воспаления с последующи инкапсулированием

d. заполнения казеозом каверны

e. всего перечисленного*

7.32. Наиболее частыми клиническими проявлениями заболевания при туберкулемах легких являются:

a. полное отсутствие клинических проявлений*

b. слабая интоксикация, сухой кашель

c. выраженная интоксикация, выраженные физикальные данные

7.33. Туберкулема легких обычно выявляется у подростков:

a. при массовой туберкулинодиагностике

b. при массовых флюорографических обследованиях населения*

c. по обращаемости

7.34. Оптимальной тактикой лечения туберкулемы легких является:

a. длительное лечение до полного рассасывания

b. оперативное лечение сразу же по выявлении

c. стабилизация процесса с помощью химиотерапии, а затем оперативное лечение*

7.35. Туберкулемы легких у подростков следует дифференцировать:

a. с доброкачественными опухолями и заполненными кистами легких

c. бронхобулярным инфильтратом

d. затянувшейся пневмонией

e. всем перечисленным*

7.36. Периферический рак легкого по сравнению с туберкулемой легкого чаще локализуется:

b. в глубине паренхимы легкого*

c. в прикорневой области

image

Организация стока поверхностных вод: Наибольшее количество влаги на земном шаре испаряется с поверхности морей и океанов (88‰).

Поперечные профили набережных и береговой полосы: На городских территориях берегоукрепление проектируют с учетом технических и экономических требований, но особое значение придают эстетическим.

image

Опора деревянной одностоечной и способы укрепление угловых опор: Опоры ВЛ — конструкции, предназначен­ные для поддерживания проводов на необходимой высоте над землей, водой.

image

Дифференциальная диагностика туберкулем легких

Перельман М. И., Корякин В. А.

Значительные трудности возникают при дифференциальной диагностике туберкулем легких в связи со сходством их рентгенологической картины и картины многих округлых (шаровидных) образований в легких и грудной полости.

Необходимость в уточнении этиологии округлого фокуса в легком возникает при впервые выявленной туберкулеме.

Диагноз туберкулемы, образовавшийся у больного туберкулезом в период наблюдения и специфического лечения, обычно не вызывает затруднений.

Наличие на рентгенограмме туберкулезных изменений вокруг округлого фокуса в легком или в других органах, обнаружение МБТ при неоднократных исследованиях мокроты, положительная и тем более выраженная реакция на туберкулин, отсутствие заболеваний других органов, которые могут давать метастазы в легкие, указывают на туберкулезную этиологию заболевания.

Наиболее часто туберкулемы приходится дифференцировать от рака легкого, доброкачественных опухолей и метастазов опухоли, реже от неспецифической пневмонии, заполненных паразитарных и непаразитарных кист, пневмомикозов, пороков развития бронхов и сосудов легких.

Иногда возникает необходимость различать туберкулему и осумкованный плеврит, если изменения в легких выявлены только с помощью обзорной рентгенограммы в прямой проекции. В этих случаях рентгенологическое обследование больного в других проекциях, обычная и компьютерная томография позволяют определить локализацию образования в легких, междолевой щели или в паракостальной плевральной полости.

Большую диагностическую ценность для определения локализации поражения имеет рентгеноскопия, выполненная при разных положениях больного.

Многоплоскостные рентгеноскопия и рентгенография, уточняющие положение патологического образования в грудной полости, позволяют исключить группу внелегочных заболеваний (загрудинный зоб, гиперплазия вилочковой железы, целомическая киста перикарда, невринома, натечник, опухоли плевры, кисты средостения и др.). Еще информативнее компьютерная томография.

Периферический рак. Среди образований в легких, имеющих округлую форму, чаще других встречается периферический рак. Многие симптомы, наблюдаемые при раке, могут обнаруживаться и при туберкулезе.

Туберкулема и рак в ранних стадиях развития обычно протекают без видимых клинических нарушений, а при появлении симптомов они, как правило, не имеют характерных только для одного из этих заболеваний особенностей.

Следует учитывать, что если у больных раком имеются указания на частые обострения хронического бронхита, то у больных с туберкулемой — на перенесенный сухой или экссудативный плеврит, контакт с больным туберкулезом.

В отличие от больных раком у больных туберкулемой кашель редкий или отсутствует. У больных раком значительно чаще наблюдаются упорные, нарастающие боли в груди. Одышка у больных туберкулемой отсутствует, тогда как при раке она часто является беспокоящим больного симптомом.

При физикальном исследовании обычно не находят дифференциально-диагностических отличий. При малых размерах раковой опухоли и туберкулемы изменения в легких при физикальном исследовании отсутствуют.

Ценные для диагностики данные можно получить при цитологическом исследовании мокроты на МБТ и опухолевые клетки (у больных периферическим раком они обнаруживаются при многократных исследованиях).

При этом необходимо учитывать, что однократное обнаружение микобактерий не всегда подтверждает диагноз туберкулеза, поскольку их выделение с мокротой у больных раком может быть связано с расплавлением старого туберкулезного очага в полости распадающейся раковой опухоли.

Большое дифференциально-диагностическое значение при постановке диагноза туберкулемы или рака имеет рентгенологическое исследование. Тень раковой опухоли более интенсивна, очертания ее менее резкие, волнистые, бугристые, тяжистые.

Иногда определяется так называемая вырезка — углубление в области вхождения в опухоль сосудисто-бронхиального пучка. В отличие от туберкулемы, в которой можно увидеть плотные обызвествленные включения, тень опухоли однородная или многоузловая.

Полости в раковом узле могут быть и мелкие, и более крупные, неправильной формы, с толстой стенкой. При туберкулезе полость начинает формироваться в периферических отделах, и только в дальнейшем происходят распад всей туберкулемы и образование тонкостенной полости.

В корне легкого у больного раком могут быть обнаружены метастазы опухоли, у больного с туберкулемой — кальцинированные лимфатические узлы.

Бронхоскопия при обоих заболеваниях малоинформативна, особенно при небольшом размере фокуса. Если ее проводить в сочетании с биопсией, то довольно часто удается морфологически подтвердить диагноз рака.

Для дифференциальной диагностики целесообразно использовать туберкулиновые пробы. При раке реакция на туберкулин постоянно слабоположительная или отрицательная.

Первичная саркома легкого, несмотря на интенсивный рост и большие размеры, так же как и туберкулема, может протекать бессимптомно. На рентгенограмме легких обнаруживается тень, отличающаяся от туберкулемы большим размером, четкими контурами, однородностью структуры и быстрым ростом.

Метастазы опухоли. Трудности в диагностике туберкулемы и метастазов рака возникают при единичной опухоли в легком. При клиническом обследовании больных не обнаруживаются характерные для этих заболеваний признаки.

Диагноз облегчается, если известны локализация первичной опухоли и возможные варианты ее метастазирования в легкие. Метастатическая опухоль отличается от туберкулемы тем, что располагается в неизмененной легочной ткани, тень ее однородная и менее интенсивная, с ровными правильными границами.

При двух и более туберкулемах в окружающей легочной ткани постоянно обнаруживаются туберкулезные очаги, посттуберкулезный склероз.

Доброкачественные опухоли. Нередко возникает необходимость дифференцировать туберкулему от доброкачественных опухолей (гамартохондрома, липома, фиброма и др.).

Клинические проявления доброкачественной опухоли либо отсутствуют, либо связаны со сдавлением бронха, сосудов, грудной стенки. При их развитии не наблюдается симптомов воспаления, что можно встретить при туберкулеме. Многие опухоли, достигая крупных размеров, протекают бессимптомно.

Большие трудности возникают и при анализе материалов рентгенологического исследования. Так же, как и туберкулема, доброкачественные опухоли имеют резкие очертания, в них (например, в хондроме) иногда можно обнаружить плотные костные включения.

При значительных размерах вокруг опухоли выявляются деформация легочного рисунка, склеротические изменения. Большинство доброкачественных опухолей представлены однородными тенями, они крайне медленно прогрессируют путем экспансивного роста, в них почти никогда не бывает полостей распада, особенно краевой локализации.

Кисты. Туберкулемы следует дифференцировать от заполненной кисты легкого. Так же, как и туберкулема, она протекает бессимптомно, с нормальными показателями гемограммы и биохимическими показателями крови.

Симптомы интоксикации появляются при нагноении кисты. Поэтому кисты у больных выявляются в большинстве случаев при профилактических флюорографических обследованиях. На рентгенограмме заполненная киста представлена округлой, однородной, резко контурируемой тенью.

При значительных размерах кисты можно выявить характерный для нее симптом — изменение формы кисты при дыхании больного.

При эхинококкозе больной может жаловаться на слабость, одышку, кашель, боли в грудной клетке, кровохарканье, т. е. на те же симптомы, что и больной с туберкулемой.

При заполнении бронхов контрастом выявляется отсутствие какой-либо связи эхинококкового пузыря с бронхиальным деревом. Если пузырь паразита располагается в периферических отделах легкого, то наличие заполненной жидкостью кисты диагностируют с помощью ультразвукового сканирования.

В диагностике может помочь обнаружение эхинококкового пузыря в печени. Большую информативность имеет компьютерная томография, с помощью которой по разности плотностей можно дифференцировать кисту от туберкулемы.

Ретенционная киста бронха может вызвать необходимость дифференцировать ее от туберкулемы. Возникает она при закупорке просвета бронха бронхолитом или в результате рубцовой деформации бронхов после излеченного туберкулеза или неспецифического воспаления.

Киста заполняется жидкостью и принимает характерную форму расширенного участка бронхиального дерева. Больным с ретенционной кистой нередко ставят диагноз туберкулемы, поскольку бессимптомное течение ее с эпизодически возникающими перифокальными обострениями напоминает клиническую картину туберкулеза.

Рентгенологически овальная или полициклическая тень кисты однородна, но в некоторых случаях в ней выявляются участки обызвествления, что также может служить причиной ошибочного диагноза.

Помогают поставить диагноз ретенционной кисты многоплоскостное томографическое исследование, оценка характера течения заболевания: длительное, стабильное, без образования полости распада.

Демонстративна бронхография, с помощью которой обнаруживают ампутацию пораженного бронха.

Туберкулему может напоминать округлая тень артериовенозной аневризмы легкого, длительное время не сопровождающаяся, как и туберкулема, симптомами поражения легкого.

При значительных размерах аневризмы появляются характерные признаки нарушения гемодинамики в виде цианоза, головокружений и других симптомов гипоксии, возможно кровохарканье. У больных обнаруживаются и другие пороки развития сосудов. Тень аневризмы изменяется при пробах Вальсальвы и Мюллера, можно заметить ее пульсацию.

На томограмме, выполненной через плоскость аневризмы, определяются подходящие к ней расширенные артерии и вена. Наличие артериовенозной аневризмы является показанием к ангиографии легкого.

Широкое использование антибактериальных препаратов способствовало появлению такого осложнения туберкулеза, как висцеральный микоз (аспергиллема). Гриб в виде шара появляется обычно в санированных туберкулезных кавернах, бронхоэктазах, в плевральной полости.

Основной причиной диагностических ошибок является неправильная трактовка округлой тени в легком на фоне остаточных посттуберкулезных изменений. Тень аспергиллемы неоднородна, иногда с участками обызвествления. Вокруг тени определяется прозрачная полоска воздуха в виде нимба, который можно контрастировать при бронхографии.

Для подтверждения диагноза аспергиллемы важно обнаружить у больного грибы с помощью посева мокроты, содержимого бронхов.

При дифференциальной диагностике туберкулемы следует помнить о возможности других более редких заболеваний легких, таких как сифилитическая гумма, аденома бронха, круглые пневмонические фокусы.

Среди клинических форм туберкулеза туберкулему напоминает округлый туберкулезный инфильтрат, который приходится дифференцировать от тех же заболеваний, что и туберкулему.

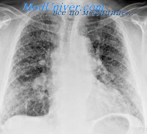
Дифференциальная диагностика туберкулом нередко встречает затруднения в связи с их рентгенологическим сходством с различными шаровидными образованиями грудной клетки и легких, число которых, по данным Ravelli (1951), достигает 72, а по мнению С. А. Рейнберга (1962), — 84. К ним относятся доброкачественные и злокачественные новообразования, паразитарные и непаразитарные заполненные кисты, эозинофильные инфильтраты, воспалительные гранулемы, пневмомикозы, осумкованные плевриты и т. д. Здесь не представляется возможным дифференцировать все эти заболевания от туберкуломы, поэтому мы ограничиваемся рассмотрением лишь некоторых из них, наиболее часто встречающихся.

Прежде всего приходится различать туберкулому и круглый туберкулезный инфильтрат. Последний отличается от туберкуломы рядом клинико-рентгенологических признаков: часто острым началом с явлениями интоксикации, наклонностью к лейкоцитозу, левому сдвигу нейтрофилов и ускоренной РОЭ, иногда внезапным возникновением кровохарканья и бацилловыделением. При прогрессировании инфильтрат часто подвергается распаду, и тогда образуется пневмониогенная полость распада со всеми характерными для нее и отличными от туберкуломы скиалогическими особенностями. В противоположность последней инфильтрат сравнительно быстро уменьшается в размерах или даже полностью рассасывается при лечении туберкулостатическими средствами.

По мере прогрессирования болезни выявляются некоторые общие признаки: кашель, кровохарканье, одышка, лихорадка, утомляемость, похудание, одинаковые физические изменения, ускоренная РОЭ, увеличение уровня глобулинов в сыворотке крови. Но основной причиной диагностических затруднений в этих случаях является довольно сходная рентгенологическая картина туберкуломы и шаровидного периферического рака.

image

Ряд признаков позволяет дифференцировать эти заболевания. Рак легкого значительно чаще поражает мужчин в возрасте особенно старше 40 лет. Больные туберкулезом нередко указывают на перенесенный в прошлом экссудативный и сухой плеврит или специфический процесс в других органах и на более частый контакт с бацилловыделителями. Страдающие раком легкого чаще, чем больные туберкулезом, жалуются на общую слабость. Выделяющаяся при кашле в небольшом количестве мокрота обычно слизистая, жидкая или тягучая, иногда с примесью прожилок или комочков крови. При туберкулезе легких кровохарканье, легочные кровотечения часто сопровождаются последующим образованием аспирационной пневмонии, бронхогенных очагов, бацилловыделением. Этого пе наблюдается при раке.

Тем же механизмом объясняют иногда наблюдаемую при этом заболевании гинекомастию у мужчин (Remade, 1964, и др.). Характерно, что и тот и другой симптом исчезают после оперативного удаления раковой опухоли.

В отличие от туберкулеза при раке легкого может быть обнаружен синдром повышенной секреции адренокортикотропного гормона, что клинически проявляется не только выраженной мышечной слабостью, но и отеками, а также признаками, характерными для болезни Иценко — Кушинга. Возникновение этого состояния обусловлено увеличенной секрецией опухолью легких АКТГ или АКТГ-подобного вещества. Вместе с тем наблюдающиеся у больных раком легкого анорексия и рвота могут быть обусловлены снижением содержания натрия в крови, усиленным его выделением с мочой и сопутствующей гидремией. Этот феномен объясняется, кроме того, повышенной секрецией антидиуретического гормона, а также выделением раковой опухолью вещества, близкого паращитовидному гормону.

Такие нарушения метаболизма и возникающие на их почве своеобразные симптомы не отмечаются или встречаются крайне редко при туберкуломе.

Физические изменения в легких в начальной фазе как рака, так и туберкуломы выражены в незначительной степени или даже отсутствуют. Онрг появляются и нарастают по мере прогрессирования болезни, причем при раке притупление перкуторного звука над областью поражения носит более выраженный характер, чем при туберкуломе. При прогрессировании опухолевого процесса нередко возникают симптомы сдавления крупных сосудов, ателектаз, параканкрозная пневмония, что нехарактерно для туберкуломы.

image

Врачи общей медицинской сети, организаторы здравоохранения, специалисты профилактической медицины постоянно сталкиваются с проблемой туберкулеза, поэтому знание основных разделов фтизиатрии необходимо.

Предлагаемая книга подготовлена в соответствии с программой по фтизиатрии для студентов высших медицинских учебных заведений Республики Беларусь. В ней представлены основные сведения по истории фтизиатрии, а также выделен раздел, касающийся истории борьбы с туберкулезом в Беларуси.

Книга: Фтизиатрия

Дифференциальная диагностика шаровидных образований легких (туберкулема, круглый инфильтрат)

Дифференциальная диагностика шаровидных образований легких (туберкулема, круглый инфильтрат)

Нередко круглый инфильтрат или туберкулему приходится дифференцировать с шаровидной пневмонией. При этом рекомендуется учитывать особенности анамнеза. Клинически пневмонии начинаются обычно более остро, чем инфильтративный туберкулез и, тем более, туберкулема. Проявления катара чаще верхних дыхательных путей, в виде насморка, ангины, бронхита чаще отмечают у больных пневмонией. У них более выражено нарушение общего состояния, повышение температуры. Больные с круглым инфильтратом и туберкулемами нередко чувствуют себя здоровыми, легочный процесс выявляется у них при профилактическом рентгенофлюорографическом обследовании. При туберкулемах, как правило, катаральные явления в легких отсутствуют. Напротив, наличие хрипов указывает на пневмонию. Изменения в крови (лейкоцитоз, сдвиг формулы влево, повышение СОЭ) более выражены при пневмонии. Следует, однако, помнить, что шаровидные пневмонии тоже могут протекать без явных клинических проявлений и быть рентгенологической находкой. В таких случаях назначение противовоспалительного лечения и повторное рентгенологическое обследование через 10–12 дней помогает правильно установить диагноз.

В рентгенологическом отображении шаровидная пневмония отличается от круглых инфильтратов и, тем более, туберкулемы, менее четким наружным контуром, меньшей интенсивностью тени и большей ее однородностью. Очаговые тени вокруг шаровидной пневмонии, как правило, отсутствуют. Напротив, наличие на рентгенограмме наряду с основным округлым тенеобразованием более старых туберкулезных изменений (петрификатов, плевральных наслоений и др.) указывает на специфическую природу заболевания. МБТ в мокроте при круглом инфильтрате и туберкулемах выявляются не более чем у одной трети больных, тем не менее их настойчивые поиски необходимы. Ввиду того что эти больные часто не выделяют мокроту, здесь, как и в последующем, целесообразно исследование промывных вод, смыва из бронхов и т. п. Разно-видностью шаровидной пневмонии является эозинофильный инфильтрат. При этом в крови может быть эозинофилия.

Частота периферического рака среди всех шаровидных образований легких и средостения значительна, а это диктует необходимость быстрой и точной диагностики. Ни о каком выжидании, динамическом наблюдении и пробном лечении в большинстве случаев не должно быть и речи. Диагноз устанавливается без промедления, ибо только точный и своевременный диагноз позволяет назначить рациональную терапию, пока не развились метастазы (при раке). Вместе с тем, дифференциальная диагностика круглого туберкулезного инфильтрата и туберкулемы от периферического рака представляет болышие трудности. Оба этих заболевания при рентгенологическом исследовании дают наличие в легких изолированного округлого тенеобразования, отграниченного от здоровой легочной ткани. Следует отметить, что наряду с большим сходством рентгенологической картины в клинике по существу также нет патогномоничных симптомов, на основании которых можно было бы провести дифференциальную диагностику между этими заболеваниями в ранних стадиях.

Для правильной диагностики необходимо тщательное все-стороннее клинико-рентгенологическое обследование больного с вдумчивым анализом всех получаемых при исследовании данных. Так, в анамнезе больных раком легкого нередко отмечают частые бронхиты, курение в течение многих лет, повышение температуры неправильного типа. При туберкулезе можно иногда установить контактирование с больными в прошлом или настоящем, наличие специфических легочных или внелегочных поражений, длительную субфебрильную температуру, наличие отягощающих факторов (зависимость от алкоголя, пребывание в заключении, сахарный диабет и др.). В целом больные туберкулезом более молодого возраста.

Как известно, при обоих заболеваниях нередко наблюдают кашель, но кашель у больных периферическим раком, как вообще при раке легкого, имеет своеобразный характер, он сухой, длительный, надсадный, тогда как у больных с туберкулемами чаще наблюдают покашливание или же редкий сухой кашель. Однако нередко в начальных стадиях кашель при периферическом раке отсутствует. У больных периферическим раком легкого боли в грудной клетке встречаются в 2,5 раза чаще, чем у больных туберкулемами. Одышка у больных туберкулемами легких, как правило, не отмечается, тогда как одышка при раковом поражении является довольно ранним симптомом. Причем характерно несоответствие между дыхательной недостаточностью и объемом поражения опухолевым процессом. У больных, страдающих раком легкого, чаще, чем при туберкулемах, появляется выделение мокроты, обычно слизистой, жидкой, иногда с примесью прожилок крови. Ценным дифференциально-диагностическим симптомом является нахождение в мокроте отдельных эритроцитов или их скоплений. При подозрении на периферический рак легкого следует производить многократное (не менее 5- 10 раз) исследование мокроты и промывных вод бронхов на атипические клетки и МБТ; рекомендуют также бронхоскопию с БАЛ и исследование БАС на атипические клетки и МБТ. При подозрении на периферический рак, растущий из мелких бронхов, целесообразно проводить фибробронхоскопию, однако она менее информативна, чем при центральном раке. Следует иметь в виду, что однократное нахождение в мокроте МБТ не всегда решает вопрос в пользу туберкулеза, так как обнаружение МБТ может быть случайной находкой или связано с расплавлением (экзацербацией) старого туберкулезного очага в зоне распадающейся опухоли.

Некоторым дифференциально-диагностическим подспорьем в ряде случаев является установление локализации патологической тени; периферический рак чаще располагается в 3, 4, 5-м сегментах, туберкулемы – в 1, 2, 6-м сегментах (рис. 75–77).

В окружающей опухоль легочной ткани, как правило, отсутствуют какие-либо патологические изменения.

При туберкулемах в легочной ткани в близлежащих или более отдаленных бронхолегочных сегментах того же или другого легкого часто определяют другие изменения туберкулезного характера: плотные или обызвествленные очаги, фиброзные тени, плевральные изменения. При периферическом раке легкого, как правило, наблюдается прогрессирующий рост опухолевого узла.

В большинстве случаев периферический рак легкого в течение года наблюдения увеличивает свой объем. При туберкулемах подобного увеличения размеров тени не наблюдается. Определенное значение в дифференциальной диагностике рака и туберкулеза легких придают данным гематологических исследований, причем в пользу рака говорит нахождение в протоплазме нейтрофилов патологической зернистости. Изменения в динамике количества тромбоцитов, а также постепенное нарастание числа старых и дегенеративных форм тромбоцитов некоторые авторы (Ф. Г. Углов) также считают характерными для ракового заболевания. По мнению А. Е. Рабухина, А. Я. Цигельника, в пользу рака легкого говорит также повышение фибриногена крови, обнаружение С-реактивного белка и значительное увеличение СОЭ. В настоящее время проводятся исследования на наличие маркеров раковой опухоли, которые также следует производить в неясных случаях.

Достаточно широко используются инструментальные методы диагностики шаровидных образований в легком: катетеризационная и пункционная биопсия, как трансторакальная, так и трансбронхиальная при бронхоскопии. Используется также щеточная биопсия, когда производится скарификация слизистой бронха, расположенного наиболее близко к тенеобразованию. Однако в настоящее время все шире используется видео-торакоскопия с биопсией, после которой в случае подтвержде-ния наличия опухоли производится резекция легкого по расширенным показаниям, возможно, с удалением внутригрудных лимфоузлов, а при установлении туберкулезного характера процесса – резекция пораженного участка легкого (возможно, путем торакоскопии) или вылущивание туберкулемы; продолжается консервативная терапия.

Округлое образование в легком может наблюдаться также при реже встречающихся доброкачественных опухолях легких. К ним относятся аденома, фиброма, фиброаденома, миома, хондрома, ангиома, гамартома, невринома, остеома и др. Клинические проявления доброкачественных опухолей чрезвычайно скудны и могут полностью отсутствовать. При большой величине опухоли могут появляться симптомы сдавления бронхов, сосудов, стенки грудной клетки.

Вокруг доброкачественных опухолей легочная ткань обычно не изменена, но когда опухоль достигает больших размеров (5–6 см и более), она может обусловить изменение легочного рисунка; опухоль раздвигает бронхиальные и сосудистые ветви, вследствие чего происходит их сближение и сгущение «рисунка по периферии опухоли. Это особенно отчетливо видно на компьютерной томограмме (рис. 78–80).

При дифференциальной диагностике круглых инфильтратов доброкачественных опухолей следует руководствоваться следующим: тень туберкулезного инфильтрата менее резко отграничена от справа (рентгенограмма, прямая окружающей легочной ткани; часто встречаются очаговые тени вокруг инфильтрата; отмечаются изменения гемограммы, характеризующие воспалительный процесс (не всегда). Локализация патологического округлого образования в передних сегментах легкого (III, IV, V) больше говорит о наличии опухоли. Труднее дифференцировать доброкачественные опухоли от туберкулемы. Стабильно устойчивое клиническое состояние наблюдают и при туберкулемах, и при доброкачественных новообразованиях, наличие известковых отложений в туберкулеме также не может являться ее отличительным признаком, например, от хондромы. Однако при хондроме у некоторых больных одновременно отмечают наличие пороков развития хряща и в других органах (например, хондродистрофия трубчатых костей). Кроме хондромы, включения могут наблюдаться и в гамартомах в виде эмбриональных зачатков (волосы, зубы и т. п.). Имеют значение и другие рентгенологические признаки туберкулемы, описанные выше. В дифференциальной диагностике используются также описанные выше инструментальные и оперативные методы.

Заполненные кисты легкого по своей рентгенологической картине также могут симулировать туберкулемы или круглые инфильтраты, дифференциальная диагностика их часто представляет значительные трудности.

Как известно, кисты легкого бывают врожденные и приобретенные. Первые представляют собой аномалию развития и обычно встречаются у детей раннего и младшего возраста. Приобретенные кисты возникают и развиваются на почве перенесенных воспалительных процессов, а также после травмы грудной клетки. Закрытые кисты наполнены жидкостью, характеризуются чрезвычайной скудностью клинических про-явлений, во многих случаях они вообще бессимптомны и обнаруживаются только при рентгенологическом исследовании. Они имеют вид округлых или овальных, гомогенных, четко контурированных тенеобразований, расположенных обычно среди здоровой неизмененной легочной ткани. Локализуются кисты в различных участках легочных полей, в их периферических отделах, часто в глубоких слоях легкого.

Интенсивность тени заполненной кисты обычно умеренная. На фоне тени кисты хорошо видны ребра, в некоторых случаях отчетливо прослеживаются также тени сосудистых образований. При проведении дифференциальной диагностики могут помочь следующие симптомы: в пользу диагноза кисты говорит обнаруживаемое при рентгенологическом исследовании (рентгеноскопия или РКТ) изменение формы гени на различных фазах дыхания (симптом Эскудеро – Неменова); тень правильной округлой формы с четкими контурами; наиболее частая локализация кист – средние отделы легочных полей, особенно слева.

При дифференциальной диагностике следует также обращать внимание на локализацию тени. Излюбленным местом расположения эхинококка является нижняя доля правого легкого (74–76%), причем легочная ткань вокруг кисты, как правило, не изменена, отсутствуют какие-либо признаки ранее перенесенного туберкулеза. Следует также обращать внимание на территориальный и профессиональный анамнез (работа с животными, овцеводство), а также содержание животных дома, проживание в местностях с распространением эхинококкового заболевания, чаще в южных регионах СНГ или дальнего зарубежья (Кавказ, Средняя Азия и др.). Беларусь не является регионом, эндемичным по эхинококку.

При прорыве эхинококкового пузыря в бронх одномоментно отделяется более или менее значительное количество прозрачной жидкости желтого цвета. При ее микроскопическом исследовании обнаруживают сколексы (крючья) эхинококка, а при рентгенологическом – округлое полостное образование с горизонтальным уровнем или без него (при полном опорожнении) (рис. 81). В крови может быть эозинофилия. Используется также реакция Каццони – внутрикожная проба с эхинококковым антигеном. В неясных случаях образование подлежит оперативному удалению, как и при постановке диагноза эхинококка.

Мицетомы (аспергил.1емы) легких встречаются в любом возрасте. Локализуются обычно в верхних долях (1–2-й сегменты). Морфологически аспергиллемы представляют собой спутанные массы грибковых мицелиев, расположенных на стенках внутрилегочных полостей различного происхождения, чаще при туберкулезных кавернах, имеющих свободное сообщение с бронхами. Известно, что в стенках этих полостей грибки обычно вегетируют в качестве сапрофитов, но при известных условиях они приобретают способность к распространению и вызывают образование в легких инфильтратов и пневмоний. Относительно частым симптомом при аспергиллеме является кровохарканье. Аспергиллемы подлежат оперативному удалению.

Читайте также:

Ссылка на основную публикацию
Похожее